胃造影用的是什么机子胃肠超声造影--无创、无痛、无辐射!

新闻资讯2026-04-24 07:18:41

胃造影用的是什么机子胃肠超声造影--无创、无痛、无辐射!_https://www.jmylbn.com_新闻资讯_第1张

胃造影用的是什么机子胃肠超声造影--无创、无痛、无辐射!_https://www.jmylbn.com_新闻资讯_第2张

“胃部不适,就要做胃镜”已经成为很多人的共识。但胃镜检查过程比较复杂,无痛胃镜需要全麻也会使人犹豫。那么有没有其它无创、无痛、无辐射、更方便的好方法呢?

有!它就是胃肠超声造影检查!


什么是胃肠超声造影?

胃造影用的是什么机子胃肠超声造影--无创、无痛、无辐射!_https://www.jmylbn.com_新闻资讯_第3张

胃肠超声造影又叫充盈法超声检查,是通过服用500ml-600ml的五谷类助显剂充盈胃肠道,消除胃肠腔内气体、内容物等对超声波的干扰,令超声波能够穿透胃壁及肠壁,从而充分显示胃肠道结构,达到诊断效果。

如何检查?

胃造影用的是什么机子胃肠超声造影--无创、无痛、无辐射!_https://www.jmylbn.com_新闻资讯_第4张

胃十二指肠超声检查前一日晚餐应进清淡饮食,检查前一般禁食8小时,禁饮4小时以上。

检查时患者仅需喝500ml速溶胃肠超声造影剂,胃肠超声助显剂的主要成分是山药、陈皮、薏苡仁、黄豆、大米,喝起来口感好,对大部分人无不良反应,可安全使用。

胃造影用的是什么机子胃肠超声造影--无创、无痛、无辐射!_https://www.jmylbn.com_新闻资讯_第5张

适应症

胃造影用的是什么机子胃肠超声造影--无创、无痛、无辐射!_https://www.jmylbn.com_新闻资讯_第6张

主要包括炎症性疾病、消化性溃疡、胃肠道肿瘤、消化道先天性病变、消化道急腹症、阑尾疾病、肠系膜以及大网膜疾病等。尤其适合胃肠道向管腔外生长的肿瘤检查。

适应人群

胃造影用的是什么机子胃肠超声造影--无创、无痛、无辐射!_https://www.jmylbn.com_新闻资讯_第7张

1.适用人群广泛,所有健康体检人员,尤其适合不想或不能进行胃镜检查的人人群,如儿童、老年人。

2.特殊人群:患有高血压或者心脏病的老人、术后或治疗后复查等。

3.无法耐受胃肠镜、X线钡餐检查的患者。

4.适合于胃肠道疾病治疗(手术或药物)后疗效评估、复查随访等。

胃造影用的是什么机子胃肠超声造影--无创、无痛、无辐射!_https://www.jmylbn.com_新闻资讯_第8张


胃造影用的是什么机子胃肠超声造影--无创、无痛、无辐射!_https://www.jmylbn.com_新闻资讯_第9张

胃肠超声与胃肠镜的区别


胃肠镜检查比较直观,看胃肠腔内的黏膜表面病灶比较有优势,且能够取材活检。

胃肠超声具有穿透性,看黏膜下、肌壁间病变及外侵性病变比较有优势。

胃肠超声与胃肠镜相辅相成、取长补短,提高了胃肠道检查诊断的全面性和准确性,更好地为患者服务。

胃造影用的是什么机子胃肠超声造影--无创、无痛、无辐射!_https://www.jmylbn.com_新闻资讯_第10张

胃肠超声显示,胃窦部胃壁增厚,
图像层次感很清晰!

