siui彩超怎么用第84届CMEF超声厂家“群英会”---汕头超声:中国超声行业的“老大哥”

新闻资讯2026-04-21 00:39:38

siui彩超怎么用第84届CMEF超声厂家“群英会”---汕头超声:中国超声行业的“老大哥”_https://www.jmylbn.com_新闻资讯_第1张


       说起国产超声,可谓是“各有千秋”,但是如果要比“资格老”,我想大家在他面前都应该称它一声“老大哥”!它就是我们这次要介绍的国产又一实力选手---汕头超声。



        汕头超声于1978年获国家第一机械工业部批准成立,他是由我国著名的超声奠基人之一姚锦钟先生所创建。是国家重点高新技
术企业,产品涵盖医用超声、便携 DR、工业超声、智能影像四大领域,归属高端
装备制造业,是中国制造 2025 十大重点行业之一
  。汕头超声从创立自今,开创了我国超声事业很多第一。 1997年成功收购美国ATL公司彩超技术及产线,极大的提升了公司的技术实力并走向国际市场!要说起这个ATL,那也是超声行业的先河之一,1987年他研制出了世界上第一台前端全数字化超声诊断系统,其核心技术包括了数字化声束形成器、宽频技术,并带领超声图像进入完全没有失真的新时代! 汕头超声还在2008年,研制出实时三维容积探头,这一关键技术填补了国内空白!......

      这一切,都是妥妥的“带头大哥”的风范!!!

在第84届CMEF上,SIUI携多款台式、无线超声、第三代智能乳腺全容积超声IBUS BE3还有便携式DR等产品布展,其中实力颜值担当的Apogee6800及智能乳腺全容积超声IBUS BE3当然是摆在了最显眼的位置,我们来一起看看它们究竟实力如何?!

siui彩超怎么用第84届CMEF超声厂家“群英会”---汕头超声:中国超声行业的“老大哥”_https://www.jmylbn.com_新闻资讯_第2张
siui彩超怎么用第84届CMEF超声厂家“群英会”---汕头超声:中国超声行业的“老大哥”_https://www.jmylbn.com_新闻资讯_第3张
siui彩超怎么用第84届CMEF超声厂家“群英会”---汕头超声:中国超声行业的“老大哥”_https://www.jmylbn.com_新闻资讯_第4张
siui彩超怎么用第84届CMEF超声厂家“群英会”---汕头超声:中国超声行业的“老大哥”_https://www.jmylbn.com_新闻资讯_第5张
siui彩超怎么用第84届CMEF超声厂家“群英会”---汕头超声:中国超声行业的“老大哥”_https://www.jmylbn.com_新闻资讯_第6张
siui彩超怎么用第84届CMEF超声厂家“群英会”---汕头超声:中国超声行业的“老大哥”_https://www.jmylbn.com_新闻资讯_第7张

图 / SIUI展示机型




IBUS BE3智能乳腺全容积超声系统

siui彩超怎么用第84届CMEF超声厂家“群英会”---汕头超声:中国超声行业的“老大哥”_https://www.jmylbn.com_新闻资讯_第8张


2020年全球及中国癌症现状

   

       根据世界卫生组织/国际癌症研究署(WHO/IARC)发表的《2020全球癌症报告》,2020年度全球确诊为癌症的新发患者数量达到了1930万人次。

         其中乳腺癌新发病例高达226万例,占所有新发癌症总数的11.1%,超过了肺癌的220万例。新确诊的癌症患者中,每8人就有1人是乳腺癌患者。乳腺癌已取代肺癌,成为全球最高发的癌症。其中2020年中国癌症新发病例457万例,乳腺癌在全球发病数高居第一!而中国女性新发癌症病例数209万,其中乳腺癌为42万,占新发病例数的19.9%,成为中国女性新发癌症病例数最多的疾病!

