口腔激光怎么治疗你相信“光”吗?近距离了解航天中心医院口腔科激光治疗

新闻资讯2026-04-21 07:01:40

口腔激光怎么治疗你相信“光”吗?近距离了解航天中心医院口腔科激光治疗_https://www.jmylbn.com_新闻资讯_第1张

最近总长口腔溃疡,疼得厉害

十分影响吃饭怎么办?

牙齿一遇到酸冷食物就特别敏感

刷牙都只能用温水怎么办? 

孩子舌系带短要做系带延长术

可是孩子太小不能配合手术怎么办?

以上的临床问题用传统的医疗技术的确很难办,但是现在有了牙科激光,这些都不是问题!

口腔激光怎么治疗你相信“光”吗?近距离了解航天中心医院口腔科激光治疗_https://www.jmylbn.com_新闻资讯_第1张
口腔激光治疗
LOVE TEETH DAY

     随着医疗技术的不断进展,越来越多的专家开始专注于舒适化与微创治疗,自带高科技光环的激光治疗技术在口腔治疗中应用逐渐成熟。自2017年底,航天中心医院口腔科引进第一台口腔双波长激光治疗仪Fotona,至今已经成熟应用于口腔治疗各个领域,因其舒适、无痛和微创,在临床上获得了患者一致好评,今天我们来近距离了解一下什么是口腔激光治疗。



口腔激光怎么治疗你相信“光”吗?近距离了解航天中心医院口腔科激光治疗_https://www.jmylbn.com_新闻资讯_第3张


激光的原理与作用

      激光与灯光、日光等普通光相比都是电磁波,但是激光具有普通光源不具备的特性:高亮度、单色性、方向性和相干性。如果把普通光想象成是走在路上的行人,那么激光就是按照某种特定属性聚集起来的整齐划一的军人。

口腔激光怎么治疗你相信“光”吗?近距离了解航天中心医院口腔科激光治疗_https://www.jmylbn.com_新闻资讯_第4张

    航天中心医院引入的激光为Er:YAG(铒激光)、Nd:YAG(钕激光)双波长激光,集合了两种激光的优势,针对口腔软硬组织均可进行治疗。铒激光具有吸收水分和羟基磷灰石的特点,运用其精准、切口整齐、热损伤少、无碳化的优势,可以在骨表面进行微米级的表面处理或修整,极其利于骨组织再生。钕激光具有穿透和吸收黑色素、血红素的特点,可对软组织进行切割、止血及低能量理疗的作用。Fotona双波长激光有效、精确且微创的治疗效果,已被认为是口腔科激光机的最佳选择之一。


激光治疗的优势

激光与传统治疗相比:更精确、更高效、更舒适,具有以下特点:

1. 迅速,可持续地对病灶进行气化、亦可点射、脉冲气化、切割深浅易于控制,病灶去除彻底。

2. 对周围正常组织损伤小,伤口疤痕远比电刀要小,术后反应也轻。

3. 止血效果好,激光进行手术时极少出血,比电凝强。

4. 减少感染,激光束具有杀菌的功能。

5. 术后疼痛轻,术后基本无痛。更精确:针对口腔炎症部位(浅层、深层)靶向治疗。

口腔激光怎么治疗你相信“光”吗?近距离了解航天中心医院口腔科激光治疗_https://www.jmylbn.com_新闻资讯_第5张
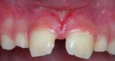
口腔激光怎么治疗你相信“光”吗?近距离了解航天中心医院口腔科激光治疗_https://www.jmylbn.com_新闻资讯_第6张

激光切除唇系带一周后

 Er:YAG激光在口腔治疗中的优势

   1. 杀菌作用

      Er:YAG激光即使输出能量较低时,也具有较高的杀菌能力,且温度不会过度升高。

   2. 增加釉质和牙本质的抗酸性

      Er:YAG激光照射使釉质的扩散系数降低,抗酸能力增强,这可能是铒激光预防龋齿的机制之一。

   3. 热损伤小

      Er:YAG激光备洞引起的牙髓温度的升高与高速手机相似。

   4. 精确的切割能力

      Er:YAG激光属于红外线,其穿透性差,加上所产生的热损伤少,可以精确地切割目标组织,而对其周围组织影响少。

   5. 较少的疼痛

   6. 生物刺激功能

       Er:YAG激光可以使组织收缩,促进胶原蛋白的重建。

 Nd:YAG激光在口腔治疗中的优势

     1. 消炎抗感染作用

       Nd:YAG激光能改变血管通透性,降低炎性渗出的速度和程度,使充血和水肿减轻;舒张血管,加速血流,促进炎性渗出的吸收及炎性细胞浸润的消散,通过人体免疫作用,增强机体局部抗感染能力。

