动脉钳怎么用动脉重度钙化导丝无法通过 针具技术超补救策略

新闻资讯2026-04-21 02:52:23
动脉钳怎么用动脉重度钙化导丝无法通过 针具技术超补救策略_https://www.jmylbn.com_新闻资讯_第1张


动脉钳怎么用动脉重度钙化导丝无法通过 针具技术超补救策略_https://www.jmylbn.com_新闻资讯_第2张

黄石市磁湖之滨团城山公园 中国4A

动脉钳怎么用动脉重度钙化导丝无法通过 针具技术超补救策略_https://www.jmylbn.com_新闻资讯_第3张
动脉钳怎么用动脉重度钙化导丝无法通过 针具技术超补救策略_https://www.jmylbn.com_新闻资讯_第4张

当导丝无法通过:针具技术在重度钙化外周动脉疾病中的超补救策略——系统综述与2024-2025年进展深度解析

前言

外周动脉疾病(Peripheral Artery Disease, PAD)的患病率在全球范围内持续上升,其中伴有重度钙化的复杂病变仍是介入治疗领域最具挑战性的难题之一。当常规球囊、斑块旋切甚至血管内碎石设备失败或不可及时,以针具为基础的斑块修饰技术(如压裂、PIERCE及其多种改良术式)作为一种超补救性手段,重新进入了介入医师的视野。然而,这些技术目前仅见于小样本病例报告和病例系列,缺乏系统的整合与批判性评价。

动脉钳怎么用动脉重度钙化导丝无法通过 针具技术超补救策略_https://www.jmylbn.com_新闻资讯_第5张

外周动脉疾病(PAD)源于下肢血流量减少,既往认为其由动脉粥样硬化斑块所致。如今,新兴的临床与遗传学数据显示,单纯的中膜动脉钙化(MAC)亦可导致血管闭塞。驱动MAC发病机制的分子机制不同于驱动动脉粥样硬化斑块钙化的通路。虽然动脉粥样硬化斑块和MAC均可引起PAD,但膝上血管更易发生前者,而膝下血管更易发生后者。未来的研究必须致力于开发无创工具,帮助医师判断特定患者的PAD究竟源于动脉粥样硬化、MAC、还是两者兼有,从而精准选择治疗策略。

本文基于2026年4月9日在线发表于米国心血管血管造影与介入治疗学会杂志(JSCAI)的系统综述针具策略治疗复杂钙化外周动脉疾病:系统综述(Advanced Needle-Based Strategies for Complex Calcified Peripheral Artery Disease: A Systematic Review),对该综述的全部内容、研究方法、15项研究(101例患者)的数据结果进行了全面、详实的介绍与归纳。原文中的所有表格数据已被综合提炼为两个新的三列表格,以更清晰的方式呈现各技术的核心参数与结局。

动脉钳怎么用动脉重度钙化导丝无法通过 针具技术超补救策略_https://www.jmylbn.com_新闻资讯_第6张

作者单位与附注:

a 印度尼西亚,泗水,艾尔朗加大学,医学院,心脏与血管医学系(通讯作者单位)

b 印度尼西亚,泗水,艾尔朗加大学医院,心脏与血管医学系(通讯作者单位)

c 印度尼西亚,雅加达,哈里潘基塔国家心血管中心医院,印度尼西亚大学,医学院,心脏与血管医学系

d 印度尼西亚,泗水,苏托莫博士综合学术医院,心脏与血管医学系

e 印度尼西亚,泗水,艾尔朗加大学,医学院

f 印度尼西亚,泗水,卫生部中央综合医院

g 韩国,首尔,高丽大学九老医院,心血管中心


动脉钳怎么用动脉重度钙化导丝无法通过 针具技术超补救策略_https://www.jmylbn.com_新闻资讯_第7张

印度尼西亚Airlangga大学医学院

根据 JSCAI 系统综述内容分析,该综述涉及的钙化类型同时包括动脉粥样硬化斑块钙化中膜动脉钙化(MAC),但以中膜动脉钙化(MAC) 的技术挑战和针具策略为核心关注点。

外周动脉粥样硬化斑块钙化中膜动脉钙化(MAC)区别。

特征
动脉粥样硬化斑块钙化
中膜动脉钙化(MAC)
定义与部位
发生于动脉粥样硬化斑块内部,位于内膜层,常伴随脂质核心、纤维帽及炎症反应
发生于动脉中膜层,独立于动脉粥样硬化,不伴有脂质沉积或炎症浸润
解剖分布
多见于膝上血管,如股总动脉、股浅动脉、腘动脉近端;呈局灶性、偏心性或结节状分布
多见于膝下血管,如胫前动脉、胫后动脉、腓动脉;呈弥漫性、连续性、环形分布
分子机制
由脂质沉积、内皮功能障碍、炎症因子(如IL-1、TNF-α)驱动,类似骨形成过程(成骨细胞分化)
由高磷血症、高钙血症、尿毒症毒素(CKD患者)、糖尿病等驱动,平滑肌细胞向成骨样细胞表型转化,不依赖传统炎症通路
临床关联
与高脂血症、吸烟、高血压、代谢综合征等传统动脉粥样硬化危险因素密切相关
与慢性肾脏病、糖尿病、透析、老龄化、钙磷代谢紊乱(高磷、高钙×磷乘积)密切相关
影像学特征(IVUS/OCT)
表现为高回声斑块伴声影,可呈片状、点状或结节状(钙化结节),常伴斑块负荷增加
表现为连续的环形高回声带(“双轨征”),中膜增厚,管腔可能无明显狭窄但僵硬
对介入治疗的影响
局灶性钙化可导致球囊扩张不全、支架膨胀不全;结节性钙化可致球囊破裂
环形钙化形成“水泥管”样结构,球囊扩张极为困难,导丝可通过但小球囊无法跟进或扩张
治疗策略
斑块旋切(浅表)、压裂或PIERCE(深层结节)、IVL(中重度)、支架植入
IVL(首选,但球囊尺寸受限)、压裂或FRAP-CROSS(环形钙化)、内PIERCE(踝下小血管)、外科旁路(弥漫病变)
预后
支架内再狭窄风险与钙化弧度、厚度相关;药物涂层球囊有一定疗效
单纯球囊成形再狭窄率高;药物涂层球囊疗效不确定;保肢率与流出道质量相关

说明:


该表格基于原文图1及近年来血管钙化领域的分子病理学进展,系统区分了动脉粥样硬化斑块钙化(传统意义上的钙化)与中膜动脉钙化(MAC)在解剖分布、分子机制、影像特征及介入策略上的显著差异。MAC常见于糖尿病、慢性肾脏病及透析患者,主要表现为膝下动脉的弥漫性环形钙化,是针具技术(特别是内PIERCE和FRAP-CROSS)的重要应用场景。理解这两种钙化的区别,对于术者选择合适的斑块修饰策略具有重要意义。


在此基础上,本文结合2024年ESC及ESVS外周动脉疾病指南、2021-2025年期间的血管内碎石、斑块旋切及针具技术的最新进展,从技术定位、力学机制、钙化类型匹配、并发症管理、证据局限性及未来研究方向等维度,对该领域进行了深入的批判性评述。全文以连续的叙事性文字为主,力求内容充实、数据翔实、表述严谨。

需要特别指出的是,本综述所依据的原始证据绝大多数来自病例报告和病例系列,缺乏随机对照试验和大样本前瞻性登记研究。因此,本文所总结的技术成功率、通畅率和并发症发生率均存在发表偏倚和操作者依赖性的影响,不应直接外推至常规临床实践。文中的所有结论均应在这一证据等级的框架下审慎解读。

本文旨在为读者提供一份关于针具技术在外周动脉重度钙化病变中应用的、兼具系统性与批判性的参考资料。

1. 第一部分:原始研究论文内容全面介绍与数据综合归纳

1.1 研究背景与临床问题的深层剖析

外周动脉疾病(Peripheral Artery Disease, PAD)在全球范围内的患病率随人口老龄化持续上升,尤其在糖尿病、慢性肾脏病及长期吸烟人群中更为突出。根据2024年ESC指南,下肢PAD影响全球超过2亿人,其中约11%的患者表现为间歇性跛行,而进展为慢性肢体威胁性缺血(Chronic Limb-Threatening Ischemia, CLTI)的患者年截肢率高达20%-25%。在CLTI患者中,重度钙化是导致介入治疗失败、转为外科旁路手术或截肢的最强独立预测因子之一。

