口腔ct怎么看看牙为什么要进行口腔CT检查?不想花这笔钱?

新闻资讯2026-04-21 06:54:58

口腔ct怎么看看牙为什么要进行口腔CT检查?不想花这笔钱?_https://www.jmylbn.com_新闻资讯_第1张

      很多人疑惑,无论进行牙齿检查、牙齿矫正,牙齿种植牙,医生都会建议拍牙片!这些片的作用都是什么呢?不会是医生在坑我钱吧?




这是在对你的生命负责


口腔ct怎么看看牙为什么要进行口腔CT检查?不想花这笔钱?_https://www.jmylbn.com_新闻资讯_第2张
      只要你知道埋伏牙、囊肿、高钙化骨结节、牙根吸收、根折、恶性肿瘤,这些都有可能发生在口腔局部部位,就会明白检查、拍片的重要性了。

看牙为什么要拍片?
先放几张图,让你们涨涨姿势


口腔ct怎么看看牙为什么要进行口腔CT检查?不想花这笔钱?_https://www.jmylbn.com_新闻资讯_第3张


不拍片根本不知道
你的牙齿长得会有多“调皮”

然而,牙齿拍片也有很多种
医生会根据实际需求安排拍片


口腔ct怎么看看牙为什么要进行口腔CT检查?不想花这笔钱?_https://www.jmylbn.com_新闻资讯_第4张

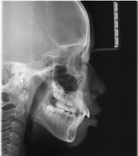
侧位片


口腔ct怎么看看牙为什么要进行口腔CT检查?不想花这笔钱?_https://www.jmylbn.com_新闻资讯_第5张


      可以判断上下颌骨之间的关系,比如上颌前突还是下颌后缩,颌骨与颅骨的关系,牙齿角度, 平面角度,脸长脸短,上面长还是下面长。

      

口腔ct怎么看看牙为什么要进行口腔CT检查?不想花这笔钱?_https://www.jmylbn.com_新闻资讯_第6张

口腔ct怎么看看牙为什么要进行口腔CT检查?不想花这笔钱?_https://www.jmylbn.com_新闻资讯_第7张


口腔ct怎么看看牙为什么要进行口腔CT检查?不想花这笔钱?_https://www.jmylbn.com_新闻资讯_第8张


口腔ct怎么看看牙为什么要进行口腔CT检查?不想花这笔钱?_https://www.jmylbn.com_新闻资讯_第9张

全景片曲面断层片


口腔ct怎么看看牙为什么要进行口腔CT检查?不想花这笔钱?_https://www.jmylbn.com_新闻资讯_第10张

      此片意义极大,甚至有时候高于第一张!因为我们可以通过看侧脸来大致判断第一张片子的某些数据,但是如果不拍曲断什么的 ,谁也没办法保证下面有没有肿瘤什么的埋伏牙,囊肿,高钙化骨结节,牙根吸收,根折,甚至恶性肿瘤,医生不拍这个片子,说白了就是给自己埋炸弹,如果看牙过程中发现牙齿出现什么问题,在做之前没发现这些隐患,属于不负责的做法。

口腔ct怎么看看牙为什么要进行口腔CT检查?不想花这笔钱?_https://www.jmylbn.com_新闻资讯_第11张

      万一有恶性肿瘤呢?虽然概率极低,但医学从不开玩笑,没有是0,有就是百分之百,为了您生命着想,拍片并不是为了赚您的钱!
口腔ct怎么看看牙为什么要进行口腔CT检查?不想花这笔钱?_https://www.jmylbn.com_新闻资讯_第12张


口腔ct怎么看看牙为什么要进行口腔CT检查?不想花这笔钱?_https://www.jmylbn.com_新闻资讯_第13张


口腔ct怎么看看牙为什么要进行口腔CT检查?不想花这笔钱?_https://www.jmylbn.com_新闻资讯_第14张

CBCT(锥形束CT)



口腔ct怎么看看牙为什么要进行口腔CT检查?不想花这笔钱?_https://www.jmylbn.com_新闻资讯_第15张

      CBCT是个三维立体的诊断,现在的软件也可以更为直观的重建软硬组织

      如应用在牙齿正畸上,对于二维的无法判断比邻关系的牙齿,最好拍个CT来明确位置关系,也可以拍摄CBCT来直观的判断牙根被骨壁包绕的情况,在大量内收的情况下来判断是否有骨开窗的风险(牙移动过快,角度变化大,牙根从骨头处破窗而出)所以角度很大的牙齿,大量内收,拍摄CT是很常规的了!