    2. 组织修复作用

      Nd:YAG激光能促进新生血管的形成,生长发育促进毛发生长,促进皮肤和肌肉RNA与糖原含量的增加,加速成纤维细胞形成、肉芽组织增生、上皮细胞再生,加速创伤、溃疡的愈合等。

    3. 镇痛作用

     Nd:YAG激光能降低5-羟色胺含量,提高痛阈,引起吗啡样物质释放,从而减少局部刺激反应,起到镇痛作用。 


激光在口腔治疗中的作用
口腔激光怎么治疗你相信“光”吗?近距离了解航天中心医院口腔科激光治疗_https://www.jmylbn.com_新闻资讯_第1张
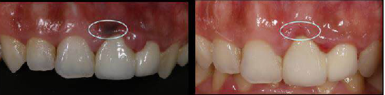
1、辅助牙周基础治疗

激光辅助治疗专注于去除牙周袋壁的菌斑生物膜,具有杀菌作用,来辅助清洁牙齿自身结构的传统治疗方法,并对治疗后组织的愈合具有促进作用。

    

口腔激光怎么治疗你相信“光”吗?近距离了解航天中心医院口腔科激光治疗_https://www.jmylbn.com_新闻资讯_第8张  口腔激光怎么治疗你相信“光”吗?近距离了解航天中心医院口腔科激光治疗_https://www.jmylbn.com_新闻资讯_第9张

图为激光辅助牙周治疗后牙龈肿胀消退

口腔激光怎么治疗你相信“光”吗?近距离了解航天中心医院口腔科激光治疗_https://www.jmylbn.com_新闻资讯_第1张
2. 根管的荡洗与消毒

激光照射后的根管表现出明显的抑菌作用。

口腔激光怎么治疗你相信“光”吗?近距离了解航天中心医院口腔科激光治疗_https://www.jmylbn.com_新闻资讯_第11张口腔激光怎么治疗你相信“光”吗?近距离了解航天中心医院口腔科激光治疗_https://www.jmylbn.com_新闻资讯_第12张

