医院床位灯怎么关以心为灯,守护生命——玉田县中医医院内二科

新闻资讯2026-04-21 06:21:18

医院床位灯怎么关以心为灯,守护生命——玉田县中医医院内二科_https://www.jmylbn.com_新闻资讯_第1张

锐意进取,精益求精,追求卓越技术——与死神抢病人

医院床位灯怎么关以心为灯,守护生命——玉田县中医医院内二科_https://www.jmylbn.com_新闻资讯_第2张
我院多次派技术骨干去北京阜外医院和北京安贞医院进修学习冠脉造影、支架植入技术,血管科自2014年11月开展冠脉造影术、冠脉支架植入术以来,能够更好的明确诊断疾病,更快速精准的治疗疾病,无数次的与死神抢病人。
医院床位灯怎么关以心为灯,守护生命——玉田县中医医院内二科_https://www.jmylbn.com_新闻资讯_第3张
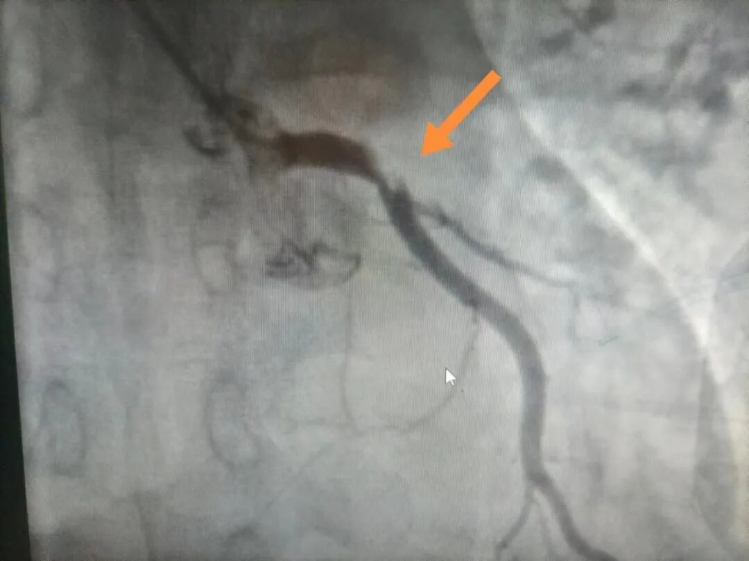
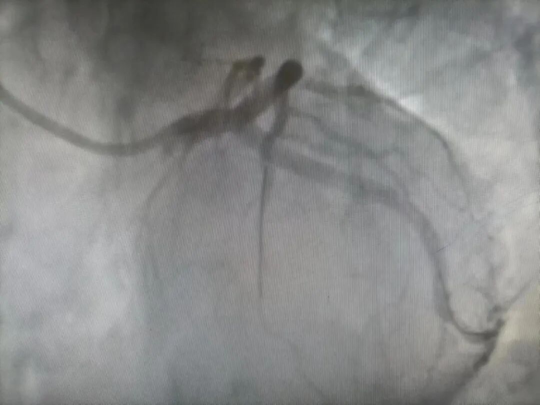
一个病例分享:一位37岁男性病人胸痛胸闷1小时50分入院,自诉无明显诱因出现胸痛胸闷症状,位于心前区、胸骨中段,持续性疼痛,伴大汗、恶心,测血压82/50mmHg,急查心电图示异位心律,广泛前壁心肌梗死,患者病情危重,立即推入导管室行冠脉造影术,冠脉造影显示左主干末端负荷血栓,前降支开口100%闭塞,回旋支开口90%狭窄,可见血栓影,给予血栓抽吸,抽吸出大量红色血栓,后于前降支开口植入支架一枚,七天后患者好转出院,这样的例子数不胜数,无数次的在时间与生命赛道上与死神抢病人。

医院床位灯怎么关以心为灯,守护生命——玉田县中医医院内二科_https://www.jmylbn.com_新闻资讯_第4张

造影前

医院床位灯怎么关以心为灯,守护生命——玉田县中医医院内二科_https://www.jmylbn.com_新闻资讯_第5张

造影后

医院床位灯怎么关以心为灯,守护生命——玉田县中医医院内二科_https://www.jmylbn.com_新闻资讯_第6张

抽出来的血栓





心血管疾病管——提高病人的生活质量

目前,我国心血管疾病在城乡居民疾病死亡构成占比仍然很高,如何降低心血管疾病的死亡率和提高患者的生存质量,这就需要重视大众和患者教育,普及心血管疾病和健康知识,强化医疗技术水平。我院心血管科的学科带头人周海峰主任秉承择一事终一生的执着专注,干一行专一行的精益求精,打造了一支专业技术水平过硬医疗技术团队。通过专业医疗,精准护理减轻了病人的疾病痛苦,缩短了病人的住院日,提高了患者的生活质量。

