三星彩超怎么样【便民服务】四维彩超界“新王者”——三星HERA女神超声仪,给孕妈妈们一份安心!

新闻资讯2026-04-21 01:10:27

点击“蓝色字”关注我们获得更多精彩内容

三星彩超怎么样【便民服务】四维彩超界“新王者”——三星HERA女神超声仪,给孕妈妈们一份安心!_https://www.jmylbn.com_新闻资讯_第1张

孕妈妈们看过来!






各位孕妈妈们

四维彩超约了吗?

以后不用东奔西跑做检查啦

县人民医院

三星HERA赫拉女神超声仪

是四维彩超领域最先进的设备

堪称胎儿排畸新王者

画质清晰

360度动态成像
为您超清展示

孕妈妈肚子里的“星辰大海”

让您更加安心的

孕育健康、聪明的宝宝

快来了解吧


— 三星HERA赫拉女神超声 —

三星彩超怎么样【便民服务】四维彩超界“新王者”——三星HERA女神超声仪,给孕妈妈们一份安心!_https://www.jmylbn.com_新闻资讯_第2张
三星彩超怎么样【便民服务】四维彩超界“新王者”——三星HERA女神超声仪,给孕妈妈们一份安心!_https://www.jmylbn.com_新闻资讯_第3张


    我院妇产科最新引进的三星公司HERA 赫拉超声诊断仪,是一款以“关爱女性终身健康”为初心,提供从孕前生殖、早孕呵护、产前筛查、产后康复、女性健康及儿科等应用领域的智能超声,同时兼顾全身检查。是目前国际上顶级专业妇产超声诊断仪。在妇产超声诊断方面,如胎儿畸形,先天性心脏病等疑难疾病的诊断等尤为突出。其四维图像呈现也更加真实,为临床精确诊断提供坚实可靠的图像支持。


四大优势

三星彩超怎么样【便民服务】四维彩超界“新王者”——三星HERA女神超声仪,给孕妈妈们一份安心!_https://www.jmylbn.com_新闻资讯_第4张
三星彩超怎么样【便民服务】四维彩超界“新王者”——三星HERA女神超声仪,给孕妈妈们一份安心!_https://www.jmylbn.com_新闻资讯_第5张

三星彩超怎么样【便民服务】四维彩超界“新王者”——三星HERA女神超声仪,给孕妈妈们一份安心!_https://www.jmylbn.com_新闻资讯_第6张

画质逼真  晶莹剔透

三星彩超怎么样【便民服务】四维彩超界“新王者”——三星HERA女神超声仪,给孕妈妈们一份安心!_https://www.jmylbn.com_新闻资讯_第6张


HERA 赫拉系列超声诊断仪一经推出,推动了妇产超声图像质量进入了更高的平台。仿真成像、水晶成像等技术的应用,使四维图像晶莹剔透,画质逼真,仿佛和宝宝隔空视频,目睹他们的一举一动,有时微笑,有时玩闹。

三星彩超怎么样【便民服务】四维彩超界“新王者”——三星HERA女神超声仪,给孕妈妈们一份安心!_https://www.jmylbn.com_新闻资讯_第8张


happy

happy

三星彩超怎么样【便民服务】四维彩超界“新王者”——三星HERA女神超声仪,给孕妈妈们一份安心!_https://www.jmylbn.com_新闻资讯_第9张



三星彩超怎么样【便民服务】四维彩超界“新王者”——三星HERA女神超声仪,给孕妈妈们一份安心!_https://www.jmylbn.com_新闻资讯_第10张

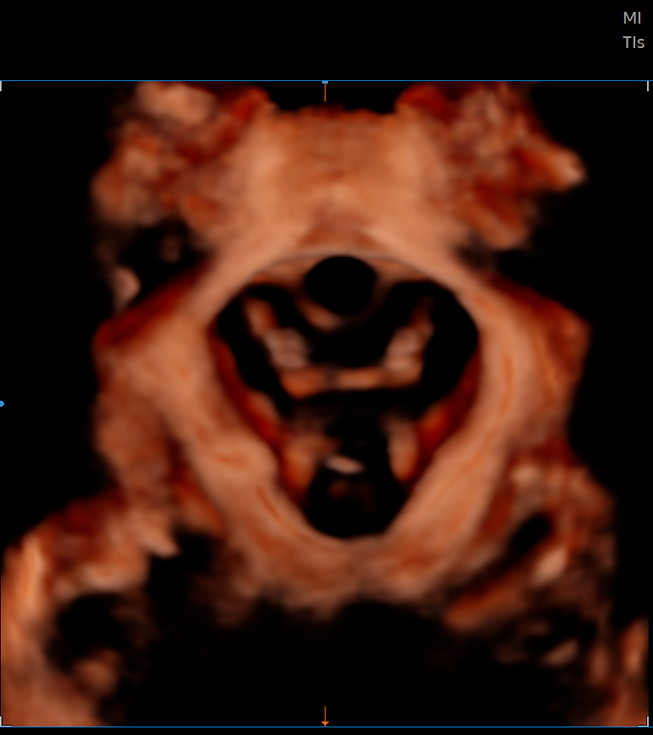
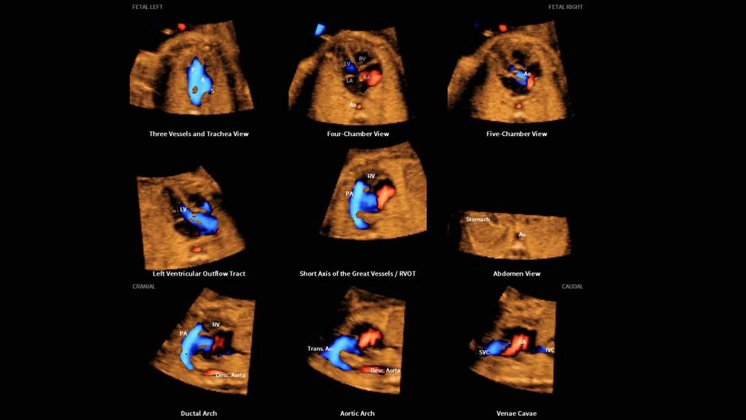
胎儿心脏  技术领先

