动脉长鞘怎么置入宁波市第二医院血管外科运用Castor®单分支支架结合长鞘建立导丝通路的方法治疗Stanford B型胸主动脉夹层一例

新闻资讯2026-04-21 02:52:53
动脉长鞘怎么置入宁波市第二医院血管外科运用Castor®单分支支架结合长鞘建立导丝通路的方法治疗Stanford B型胸主动脉夹层一例_https://www.jmylbn.com_新闻资讯_第1张


近日,宁波市第二医院血管外科收治一例Stanford B型胸主动脉夹层患者,且夹层远端累及至脏器区分支动脉。该患者存在降主动脉段多发破口,真腔受假腔压迫的情况,如何有效建立导丝通路并保持导丝始终在真腔内是对术者重要的挑战。患者手术特征明显,决定采用创伤较小,术后恢复较快的胸主动脉腔内介入修复术(TEVAR)手术治疗。郎德海教授及其手术团队最终决定采用上海微创心脉医疗科技(集团)股份有限公司(以下简称:心脉医疗)的Castor®分支型覆膜支架及输送系统(以下简称Castor®分支型支架)并结合长鞘建立导丝通路的方法成功治愈一名患者。

动脉长鞘怎么置入宁波市第二医院血管外科运用Castor®单分支支架结合长鞘建立导丝通路的方法治疗Stanford B型胸主动脉夹层一例_https://www.jmylbn.com_新闻资讯_第2张

病例介绍



患者女性,43岁

主诉:患者腹部疼痛四小时余入院;

既往史:患者高血压,卵巢囊肿;

CT辅助检查:

1. Stanford B型胸主动脉夹层;

2. 弓降部壁内血肿形成。

动脉长鞘怎么置入宁波市第二医院血管外科运用Castor®单分支支架结合长鞘建立导丝通路的方法治疗Stanford B型胸主动脉夹层一例_https://www.jmylbn.com_新闻资讯_第3张

CTA三维重建

动脉长鞘怎么置入宁波市第二医院血管外科运用Castor®单分支支架结合长鞘建立导丝通路的方法治疗Stanford B型胸主动脉夹层一例_https://www.jmylbn.com_新闻资讯_第4张

CT平扫


手术方案分析



1、根据术前评估结果显示,患者为Stanford B型主动脉夹层,夹层第一破口位于LSA以远157mm处,远端累及脏器区分支,考虑采用TEVAR优先封堵夹层的第一破口。

2、根据评估发现,左颈总动脉(LCCA)以远169mm处主动脉真腔直径仅为19.5mm,受假腔压迫,需重塑主动脉真腔,获得更多管腔直径。

动脉长鞘怎么置入宁波市第二医院血管外科运用Castor®单分支支架结合长鞘建立导丝通路的方法治疗Stanford B型胸主动脉夹层一例_https://www.jmylbn.com_新闻资讯_第5张

LCCA以远169mm处主动脉直径


3、该患者降主段多发破口,且脏器区分支动脉血供复杂,肠系膜上动脉、右肾动脉、肠系膜下动脉起源于真腔,腹腔干动脉、左肾动脉起源于假腔。常规从股动脉进入的导丝通路建立方法容易将导丝导入假腔,如何保持导丝始终在真腔内是此次手术的重要挑战。


计划采用长鞘建立导丝通路并选用Castor®分支型覆膜支架治疗:

1、 Castor®分支型覆膜支架将支架锚定在LCCA后缘,支架能向近端拓展健康锚定区的同时,也降低了支架内漏的风险。

2、 Castor®分支型覆膜支架采用主体与分支一体化结构,能直接重建LSA血流通道,并保持远期通畅性。

3、 采用从右股动脉导入长鞘,长鞘里同走超硬导丝和软泥鳅导丝的方法建立导丝通路,自下而上地探索真腔,建立左肱动脉-右股动脉的导丝通路后,从左肱动脉的泥鳅导丝导入导引导管至右股动脉穿出,然后在右股动脉交换为支架的分支导丝,完成分支导丝通路建立,有效减少手术难度与导丝进入假腔的风险。


术前评估



• LCCA后缘主动脉直径:30.2 mm;

• LCCA以远169mm处主动脉直径:19.5 mm;

• LSA远端直径:9 mm;

• 右侧入路最小直径:7.3 mm;

• LSA展开钟向角:LAO 35°;

