口腔ct怎么拍摄新设备 | 我院最新引进了韩国高品质口腔CT

新闻资讯2026-04-21 06:54:10
口腔ct怎么拍摄新设备 | 我院最新引进了韩国高品质口腔CT_https://www.jmylbn.com_新闻资讯_第1张

     为满足口腔科日常临床检查需要,我院最新引进了韩国品牌HDX WILL高品质高端口腔CT。HDX WILL(株)是韩国知名的口腔影像设备生产和研发企业,代表韩国国内口腔影像设备的最高原创技术。在日常临床应用中主要用于拍摄全景片和口腔CT片。


口腔ct怎么拍摄新设备 | 我院最新引进了韩国高品质口腔CT_https://www.jmylbn.com_新闻资讯_第2张

韩国品牌HDX WILL高品质高端口腔CT


先了解一下口腔CT如何运作的吧!


口腔ct怎么拍摄新设备 | 我院最新引进了韩国高品质口腔CT_https://www.jmylbn.com_新闻资讯_第3张

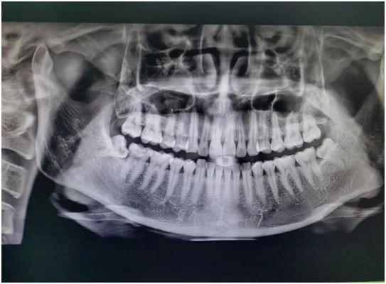
      全景片就是可以在一张胶片上可以完整、清晰地显示上颌骨、下颌骨全貌,上下颌牙列情况,牙槽骨情况,能清晰显示上颌窦腔、窦壁、窦底情况,以及颞颌关节情况,并对颌骨周围疾病的诊断提供帮助。

     拍摄全景片是口腔治疗之前很重要的一个检查过程,医生通过全景片可以观察到牙齿的健康状况,是否有隐形龋齿、埋伏阻生牙、多生牙、牙槽骨吸收、牙龈萎缩、口腔内是否长有瘤体等。


口腔ct怎么拍摄新设备 | 我院最新引进了韩国高品质口腔CT_https://www.jmylbn.com_新闻资讯_第4张

在做牙齿种植、牙齿矫正、牙齿修复、智齿拔除等之前,均需要拍摄口腔全景片。

1. 牙齿的解剖结构、密度,牙周状况的检查。

2.埋藏牙定位及周边相邻关系判断。

3.牙齿发育情况判断。

4.牙齿矫正前的病例分析、测量,指导矫正方案的制定。

5.种植前牙槽骨的质、量的评价及种植体大小、长短的确定。

6.牙列缺失复杂修复前基牙的评估。

7.头面部外伤,骨折的诊断。

8.根管充填、镶牙、种植、矫正效果的复查、评估。

 9.智齿拔除等外科手术方案制定和风险评估。 

10.头、面部肿瘤、囊肿的筛查,鉴别。 

     口腔CT主要应用种植牙的精确定位及术前辅助设计。术前了解颌骨囊肿及肿瘤的大小、边界及其对周围组织的影响;多生牙的方向及其邻近组织关系等。颞颌关节界面,关节处失状面、冠状面信息及三维信息,了解关节形态、骨质变化。了解断根。可有效评估牙根内吸收。在正畸治疗计划制定过程中为您创建全景片图像、头颅侧位片图像等所需影像。

口腔ct怎么拍摄新设备 | 我院最新引进了韩国高品质口腔CT_https://www.jmylbn.com_新闻资讯_第5张


该口腔CT机非常智能、图像十分清晰,为口腔日常临床诊疗工作提供了重要的价值,为我院口腔种植技术提供了重要的保障。 



口腔ct怎么拍摄新设备 | 我院最新引进了韩国高品质口腔CT_https://www.jmylbn.com_新闻资讯_第6张

编辑:木子   文: 陈恩忠   刘光荣