siui彩超怎么用第84届CMEF超声厂家“群英会”---汕头超声:中国超声行业的“老大哥”_https://www.jmylbn.com_新闻资讯_第9张


siui彩超怎么用第84届CMEF超声厂家“群英会”---汕头超声:中国超声行业的“老大哥”_https://www.jmylbn.com_新闻资讯_第10张

图 / 2020年各国癌症新发病例数


siui彩超怎么用第84届CMEF超声厂家“群英会”---汕头超声:中国超声行业的“老大哥”_https://www.jmylbn.com_新闻资讯_第11张

图 / 2020年各国癌症死亡病例数


siui彩超怎么用第84届CMEF超声厂家“群英会”---汕头超声:中国超声行业的“老大哥”_https://www.jmylbn.com_新闻资讯_第12张


图 / 2020年中国癌症新发病例数前十的癌症类型


siui彩超怎么用第84届CMEF超声厂家“群英会”---汕头超声:中国超声行业的“老大哥”_https://www.jmylbn.com_新闻资讯_第13张

图 / 2020年中国癌症死亡例数前十的癌症类型



siui彩超怎么用第84届CMEF超声厂家“群英会”---汕头超声:中国超声行业的“老大哥”_https://www.jmylbn.com_新闻资讯_第14张

图 / 2020年中国女性癌症新发病例数前十的癌症类型




IBUS BE3智能乳腺全容积超声系统

siui彩超怎么用第84届CMEF超声厂家“群英会”---汕头超声:中国超声行业的“老大哥”_https://www.jmylbn.com_新闻资讯_第8张

           超声产品,由于其无辐射、检查费低、可以术前术中术后多次检查及疗效评估,并且更加适合致密性乳腺的检查,甚至在美国也逐步形成了首先使用乳腺X 线检查,如果该女性为致密性乳腺,以后的所有筛查将采用超声!!!而中国女性致密性乳腺占比较高,此次汕头超声带来的IBUS BE3 智能乳腺全容积超声系统就是一种全新的、前沿的超声检查方法,是超声成像领域及诊断模式的一项重大突破,具备舒适性、乳腺图像分辨率高、有效减少漏诊,特别适用于亚洲女性致密性乳腺等特点。


siui彩超怎么用第84届CMEF超声厂家“群英会”---汕头超声:中国超声行业的“老大哥”_https://www.jmylbn.com_新闻资讯_第16张


图 / IBUS BE3  展台


          IBUS BE3它不同于传统的超声,最主要的是它采用了更大尺寸的全容积扫描器,能够完全包络整个乳腺组织,并可快捷地采集乳腺组织全容积图像,特别是冠状面的图像,更加真实直观地显示整个乳腺组织,这是传统超声设备无法实现的关键功能。另外,由于冠状视图可直观地展现患者术中仰卧位时乳腺组织的解剖信息,赋予了冠状视图更高的临床价值,可帮助外科医生进行更准确的手术规划。

siui彩超怎么用第84届CMEF超声厂家“群英会”---汕头超声:中国超声行业的“老大哥”_https://www.jmylbn.com_新闻资讯_第17张

siui彩超怎么用第84届CMEF超声厂家“群英会”---汕头超声:中国超声行业的“老大哥”_https://www.jmylbn.com_新闻资讯_第18张

siui彩超怎么用第84届CMEF超声厂家“群英会”---汕头超声:中国超声行业的“老大哥”_https://www.jmylbn.com_新闻资讯_第19张

图 / IBUS BE3  全景展示


IBUS VS 传统超声



 1. 检查技术标准化,减少对经验和手法的依赖;

 2. 缩短检查时间;

 3. 提高肿块检出率,更好显示微小病灶的形态结构;

 4. 提高良恶性肿瘤的诊断准确度;

 5. 轻松获得乳腺组织的全容积图像;

 6. 空间立体定位准确,且与手术视野相符度高;

 7. 视野较传统二维探头大3倍以上;

 8. 不依赖聚焦区,全场均匀聚焦,可同时处理更多数据;