医院床位灯怎么关以心为灯,守护生命——玉田县中医医院内二科_https://www.jmylbn.com_新闻资讯_第7张

医院床位灯怎么关以心为灯,守护生命——玉田县中医医院内二科_https://www.jmylbn.com_新闻资讯_第8张


医院床位灯怎么关以心为灯,守护生命——玉田县中医医院内二科_https://www.jmylbn.com_新闻资讯_第9张


医院床位灯怎么关以心为灯,守护生命——玉田县中医医院内二科_https://www.jmylbn.com_新闻资讯_第10张

双心护理——心情好、心脏更好

医院床位灯怎么关以心为灯,守护生命——玉田县中医医院内二科_https://www.jmylbn.com_新闻资讯_第11张

医院床位灯怎么关以心为灯,守护生命——玉田县中医医院内二科_https://www.jmylbn.com_新闻资讯_第12张

心血管疾病的发病人群以老年人为主,一旦发病患者会产生恐惧、焦虑、抑郁等不良情绪,对疾病的治疗和康复会产生不利的影响,我科护理团队注重心血管疾病整体护理同时,强化心理护理的现代护理模式,降低了心理问题给机体造成的影响,促进疾病的早日康复。

延伸护理——全生命周期呵护

我们秉承一次就医终生为友的理念,使出院患者在恢复期能够得到持续的卫生保健。我们建立医患交流群,让患者能够随时随地在群里面交流分享,有问题可以随时和医生护士咨询。同时我们医院的互联网+护理服务,建立医院与家庭无缝衔接的护理服务模式,为患者提供一对一上门服务。让患者足不出户便可以享受正规的、专业的、高水平的居家护理服务。

医院床位灯怎么关以心为灯,守护生命——玉田县中医医院内二科_https://www.jmylbn.com_新闻资讯_第13张

医院床位灯怎么关以心为灯,守护生命——玉田县中医医院内二科_https://www.jmylbn.com_新闻资讯_第14张

医院床位灯怎么关以心为灯,守护生命——玉田县中医医院内二科_https://www.jmylbn.com_新闻资讯_第15张

医院床位灯怎么关以心为灯,守护生命——玉田县中医医院内二科_https://www.jmylbn.com_新闻资讯_第16张

我们坚持择一事终一生的执着专注,干一行专一行的精益求精,以我们最精湛的技术、最优质的护理服务每一位患者!以心为灯,守护生命!


内二科(心内科)咨询电话:6151238



内二科简介



医院床位灯怎么关以心为灯,守护生命——玉田县中医医院内二科_https://www.jmylbn.com_新闻资讯_第17张
医院床位灯怎么关以心为灯,守护生命——玉田县中医医院内二科_https://www.jmylbn.com_新闻资讯_第18张

内二科是玉田县中医医院综合性中医内科诊疗科室,现有副主任医师5名,主治医师4名,医师3名,主管护师6人,护师5人,护士5人ccu床位9张。住院部病房74张,其中CCU病房设床位9张。

医院床位灯怎么关以心为灯,守护生命——玉田县中医医院内二科_https://www.jmylbn.com_新闻资讯_第19张
科室建科历史悠久,经过几代人不懈努力,科室建设奠定了牢固的根基,在保证了内科常见病、多发病,中西医诊疗水平的基础上以心血管系统疾病的诊疗为突破点,科室医护人员均经系统规范化专科培训,科室工作集预防、急救、诊疗、科教于一体,CCU病房规范了冠心病患者的全程监护治疗,显著提高了临床效果,得到了患者及同行的认可。

医院床位灯怎么关以心为灯,守护生命——玉田县中医医院内二科_https://www.jmylbn.com_新闻资讯_第20张
医院床位灯怎么关以心为灯,守护生命——玉田县中医医院内二科_https://www.jmylbn.com_新闻资讯_第21张
医院床位灯怎么关以心为灯,守护生命——玉田县中医医院内二科_https://www.jmylbn.com_新闻资讯_第22张