•  LSA展开足位角:CAU 10°。

根据术前评估数据结果,拟采用主体近端规格为32mm,分支远端直径10mm,分支后移长度为5mm的Castor®分支型覆膜支架(C322610-1702505)。


手术过程



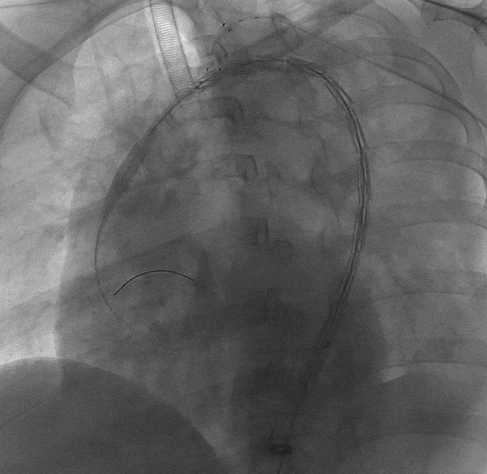
1、患者平躺后行全身麻醉手术,穿刺患者左肱动脉与右股动脉,并在左肱动脉置入穿刺鞘后,从右股动脉导入一根长鞘,长鞘里同走超硬导丝与软泥鳅导丝,自下而上地探索真腔,在软泥鳅导丝穿出左肱动脉后,完成左肱动脉-右股动脉的导丝通路建立后,从左肱动脉导入导引导管,接着在右股动脉交换泥鳅导丝为分支导丝,完成分支导丝通路建立,然后从右股动脉长鞘内并行导入造影导管至升主动脉,进行术前造影,确认患者为B型主动脉夹层。  

动脉长鞘怎么置入宁波市第二医院血管外科运用Castor®单分支支架结合长鞘建立导丝通路的方法治疗Stanford B型胸主动脉夹层一例_https://www.jmylbn.com_新闻资讯_第6张

长鞘走双导丝,泥鳅超选LSA

动脉长鞘怎么置入宁波市第二医院血管外科运用Castor®单分支支架结合长鞘建立导丝通路的方法治疗Stanford B型胸主动脉夹层一例_https://www.jmylbn.com_新闻资讯_第7张

术前DSA造影


2、随后撤出长鞘,从右侧股动脉沿超硬导丝上推输送系统至降主动脉,在褪下输送系统外管后,上推支架,在定位精准后,撤掉部分支架软鞘露出分支支架,助手配合牵拉分支导丝,使分支支架进入LSA。

动脉长鞘怎么置入宁波市第二医院血管外科运用Castor®单分支支架结合长鞘建立导丝通路的方法治疗Stanford B型胸主动脉夹层一例_https://www.jmylbn.com_新闻资讯_第8张

褪下部分软鞘后,牵拉分支支架进入LSA

动脉长鞘怎么置入宁波市第二医院血管外科运用Castor®单分支支架结合长鞘建立导丝通路的方法治疗Stanford B型胸主动脉夹层一例_https://www.jmylbn.com_新闻资讯_第9张

褪下剩余软鞘


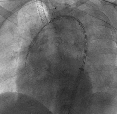
3、再次造影确认支架位置准确后,快速释放主体支架,助手配合牵拉分支导丝释放分支支架。

动脉长鞘怎么置入宁波市第二医院血管外科运用Castor®单分支支架结合长鞘建立导丝通路的方法治疗Stanford B型胸主动脉夹层一例_https://www.jmylbn.com_新闻资讯_第10张

释放主体支架

动脉长鞘怎么置入宁波市第二医院血管外科运用Castor®单分支支架结合长鞘建立导丝通路的方法治疗Stanford B型胸主动脉夹层一例_https://www.jmylbn.com_新闻资讯_第11张

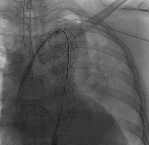
牵拉分支导丝释放分支


4、术后造影显示,主动脉夹层第一破口被有效隔绝,LSA血流通畅,真腔得到有效重塑,支架无移位或内漏现象发生,手术圆满成功。

动脉长鞘怎么置入宁波市第二医院血管外科运用Castor®单分支支架结合长鞘建立导丝通路的方法治疗Stanford B型胸主动脉夹层一例_https://www.jmylbn.com_新闻资讯_第12张

术后造影

动脉长鞘怎么置入宁波市第二医院血管外科运用Castor®单分支支架结合长鞘建立导丝通路的方法治疗Stanford B型胸主动脉夹层一例_https://www.jmylbn.com_新闻资讯_第13张

术后造影(胸腹主动脉)


专家简介

 动脉长鞘怎么置入宁波市第二医院血管外科运用Castor®单分支支架结合长鞘建立导丝通路的方法治疗Stanford B型胸主动脉夹层一例_https://www.jmylbn.com_新闻资讯_第14张