     曲断发现的埋伏牙,牙根内外吸收,根折一般都会拍摄CT。

口腔ct怎么看看牙为什么要进行口腔CT检查?不想花这笔钱?_https://www.jmylbn.com_新闻资讯_第16张

门牙处没有骨头,做正畸牙肯定会掉

说说如果不拍牙片,根本看不出情况!


口腔ct怎么看看牙为什么要进行口腔CT检查?不想花这笔钱?_https://www.jmylbn.com_新闻资讯_第17张


口腔ct怎么看看牙为什么要进行口腔CT检查?不想花这笔钱?_https://www.jmylbn.com_新闻资讯_第18张

小牙片(根尖片)

口腔ct怎么看看牙为什么要进行口腔CT检查?不想花这笔钱?_https://www.jmylbn.com_新闻资讯_第19张

      小牙片主要是拍摄单颗牙,可以了解牙齿龋坏程度,根尖周的病变情况,牙周骨质破坏情况等。但是在口腔颌面外科不常用。

口腔ct怎么看看牙为什么要进行口腔CT检查?不想花这笔钱?_https://www.jmylbn.com_新闻资讯_第20张



另外,在拍片过程中,很多人还是会继续疑问,孕妇幼儿能否拍牙片?也有人会问到:我在备孕,拍片有没有影响啊?辐射会不会很大?


口腔ct怎么看看牙为什么要进行口腔CT检查?不想花这笔钱?_https://www.jmylbn.com_新闻资讯_第21张

孕妇必要的情况下可以拍牙片?

一般不建议在孕期头三个月拍片。三个月后,若因治疗需要必须拍片时,应穿防护服。在此条件下,对胎儿的影响几乎微不足道。专家强调,只要不是对准腹部或附近部位的高剂量辐射,准妈妈们大可不必过于担心哦。

儿童也是可以拍牙片的。

一般情况下,医生会先给小朋友穿上铅衣或铅裙。因为小孩在高速发育期间,性腺素分泌旺盛,骨髓往往活跃而稚嫩,容易被X光射线侵犯。

所以非常有必要保护身体其他部位接受散射几率为零,而良好的抗辐射保护措施会将这种危害的效果降到微乎其微。

备孕的话没什么影响的,单次口腔拍片辐射剂量比较小,相当于你对一天电脑屏幕的辐射量。

其他疾病患者,例如甲状腺疾病患者拍片前先告知放射医生。

口腔ct怎么看看牙为什么要进行口腔CT检查?不想花这笔钱?_https://www.jmylbn.com_新闻资讯_第22张

      结合图表不难发现,生活中辐射不处不在,无需谈辐射色变,毕竟撇开剂量谈毒性的都是耍流氓!


口腔ct怎么看看牙为什么要进行口腔CT检查?不想花这笔钱?_https://www.jmylbn.com_新闻资讯_第23张


根据相应文献资料显示:
●    拍一次根尖片辐射剂量≈5 uSv
●    和他人睡觉≈0.05 uSv
●    吃一根香蕉≈0.1 uSv
●    每人一天当中所受到周围的辐射≈10 uSv

      能对致癌率产生影响的最低剂量≈100mSv=10万uSv,10万÷5=2万次,也就是说要短时间内照2万次才会达到致癌剂量,所以说上面的这些辐射剂量对我们的影响可以说是微乎其微的。

口腔ct怎么看看牙为什么要进行口腔CT检查?不想花这笔钱?_https://www.jmylbn.com_新闻资讯_第24张

口腔ct怎么看看牙为什么要进行口腔CT检查?不想花这笔钱?_https://www.jmylbn.com_新闻资讯_第25张

口腔ct怎么看看牙为什么要进行口腔CT检查?不想花这笔钱?_https://www.jmylbn.com_新闻资讯_第26张

版权归属原作者,部分文章推送时未能及时与原作者取得联系,若来源标注错误或侵犯到您的权益烦请告知,我们将立即删除。