钙化斑块的病理类型分为内膜性钙化(常见于动脉粥样硬化晚期,呈片状或结节状)、中膜性钙化(Mönckeberg硬化,多见于糖尿病和慢性肾病,呈环形、连续状)以及混合型。其中,中膜环形钙化对球囊扩张的抵抗最强,因为其钙化层位于平滑肌层外,球囊压力无法有效撕裂该结构。常规高压球囊(额定爆破压20-24 atm)在遇到360°中膜钙化时,常常出现“狗骨征”(dog-boning)或局部夹层,而管腔获得极小。斑块旋切设备(如TurboHawk、JetStream)对浅表内膜钙化有效,但对深层或环形中膜钙化效果有限,且有远端栓塞和穿孔风险。血管内碎石(Intravascular Lithotripsy, IVL)通过冲击波选择性作用于钙化,对中膜钙化有效,但设备昂贵、球囊尺寸限制(目前最小IVL球囊直径为2.5mm,如Shockwave M5+,适用于2.5-4.0mm血管,仍无法用于更细的踝下动脉如足背动脉直径1.5-2.5mm)。

正是在上述技术困境下,针具为基础的斑块修饰技术重新进入介入医师的视野。这些技术并非全新发明,而是对早年“锐性再通”(sharp recanalization)概念的现代化改良,结合了压力监测、IVUS引导、顺逆向导丝会师等先进理念,形成了包括压裂(fracking)、PIERCE及其多种改良术式在内的系统性技术家族。

1.2 研究方法的质量控制与局限性分析

该系统性综述遵循PRISMA 2020指南,研究方案在PROSPERO注册(CRD420251113480)。检索数据库包括PubMed、Web of Science、ScienceDirect、Springer、Cochrane Library、ClinicalTrials.gov及ProQuest,检索截止日期为2025年7月31日。纳入标准为:接受重度钙化PAD介入治疗的成人患者;采用针具或斑块修饰技术;英文发表。排除标准:仅关注冠状动脉介入、非人类研究、无全文。研究类型包括病例报告、病例系列及回顾性队列研究。质量评估采用纽卡斯尔-渥太华量表(观察性研究)及Joanna Briggs Institute工具(病例报告/系列)。由于研究异质性显著,未进行Meta分析,采用定性综合。

共纳入15项研究、101例患者。研究设计包括9项病例报告、4项病例系列、2项回顾性队列研究。主要研究来源为日本,另有中国、新加坡、泰国、意大利、英国、阿联酋。男性占比25%-100%,年龄范围55-89岁,多数>65岁。体重指数(BMI)报告不一,仅Haraguchi等10研究中压裂组21.30±2.90 kg/m²,球囊组22.80±4.20 kg/m²。

合并症方面,高血压最常见(73.3%-100%),糖尿病(最高76%),血脂异常、吸烟史常见但报告不完整,冠心病(含冠脉搭桥术后)见于Nakama等19及Troisi等22,慢性肾脏病在部分队列中达100%。

病变部位分布广泛:股总动脉(CFA)最多见(压裂技术),PIERCE及其改良技术应用于股浅动脉(SFA)、髂动脉、股腘动脉、胫前动脉(ATA)、胫后动脉(PTA)、足背动脉、跗内侧动脉等。多数病变为常规导丝或球囊通过失败后的补救性治疗。

1.3 各技术的详细原理、操作步骤与结果解读(后附原文技术示意图)

1.3.1 压裂技术(Fracking)

压裂技术采用经皮置入18G针至钙化斑块内,球囊加压注射液压,压力骤降提示钙化断裂。具体操作步骤为:在常规球囊扩张失败后(残余狭窄>50%或IVUS示MLA<12mm²),保留导丝和微导管;更换为8F或9F长鞘增加支撑力;将18G穿刺针(外径1.3mm,内径约0.9mm)经皮穿刺,在双平面透视或IVUS引导下,针尖指向钙化最厚处(IVUS表现为高回声伴声影,钙化厚度>1mm);确认针尖位于钙化斑块内后撤出针芯,连接高压注射器或手动压力泵;选择与血管直径匹配的半顺应性或非顺应性球囊(通常直径5-7mm用于CFA),置于针尖所在节段,以4-6 atm低压扩张,使球囊紧贴血管壁;通过针腔缓慢注射生理盐水(或50%造影剂混合液),同时监测注射压力和球囊压力,当注射压力达到300-400 psi(约20-28 atm)时通常会突然下降50-100 psi,同时球囊压力曲线出现“凹陷”或“抖动”,提示钙化断裂;立即停止注射,撤出针,用球囊充分扩张(10-20 atm,持续30-60秒),IVUS复查证实MLA显著增大;根据残余狭窄和夹层情况决定是否植入支架或仅使用药物涂层球囊。

临床结果方面,Haraguchi等5报告2例CFA病变,术前MLA分别为6.2 mm²和10 mm²(相当于直径约2.8 mm和3.6 mm的管腔),术后增至27 mm²以上(直径约5.9 mm),残余狭窄0%,24个月随访无再狭窄或再干预。Haraguchi等10的59例队列研究显示,压裂组术后MLA 22.10±4 mm²,球囊组仅12.70±3.30 mm²(p<0.001)。1年一期通畅率89.8% vs 49.2%(p<0.001),靶病变血运重建自由生存率93.5% vs 74.2%(p=0.02),严重不良肢体事件76.9% vs 48.6%(p=0.01)。手术时间:压裂组平均10.10±3.80分钟;辐射时间:压裂组25.50±13.80分钟,球囊组51.60±44.30分钟(p<0.05)。多因素分析显示,术后MLA≥16 mm²是预测12个月通畅的独立因子(OR 5.8, 95%CI 2.1-16.0, p=0.001)。CFA正常直径6-8mm,对应面积28-50 mm²。术后MLA达22.10±4 mm²(直径约5.3mm),在静息状态下足以维持肢体灌注,但剧烈运动时可能仍显不足,原作者未报告运动负荷下的血流动力学数据。

1.3.2 PIERCE及其改良技术

PIERCE及其改良技术使用16-21G针直接穿刺钙化帽/体。

直接PIERCE

直接PIERCE(Ichihashi等6)适用于导丝已穿过钙化段但微导管或小球囊(1.5mm或2.0mm)无法跟进的场景。操作时将16-19G穿刺针(外径1.0-1.6mm)经皮穿刺直接刺入钙化最硬处,轻轻推进至手感突破后停止,撤针芯后从针腔送入0.014”导丝至远端真腔,再沿导丝送入小球囊。该研究4例全部成功,3例后续植入支架,2例出现穿刺道少量出血(皮下瘀斑),无需输血或手术干预。

Rendezvous-PIERCE

Rendezvous-PIERCE(Haraguchi等11)适用于顺向导丝完全无法穿透钙化帽或病变位于分叉处。操作时建立双入路(顺行股动脉+逆行腘动脉/胫动脉穿刺),顺行送入0.014”导丝至钙化近端,逆行送入另一根导丝至钙化远端。在双平面透视下,逆行穿刺针(18-20G)朝向顺向导丝方向钻入钙化体,直至针尖触及顺向导丝,撤出针芯后从针腔送入顺行导丝并抓住,建立“穿通导丝”后行球囊扩张。报告2例(ATA和股腘动脉),均成功,无并发症,6-12个月无症状。

内PIERCE(Inner PIERCE)

内PIERCE(Nakama等19, Takei等21)适用于导丝已通过钙化段但任何球囊(包括1.25mm)无法跟进,且病变位于BTK或踝下微小血管。操作时将导丝从远端穿出(通过经皮穿刺或血管穿出点),在体外抓住导丝两端形成“穿通导丝”,然后沿导丝送入穿刺针(20G或21G,长度可达310mm),针尖在导丝引导下精确通过钙化环,边旋转边推进。针通过后撤针保留导丝,再送入小球囊。Takei等21报告18例BTK/踝下病变,技术成功率94.4%(17/18),1例失败因钙化过于致密,成功病例残余狭窄均<30%,无穿孔、无远端栓塞、无限流夹层,随访6个月伤口愈合率约90%。Nakama等19报告1例远端PTA/足底动脉,4个月伤口愈合,1年血管通畅(超声确认)。