三星彩超怎么样【便民服务】四维彩超界“新王者”——三星HERA女神超声仪,给孕妈妈们一份安心!_https://www.jmylbn.com_新闻资讯_第10张


新生儿心脏畸形在我国新生儿缺陷中发病率较高,而超声设备是进行胎儿心脏检查的首要方法,所以胎儿心脏检查对于超声图像质量及辅助的诊断工具要求非常高。HERA 赫拉系列超声具备一整套领先的胎心解决方案,支持从胎心心脏结构到心功能的全面分析,是胎儿心脏检查评估领域的技术领导者。MPI胎儿心肌做功指数可以综合评价胎心功能、5D Heart color 胎儿心脏智能导航技术可以智能获取胎儿心脏检查的9个标准切面,使胎心检查更简单、更准确,帮助临床医生及时作出准确诊断。

三星彩超怎么样【便民服务】四维彩超界“新王者”——三星HERA女神超声仪,给孕妈妈们一份安心!_https://www.jmylbn.com_新闻资讯_第12张


三星彩超怎么样【便民服务】四维彩超界“新王者”——三星HERA女神超声仪,给孕妈妈们一份安心!_https://www.jmylbn.com_新闻资讯_第10张

胎儿排畸  全面精准

三星彩超怎么样【便民服务】四维彩超界“新王者”——三星HERA女神超声仪,给孕妈妈们一份安心!_https://www.jmylbn.com_新闻资讯_第10张

HERA 赫拉先进的5D技术,可以呈现更全面、更细致、更精准的图像,可以用于胎儿中枢神经系统,长骨,NT等检查;先进的血流技术MV-Flow锐微成像技术、Lumi-Flow锐彩成像技术可以清晰显示胎儿微细血流,真实呈现血流灌注情况,同时VI血管指数定量分析技术,可对不同阶段不同部位的供血进行定量研究,方法简单,易于操作,提升产前检查诊断的信心及效率。


三星彩超怎么样【便民服务】四维彩超界“新王者”——三星HERA女神超声仪,给孕妈妈们一份安心!_https://www.jmylbn.com_新闻资讯_第15张
三星彩超怎么样【便民服务】四维彩超界“新王者”——三星HERA女神超声仪,给孕妈妈们一份安心!_https://www.jmylbn.com_新闻资讯_第16张






三星彩超怎么样【便民服务】四维彩超界“新王者”——三星HERA女神超声仪,给孕妈妈们一份安心!_https://www.jmylbn.com_新闻资讯_第17张
三星彩超怎么样【便民服务】四维彩超界“新王者”——三星HERA女神超声仪,给孕妈妈们一份安心!_https://www.jmylbn.com_新闻资讯_第18张
三星彩超怎么样【便民服务】四维彩超界“新王者”——三星HERA女神超声仪,给孕妈妈们一份安心!_https://www.jmylbn.com_新闻资讯_第19张

妇科疾病  明察秋毫

三星彩超怎么样【便民服务】四维彩超界“新王者”——三星HERA女神超声仪,给孕妈妈们一份安心!_https://www.jmylbn.com_新闻资讯_第19张


HERA 赫拉系列能够为妇科提供优异的图像,更精准的图像能够对子宫、输卵管、卵巢、卵泡等病变进行全面评估与诊断,独有的E-Cervix 智能宫颈机能定量分析技术,无需加任何外界压力,利用子宫动脉搏动 获得宫颈弹性成像及多项定量分析,是产前有效评价宫颈机能不全、预测早产风险的一种新方法,帮助临床医生提供早期干预、早期治疗的理论依据

三星彩超怎么样【便民服务】四维彩超界“新王者”——三星HERA女神超声仪,给孕妈妈们一份安心!_https://www.jmylbn.com_新闻资讯_第21张
三星彩超怎么样【便民服务】四维彩超界“新王者”——三星HERA女神超声仪,给孕妈妈们一份安心!_https://www.jmylbn.com_新闻资讯_第22张