 9. 扫描和阅片分开执行,真正实现医技分离。



IBUS VS 钼靶乳腺机


 1. 没有X射线辐射;

 2. 乳腺肿块囊实性判断更为准确和便捷;

 3. 对于致密性乳腺肿瘤有更高的检出率;

 4. 真正实现乳腺容积超声断层显示;

 5. 可轻松获得水平面、矢状面和冠状面的图像;

 6. 空间立体定位准确,且与手术视野相符度高。



总结

     近年来,在智能乳腺全容积超声系统领域,不断有厂家涌入,例如西门子ABVS,GE的ABUS,而作为老牌的中国超声厂家,汕头超声涉足该领域,的确是有备而来,除了超高的性价比外,IBUS BE3它完成了从自动扫描、智能压力传感适应、智能图像采集、智能病灶追踪、智能工作流等全流程智能化,我们有理由相信:IBUS BE3是一款前沿、智能、性价比超高的乳腺全容积超声系统,提供更优的服务来造福临床医生和广大女性患者!!!







Apogee 6800 全新一代高端智能“云”彩超

siui彩超怎么用第84届CMEF超声厂家“群英会”---汕头超声:中国超声行业的“老大哥”_https://www.jmylbn.com_新闻资讯_第8张


       Apogee 6800是基于新一代“宏云”平台——宏云平台2.0研发的全新产品。宏云平台2.0采用先进的“宏技术”、“云服务”,以及全新的工作流MAI Work。其搭载了SIUI最新的Realview+超声引擎,该引擎主要是采用了当下流行的多路并行混合运算架构。并具备像素域宽波束、全域聚焦、加权融合、智能回波调谐等先进技术。


siui彩超怎么用第84届CMEF超声厂家“群英会”---汕头超声:中国超声行业的“老大哥”_https://www.jmylbn.com_新闻资讯_第21张



“宏云”平台

siui彩超怎么用第84届CMEF超声厂家“群英会”---汕头超声:中国超声行业的“老大哥”_https://www.jmylbn.com_新闻资讯_第8张

      “宏”是核心技术,是现代物理学、生物学、声学、电子及计算机技术、网络
技术等交叉学科的创新,突破了传统技术平台的局限性,实现了技术处理资源的无
限拓展,有效提高了系统处理速度并优化系统资源配置,从而提升对未来需求的适
应能力,其功能体现在客户通过简单操作即可满足各种繁复需求的结果。 

     “云”是载体,是通过网络云端,将庞大的数据量信息交由 SIUI 所设立的数
据中心解决单机无法解决的包括诊断、维护等问题,使客户无论何时何地使用
SIUI 的设备均能获得所需的服务

    “宏·云”平台是宏技术和云服务完美进行结合,在呈现更清晰、更真实超声
图像的同时,使仪器操作更简便、更好用,而且给用户奉献更多的增值服务,为用
户带来高端彩超的全新体验。“宏·云”平台,不仅是产品与技术的革新,更是应
用方向与服务理念的变革

siui彩超怎么用第84届CMEF超声厂家“群英会”---汕头超声:中国超声行业的“老大哥”_https://www.jmylbn.com_新闻资讯_第23张



Real View引擎

siui彩超怎么用第84届CMEF超声厂家“群英会”---汕头超声:中国超声行业的“老大哥”_https://www.jmylbn.com_新闻资讯_第8张


siui彩超怎么用第84届CMEF超声厂家“群英会”---汕头超声:中国超声行业的“老大哥”_https://www.jmylbn.com_新闻资讯_第25张





像素域宽波束成像

siui彩超怎么用第84届CMEF超声厂家“群英会”---汕头超声:中国超声行业的“老大哥”_https://www.jmylbn.com_新闻资讯_第8张


        在进行宽波束图像处理时,系统直接计算各像素所在区域回波信息,提高数据
采集效率和并行处理的速度,从而提高图像帧频。这是国内为数不多的具备该技术的超声厂家,实力担当!!!