1.3.3 FRAP-CROSS

FRAP-CROSS(Haraguchi等12)是目前最复杂的混合技术,用于弥漫性、长段、360°钙化闭塞(通常>10cm),常规导丝、微导管、球囊、甚至IVL均失败。操作步骤为:建立双入路;在钙化段的近端和远端分别进行压裂(将18-20G针分别穿刺进入钙化体近端和远端,球囊低压扩张后注射生理盐水,使钙化产生微裂纹);然后采用Rendezvous-PIERCE(从远端逆行穿刺钻向近端,由于钙化已被压裂弱化,针更容易穿透且更易被顺向导丝捕获);建立穿通导丝后逐级球囊扩张(1.5mm→3.0mm→5.0mm);最终实现无支架治疗(因为钙化断裂充分、管腔获得满意、弹性回缩轻微)。报告1例股腘动脉弥漫钙化闭塞(长度约15cm),成功实现真腔内导丝通过,最终使用药物涂层球囊,未植入支架。术后即刻无穿孔、无远端栓塞、无限流夹层。需明确:该病例随访时间仅至术后即刻,长期(6个月及以上)通畅性和再狭窄率未报告,长期耐久性尚待验证。

1.3.4 其他技术

BAMBOO SPEAR

BAMBOO SPEAR(Hayakawa等13)使用21G弯针钻穿CFA钙化核心,弯针可以在钙化表面“滑行”寻找薄弱点,同时常规放置远端滤网(Parachute滤网)于腘动脉以防脱落的钙化碎片。5个月随访血管通畅。

活检钳提取

活检钳提取(Hirano等14)使用心肌活检钳经6F鞘送入,在IVUS引导下反复抓取、拽出钙化碎片,共进行21次提取。术后IVUS显示钙化环多处断裂,支架充分膨胀。术后踝臂指数(ABI)从术前0.58升至1.06,恢复正常范围(正常值≥0.90),提示患者从重度跛行恢复至无跛行症状。9个月随访无再狭窄。

BECOST

BECOST(Horsirimanont和Kittitirapong15)使用钝头针沿穿通导丝前行,依靠“挤压力”而非“切割力”裂解钙化,理论上穿孔风险低于锐针。4例BTK病变全部成功,但75%出现非限流夹层(内膜片状掀起但不影响血流),1例穿刺点出血需凝血酶注射。手术时间较长(230-510分钟),提示操作复杂。

锐性再通 (Sharp Recanalization)

锐性再通(Huang等16, Kim等17)使用导丝硬端穿透钙化帽。Huang等16报告2例SFA/腘动脉病变,ABI改善至0.78和0.94,1例足趾截肢,1例7个月再次干预。Kim等17报告2例(CIA和ATA),病变通过成功,无并发症。

DECIAP

DECIAP(Kum等18)采用小切口(1cm)直接暴露钙化血管段,用16G动脉钳在透视下钳夹钙化壁,造成可控的多点骨折。4例BTK病变中2例残余狭窄≤30%。1例穿孔(球囊压迫成功),1例术后6天死亡,原始论文作者推测为不相关的脓毒症,但因果关系无法完全排除,因皮肤切口存在感染风险。该技术接近外科手术,适合腔内技术完全失败且不适合旁路手术的患者。

1.4 原始表格数据综合归纳

以下两个表格完整覆盖原始论文Table 1中全部15项研究的数据。

表格1. 针具与压裂类技术(Fracking、PIERCE系列、BAMBOO SPEAR)

技术/研究者
病变部位与关键设备
主要结果与并发症
Fracking – Haraguchi et al, 2021
CFA;18G针,IVUS指导
MLA从~7→27 mm²;100%成功;>24个月通畅;无并发症
Fracking vs Balloon – Haraguchi et al, 2023
CFA(59例);18G针
成功率97% vs 74%;1年通畅90% vs 49%;压裂组6.25%鞘管穿刺点出血
Rendezvous-PIERCE – Haraguchi et al, 2024
ATA、股腘动脉;18-20G逆行针
球囊通过,止血成功;6-12个月无症状;无再干预
FRAP-CROSS – Haraguchi et al, 2025
股腘动脉弥漫钙化闭塞;20G或21G金属针
导丝成功通过,球囊成形,无支架;无穿孔、栓塞、限流夹层
BAMBOO SPEAR – Hayakawa et al, 2022
CFA;21G弯针,远端滤网保护
5个月血管通畅;远端栓塞可能性无法排除
PIERCE – Ichihashi et al, 2014
SFA、PTA(4例);16-19G针
球囊通过率100%;2例(50%)穿刺道轻微出血
PIERCE – Takamura et al, 2016
远端SFA;21G针
理想支架扩张;无并发症
Inner PIERCE – Nakama et al, 2020
远端PTA、足底动脉;18G PTCD针
4个月伤口愈合;1年通畅;无并发症
Inner PIERCE – Takei et al, 2021
BTK、踝动脉(18例);20G穿刺/活检针
技术成功率94.4%;残余狭窄<30%;无并发症
PIERCE – Troisi et al, 2023
跗内侧动脉;20G桡动脉穿刺针
直接血流恢复,10天伤口近愈合;趾臂指数0.92

表格2. 其他针具及机械斑块修饰技术(BECOST、活检钳、Sharp Recanalization、DECIAP)

技术/研究者
病变部位与关键设备
主要结果与并发症
BECOST – Horsirimanont & Kittitirapong, 2025
BTK(4例);钝头针,穿通导丝
100%成功;75%伤口愈合(3个月);75%非限流夹层;1例(25%)穿刺点出血需凝血酶
活检钳提取 – Hirano et al, 2021
SFA开口;心肌活检钳
ABI正常化(1.06);9个月无再狭窄;未报告并发症
Sharp Recanalization – Huang et al, 2012
SFA、腘动脉(2例);Terumo导丝硬端
ABI改善(0.78,0.94);1例足趾截肢;1例7个月再次干预
Sharp Recanalization – Kim et al, 2021
CIA、ATA(2例);导丝硬端
病变通过成功;无并发症
DECIAP – Kum et al, 2020
多处BTK(4例);16G动脉钳
球囊成功率100%;≤30%残余狭窄(2例);1例穿孔;1例术后6天死亡(原作者推测为不相关脓毒症)

动脉钳怎么用动脉重度钙化导丝无法通过 针具技术超补救策略_https://www.jmylbn.com_新闻资讯_第8张

原文图1. 使用外部器械进行病变修饰。(A)压裂技术:利用液压裂解深层钙化斑块。(B)DECIAP技术:使用动脉钳夹碎钙化斑块。DECIAP:钳夹诱导动脉斑块开裂直接内膜切除术。


动脉钳怎么用动脉重度钙化导丝无法通过 针具技术超补救策略_https://www.jmylbn.com_新闻资讯_第9张

原文图2. 经皮直接钙化斑块穿刺(PIERCE)技术及其改良术式。(A)直接PIERCE技术:经皮穿刺针刺入钙化斑块以辅助球囊或导丝通过。(B)BECOST技术:在张力性穿通导丝上使用钝头针裂解钙化病变。(C)会师-PIERCE技术:逆行针穿过重度钙化向顺行导丝方向钻入。(D)BAMBOO SPEAR技术:弯曲的裸金属针钻入联合辅助球囊血管成形术。(E)活检钳技术:机械性切除钙化斑块。BAMBOO SPEAR:针钻法;BECOST:张力性穿通导丝上钝性内膜下开裂。