口腔激光怎么治疗你相信“光”吗?近距离了解航天中心医院口腔科激光治疗_https://www.jmylbn.com_新闻资讯_第1张
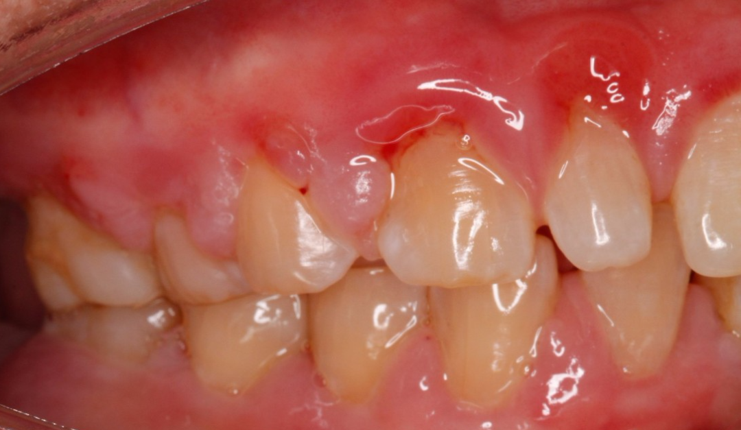
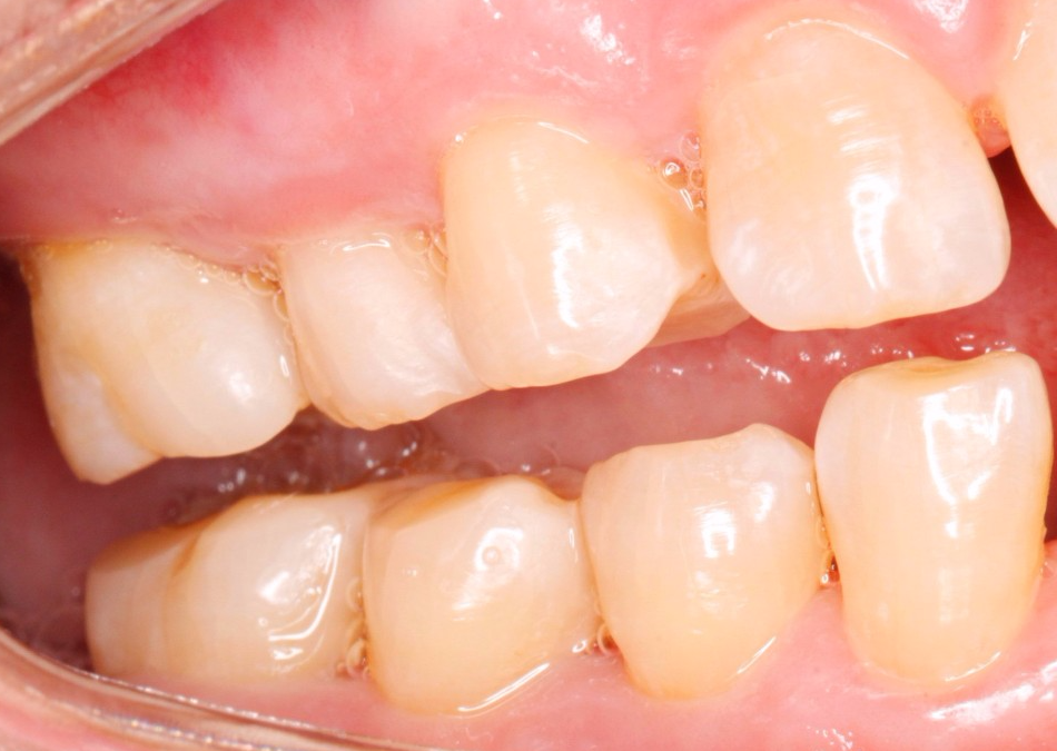
3.组织切除手术

术中出血少,术后止血快,手术时间短,患者接受度高。

口腔激光怎么治疗你相信“光”吗?近距离了解航天中心医院口腔科激光治疗_https://www.jmylbn.com_新闻资讯_第14张

图为激光去除牙龈黑色素

口腔激光怎么治疗你相信“光”吗?近距离了解航天中心医院口腔科激光治疗_https://www.jmylbn.com_新闻资讯_第1张
4.溃疡疱疹治疗

Nd:YAG激光可以通过快速封闭溃疡面周围的神经末梢,起到消炎止痛的作用,时间仅需十秒左右,并形成凝结层,愈合期缩短。

  

口腔激光怎么治疗你相信“光”吗?近距离了解航天中心医院口腔科激光治疗_https://www.jmylbn.com_新闻资讯_第16张

图为激光治疗唇疱疹3-4天的效果


口腔激光怎么治疗你相信“光”吗?近距离了解航天中心医院口腔科激光治疗_https://www.jmylbn.com_新闻资讯_第1张
5.牙本质脱敏治疗

激光作用于牙体组织可造成瞬间的熔融与再结晶,从而封闭牙本质小管。

口腔激光怎么治疗你相信“光”吗?近距离了解航天中心医院口腔科激光治疗_https://www.jmylbn.com_新闻资讯_第18张

口腔激光怎么治疗你相信“光”吗?近距离了解航天中心医院口腔科激光治疗_https://www.jmylbn.com_新闻资讯_第19张

图为激光照射后的牙本质小管

口腔激光怎么治疗你相信“光”吗?近距离了解航天中心医院口腔科激光治疗_https://www.jmylbn.com_新闻资讯_第1张
6.钕激光用于拔牙后创口理疗