siui彩超怎么用第84届CMEF超声厂家“群英会”---汕头超声:中国超声行业的“老大哥”_https://www.jmylbn.com_新闻资讯_第27张




全域聚焦

siui彩超怎么用第84届CMEF超声厂家“群英会”---汕头超声:中国超声行业的“老大哥”_https://www.jmylbn.com_新闻资讯_第8张


      全域聚焦近些年几乎成了所有超声厂家高端彩超的标配,它打破了传统波束中场聚焦的限制,目的改善图像近中远场的图像质量,尤其是近场和远场图像信息更多,更有利于复杂疾病的诊断。SIUI的全域聚焦自动补偿信号在组织内传播过程中的非线性误差,提高成像的聚焦的精确度和一致性,实现图像声场从近到远的均匀一致。

siui彩超怎么用第84届CMEF超声厂家“群英会”---汕头超声:中国超声行业的“老大哥”_https://www.jmylbn.com_新闻资讯_第29张


siui彩超怎么用第84届CMEF超声厂家“群英会”---汕头超声:中国超声行业的“老大哥”_https://www.jmylbn.com_新闻资讯_第30张

图 / 全域聚焦


融合增益

siui彩超怎么用第84届CMEF超声厂家“群英会”---汕头超声:中国超声行业的“老大哥”_https://www.jmylbn.com_新闻资讯_第8张


      信号在组织内传播的过程中形成大量噪声和伪像信号,对有效信号造成干扰,甚至掩盖有效信号的检出成像。通过融合增益技术,对有效信号进行识别检出,并做幅度、相位增强。对组织图像的细节特征表现真实,使不同深度、不同密度的器官组织声像得到很好的协调表达。


siui彩超怎么用第84届CMEF超声厂家“群英会”---汕头超声:中国超声行业的“老大哥”_https://www.jmylbn.com_新闻资讯_第32张

图 / 融合增益


全域血量

siui彩超怎么用第84届CMEF超声厂家“群英会”---汕头超声:中国超声行业的“老大哥”_https://www.jmylbn.com_新闻资讯_第8张


     通过对彩色采样进行区域分析匹配,区分实质组织和血流型号,对随机噪点进行动态智能检测抑制,得到纯净的彩色血流型号,提升血流检出灵敏度。

siui彩超怎么用第84届CMEF超声厂家“群英会”---汕头超声:中国超声行业的“老大哥”_https://www.jmylbn.com_新闻资讯_第34张

图 / 全域血流 Tactile Flow




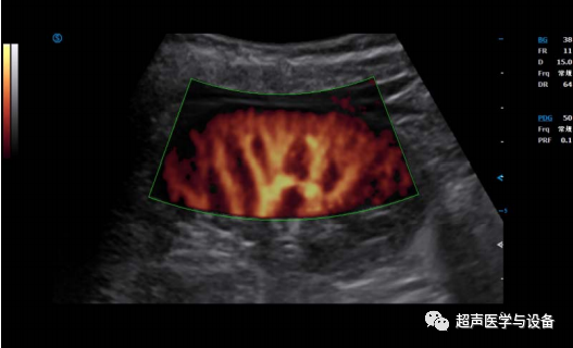
峰值成像

siui彩超怎么用第84届CMEF超声厂家“群英会”---汕头超声:中国超声行业的“老大哥”_https://www.jmylbn.com_新闻资讯_第8张

对感兴趣区域内的血流信号,采取特征强化策略,在单位时间内捕获血流的流
速信息,对血流峰值信号做智能的判断选择,有效增强血流灌注的密度显影,直观
显示肿瘤或可疑病灶的血流分布和血流灌注密度情况。

适用于: 

▶ 肿瘤的血流显示; 

病灶血流灌注密度差异显示; 

微弱血流的时间显示;