动脉钳怎么用动脉重度钙化导丝无法通过 针具技术超补救策略_https://www.jmylbn.com_新闻资讯_第10张

原文中央插图. 复杂钙化外周动脉疾病(PAD)的先进针具策略。针对常规导丝通过或球囊扩张失败的严重钙化PAD病变,采用基于针具的斑块修饰技术的示意图。BAMBOO SPEAR:针钻法;BECOST:张力性穿通导丝上钝性内膜下开裂;DECIAP:钳夹诱导动脉斑块开裂直接内膜切除术;IVL:血管内碎石术;PIERCE:经皮直接钙化斑块穿刺。


JSCAI论文中介绍的所有针具技术汇总:

技术名称(英文/缩写)
技术原理与操作要点
主要应用部位与关键结果
Fracking(压裂技术)
经皮置入18G针至钙化斑块内,球囊低压扩张贴壁后,通过针腔注射生理盐水产生液压(300-400 psi),压力骤降提示钙化断裂
CFA;MLA从~7 mm²增至>22 mm²;1年通畅率89.8%(vs 球囊49.2%);6.25%鞘管穿刺点出血
PIERCE(经皮直接钙化斑块穿刺)
16-21G针经皮直接穿刺钙化帽/体,建立通道后送入导丝和球囊
SFA、PTA;球囊通过率100%;50%轻微穿刺道出血;3例需支架植入
Rendezvous-PIERCE(会师-PIERCE)
顺行+逆行双入路,逆行针钻向顺向导丝,建立穿通导丝后球囊扩张
ATA、股腘动脉;2例均成功;无并发症;6-12个月无症状
Inner PIERCE(内PIERCE)
导丝外置化形成穿通导丝,沿导丝送入20-21G针,边旋转边推进通过钙化环
BTK、踝动脉(18例);技术成功率94.4%;残余狭窄<30%;无穿孔
FRAP-CROSS
压裂+Rendezvous-PIERCE联合:先压裂弱化钙化,再行会师穿刺
股腘动脉弥漫钙化闭塞(>10cm);1例成功;无支架;即刻无穿孔/栓塞
BAMBOO SPEAR(针钻法)
21G弯针钻穿钙化核心,弯针可在钙化表面滑行寻找薄弱点;常规放置远端滤网
CFA;5个月通畅;远端栓塞可能性无法排除
BECOST(钝性内膜下开裂)
钝头针沿穿通导丝前行,依靠挤压力而非切割力裂解钙化
BTK(4例);技术成功率100%;75%非限流夹层;1例穿刺点出血需凝血酶注射
Biopsy Forceps(活检钳提取)
心肌活检钳经6F鞘送入,IVUS引导下反复抓取、拽出钙化碎片(21次提取)
SFA开口;ABI从0.58升至1.06;9个月无再狭窄
Sharp Recanalization(锐性再通)
使用导丝硬端(Terumo导丝)穿透钙化帽
SFA、腘动脉、CIA、ATA;ABI改善(0.78,0.94);1例足趾截肢;1例7个月再次干预
DECIAP(钳夹诱导动脉斑块开裂)
1cm小切口直接暴露钙化段,16G动脉钳在透视下钳夹钙化壁
BTK(4例);球囊成功率100%;≤30%残余狭窄(2例);1例穿孔;1例术后6天死亡(推测脓毒症)

说明:


该表格完整覆盖了该JSCAI系统综述中介绍的全部10种针具技术(Needle-Based Strategies)。技术按液压类(Fracking)、穿刺类(PIERCE家族)、切割类(活检钳、锐性再通)、钳夹类(DECIAP)及混合类(FRAP-CROSS)分类呈现。各技术的操作要点、应用部位及关键结果数据均直接来源于原文Table 1及正文描述。其中,PIERCE家族(包括直接PIERCE、Rendezvous-PIERCE、Inner PIERCE)是该综述的核心技术群,而FRAP-CROSS是2025年最新报道的混合技术。读者可根据病变部位(CFA vs BTK)、钙化类型(环形 vs 偏心 vs 结节)及可用器械,选择相应的针具策略。

2. 第二部分:结合近年全球血管外科最新进展的专业评述

2.1 技术定位的历史演变与当代价值

在血管介入的历史上,锐性再通并非新鲜事物。早在1990年代,当常规导丝无法通过慢性完全闭塞(CTO)时,就有术者使用穿刺针或导丝硬端进行“针刺”再通。但当时缺乏IVUS引导、压力监测和顺逆向导丝会师技术,穿孔和夹层发生率较高,该技术仅作为“最后孤注一掷”的手段,未能写入主流指南。近十年,随着IVUS和双平面透视的普及,以及冠脉CTO介入中“会师技术”(rendezvous)的成熟,针具技术获得了新的生命。2014年Ichihashi等6发表的PIERCE技术是这一复兴的标志。此后,日本学者(尤其是Haraguchi团队)对该技术进行了系统化的改进和命名,形成了压裂、Rendezvous-PIERCE、FRAP-CROSS等技术阶梯。

与同时期发展的IVL相比,针具技术的定位是超补救性手段(ultra-bailout)或极端解剖条件下的首选。IVL的适应证是“球囊可通过但扩张不全”的中重度钙化;而针具技术的适应证是“导丝和球囊均无法通过或扩张”的重度、致密、局灶性钙化。两者并非竞争关系,而是互补。在未来的临床路径中,合理顺序应为:常规球囊→高压球囊/特殊球囊→IVL或斑块旋切→针具技术→外科旁路手术。

技术/概念
代表性文献
发表年份
锐性再通(早期)
Huang et al., Case Rep Cardiol
2012
PIERCE技术(复兴标志)
Ichihashi et al., JVIR
2014
压裂技术(Fracking)
Haraguchi et al., CVIR Endovasc
2021
IVL(对比参照)
Tepe et al., JACC Cardiovasc Interv
2021
FRAP-CROSS
Haraguchi et al., CVIR Endovasc
2025

动脉钳怎么用动脉重度钙化导丝无法通过 针具技术超补救策略_https://www.jmylbn.com_新闻资讯_第11张

经皮直接穿刺股浅动脉或胫动脉钙化斑块以辅助球囊导管通过及钙化病变球囊扩张的技术。


通讯作者单位:奈良县立医科大学


动脉钳怎么用动脉重度钙化导丝无法通过 针具技术超补救策略_https://www.jmylbn.com_新闻资讯_第12张
动脉钳怎么用动脉重度钙化导丝无法通过 针具技术超补救策略_https://www.jmylbn.com_新闻资讯_第13张

2.2 力学机制与钙化类型匹配原则

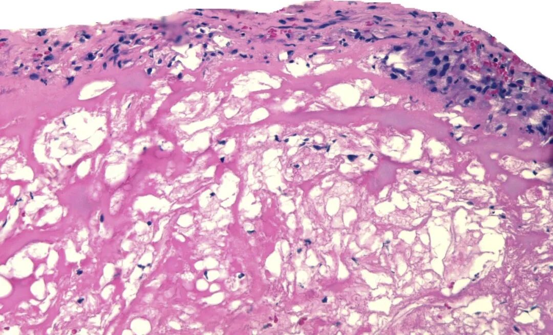
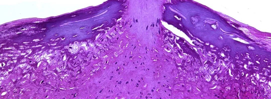
不同类型钙化对机械力的响应不同,选择错误的技术会导致失败或并发症。基于现有证据和生物力学原理,建议以下匹配原则:浅表偏心钙化(内膜型,厚度<1mm)首选斑块旋切或切割球囊,备选PIERCE,应避免IVL(效果过度);深层偏心钙化(内膜下结节)首选压裂或PIERCE,备选高压球囊,避免单纯球囊;环形中膜钙化(Mönckeberg型,常见于CKD/糖尿病)首选IVL或压裂(FRAP-CROSS),备选BECOST(钝针),避免斑块旋切;混合型(内膜+中膜)首选FRAP-CROSS,备选压裂+PIERCE序贯,避免单一技术;结节性钙化(骨化,可见骨小梁结构)首选活检钳提取或DECIAP,备选压裂,球囊基本无效。

结节性钙化是最具挑战性的一种,常见于CKD患者。组织学上可见成骨细胞、骨小梁甚至骨髓腔。常规球囊扩张时,结节像“石头”一样突出于管腔,导致球囊破裂或严重不对称扩张。活检钳提取和DECIAP是目前少数有效的腔内减容手段。压裂技术虽能使结节产生裂纹,但难以彻底碎裂。

