口腔激光怎么治疗口腔特色诊疗——激光治疗

新闻资讯2026-04-21 07:01:57

诊疗激光治疗


随着人民生活水平和技术发展的提高,激光作为一门黑科技已逐渐走进大家的生活。相信很多人都听过激光及激光治疗,但是对激光能做些什么,特别是在口腔治疗中的应用知之甚少。

激光并不神秘,实质是原子受激辐射的光,故名“激光”。激光治疗就是利用激光设备发射激光对疾病进行治疗。激光在医学领域的应用相当广泛,如检查,治疗,医美等,在口腔诊疗中也广泛应用。常用的激光有铒激光、钕激光、半导体激光、二氧化碳激光等。双波长激光,即两种波长的激光,本文介绍的双波长激光指铒激光及钕激光的联合,两种激光可以在临床中配合使用,以达到更佳的治疗效果。

口腔激光怎么治疗口腔特色诊疗——激光治疗_https://www.jmylbn.com_新闻资讯_第1张

双波长激光在口腔诊疗过程中既可用于软、硬组织的切割,也可用于理疗,消毒灭菌及去除色素、疤痕等。


去龋

相对传统手机减少了因机械摩擦导致的热损伤,大大降低痛感和术后不适感,尤其适合于儿童、较为敏感的成人。

口腔激光怎么治疗口腔特色诊疗——激光治疗_https://www.jmylbn.com_新闻资讯_第2张

激光去龋前后对比图

脱敏

脱敏:激光能量可热凝封闭牙本质小管,降低牙齿敏感度。

口腔激光怎么治疗口腔特色诊疗——激光治疗_https://www.jmylbn.com_新闻资讯_第3张

激光脱敏前后牙本质小管变化示意图

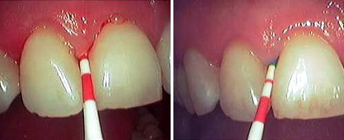
牙周炎治疗

牙周炎治疗:去除病变的牙周袋内层上皮并深度杀菌;去除根面细小结石;促进凝血及组织愈合等。

口腔激光怎么治疗口腔特色诊疗——激光治疗_https://www.jmylbn.com_新闻资讯_第4张

激光辅助治疗牙周炎前后对比图

牙髓治疗

牙髓治疗:清洁根管和侧枝根管;深度消毒处理牙本质壁,预防根尖周感染病变。

口腔激光怎么治疗口腔特色诊疗——激光治疗_https://www.jmylbn.com_新闻资讯_第5张

激光辅助根管治疗前后对比图

植体周疾病治疗

植体周疾病治疗:去除植体表面菌斑生物膜和感染的骨组织,相较传统刮治疗法而言,更加方便有效,对牙槽骨和种植体造成的损伤也会大大降低。

口腔激光怎么治疗口腔特色诊疗——激光治疗_https://www.jmylbn.com_新闻资讯_第6张

激光治疗种植体周围炎示意图

鼾症治疗

鼾症治疗:对咽部组织产生非剥离性的紧缩效果,无创无痛,不影响患者的日常生活。

口腔激光怎么治疗口腔特色诊疗——激光治疗_https://www.jmylbn.com_新闻资讯_第7张

激光治疗鼾症前后对比图

牙齿美白

牙齿美白:漂白凝胶中的水分吸收激光能量后,产热并催化过氧化氢漂白成分与牙釉质表面的反应,且热量不会深度穿透,不损伤牙本质和牙髓组织。

口腔激光怎么治疗口腔特色诊疗——激光治疗_https://www.jmylbn.com_新闻资讯_第8张

激光牙齿美白前后对比图

软组织切除

软组织切除:用激光逐层剥离软组织,直到到达所需深度,侵入性更低,操作更精准。激光的凝血效果也可避免形成血肿,也适用于去除肉芽、息肉和囊肿等。

口腔激光怎么治疗口腔特色诊疗——激光治疗_https://www.jmylbn.com_新闻资讯_第9张

激光纤维瘤切除前后对比图

口腔激光怎么治疗口腔特色诊疗——激光治疗_https://www.jmylbn.com_新闻资讯_第10张

激光智齿远中盲袋切除前后对比图

硬组织切除

硬组织切除:激光能够逐层切割去除硬组织,相比传统手机,操作更方便、更精准。

口腔激光怎么治疗口腔特色诊疗——激光治疗_https://www.jmylbn.com_新闻资讯_第11张

激光冠延长术前后对比图

口腔黏膜病治疗

口腔黏膜病:激光照射溃疡面,可充分消毒杀菌,并使其凝结形成硬壳,愈合速度更快;激光也可用于多种类型的着色病损,并促进黏膜上皮再生。

口腔激光怎么治疗口腔特色诊疗——激光治疗_https://www.jmylbn.com_新闻资讯_第12张

激光治疗口腔溃疡前后对比图

口腔激光怎么治疗口腔特色诊疗——激光治疗_https://www.jmylbn.com_新闻资讯_第13张

激光治疗口腔白斑前后对比图

口腔激光怎么治疗口腔特色诊疗——激光治疗_https://www.jmylbn.com_新闻资讯_第14张

激光治疗血管瘤前后对比图

口腔激光怎么治疗口腔特色诊疗——激光治疗_https://www.jmylbn.com_新闻资讯_第15张

激光治疗牙龈色素沉着前后对比图


激光是一把利剑,在医学领域,尤其是口腔治疗领域是冉冉升起的新星,是口腔领域的重要特色诊疗项目。兰州大学口腔医院牙周黏膜科拥有双波长激光、半导体激光等多种激光设备,已开展了牙周炎、种植体周围炎、牙齿脱敏、去龋及牙髓治疗等牙周牙体疾病的激光治疗;亦进行了口腔黏膜疾病(口腔溃疡、口腔白斑、血管瘤、唇色素痣等)的激光治疗;此外还开展了激光微创切割软硬组织的治疗,以上治疗取得了令人满意的临床效果,在激光应用于口腔疾病的治疗中积累了丰富经验。


部分图片源于设备商家网站

部分图片源于网络

口腔激光怎么治疗口腔特色诊疗——激光治疗_https://www.jmylbn.com_新闻资讯_第16张


兰州大学口腔医院牙周黏膜科请点击:

兰大口腔“关于我们”系列推送|--兰州大学口腔医院牙周黏膜科/口腔黏膜科 


口腔激光怎么治疗口腔特色诊疗——激光治疗_https://www.jmylbn.com_新闻资讯_第16张


口腔激光怎么治疗口腔特色诊疗——激光治疗_https://www.jmylbn.com_新闻资讯_第18张

地址:甘肃省兰州市东岗西路199号

口腔激光怎么治疗口腔特色诊疗——激光治疗_https://www.jmylbn.com_新闻资讯_第19张

西站院区地址:兰州市七里河区西津西路天地缘大厦23-38轴(地铁一号线西站十字站C出口)

口腔激光怎么治疗口腔特色诊疗——激光治疗_https://www.jmylbn.com_新闻资讯_第20张

请扫码关注兰州大学口腔医院微信公众号和牙周黏膜科微信公众平台

口腔激光怎么治疗口腔特色诊疗——激光治疗_https://www.jmylbn.com_新闻资讯_第21张

联系电话:0931-7716666转8205


咨询时间:

每天上午:8:30--12:00

每天下午:13:00--17:00

口腔激光怎么治疗口腔特色诊疗——激光治疗_https://www.jmylbn.com_新闻资讯_第16张