动脉壁斑块血流灌注显示


siui彩超怎么用第84届CMEF超声厂家“群英会”---汕头超声:中国超声行业的“老大哥”_https://www.jmylbn.com_新闻资讯_第36张



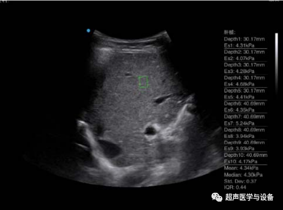
剪切波弹性成像 SEQ

siui彩超怎么用第84届CMEF超声厂家“群英会”---汕头超声:中国超声行业的“老大哥”_https://www.jmylbn.com_新闻资讯_第8张

虽然说剪切波目前已经有很多厂家具备,但是他仍然是超声医学领域最前沿的技术之一,他相比于目前仍然只具备应变式弹性成像的大部分厂家来说,这就是实力的体现!SEQ基于肝硬度评估肝纤维化的非侵入性方法,应用场景为肝脏硬度测量。

▶ 非侵入性评估肝脏纤维化程度,减少穿刺活检; 

治疗效果的监测和评估;

操作便捷,容易掌握; 

可重复性高,对操作者无依赖性;

二维定位,避开血管,准确测量肝组织。


siui彩超怎么用第84届CMEF超声厂家“群英会”---汕头超声:中国超声行业的“老大哥”_https://www.jmylbn.com_新闻资讯_第38张




智真光影4D 

siui彩超怎么用第84届CMEF超声厂家“群英会”---汕头超声:中国超声行业的“老大哥”_https://www.jmylbn.com_新闻资讯_第8张

妇产方面,智真光影4D技术突破更大的三维图像显示区,高效的预备状态裁剪线,通过对光源的控制,让
胎儿更形象生动,栩栩如生。

siui彩超怎么用第84届CMEF超声厂家“群英会”---汕头超声:中国超声行业的“老大哥”_https://www.jmylbn.com_新闻资讯_第40张



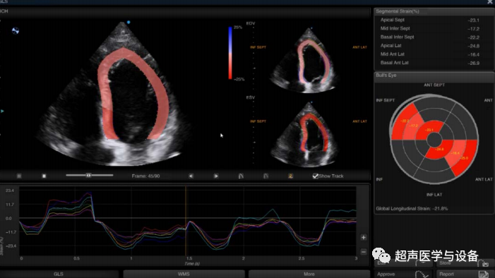
智能心肌运动性能定量评估 Auto SG

siui彩超怎么用第84届CMEF超声厂家“群英会”---汕头超声:中国超声行业的“老大哥”_https://www.jmylbn.com_新闻资讯_第8张


此外,在心脏功能及心肌定量诊断方面,SIUI的智能心肌运动性能定量评估功能能自动描迹心内膜和追踪心肌运动,获取左心室整体和节段心肌功能测量值;

▶ 提供多功能曲形图以及 17 节段的牛眼图显示 GLS 及 WMSI; 

  获取左心室整体纵向应变(GLS)和左心室室壁运动评分指数(WMSI)等数
据,用于评估左心室整体及局部功能;

 可重复性高

siui彩超怎么用第84届CMEF超声厂家“群英会”---汕头超声:中国超声行业的“老大哥”_https://www.jmylbn.com_新闻资讯_第42张

siui彩超怎么用第84届CMEF超声厂家“群英会”---汕头超声:中国超声行业的“老大哥”_https://www.jmylbn.com_新闻资讯_第43张



智灵造影成像

siui彩超怎么用第84届CMEF超声厂家“群英会”---汕头超声:中国超声行业的“老大哥”_https://www.jmylbn.com_新闻资讯_第8张


通过通过智灵算法将造影剂增强血液的背向散射,使血流清楚显示,可以实现
血流连续谐波成像,也能减少组织谐波的干扰,从而帮助临床进行鉴别诊断目的。应用优势: 

▶ 灵敏度高、分辨率好; 

非造影信号抑制能力强;

双实时:实时显示组织图像和造影图像; 