利用低能量激光的理疗作用进行局部安抚止血,有助于减轻术后疼痛、促进愈合。

口腔激光怎么治疗你相信“光”吗?近距离了解航天中心医院口腔科激光治疗_https://www.jmylbn.com_新闻资讯_第1张
7.激光辅助治疗鼾症

利用激光的磨削和热作用,收缩松弛的组织,以以改善气道宽度和容积,在减轻打鼾声音的同时,提升睡眠质量,主要针对阻塞性鼾症的辅助治疗,结合口腔矫治器效果更佳。


口腔激光怎么治疗你相信“光”吗?近距离了解航天中心医院口腔科激光治疗_https://www.jmylbn.com_新闻资讯_第22张

口腔激光怎么治疗你相信“光”吗?近距离了解航天中心医院口腔科激光治疗_https://www.jmylbn.com_新闻资讯_第1张
8.激光治疗种植体周围黏膜炎

铒激光可以去除种植体表面被微生物污染的氧化层,而不伤及种植体,并改善骨缺损。


口腔激光怎么治疗你相信“光”吗?近距离了解航天中心医院口腔科激光治疗_https://www.jmylbn.com_新闻资讯_第1张
口腔科主任 主任医师 研究生导师
王学玲

口腔激光怎么治疗你相信“光”吗?近距离了解航天中心医院口腔科激光治疗_https://www.jmylbn.com_新闻资讯_第25张

王学玲,口腔科主任,主任医师,硕士研究生导师,口腔科党支部书记。从事口腔专业的临床、科研和教学工作近30年,在北京市三级以上医院正畸病例质量控制评审中,其带领的正畸学组完成的病例以平均95.5分的优异成绩名列前茅,主持完成科研课题10余项,发表文章20余篇,主编及参编论著4部。曾获得航天科工集团“十大健康卫士“、航天二院“巾帼建功标兵”、航天中心医院“十佳专家”、“优秀医师”、“优秀教师”等称号。现任北京口腔医学会理事、北京口腔医学会正畸专业委员会委员、北京口腔医学会种植专业委员会委员、北京口腔医学会激光专业委员会常务委员等。

口腔激光怎么治疗你相信“光”吗?近距离了解航天中心医院口腔科激光治疗_https://www.jmylbn.com_新闻资讯_第1张
副主任医师 硕士
罗汝茜

口腔激光怎么治疗你相信“光”吗?近距离了解航天中心医院口腔科激光治疗_https://www.jmylbn.com_新闻资讯_第27张

毕业于北京大学医学部,主要研究方向口腔牙周病学以及口腔黏膜病学。作为口腔激光治疗创新工作室负责人之一,完成数百例激光辅助下重度牙周炎治疗并取得良好的治疗效果,并参与英文原著《口腔激光治疗临床应用指南》译制工作。担任北医五年制本科生临床实习及理论课讲师及住院医牙周带教工作。擅长各类牙周疾病的牙周基础治疗包括龈下刮治术、根面平整术;前牙松牙固定术;各类牙周手术治疗,包括牙周软硬组织增量手术如牙周植骨术、牙龈移植术等。

口腔激光怎么治疗你相信“光”吗?近距离了解航天中心医院口腔科激光治疗_https://www.jmylbn.com_新闻资讯_第1张
副主任医师 硕士
刘洁

口腔激光怎么治疗你相信“光”吗?近距离了解航天中心医院口腔科激光治疗_https://www.jmylbn.com_新闻资讯_第29张

毕业于首都医科大学。目前担任“激光工作室”负责人之一,完成院内课题1项。担任北医五年制口腔见习带教和住院医牙周临床带教工作,曾荣获“优秀临床带教老师”称号。擅长牙周疾病的系统治疗,包括慢性牙周炎的牙周基础治疗(洁治、刮治)、牙周手术治疗(冠延长术、植骨术等)、正畸种植前牙周维护、牙龈退缩的膜龈手术治疗、激光辅助牙周治疗、激光去除增生牙龈及牙龈黑色素等。发表论文数篇,申请牙周相关专利3项。



本文部分临床照片由罗汝茜、刘洁医生提供

口腔激光怎么治疗你相信“光”吗?近距离了解航天中心医院口腔科激光治疗_https://www.jmylbn.com_新闻资讯_第30张