动脉钳怎么用动脉重度钙化导丝无法通过 针具技术超补救策略_https://www.jmylbn.com_新闻资讯_第14张

外周动脉疾病患者中钙化结节与斑块破裂的分布:一项血管内超声分析。

通讯作者单位:兵库医科大学,日本兵库县

动脉钳怎么用动脉重度钙化导丝无法通过 针具技术超补救策略_https://www.jmylbn.com_新闻资讯_第15张

钙化结节与斑块破裂的代表性血管内超声图像。钙化结节为一团突入动脉管腔内的圆形钙化组织(a)。斑块破裂则表现为一个与管腔相通的空腔(星号标记),其上覆有残余的纤维帽碎片(b)。


动脉钳怎么用动脉重度钙化导丝无法通过 针具技术超补救策略_https://www.jmylbn.com_新闻资讯_第16张

钙化结节患者与斑块破裂患者支架植入术后获得的代表性血管内超声图像。a 支架释放后,在钙化结节患者中观察到支架膨胀不全及支架不对称。b 在斑块破裂患者中,血管内超声证实支架充分扩张。CSA:横截面积。

我们在搜索这一领域的代表性文献时,发现来自日本单位的文献较多。这得益于多种因素:日本每年超25万例PCI的高手术量、医保对IVUS/OCT的常规覆盖、介入界“试与看”(try and see)的务实文化、活跃的学术组织与产业界的紧密协作,以及术者对钙化病变的长期攻关。此外,三级分诊,临床医生工作量不过载,才能有精力思考与创新,也可能是重要因素。

2.3 临床结局的批判性解读

虽然本综述中报告的技术成功率高达94%-100%,但必须认识到这些数据来自高度选择的病例(发表偏倚)、由经验丰富的术者完成(操作者偏倚)、且多数为短期随访(耐久性偏倚)。在IVL出现前,对于导丝/球囊无法通过的钙化CTO,外科旁路手术是标准治疗。外科旁路手术的1年通畅率约80%-90%,但围术期并发症(伤口感染、淋巴漏、心血管事件)发生率约15%-20%,住院时间7-14天。针具技术的住院时间通常1-2天。关于严重并发症发生率:本综述101例患者中,需干预的严重并发症包括1例穿孔(DECIAP,球囊压迫成功)、1例穿刺点出血需凝血酶注射(BECOST)、无死亡直接归因于技术操作。据此估算严重并发症发生率约2-3%,但因样本量小且存在发表偏倚,真实发生率尚不明确。

与斑块旋切相比,DEFINITIVE AR研究(470例)显示SilverHawk旋切在SFA病变中的1年通畅率约75%,穿孔率约1.5%,远端栓塞率约2.8%。针具技术的栓塞风险理论上更低(因为不产生大量碎屑),但现有数据不足以确认。

BTK和踝下病变具有特殊性。Takei等21的18例内PIERCE研究中,94.4%技术成功,无穿孔。这一结果对于CLTI保肢具有重要意义。2023年发表的Disrupt BTK研究显示,IVL在BTK的技术成功率约92%,但穿孔率约2.5%(因球囊尺寸与血管不匹配)。针具技术在小血管中的优势在于:穿刺针直径仅0.8mm(21G),远小于最小IVL球囊(2.5mm),不会过度扩张血管。此外,踝下血管(足背动脉、跗内侧动脉)常伴有严重迂曲,IVL球囊无法通过,而21G针具有更好的通过性。

动脉钳怎么用动脉重度钙化导丝无法通过 针具技术超补救策略_https://www.jmylbn.com_新闻资讯_第17张

一种采用穿刺针对膝下及踝下动脉重度钙化病变进行经皮腔内裂解的新技术。

高津综合医院,日本神奈川县。

动脉钳怎么用动脉重度钙化导丝无法通过 针具技术超补救策略_https://www.jmylbn.com_新闻资讯_第18张

a、b. 内PIERCE技术示意图。图a显示,通过建立顺行入路部位与远端穿刺部位之间的导丝外置化,或通过顺行球囊导管在钙化病变近端锚定逆行导丝,实施远端BTK或BTA穿刺的双向入路。图b显示,从远端穿刺部位沿导丝将20G穿刺针置入动脉内,小心地边旋转边推进20G穿刺针,数次穿过钙化病变。

动脉钳怎么用动脉重度钙化导丝无法通过 针具技术超补救策略_https://www.jmylbn.com_新闻资讯_第19张

a–f. 器械输送困难的代表性病例。术前血管造影(a)显示胫后动脉(PTA)长段慢性完全闭塞(CTO)。图b显示,从PTA远端的逆行导丝穿过CTO病变并被外置化。低剖面球囊导管无法穿过钙化病变(虚线)。图c显示内PIERCE技术。图d显示低剖面球囊穿过并扩张钙化病变。图e显示通过长球囊导管实现充分的病变扩张。最终血管造影(f)显示PTA成功重建血运。

2.4 并发症谱的深度解析与管理策略

2.4.1 出血(穿刺道/鞘管)

压裂组6.25%的鞘管穿刺点出血(Haraguchi等10)和PIERCE组50%的轻微穿刺道出血(Ichihashi等6)反映了两个不同机制。前者是由于使用8F/9F长鞘,穿刺点较大;后者是因为多次经皮穿刺(针具本身+后续球囊/支架送入)。预防措施包括:超声引导下穿刺减少次数、使用缝合器或压迫止血装置、对于计划行针具技术的病例初始即采用6F鞘,仅在需要时升级。

动脉钳怎么用动脉重度钙化导丝无法通过 针具技术超补救策略_https://www.jmylbn.com_新闻资讯_第20张

压裂技术与单纯常规球囊血管成形术治疗钙化性股总动脉病变的比较:基于血管内超声分析的12个月结果。

作者单位信息:札幌心脏中心,札幌心血管诊所,北海道。

该研究共纳入59例患者(压裂组30例,球囊组29例)。在手术相关并发症方面,两组总体发生率无显著差异(6.2% vs 5.7%,P=0.928)。具体到出血事件,压裂组有2例(6.25%)发生鞘管穿刺点出血,而球囊组未报告穿刺点出血。需要特别指出的是,所有出血事件均发生在鞘管穿刺部位(即动脉入路点),而非压裂针的穿刺点。作者解释这一现象的可能原因是:压裂操作后球囊扩张可有效压迫针道,从而易于止血。此外,两组均未报告靶病变部位的并发症。全文未提及需要输血或外科干预的严重出血事件。

动脉钳怎么用动脉重度钙化导丝无法通过 针具技术超补救策略_https://www.jmylbn.com_新闻资讯_第21张

压裂治疗前后及球囊血管成形术后病变形态与IVUS评估的MLA代表性病例。A 初始血管造影显示右侧股总动脉存在重度钙化斑块。B 初始IVUS评估示术前最小管腔面积(MLA)为2.1 mm²(管腔直径:1.7 × 1.3 mm)。C、D 使用7.0 mm非顺应性球囊行球囊血管成形术后,后续血管造影及IVUS显示残余狭窄33%,术中MLA为5.8 mm²(管腔直径:3.0 × 1.7 mm)。E 压裂治疗后,最终血管造影显示满意影像,狭窄率17%。F 压裂后IVUS评估显示术后MLA为20.5 mm²(管腔直径:6.1 × 4.3 mm)。缩略语:IVUS,血管内超声;LD,管腔直径;MLA,最小管腔面积。

2.4.2 夹层

BECOST中75%出现非限流夹层,这是钝头针“挤裂”而非“切割”的结果。根据2024年ESVS指南,非限流夹层(NHLD)定义为内膜片掀起但血流不受限、无对比剂滞留、无假腔扩大,无需植入支架。若出现限流夹层(血流减慢、假腔扩大),则应植入补救性支架。

动脉钳怎么用动脉重度钙化导丝无法通过 针具技术超补救策略_https://www.jmylbn.com_新闻资讯_第22张

2.4.3 穿孔

DECIAP中1例穿孔(球囊压迫成功)。一旦发生穿孔,首选球囊低压长时间扩张(5-10分钟),若无效则需覆膜支架或外科修补。所有实施针具技术的中心应备有覆膜支架(如Viabahn)和外科备台。

