介入引流管怎么关介入下经股管负压引流化脓性阑尾炎术后盆腔脓肿导致股脓肿1例

新闻资讯2026-04-21 01:46:22
介入引流管怎么关介入下经股管负压引流化脓性阑尾炎术后盆腔脓肿导致股脓肿1例_https://www.jmylbn.com_新闻资讯_第1张

介入引流管怎么关介入下经股管负压引流化脓性阑尾炎术后盆腔脓肿导致股脓肿1例_https://www.jmylbn.com_新闻资讯_第2张

病例



患者男性,70岁,因“发热伴右侧腹股沟疼痛1周”于入院。1周前无诱因下出现发热,体温最高39.6℃,伴全身疼痛不适,以右侧腹股沟区疼痛明显,于当地诊所给予抗炎、退热药物等对症处置,效果欠佳。既往史:有高血压病史5年余,自服用硝苯地平,血压控制尚可;3个月前于外院行化脓性阑尾切除术及盆腔脓肿引流术,术后恢复良好,顺利出院。


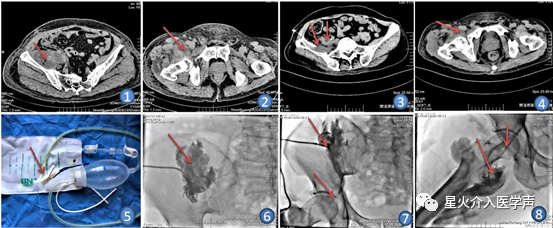
入院查体:体温:36.9℃,脉搏:88次/分,呼吸:18次/分,血压:101/70mmHg(1mmHg=0.133 kPa)。腹部体检无明显阳性体征。右侧下腹部靠近腹股沟区局部皮肤红肿、皮温增高,压痛(+),右侧腹股沟浅表淋巴结可触及肿大,右侧髋关节活动受限。辅助检查:急诊血常规:白细胞计数13.82×109/L,中性粒细胞百分比91%。盆腔CT平扫:右侧盆腔脓肿(图1,2)结合患者病史、体征及辅助检查,临床诊断:右侧盆腔脓肿、化脓性阑尾炎术后、高血压。[岁1] 


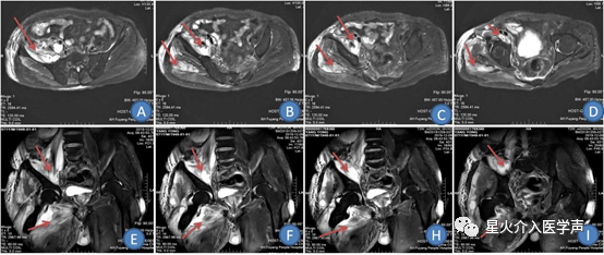
入院后完善相关检查,在数字减影血管造影下行盆腔脓肿穿刺引流术,术前阅读盆腔CT定位右侧盆腔脓肿大致解剖位置,于右侧髂前上棘下方2cm平腰4椎体水平与为穿刺点,局麻后穿刺脓肿成功,经穿刺针注入造影剂造影示:[2] 右侧髂窝见一巨大脓腔,大小约10cm×5cm×4cm(图6),未见脓液累及股管。术中置入引流管,引流管外接引流袋。术后常规穿刺脓液常规细菌培养及药敏试验选择敏感抗生素、脓腔定期冲洗、保持负压引流管通畅等对症支持治疗。一周后右腹股沟出现一6cm×4cm大小溃疡面,基底部红。急查血常规:白细胞计数20.06×109/L,中性粒细胞比80.9%。盆腔部CT:右侧盆腔脓肿仍有,引流管在位(图3,4)及盆腔MRI:右侧髂腰肌、腰大肌及股臀部软组织脓肿形成(图A-I)[岁3] 。结合患者盆腔脓肿引流欠佳,遂再次行脓肿穿刺引流术,术中经原引流管造影示:右侧盆腔脓肿与右侧股脓腔经股管相通(图6,7),术中经股管置入6F引流管,引流管远端送至右侧股脓肿脓腔远端,术后股脓肿引流管外接负压引流球及引流袋组合装置(山东贝诺斯医疗器械,图5)。所引流脓液行细菌培养和药敏试验,根据脓液药敏结果选择敏感抗生素抗感染。[岁4] 每日先用250 mL生理盐水经引流管反复冲洗股脓肿及回抽脓腔液至体外,直至回抽纵液体清亮时结束。再注入25mL庆大霉素与生理盐水混合液冲洗脓腔,保留30分钟后连接负压球持续引流。每间隔4-6天复查盆腔CT观察脓腔面积缩小程度及引流管远端位置,必要时在DSA下逐步外撤调整引流管位置,保持引流管末端位于尚未闭锁的脓腔下极为最佳[1]。患者15天复查盆腔部CT:股脓肿明显吸收,透视下将引流管拔出至体外,三月后门诊随访患者恢复良好。