胃造影用的是什么机子胃肠超声造影--无创、无痛、无辐射!_https://www.jmylbn.com_新闻资讯_第11张

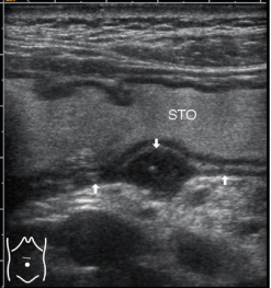
超声图像,箭头所指,低回声结节,无蒂,呈丘状,表面光滑,起源于粘膜层。

胃造影用的是什么机子胃肠超声造影--无创、无痛、无辐射!_https://www.jmylbn.com_新闻资讯_第12张
胃镜取材活检,病理证实为增生性息肉。

胃造影用的是什么机子胃肠超声造影--无创、无痛、无辐射!_https://www.jmylbn.com_新闻资讯_第13张

超声显示胃窦后壁肌层内低回声肿块,
胃镜无法探查到肿块。
最终手术结果为胃间质瘤。

胃造影用的是什么机子胃肠超声造影--无创、无痛、无辐射!_https://www.jmylbn.com_新闻资讯_第14张

病例一

胃造影用的是什么机子胃肠超声造影--无创、无痛、无辐射!_https://www.jmylbn.com_新闻资讯_第15张

45岁的杨先生长期受便秘困扰,用各种方法也没能缓解,肠镜检查并无特殊病变,便秘原因也一直无法查明。听朋友说连云港市第二人民医院超声科可以进行结肠超声检查。最终检查发现,杨先生为乙状结肠冗长。多年便秘的原因也就此解开。

胃造影用的是什么机子胃肠超声造影--无创、无痛、无辐射!_https://www.jmylbn.com_新闻资讯_第16张

正常乙状结肠

胃造影用的是什么机子胃肠超声造影--无创、无痛、无辐射!_https://www.jmylbn.com_新闻资讯_第17张

乙状结肠冗长

胃造影用的是什么机子胃肠超声造影--无创、无痛、无辐射!_https://www.jmylbn.com_新闻资讯_第18张

病例二

胃造影用的是什么机子胃肠超声造影--无创、无痛、无辐射!_https://www.jmylbn.com_新闻资讯_第19张

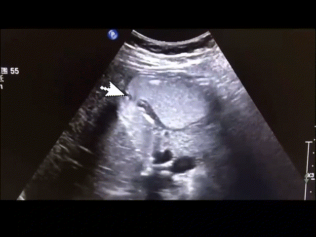
40岁的李女士上腹饱胀不舒服两个多月。曾经做胃镜检查,未发现明显病变。来到第二人民医院超声科,进行胃充盈超声检查。在超声动态观察下,发现李女士存在胃十二指肠幽门反流情况。于是进行对症治疗,两周后症状明显好转。

胃造影用的是什么机子胃肠超声造影--无创、无痛、无辐射!_https://www.jmylbn.com_新闻资讯_第20张

十二指肠幽门反流图

胃造影用的是什么机子胃肠超声造影--无创、无痛、无辐射!_https://www.jmylbn.com_新闻资讯_第21张

做了胃肠超声还需要做胃镜吗?


胃十二指肠超声检查未见异常的患者无需做胃镜,但对于有胃肠病变的患者,一般需要加做胃镜检查并在胃镜下取肿瘤组织行活检。通过二者结合,做到取长补短,可将胃肠疾病检测正确性以及检测率显著提高,可对胃镜诊断方法进行有效补充,最终获得准确诊断结果。

胃造影用的是什么机子胃肠超声造影--无创、无痛、无辐射!_https://www.jmylbn.com_新闻资讯_第22张

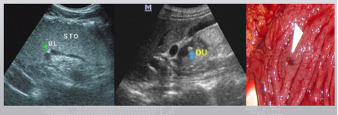
箭头所指为溃疡病灶。左图及中图,超声显示,胃壁局限性增厚,<1.5cm,粘膜面出现凹陷,通过胃镜进一步确定为溃疡灶。

胃造影用的是什么机子胃肠超声造影--无创、无痛、无辐射!_https://www.jmylbn.com_新闻资讯_第23张


科室简介


胃造影用的是什么机子胃肠超声造影--无创、无痛、无辐射!_https://www.jmylbn.com_新闻资讯_第24张

连云港第二人民医院超声医学科成立于1984年,是我市较早成立的超声医学科,从事超声诊疗工作已有四十余年历史,承担蚌埠医科大学、徐州医科大学、南京医科大学康达医学院等院校教学及实习带教任务。

超声医学科集诊断、治疗于一体,学术氛围浓厚,服务优良,技术精湛,每年完成近千例疑难病例的诊断和治疗,率先在连云港市开展胃肠超声检查。


东院区超声科联系电话:18961328397

西院区超声科联系电话:18961328396

整编 公共事业发展部

技术审核 黄红梅

胃造影用的是什么机子胃肠超声造影--无创、无痛、无辐射!_https://www.jmylbn.com_新闻资讯_第25张

胃造影用的是什么机子胃肠超声造影--无创、无痛、无辐射!_https://www.jmylbn.com_新闻资讯_第26张