动脉钳怎么用动脉重度钙化导丝无法通过 针具技术超补救策略_https://www.jmylbn.com_新闻资讯_第23张

Viabahn覆膜支架治疗动脉损伤:安全性、技术成功率和长期结局。

作者单位:德国,图宾根,图宾根大学医院

动脉钳怎么用动脉重度钙化导丝无法通过 针具技术超补救策略_https://www.jmylbn.com_新闻资讯_第24张

Viabahn覆膜支架用于造影剂外渗的腔内治疗。 一名79岁女性,经导管主动脉瓣置换术后发生股总动脉暴发性出血(绿色箭头)。B 经交叉操作后植入Viabahn覆膜支架。C 靶部位最终血管造影显示成功止血。


动脉钳怎么用动脉重度钙化导丝无法通过 针具技术超补救策略_https://www.jmylbn.com_新闻资讯_第25张

Viabahn覆膜支架用于血管破裂的腔内治疗。 一名52岁男性,因建筑工地工伤后出现腿部疼痛。A 血管造影显示腘动脉创伤性破裂(蓝色箭头)。B 植入Viabahn覆膜支架。C 靶部位最终血管造影显示血流恢复。


动脉钳怎么用动脉重度钙化导丝无法通过 针具技术超补救策略_https://www.jmylbn.com_新闻资讯_第26张

Viabahn覆膜支架用于输尿管-髂动脉瘘的腔内治疗。 一名80岁男性患者,既往病史复杂,包括结肠癌广泛手术治疗及化疗、多次尿路结石手术及输尿管支架植入,在拔除输尿管支架后出现大量血尿。A 随后的输尿管肾镜显示左侧输尿管与邻近的左侧髂内动脉之间存在瘘管连接(红色箭头),B 首先通过弹簧圈栓塞处理。C 因存在残留灌注(橙色箭头),D 植入Viabahn覆膜支架。E 输尿管造影显示瘘管无残留灌注。F 靶部位最终血管造影显示左侧髂动脉血流保留。

2.4.4 远端栓塞

BAMBOO SPEAR中虽未发生栓塞,但作者认为“无法排除”,因此常规放置远端滤网。压裂技术理论上栓塞风险低,因为钙化在原位断裂而非被削切下来。但如果有钙化碎片脱落,可导致“垃圾脚”(trash foot)。建议对腘动脉以下栓塞高风险患者(如单支流出道)预防性使用远端滤网(可回收型)。

动脉钳怎么用动脉重度钙化导丝无法通过 针具技术超补救策略_https://www.jmylbn.com_新闻资讯_第27张

股腘动脉病变斑块旋切术中栓塞保护装置使用算法。


作者单位:西奈山医疗中心,米国纽约


动脉钳怎么用动脉重度钙化导丝无法通过 针具技术超补救策略_https://www.jmylbn.com_新闻资讯_第28张


富含脂质斑块



动脉钳怎么用动脉重度钙化导丝无法通过 针具技术超补救策略_https://www.jmylbn.com_新闻资讯_第29张

钙化斑块



动脉钳怎么用动脉重度钙化导丝无法通过 针具技术超补救策略_https://www.jmylbn.com_新闻资讯_第30张

再狭窄性斑块(支架内再狭窄)



动脉钳怎么用动脉重度钙化导丝无法通过 针具技术超补救策略_https://www.jmylbn.com_新闻资讯_第31张


栓塞保护装置使用算法


提出的栓塞保护装置使用算法为股腘动脉病变斑块旋切术中远端滤网的应用提供了系统化的决策依据。该算法首先根据病变类型进行分层:对于慢性完全闭塞(CTO)病变,无论长度如何,均推荐常规使用远端滤网;对于支架内再狭窄(ISR)病变,同样推荐使用远端滤网,因为此类病变常伴有血栓或组织碎屑脱落风险。对于新生动脉粥样硬化病变,则进一步根据病变长度决策:若病变长度≤40mm,可不使用远端滤网;若病变长度在41-140mm之间,需结合钙化程度及脂质负荷综合判断;若病变长度>140mm,则推荐使用远端滤网。此外,算法特别强调,钙化病变(图2)和富含脂质斑块(图1)是远端栓塞的高风险因素,无论病变长度如何,均建议使用栓塞保护装置。该算法为临床医师在股腘动脉斑块旋切术中合理选择远端滤网提供了明确、可操作的流程指导,有助于降低“垃圾脚”等远端栓塞并发症的发生率。


CTO = 慢性完全闭塞;ISR = 支架内再狭窄;LL = 病变长度;PAD = 外周动脉疾病

2.4.5 死亡

DECIAP中1例术后6天死亡,原始论文作者推测为不相关的脓毒症,但因果关系无法完全排除,因皮肤切口存在感染风险。任何涉及皮肤切口的技术均应严格无菌操作并围术期使用抗生素。

动脉钳怎么用动脉重度钙化导丝无法通过 针具技术超补救策略_https://www.jmylbn.com_新闻资讯_第32张
动脉钳怎么用动脉重度钙化导丝无法通过 针具技术超补救策略_https://www.jmylbn.com_新闻资讯_第33张

尽管使用高压非顺应性球囊进行血管成形术,仍可见弹性回缩。


动脉钳怎么用动脉重度钙化导丝无法通过 针具技术超补救策略_https://www.jmylbn.com_新闻资讯_第34张

直接血管外钙化中断动脉手术(DECIAP)技术。 A、在病变正上方做一1cm切口。B、置入动脉钳并将其定位于病变上方,经血管造影确认位置。C、将动脉钳的钳口张开约2-3mm,轻轻夹碎动脉壁(钳口不完全闭合)。


动脉钳怎么用动脉重度钙化导丝无法通过 针具技术超补救策略_https://www.jmylbn.com_新闻资讯_第35张

采用DECIAP技术后,使用高压非顺应性球囊行血管成形术的血管造影结果。 病变在较低压力下成功扩张。

2.5 证据局限性的系统分析

2.5.1 样本量极小

101例患者分布在15项研究中,平均每项6.7例,最大一项队列仅59例,不足以检测罕见并发症的真实发生率,也不足以进行多因素回归分析。

2.5.2 发表偏倚严重

病例报告和病例系列天然存在“阳性结果偏倚”,术者更倾向于报告成功病例,而失败或并发症病例往往不被发表。

2.5.3 缺乏对照组

除Haraguchi等10的压裂vs球囊外,其余均为单臂研究,无法比较针具技术与其他现代技术(如IVL、激光、旋切)的相对优劣。

动脉钳怎么用动脉重度钙化导丝无法通过 针具技术超补救策略_https://www.jmylbn.com_新闻资讯_第36张
动脉钳怎么用动脉重度钙化导丝无法通过 针具技术超补救策略_https://www.jmylbn.com_新闻资讯_第37张
动脉钳怎么用动脉重度钙化导丝无法通过 针具技术超补救策略_https://www.jmylbn.com_新闻资讯_第38张

2.5.4 随访不一致

随访时间从即刻到24个月不等,且仅少数研究采用客观影像学(超声或CTA)评估通畅性,多数依赖临床症状,可能导致对再狭窄的低估。

2.5.5 操作者依赖性

这些技术需要高水平的介入技能,包括IVUS解读、双平面透视下三维空间定位、顺逆向导丝会师等,结果可能无法推广到低年资或低手术量术者。

2.5.6 缺乏标准化定义

什么是“重度钙化”、什么是“技术成功”,各研究定义不一,有的定义为“导丝通过”,有的定义为“球囊通过”,有的定义为“残余狭窄<30%”,导致跨研究比较困难。

以下是关于“重度钙化”与“技术成功”在各研究中定义差异:

研究/技术
重度钙化的定义
技术成功的定义
Haraguchi et al, 2021 (Fracking)
IVUS显示深层钙化,球囊扩张后MLA不足(<12mm²)或残余狭窄>50%
成功实施压裂,术后MLA显著增大(如从~7 mm²增至>22 mm²),残余狭窄0%
Haraguchi et al, 2023 (Fracking vs Balloon)
IVUS评估钙化弧度≥180-360°,PACSS分级3-4级(重度)
术后残余狭窄<30%,且无夹层、穿孔等并发症
Ichihashi et al, 2014 (PIERCE)
导丝可穿过但球囊无法通过;或球囊可通过但即使高压(27 atm)仍无法充分扩张
球囊导管成功通过钙化病变并完成扩张
Takei et al, 2021 (Inner PIERCE)
低剖面球囊(1.25-1.5mm)无法穿过;或球囊通过后出现明显“腰征”无法消除
穿刺针成功穿过钙化环,后续球囊能够通过并扩张,残余狭窄<30%
Horsirimanont & Kittitirapong, 2025 (BECOST)
导丝可通过但1.5-2.0mm球囊无法穿过
球囊成功穿过钙化病变并完成扩张
Kum et al, 2020 (DECIAP)
高压非顺应性球囊(>20 atm)扩张后仍可见弹性回缩
球囊在较低压力下成功扩张,残余狭窄≤30%
Hirano et al, 2021 (活检钳)
IVUS显示钙化环严重,常规球囊无法充分扩张,支架膨胀风险高
成功提取钙化碎片,支架充分扩张
Hayakawa et al, 2022 (BAMBOO SPEAR)
导丝无法通过或球囊无法扩张的CFA重度钙化闭塞
针钻通过钙化段,后续球囊成功扩张
Nakama et al, 2020 (Inner PIERCE)
导丝可通过但1.5mm球囊无法跟进
穿刺针通过后球囊成功输送并扩张
Takamura et al, 2016 (PIERCE)
导丝无法通过或球囊无法扩张的SFA重度钙化
成功穿刺并实现支架理想扩张
Troisi et al, 2023 (PIERCE)
多根0.014”导丝无法通过跗内侧动脉钙化段
成功穿刺并恢复直接血流
Haraguchi et al, 2024 (Rendezvous-PIERCE)
微导管和球囊均无法通过的严重钙化闭塞
顺逆针对接成功,球囊通过
Haraguchi et al, 2025 (FRAP-CROSS)
弥漫性钙化闭塞(>10cm),常规导丝、微导管、球囊均失败
真腔内导丝成功通过,后续球囊扩张
Huang et al, 2012 (Sharp Recanalization)
常规0.014” Conquest pro、0.018” V18、0.035” Terumo导丝均无法通过
导丝硬端成功穿透钙化帽
Kim et al, 2021 (Sharp Recanalization)
常规导管和导丝技术无法通过的钙化闭塞
病变成功通过

表格说明:


该表格展示了本综述所纳入15项研究中,各研究对“重度钙化”和“技术成功”的不同定义。可以看出,“重度钙化”有的依赖IVUS量化指标(钙化弧度、MLA),有的依赖操作失败(球囊无法通过或无法扩张),有的依赖设备阻力(高压球囊仍无效)。“技术成功”的终点更是差异显著:从最早的“导丝通过”到更严格的“球囊通过”,再到“残余狭窄<30%”或“支架充分扩张”。这种定义的不统一,是导致跨研究比较困难和Meta分析不可行的重要原因,也是本综述采用定性综合而非定量合并的根本原因。

2.6 未来方向的具体建议

2.6.1 短期(1-2年)

应建立国际多中心登记研究(如“PIERCE Registry”),统一数据采集变量,包括钙化弧度(IVUS)、厚度、长度、既往失败技术、针具型号、操作时间、辐射剂量、即刻成功率、SIR并发症分级、6/12个月超声随访的峰值收缩速度比(PSVR,定义再狭窄为>2.4);同时制定标准化操作流程(SOP),包括术前IVUS评估、穿刺角度(推荐30-45°)、压力监测(压裂时目标300-400psi)、术后IVUS确认。

2.6.2 中期(2-5年)

应开展小样本随机对照试验(如压裂 vs IVL in CFA钙化),主要终点为12个月一期通畅率,次要终点包括操作时间、辐射剂量、住院费用、患者报告的结局(VascuQOL);同时开发专用针具,现有穿刺针并非为钙化断裂而设计,可研发具有压力传感器、侧孔、防滑涂层的专用针。

2.6.3 长期(5年以上)

应探索针具技术与药物涂层球囊、新型抗增殖药物(如西罗莫司)的联合应用,压裂或PIERCE造成的微裂纹可能增加药物渗透,理论上可降低再狭窄率;同时将针具技术纳入PAD介入培训课程,设立独立模块和模拟训练,逐步推广至有条件的中大型血管中心。

2.7 临床实践建议

2.7.1 术前决策

当常规导丝(0.035”或0.018”)无法通过钙化段时,不应无限次尝试(会增加夹层和穿孔风险),应考虑升级为针具技术。必须行IVUS评估并量化以下参数:钙化弧度(<180°为浅表,180-270°为中度,>270°为重度)、钙化厚度(<1mm为薄钙化,≥1mm为厚钙化)、是否存在结节。若为结节性钙化(IVUS表现为高回声突起伴后方声影,呈“山丘”状),优先考虑活检钳或DECIAP;若为环形钙化(IVUS示360°连续高回声带),优先考虑压裂或IVL(如设备可及)。确保有双入路能力(至少备好对侧逆行穿刺的器械)。

2.7.2 术中操作

穿刺前使用微导管造影确认真腔位置,避免穿刺进内膜下。使用双平面透视(正位+侧位)定位针尖深度,若仅单平面应旋转C臂至钙化最清晰的切线位。压裂时,球囊压力应维持在4-6 atm(仅使球囊贴壁,不产生主动扩张),然后再通过针注射;若先高压力扩张球囊,会压闭钙化内的针道,导致注射失败。每次针操作后均应经微导管造影确认无造影剂外渗(排除穿孔),若有外渗立即球囊压迫并准备覆膜支架。

2.7.3 术后管理

所有患者术后双抗血小板(阿司匹林100mg+氯吡格雷75mg)至少3个月,若植入支架则至少6个月。出院前复查超声(或1个月内),建立基线PSVR。6、12个月超声随访,PSVR>2.4或ABI下降>0.15提示再狭窄,考虑再次干预。

2.7.4 相对禁忌证

相对禁忌证包括:严重迂曲(针无法达到钙化段)、动脉瘤样扩张(穿孔风险高)、急性血栓形成(应先行抽栓/溶栓)、唯一的单流出道且无远端滤网保护(栓塞后果严重)。

2.8 综合结论

本系统综述汇总了15项研究、101例患者的证据,表明在重度钙化、常规器械失败的外周动脉疾病中,针具为基础的斑块修饰技术(压裂、PIERCE、内PIERCE、FRAP-CROSS、BECOST、DECIAP等)具有较高的技术成功率(报告范围为94%-100%)、显著的管腔获得(MLA增加3-4倍,压裂组从~7 mm²增至>22 mm²)和可接受的短期通畅率(压裂组12个月一期通畅率89.8%)。这些技术尤其适用于资源有限、IVL或旋切不可及的环境,以及解剖极端(踝下微小血管)的CLTI患者。报告的并发症包括穿刺道出血(6.25%-50%,多数轻微)、非限流夹层(75% in BECOST)、穿孔(25% in DECIAP,但其他技术为0%),总体可控,但严重并发症的真实发生率因样本量小且存在发表偏倚而尚不明确。

然而,当前证据存在严重局限性:样本量极小、发表偏倚、缺乏对照、随访不一致、操作者依赖性强。因此,针具技术目前应定位为阶梯式复杂PAD治疗中的超补救性手段,而非一线标准治疗。其推广需要在经验丰富的高容量中心、以结构化培训和多中心登记研究为基础。未来,随着专用器械的开发和随机对照试验的完成,针具技术有望在PAD钙化病变的治疗图谱中占据明确位置。

对于临床医师而言,掌握至少一种针具技术(如PIERCE或压裂)相当于增加了一件应对极端钙化的备选工具。在“导丝无法通过、球囊无法扩张、外科拒绝手术、患者拒绝截肢”的困境中,针具技术可能是有效的救肢选择之一,但需在充分评估风险、具备并发症处理能力的条件下谨慎实施。




参考文献:


[1] Aronow H.D. Updates in Peripheral Vascular Intervention, An Issue of Interventional Cardiology Clinics. Elsevier Health Sciences, 2020.