Crystal Vue水晶成像显示盆底超声及输卵管造影





三星彩超怎么样【便民服务】四维彩超界“新王者”——三星HERA女神超声仪,给孕妈妈们一份安心!_https://www.jmylbn.com_新闻资讯_第23张
三星彩超怎么样【便民服务】四维彩超界“新王者”——三星HERA女神超声仪,给孕妈妈们一份安心!_https://www.jmylbn.com_新闻资讯_第24张





优秀的医师团队
世界先进四维彩超设备
给予孕妈妈们全方位的诊断和专业指导
为母婴健康保驾护航
快来咨询预约吧!
三星彩超怎么样【便民服务】四维彩超界“新王者”——三星HERA女神超声仪,给孕妈妈们一份安心!_https://www.jmylbn.com_新闻资讯_第25张

预约咨询热线:18841809602



— 四维彩超科普篇 —


到底什么是四维彩超?

它有什么特别之处?

相信很多宝妈们都一知半解

这就跟着小编来一起了解了解~

三星彩超怎么样【便民服务】四维彩超界“新王者”——三星HERA女神超声仪,给孕妈妈们一份安心!_https://www.jmylbn.com_新闻资讯_第26张


普通B超、彩超

三维彩超、四维彩超区别







普通B超是一种二维超声,也就是利用超声波探测出来的图像是黑白的,能观测到胎儿的组织结构。

三星彩超怎么样【便民服务】四维彩超界“新王者”——三星HERA女神超声仪,给孕妈妈们一份安心!_https://www.jmylbn.com_新闻资讯_第27张


彩超只是在普通B超的基础上出现了彩色-多普勒超声波探测诊断技术,能够观测到胎儿的心脏,血液流动情况,有利于及时发现胎儿的异常情况。

三星彩超怎么样【便民服务】四维彩超界“新王者”——三星HERA女神超声仪,给孕妈妈们一份安心!_https://www.jmylbn.com_新闻资讯_第28张


三维彩超是在二维超声的基础上,利用计算机再处理技术达到立体模式重建的超声诊断技术,能看到胎儿的立体图形。

三星彩超怎么样【便民服务】四维彩超界“新王者”——三星HERA女神超声仪,给孕妈妈们一份安心!_https://www.jmylbn.com_新闻资讯_第29张


四维彩超,就像摄像机拍摄的VCR,在三维B超的基础上加上了时间轴,就像是摄像机所拍摄到的画面,是动态的宝宝。所以才会出现人们所说的可以看到胎儿在体内打呵欠全过程的情况。


三星彩超怎么样【便民服务】四维彩超界“新王者”——三星HERA女神超声仪,给孕妈妈们一份安心!_https://www.jmylbn.com_新闻资讯_第30张


四维彩超能检查些什么?







除了给宝宝“写真”,它主要是用来排畸:



1、面部畸形检查:


重点观察胎儿双眼与眼眶是否等大、等圆,以及眼距测量,硬腭及上唇弧形曲线是否连续中断等。顺着头部筛查胎宝宝的颈部,看是否有异常包块。




2、脊柱畸形的筛查


观察脊柱有无隆起,光带有无中断,排列有无紊乱,骶尾部有无肿块等。




3、神经系统:


观察胎儿颅脑形态、脑组织(丘脑、小脑、小脑蚓部、颅后窝池、侧脑室)以及中线距两侧颅骨板的距离等,筛查无脑儿、露脑、脑积水、小头畸形、脊柱裂及脑脊膜膨出等情况。




4、泌尿系统:


肾积水、多囊肾及巨膀胱、尿道梗阻。




5、消化系统:


脐部肠膨出、内脏翻出、肠道闭锁及巨结肠等。




6、心脏筛查


是对胎儿心脏大体结构进行评价,如四腔的结构及左右室流出道结构,严重的胎儿心脏异常等。



四维彩超什么时候检查比较好?






三星彩超怎么样【便民服务】四维彩超界“新王者”——三星HERA女神超声仪,给孕妈妈们一份安心!_https://www.jmylbn.com_新闻资讯_第31张适宜检查孕期:

11周-13周+6天(早孕筛查)

20周-24周(中孕筛查)

28周-30周(晚孕筛查)


三星彩超怎么样【便民服务】四维彩超界“新王者”——三星HERA女神超声仪,给孕妈妈们一份安心!_https://www.jmylbn.com_新闻资讯_第32张
三星彩超怎么样【便民服务】四维彩超界“新王者”——三星HERA女神超声仪,给孕妈妈们一份安心!_https://www.jmylbn.com_新闻资讯_第33张

新闻资讯号


三星彩超怎么样【便民服务】四维彩超界“新王者”——三星HERA女神超声仪,给孕妈妈们一份安心!_https://www.jmylbn.com_新闻资讯_第34张

医疗服务号





关注我院“新闻资讯号”及“医疗服务号”

了解更多医疗咨询

享受更多便捷服务