内镜夹怎么不掉食管瘘患者经口进食不是梦——我院消化内二科食管瘘内镜下吻合夹夹闭术一例!

新闻资讯2026-04-21 02:18:04

病例分享

内镜夹怎么不掉食管瘘患者经口进食不是梦——我院消化内二科食管瘘内镜下吻合夹夹闭术一例!_https://www.jmylbn.com_新闻资讯_第1张


68岁的朱大爷,2个多月前,因反复发热就诊于我院。


经过完善相关检查最终找到发热的元凶——食管纵隔瘘


食管纵隔瘘

食管纵隔瘘是进行食管和胃部外科手术之后比较常见的并发症,是指食管与纵隔之间形成瘘道而直接相通,食管纵膈瘘的形成可能与食管、纵隔之间长时间的感染,或手术后愈合不良有关。


如果存在食管巨大憩室炎症、食管外科手术史,以及纵隔脓肿等,可能会导致食管、纵隔周围出现炎症,或者器官、组织等血液循环不佳,甚至出现组织破损,容易继发瘘道病变。


并患有纵隔感染、脓气胸、肺炎


且此后朱大爷经历了漫长的“饥饿”之路。


由于经口进食会经过瘘口,朱大爷每天只能通过由鼻腔进入小肠的空肠营养管进行肠内营养,生活质量直线下降。


食管、纵隔经过瘘口相通后,患者可能会出现进食呛咳、吞咽困难以及胸疼等症状


进食时食物刺激食管纵隔瘘口,容易继发感染,可能出现发热、干咳以及胸骨后疼痛等感染症状,部分患者的瘘口出现病变时,还可能出现皮下气肿


朱大爷经过呼吸科抗感染治疗后,于我科进行了内镜下食管瘘夹闭

内镜夹怎么不掉食管瘘患者经口进食不是梦——我院消化内二科食管瘘内镜下吻合夹夹闭术一例!_https://www.jmylbn.com_新闻资讯_第2张

术前

内镜夹怎么不掉食管瘘患者经口进食不是梦——我院消化内二科食管瘘内镜下吻合夹夹闭术一例!_https://www.jmylbn.com_新闻资讯_第3张

术后


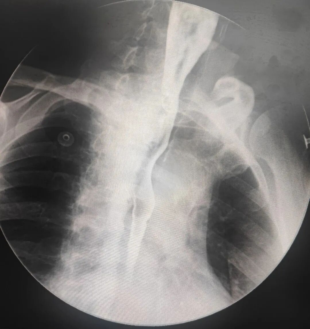
术后第二天行上消化道造影提示瘘口完全被夹闭。


内镜夹怎么不掉食管瘘患者经口进食不是梦——我院消化内二科食管瘘内镜下吻合夹夹闭术一例!_https://www.jmylbn.com_新闻资讯_第4张



内镜夹怎么不掉食管瘘患者经口进食不是梦——我院消化内二科食管瘘内镜下吻合夹夹闭术一例!_https://www.jmylbn.com_新闻资讯_第5张


至此,朱大爷终于能经口进食了!


内镜夹怎么不掉食管瘘患者经口进食不是梦——我院消化内二科食管瘘内镜下吻合夹夹闭术一例!_https://www.jmylbn.com_新闻资讯_第6张

(朱大爷露出笑容)


温馨提示

出现食管纵隔瘘时,应及时到医院就诊,封堵瘘口,防止病情加重。


内镜夹怎么不掉食管瘘患者经口进食不是梦——我院消化内二科食管瘘内镜下吻合夹夹闭术一例!_https://www.jmylbn.com_新闻资讯_第7张


-End-


本文封面:

内镜夹怎么不掉食管瘘患者经口进食不是梦——我院消化内二科食管瘘内镜下吻合夹夹闭术一例!_https://www.jmylbn.com_新闻资讯_第8张


来源:消化内二科

编辑:临床会诊中心(业务宣传科)


内镜夹怎么不掉食管瘘患者经口进食不是梦——我院消化内二科食管瘘内镜下吻合夹夹闭术一例!_https://www.jmylbn.com_新闻资讯_第9张