x光材质怎么调【科普加油站】放射检查穿对衣服,让健康“一目了然”

新闻资讯2026-04-21 00:55:13

点击“海宁市中心医院”关注我们

x光材质怎么调【科普加油站】放射检查穿对衣服,让健康“一目了然”_https://www.jmylbn.com_新闻资讯_第1张

     每次拿到放射检查单(比如X光、CT),心里是不是总会嘀咕:去做检查到底该穿什么?毫无头绪,别担心,掌握下面几个小窍门,你就能穿得既舒服又省时,让检查结果清晰又准确。

核心原则:为身体做“减法”

     可以把放射线想象成一双拥有“透视”能力的眼睛。检查时,任何身外的“障碍物”都可能干扰它的视线,在影像上留下伪影,就像相机镜头上的污点,拍出来的图像会影响医生诊断。

所以,放射检查穿衣黄金法则就是:简单、宽松、无饰物

     就像下图所穿着的一样:

x光材质怎么调【科普加油站】放射检查穿对衣服,让健康“一目了然”_https://www.jmylbn.com_新闻资讯_第2张


推荐穿着(“优等生”选手):

     纯棉休闲是“万能牌”:首选纯棉质地的衣物,如T恤、运动裤、休闲家居服、连衣裙(不含金属拉链或装饰)。纯棉材质柔软、舒适,且通常不含干扰成像的部件。

分体衣物更便捷:相比连体衣或背带裤,上下分体的衣物在需要局部检查时穿脱更方便。

     “优等生”选手穿搭如下:


x光材质怎么调【科普加油站】放射检查穿对衣服,让健康“一目了然”_https://www.jmylbn.com_新闻资讯_第3张
x光材质怎么调【科普加油站】放射检查穿对衣服,让健康“一目了然”_https://www.jmylbn.com_新闻资讯_第4张

特别提示:

     运动裤建议不含以下类似金属扣及吊坠装饰;

     女士内衣不含钢圈、后背排扣及肩带调节扣。


体检胸片:医院体检中心放射科备有胸片检查专用服,如衣服不合格,不得已需要更换,请放心穿上检查服。它虽然不时尚,但却是为成像效果量身定做的“最佳工作服”。所以建议大家来院之前最好做好准备工作,免去更衣流程,缩短检查等待时间哦。

避坑指南(“黑名单”选手):

以下物品是放射科的“头号公敌”,检查前务必清除:

1. 金属类:项链、耳环、手表、皮带扣、束身衣(带钢条)、护腰带、文胸(尤其是带钢圈的)、磁疗内裤、衣服上的金属扣。

     因为金属会阻挡射线,在片子上留下大片亮白伪影,严重遮挡病灶。

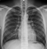
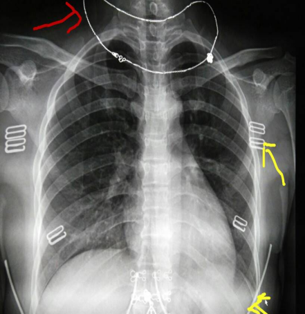
对比图如下:

x光材质怎么调【科普加油站】放射检查穿对衣服,让健康“一目了然”_https://www.jmylbn.com_新闻资讯_第5张

常规胸片(胸部X光片)

x光材质怎么调【科普加油站】放射检查穿对衣服,让健康“一目了然”_https://www.jmylbn.com_新闻资讯_第6张

束腰带图片

x光材质怎么调【科普加油站】放射检查穿对衣服,让健康“一目了然”_https://www.jmylbn.com_新闻资讯_第7张

含有项链、内衣扣及钢圈遮物的胸片

x光材质怎么调【科普加油站】放射检查穿对衣服,让健康“一目了然”_https://www.jmylbn.com_新闻资讯_第8张

束腰带钢条在X光下呈现白色条状影


     因项链、文胸(钢圈、排扣)、束腰带产生了明显的白色亮影,类似的还有磁疗内裤(材质内含金属),在图像上呈现出一颗颗白色亮点,图像会干扰医生观察。

2.高密度材质:玉佩、带有厚重印花、水钻、亮片的衣物。


x光材质怎么调【科普加油站】放射检查穿对衣服,让健康“一目了然”_https://www.jmylbn.com_新闻资讯_第9张
x光材质怎么调【科普加油站】放射检查穿对衣服,让健康“一目了然”_https://www.jmylbn.com_新闻资讯_第10张

衣服上的小亮片、小钻石在胸部X光图像上呈现出密密麻麻的小白点,会干扰医生的诊断。

3.其他物品:膏药、暖宝宝、手机、钱包、钥匙等。

     胸部X光/CT:女士请务必脱掉文胸,或选择无钢圈、无金属扣的运动内衣。穿纯棉T恤是最佳选择。

     腹部/腰椎CT或X光:需解下皮带,避免穿有金属拉链的裤子。

     四肢检查(如手臂、脚踝):非常方便,只需卷起袖子或裤腿即可,但记得摘掉该部位的所有首饰。

x光材质怎么调【科普加油站】放射检查穿对衣服,让健康“一目了然”_https://www.jmylbn.com_新闻资讯_第11张




温馨小贴士

     提前准备:预约检查时就可以主动询问穿衣要求。

     化繁为简:检查当天,干脆就穿一身符合要求的“标准服装”出门,省去在检查室匆忙更换的麻烦。

     寄存贵重物品:出发前就将首饰、钱包等留在家中,或交给随行家属妥善保管。

     做放射检查,记住 “纯棉素衣,身无杂物”这八个字就够了,一次成功的检查,离不开清晰准确的影像,穿对衣服,就是为我们自己的健康负责任。

x光材质怎么调【科普加油站】放射检查穿对衣服,让健康“一目了然”_https://www.jmylbn.com_新闻资讯_第12张
x光材质怎么调【科普加油站】放射检查穿对衣服,让健康“一目了然”_https://www.jmylbn.com_新闻资讯_第13张
供稿:王菊清
编辑/美编:贝乐燕
审核:陈红梅
签发:周燕
部分图片来源于AI制图
x光材质怎么调【科普加油站】放射检查穿对衣服,让健康“一目了然”_https://www.jmylbn.com_新闻资讯_第14张