介入引流管怎么关介入下经股管负压引流化脓性阑尾炎术后盆腔脓肿导致股脓肿1例_https://www.jmylbn.com_新闻资讯_第3张

介入引流管怎么关介入下经股管负压引流化脓性阑尾炎术后盆腔脓肿导致股脓肿1例_https://www.jmylbn.com_新闻资讯_第4张

图①介入前盆腔CT:右侧髂棘前脓肿(箭头所指为脓肿);图②介入前盆腔CT:右侧髂腰肌脓肿?(箭头所指为脓肿);图③第二次介入前盆腔CT:右侧髂棘前脓肿及引流管位置(箭头所指为引流管及脓肿位置) ;图④第二次介入前盆腔CT:右侧髂腰肌脓肿(箭头所指为脓肿位置) ;图⑤第二次介入所使用的十字型引流管及负压装置 (箭头所指为“十字形”);图⑥第一次介入造影观察脓肿大小及形态;图⑦第二次介入造影盆腔脓液可通过股管与大腿脓肿相通(箭头所指为引流管及股管位置) ;图⑧第二次介入经股管置入导丝及盆腔脓肿经股管流向股软组织(箭头所指为导丝及股管位置)。[岁2] 

图A-D为右侧髂肌及腰大肌及股臀部软组织脓肿MR T2加权轴位动态图像(脓肿为箭头所指);图E-I为右侧髂肌及腰大肌及股臀部软组织脓肿MR T2加权冠状位动态图像(脓肿为箭头所指)




讨论



化脓性阑尾炎手术治疗虽然比较简单,但术后可出切口感染、盆腔脓肿、肠瘘、阑尾残株炎、盲肠壁脓肿、肝脓肿、术后局限性炎性包块等并发症[2]。郝腾飞报道[3]1例阑尾黏液腺癌肿瘤破溃并发感染导致腹膜后及股脓肿形成,其股脓肿形成途径不明。Chi-Hsun等[4]报道一例腹腔脓肿经过腹股沟韧带后面的股管与大腿处的脓肿相通。Sharma S B等报道1例以大腿脓肿为表现的急性阑尾炎儿童病例,Sharma SB[5]等认为盲肠后位化脓性阑尾炎形成的腹腔脓液可能经腹股沟韧带及髂股腰肌等软组织或通过股管、闭孔、骶骨切迹等自然腹壁缺损波散到大腿。本例通过介入治疗证实盆腔脓肿可以经过股管形成股脓肿,扩大了以往对化脓性阑尾炎并发症的认识。对于化脓性阑尾炎的临床诊断治疗过程中,临床医师除了关注常见的并发症外,也应关注这种罕见的并发症。特别是盲肠后位类型化脓性阑尾炎,腹腔脓肿可通过人体的腹壁缺损波及临近肢体形成股脓肿。


另外受污染的股脓肿治疗特别棘手,传统的脓肿外科治疗多需要脓肿切开置管冲洗引流[6,7]或脓肿切开扩创、负压封闭引流技术治疗[8]。郝腾飞等[3]报道1例以腹膜后及右侧股部脓肿为主要表现的阑尾黏液腺癌的治疗,该患者腹膜后及股脓肿经剖腹探查术中行腹膜后及股间脓肿清除术,术后放置引流管治疗。徐志宏等[9]报道一例双侧大腿脓肿经清创引流治疗。沈继龙,等[6]报道1例肛周脓肿伴右下肢脓肿治疗经验,该患者股脓肿经右侧下肢大腿脓肿切开引流及右下肢脓肿扩创治疗。这3例股脓肿均采取了传统的外科切开引流治疗,其中一例患者死亡。借鉴负压引流管在肺大疱切除术治疗及在肋骨骨折内固定术后治疗效果 [10,11],本例术中经介入方法将负压引流管经右侧股管置入股脓腔底部引流脓液,避免了外科切开引流治疗对脓肿周围组织、血管、神经损伤。将Gang Wu等对于下行坏死性纵隔炎脓肿围手术期治疗方法应用到股脓肿的术后引流治疗中,股脓肿经围手术期脓腔持续冲洗、负压引流取得了很好的效果[1]。[岁1] 