科室注重人才培养,根据科室成员的专长,为他们搭建施展才华的舞台,提高他们的上进心和主人翁意识,使科室人际关系和谐融洽,提升科室凝聚力,稳步前行。
医院床位灯怎么关以心为灯,守护生命——玉田县中医医院内二科_https://www.jmylbn.com_新闻资讯_第23张

科室以规范的诊疗工作,针对疾病进行合理调护,养生保健咨询,全体医护人员将秉承精益求精的传统,耐心细致的服务携手共同缔造和谐优良的医疗环境。

医院床位灯怎么关以心为灯,守护生命——玉田县中医医院内二科_https://www.jmylbn.com_新闻资讯_第24张
医院床位灯怎么关以心为灯,守护生命——玉田县中医医院内二科_https://www.jmylbn.com_新闻资讯_第25张

医院床位灯怎么关以心为灯,守护生命——玉田县中医医院内二科_https://www.jmylbn.com_新闻资讯_第26张




医院床位灯怎么关以心为灯,守护生命——玉田县中医医院内二科_https://www.jmylbn.com_新闻资讯_第27张

特色诊疗

内科常见病以心血管系统疾病为主,同时收治部分内科多发疾病、疑难病症,运用中医理论,立足整体观、辨证论治,以中西医结合为基础,以突出中医诊疗特色为宗旨,熟练掌握冠心病、心绞痛、心力衰竭、心律失常等心系疾病的诊治,规范诊治急性心肌梗塞患者疗效满意,已经开展冠脉造影、冠脉支架置入术、永久起搏器置入术,对冠脉支架置入术、血管搭桥术、心脏起搏器置入术及心脏瓣膜病术后患者的长期维护治疗有一定经验,能规范指导用药、健康咨询;对风湿免疫性疾病及相关脏器损害的诊治有丰富经验。

医院床位灯怎么关以心为灯,守护生命——玉田县中医医院内二科_https://www.jmylbn.com_新闻资讯_第28张

本科特色:冠心病的三级预防及用药指导,中医保健咨询;慢性心力衰竭患者的规范管理、健康调护;高血压病、高脂血症的规范用药及日常保健指导,急性冠脉综合征的诊断急救治疗,冠脉造影、冠脉支架置入术、永久起搏器置入术。


医院床位灯怎么关以心为灯,守护生命——玉田县中医医院内二科_https://www.jmylbn.com_新闻资讯_第29张

学科带头人

医院床位灯怎么关以心为灯,守护生命——玉田县中医医院内二科_https://www.jmylbn.com_新闻资讯_第30张
周海丰:内二科主任,主任医师,曾多次于北京、唐山等三级甲等医院进行专科进修学习,熟练掌握内科常见病多发病诊断治疗,对急危重症的救治有一定经验,临床运用中西医治疗具较好效果。

供稿:内二科 郝启凤


玉田县中医医院·一院五区


打造区域医疗中心


<<  滑动查看更多院区  >>


医院床位灯怎么关以心为灯,守护生命——玉田县中医医院内二科_https://www.jmylbn.com_新闻资讯_第31张

玉田县中医医院

(医院本部)

国家三级中医院

地址:玉田县无终东街589号

电话:0315-6159601



医院床位灯怎么关以心为灯,守护生命——玉田县中医医院内二科_https://www.jmylbn.com_新闻资讯_第32张

玉田县中医医院妇女儿童医院

(妇儿医院)

妇科/产科/儿科/女性保健/儿童保健

地址:玉田县无终西街1459号

电话:0315-6151126



医院床位灯怎么关以心为灯,守护生命——玉田县中医医院内二科_https://www.jmylbn.com_新闻资讯_第33张

唐山清任中西医结合医院

(西院区)

医疗/康复/医美/养老/照护

地址:玉田县无终西街3129号

电话:0315-6108000



医院床位灯怎么关以心为灯,守护生命——玉田县中医医院内二科_https://www.jmylbn.com_新闻资讯_第34张

玉田县无终街道社区卫生服务中心

(南院区)

城区居民公共卫生服务

施工建设中




医院床位灯怎么关以心为灯,守护生命——玉田县中医医院内二科_https://www.jmylbn.com_新闻资讯_第35张

高铁新城医院

(分院)

现代化综合医院

施工建设中




玉田县中医医院已开通网上预约挂号功能

点击上方“玉田县中医医院”公众号

可实现手机查询检验报告、预约挂号、支付等功能

医院床位灯怎么关以心为灯,守护生命——玉田县中医医院内二科_https://www.jmylbn.com_新闻资讯_第36张

网上挂号教程在这里