[2] Mazzolai L., Teixido-Tura G., Lanzi S., et al. 2024 ESC guidelines for the management of peripheral arterial and aortic diseases: developed by the task force on the management of peripheral arterial and aortic diseases of the European Society of Cardiology (ESC) Endorsed by the European Association for Cardio-Thoracic Surgery (EACTS), the European Reference Network on Rare Multisystemic Vascular Diseases (VASCERN), and the European Society of Vascular Medicine (ESVM). Eur Heart J. 2024;45(36):3538-3700.

[3] Nordanstig J., Behrendt C.A., Baumgartner I., et al. Editor’s Choice -- European Society for Vascular Surgery (ESVS) 2024 clinical practice guidelines on the management of asymptomatic lower limb Peripheral Arterial Disease and Intermittent Claudication. Eur J Vasc Endovasc Surg. 2024;67(1):9-96.

[4] Fanelli F., Cannavale A., Gazzetti M., et al. Calcium burden assessment and impact on drug-eluting balloons in peripheral arterial disease. Cardiovasc Intervent Radiol. 2014;37(4):898-907.

[5] Haraguchi T., Fujita T., Kashima Y., et al. The “Fracking” technique: a novel approach to crack deep calcified plaque in the common femoral artery with hydraulic pressure. CVIR Endovasc. 2021;4(1):70.

[6] Ichihashi S., Sato T., Iwakoshi S., et al. Technique of percutaneous direct needle puncture of calcified plaque in the superficial femoral artery or tibial artery to facilitate balloon catheter passage and balloon dilation of calcified lesions. J Vasc Interv Radiol. 2014;25(5):784-788.

[7] Page M.J., McKenzie J.E., Bossuyt P.M., et al. The PRISMA 2020 statement: an updated guideline for reporting systematic reviews. BMJ. 2021;372:n71.

[8] Wells G. The Newcastle-Ottawa Scale (NOS) for assessing the quality of nonrandomised studies in meta-analyses. Symposium on Systematic Reviews: Beyond the Basics. University of Ottawa, Oxford, UK. Ottawa, Canada, July 3-5 2000.

[9] The Joanna Briggs Institute. Critical Appraisal Checklist for Case Reports. The Joanna Briggs Institute Critical Appraisal tools for use in JBI Systematic Reviews. 2017. http://joannabriggs.org/research/critical-appraisal-tools.html (accessed August 8, 2025).

[10] Haraguchi T., Fujita T., Kashima Y., et al. Fracking compared to conventional balloon angioplasty alone for calcified common femoral artery lesions using intravascular ultrasound analysis: 12-month results. CVIR Endovasc. 2023;6(1):27.

[11] Haraguchi T., Tsujimoto M., Kashima Y., et al. Rendezvous-PIERCE technique: establishing a channel through severe calcification in infrainguinal arterial lesions using needle rendezvous. CVIR Endovasc. 2024;7(1):29.

[12] Haraguchi T., Tsujimoto M., Leung R.W.H., et al. FRAP-CROSS technique: Fracking and Rendezvous-PIERCE for intracalcium crossing in femoropopliteal diffuse calcified occlusions. CVIR Endovasc. 2025;8(1):103.

[13] Hayakawa N., Kodera S., Takanashi K., et al. Optimal intraluminal drug-coated balloon versus drug-eluting stent in patients with chronic total occlusion of the superficial femoral artery: a retrospective analysis. Cardiovasc Revasc Med. 2022;43:87-96.

[14] Hirano S., Funatsu A., Nakamura S., et al. Endovascular therapy for severely calcified plaque at the superficial femoral artery using myocardial biopsy forceps. CVIR Endovasc. 2021;4(1):69.

[15] Horsirimanont S., Kittitirapong N. A blunt needle endoluminal cracking over the strained through-and-through wire for balloon crossing the heavy calcification and chronic total occlusion in critical limb ischemia. J Vasc Surg Cases Innov Tech. 2025;11(2):101712.

[16] Huang H.L., Chou H.H., Wu T.Y. Endovascular sharp recanalization for calcified femoropopliteal artery occlusion. Case Rep Cardiol. 2012;2012(1):516027.

[17] Kim K., Moore C., Alfahad A. Sharp recanalization of peripheral arterial chronic total occlusions. Br J Radiol. 2021;94(1117):20200051.

[18] Kum S., Huizing E., Samarakoon L.B., et al. The direct extravascular calcium interruption arterial procedure technique for heavily calcified vessels. J Vasc Surg Cases Innov Tech. 2020;6(3):369-373.

[19] Nakama T., Muraishi M., Obunai K., et al. Efficacy of the novel inner PIERCE technique for severely calcified below-the-knee occlusions in a patient with chronic limb-threatening ischemia. Catheter Cardiovasc Interv. 2020;96(6):1317-1322.

[20] Takamura T., Tsuchiya T., Watanabe M. TCTAP C-207 Impact of direct occluded site puncture technique in endovascular therapy to a heavily calcified occlusion of superficial femoral artery. J Am Coll Cardiol. 2016;67(16):S349-S350.

[21] Takei T., Miyamoto A., Takagi T., et al. A novel technique of percutaneous intraluminal cracking using a puncture needle for severe calcified lesions of below-the-knee and below-the-ankle arteries. Diagn Interv Radiol. 2021;27(3):413-417.

[22] Troisi N., Canovaro F., Adami D., et al. Successful extreme foot revascularization with plaque cracking (percutaneous direct needle puncture of calcified plaque) technique of medial tarsal artery. J Vasc Surg Cases Innov Tech. 2023;9(4):101282.

[23] Hamur H., Onk O.A., Vuruskan E., et al. Determinants of chronic total occlusion in patients with peripheral arterial occlusive disease. Angiology. 2017;68(2):151-158.

[24] Nakamura N., Matsumoto Y., Shiozaki M., et al. Ex vivo micro-computed tomography analysis of the fracking technique for a nodular calcification in the common femoral artery. Cardiovasc Interv Ther. 2025;40(4):1011-1012.

[25] Stavroulakis K., Bisdas T., Torsello G., et al. Intravascular lithotripsy and drug-coated balloon angioplasty for severely calcified femoropopliteal arterial disease. J Endovasc Ther. 2023;30(1):106-113.

[26] Wong C.P., Chan L.P., Au D.M., et al. Efficacy and safety of intravascular lithotripsy in lower extremity peripheral artery disease: a systematic review and meta-analysis. Eur J Vasc Endovasc Surg. 2022;63(3):446-456.

[27] Mosarla R.C., Armstrong E., Bitton-Faiwiszewski Y., et al. State-of-the-art endovascular therapies for the femoropopliteal segment: are we there yet? J Soc Cardiovasc Angiogr Interv. 2022;1(5):100439.

[28] Tepe G., Brodmann M., Werner M., et al. Intravascular lithotripsy for peripheral artery calcification: 30-day outcomes from the randomized disrupt PAD III trial. JACC Cardiovasc Interv. 2021;14(12):1352-1361.







聖石、丽强、禹杰、雲飛、游雲、德富、国富、


玉成、传奇、Lyu (武汉协和).


动脉钳怎么用动脉重度钙化导丝无法通过 针具技术超补救策略_https://www.jmylbn.com_新闻资讯_第39张
动脉钳怎么用动脉重度钙化导丝无法通过 针具技术超补救策略_https://www.jmylbn.com_新闻资讯_第40张


动脉钳怎么用动脉重度钙化导丝无法通过 针具技术超补救策略_https://www.jmylbn.com_新闻资讯_第41张
动脉钳怎么用动脉重度钙化导丝无法通过 针具技术超补救策略_https://www.jmylbn.com_新闻资讯_第42张


动脉钳怎么用动脉重度钙化导丝无法通过 针具技术超补救策略_https://www.jmylbn.com_新闻资讯_第43张

Wuhan Union Hospital