郎德海 教授

动脉长鞘怎么置入宁波市第二医院血管外科运用Castor®单分支支架结合长鞘建立导丝通路的方法治疗Stanford B型胸主动脉夹层一例_https://www.jmylbn.com_新闻资讯_第15张

宁波市第二医院血管外科主任、主任医师

硕士研究生导师


  • 中国医师协会血管外科分会委员;

  • 国家心血管病专家委员会血管外科专业委员会第一届全国委员;

  • 浙江省医学会血管外科分会副主任委员;

  • 浙江省医师协会血管外科分会副会长;

  • 浙江省中西医结合学会周围血管专业委员会主任委员;

  • 宁波市医学会血管外科分会主任委员。

多年来一直从事血管外科临床工作,在微创腔内治疗胸主动脉夹层动脉瘤和腹主动脉瘤颇有心得。在省内较早开展下肢动脉硬化闭塞症的手术及介入治疗,其手术成功率及远期通畅率在省内领先。此外较早开展颈动脉支架和内膜剥脱预防颈动脉狭窄引起的脑梗塞,在肾动脉狭窄,锁骨下动脉狭窄,四肢动脉瘤,内脏动脉瘤以及引起下肢肿胀、溃疡的下肢静脉曲张,下肢深静脉血栓形成的手术和介入治疗有丰富的临床经验。


 动脉长鞘怎么置入宁波市第二医院血管外科运用Castor®单分支支架结合长鞘建立导丝通路的方法治疗Stanford B型胸主动脉夹层一例_https://www.jmylbn.com_新闻资讯_第16张

胡松杰 教授

动脉长鞘怎么置入宁波市第二医院血管外科运用Castor®单分支支架结合长鞘建立导丝通路的方法治疗Stanford B型胸主动脉夹层一例_https://www.jmylbn.com_新闻资讯_第15张
  • 中国糖尿病足联盟青年委员;

  • 浙江省医师协会血管外科分会委员;

  • 浙江省中西医结合学会血管外科学分会委员;

  • 浙江省医学会血管外科分会青年委员会副主任委员;

  • 宁波市医学会血管外科分会委员兼秘书。

2004年毕业于浙江大学医学院临床医学专业,从事血管外科工作近20年,熟练掌握血管外科各类疾病的常规诊疗和微创介入技术。擅长下肢动脉硬化闭塞症、下肢深静脉血栓形成、下肢静脉曲张、颈动脉狭窄、内脏动脉疾病以及胸腹主动脉瘤、主动脉夹层等疾病的诊疗,在颈动脉狭窄外科治疗方面具有丰富的临床经验。每年完成手术操作1000余台,接诊近1800余例门诊病人。


科室介绍

动脉长鞘怎么置入宁波市第二医院血管外科运用Castor®单分支支架结合长鞘建立导丝通路的方法治疗Stanford B型胸主动脉夹层一例_https://www.jmylbn.com_新闻资讯_第18张

宁波市第二医院血管外科起步于本世纪初,2011年独立设科,成为宁波地区最早成立的血管外科专科。近年来,在医院的大力支持以及郎德海主任的带领下,专科队伍不断壮大,技术实力快速提升。


科室现有床位70张,专科医生22人,其中主任医师3人,硕士及以上学历21人,已经成为省内规模最大的的血管外科专科科室。


科室仅2023年一年共完成手术量4000余例,其中介入手术量1500余例,包括胸主动脉夹层、胸腹主髂动脉瘤200余例,下肢动脉硬化闭塞症400余例,颈动脉狭窄行内膜剥脱及支架置入百余例,同时为市内各家医院提供血管外科疾病的各种会诊技术支持,


血管外科在市内率先常规开展颈动脉内膜剥脱,年手术近90例;同时,常规开展主动脉夹层及胸腹主动脉瘤的开窗手术,包括左颈总、左锁骨下及肾动脉的体外预开窗和体内原位开窗,以及双开窗等,均取得了良好的效果,处于国内先进、市内领跑地位。

版权声明:本平台旨在帮助医疗卫生专业人士更好地了解相关疾病领域最新进展。本平台对发布的资讯内容,并不代表同意其描述和观点,仅为提供更多信息。若涉及版权问题,烦请权利人与我们联系,我们将尽快处理。仅供医疗卫生专业人士为了解资讯使用,该等信息不能以任何方式取代专业的医疗指导,也不应被视为诊疗建议。如该等信息被用于了解资讯以外的目的,本平台及作者不承担相关责任。合作联系邮箱:vascular@edoctor.work。

动脉长鞘怎么置入宁波市第二医院血管外科运用Castor®单分支支架结合长鞘建立导丝通路的方法治疗Stanford B型胸主动脉夹层一例_https://www.jmylbn.com_新闻资讯_第19张