本例患者所使用的引流装置具有以下特点:(1)引流管管径细、质软、表面光滑对患者穿刺腹壁留置后刺激性小;(2)引流管头端为“十字型”引流管,内有三条纵嵴保证引流管不间断引流,具有防堵塞及打折的特点;(3)负压球连接引流管处设计为单向阀门,引流至体外的脓液无法返流导致逆行感染,球下接引流袋可以准确统计引流量以评估患者病情、减轻医护人员的工作量[10,11]。[岁2] 

综上所述,化脓性阑尾炎诊断及治疗不及时可导致盆腔脓肿发生。盆腔脓肿可经股管导致股脓肿,介入下经股管负压引流可以治疗股脓肿,避免外科切开引流。但本例介入下经人体自然腔道负压引流股脓肿应用经验有限,期待能够在更多复杂脓肿引流中应用,以验证介入负下引流管理及引流装置治疗深部间隙脓肿效果。[3] 



作者简介

介入引流管怎么关介入下经股管负压引流化脓性阑尾炎术后盆腔脓肿导致股脓肿1例_https://www.jmylbn.com_新闻资讯_第5张

安徽医科大学附属阜阳人民医院介入科石静




END




多精彩内容
欢迎关注微信视频号

参考文献:略

相关阅读


介入引流管怎么关介入下经股管负压引流化脓性阑尾炎术后盆腔脓肿导致股脓肿1例_https://www.jmylbn.com_新闻资讯_第6张
戳一下,更有料!
中国介入医学的发展是否需要技师?
肠治久安,介入保平安
错过了根治时机,介入医学“胃”你而来
儿童血管瘤的九大治疗方法
肺癌不可怕,介入医学有妙招
【扫黄】介入医学治黄疸
肝癌大作战(2)载药微球
介入医学一出手,肠梗阻也要抖一抖
论介入医学科普的重要性
老烂腿的克星——介入治疗
腔静脉滤器的前世今生
隐形的生命线“输液港”
胡桃夹我“静脉路”,现代医学有介入
去医院看病,内科、外科还是介入?
划时代的医学革命-介人放射学
轻了“要腿”,重了“要命”!腿梗是个什么“梗”?
国家卫健委通知:大力扶持介入治疗,将介入治疗列为首要核心专科能力建设方向
咯血莫慌张,介入医学来帮忙
2021年“世界血栓日”
体检发现肝血管瘤怎么办?介入告诉你答案!
介入科疾病诊疗范围
“保髋”还是“置换”?先试试介入吧!
静脉曲张影响的美,介入帮您消除
打倒征兵体检拦路虎,介入圆你军人梦
三国有介入,周瑜是不是不会死?
史上最全股动脉介入穿刺止血器械和方法
太医联名上书,宫内必须设介入科,不然娘娘们可不答应!
介入十八般武艺致敬中国医师节!
年度最佳病例之《介入手术不仅能取血栓,还能取子弹》
介入栓塞治疗痔疮‖还你原装好"菊花"
介入这样对待胖子,可以?
子宫肌瘤莫烦恼,介入栓塞显神通
介入好消息‖六脉神剑治血糖
请收下这份血管图谱

医师节应该被记住的人-铅衣战士

星火介入漫画科普=介入医学是什么学科?什么叫介入治疗?

静脉血栓栓塞症(VTE)防治(一)

漫画科普||静脉血栓栓塞症(VTE)防治(二)下肢深静脉血栓篇

漫画科普||静脉血栓栓塞症(VTE)防治(三)肺栓篇

漫画科普||静脉血栓栓塞症VTE防治科普(四)

版权声明星火介入:专业介入医学平台

以上图文部分来源于网络

如有侵权请联系:xinghuojieru

欢迎转发至朋友圈,让更多人了解介入知识,知道介入知识,让介入医学更好的造福百姓,为患者提供微创治疗,减小医源性创伤。

介入引流管怎么关介入下经股管负压引流化脓性阑尾炎术后盆腔脓肿导致股脓肿1例_https://www.jmylbn.com_新闻资讯_第7张