支持计时及造影击碎功能

siui彩超怎么用第84届CMEF超声厂家“群英会”---汕头超声:中国超声行业的“老大哥”_https://www.jmylbn.com_新闻资讯_第45张

siui彩超怎么用第84届CMEF超声厂家“群英会”---汕头超声:中国超声行业的“老大哥”_https://www.jmylbn.com_新闻资讯_第46张




友好人机设计

siui彩超怎么用第84届CMEF超声厂家“群英会”---汕头超声:中国超声行业的“老大哥”_https://www.jmylbn.com_新闻资讯_第8张

siui彩超怎么用第84届CMEF超声厂家“群英会”---汕头超声:中国超声行业的“老大哥”_https://www.jmylbn.com_新闻资讯_第48张

图 / 23英寸显示器,13.3英寸触控屏,6探头接口设计siui彩超怎么用第84届CMEF超声厂家“群英会”---汕头超声:中国超声行业的“老大哥”_https://www.jmylbn.com_新闻资讯_第49张siui彩超怎么用第84届CMEF超声厂家“群英会”---汕头超声:中国超声行业的“老大哥”_https://www.jmylbn.com_新闻资讯_第49张siui彩超怎么用第84届CMEF超声厂家“群英会”---汕头超声:中国超声行业的“老大哥”_https://www.jmylbn.com_新闻资讯_第49张siui彩超怎么用第84届CMEF超声厂家“群英会”---汕头超声:中国超声行业的“老大哥”_https://www.jmylbn.com_新闻资讯_第49张siui彩超怎么用第84届CMEF超声厂家“群英会”---汕头超声:中国超声行业的“老大哥”_https://www.jmylbn.com_新闻资讯_第49张siui彩超怎么用第84届CMEF超声厂家“群英会”---汕头超声:中国超声行业的“老大哥”_https://www.jmylbn.com_新闻资讯_第54张(一招制胜系列)





更“云”的智能超声

siui彩超怎么用第84届CMEF超声厂家“群英会”---汕头超声:中国超声行业的“老大哥”_https://www.jmylbn.com_新闻资讯_第8张


       Apogee 6800作为汕头宏云系列最高端的超声,除了拥有最先进的平台、成像技术及功能外,他的不同之处还在于它更加智能:可定制的检查流程、超声图像“云储存”、“云处理”、“云传输”、患者自助获取“云报告”、故障“云维护”、远程3D打印




“麦粒医生”App

siui彩超怎么用第84届CMEF超声厂家“群英会”---汕头超声:中国超声行业的“老大哥”_https://www.jmylbn.com_新闻资讯_第8张

       汕头超声还研发一款专门为医学影像工作者服务的“麦粒医生” App,用户可以通过 App 进
行学术交流、病例分享、远程教学、在线求助等。平台汇集前沿资讯、学习资源及
名师讲坛,深受广大医学影像工作者喜爱,正成为越来越多影像医生必备 APP,是
超人们的“随身百宝箱”。

      

       


总结

siui彩超怎么用第84届CMEF超声厂家“群英会”---汕头超声:中国超声行业的“老大哥”_https://www.jmylbn.com_新闻资讯_第8张

        汕头超声拥有着悠久的发展历史、深厚的文化底蕴、扎实的技术实力,还有相当不错的国产品牌市场口碑和占有率,然而我们还是期望看到一个更强大的汕头能带领民族超声走向世界超声的最高峰,这才是一个“老大哥”应有的责任和担当!



声 明:

1)超声医学于设备是一家专注于超声全领域知识分享的新媒体,欢迎广大超声医生,设备厂商及医工医技老师积极投稿(邮箱:csyxyshb@126.com)

2)本公众号发布的文章坚持原创,部分素材来源网络或书籍,均会注明来源,版权归原作者所有,如有侵权,请您告知(布丁:18637132535微信同号),我们会第一时间更正、删除

3)本公众号部分转载内容会提前联系转载平台及作者,并注明来源,如有异议,请联系(布丁:18637132535微信同号)

4)其他媒体和公众号转发,请务必标注来源:微信公众:超声医学与设备,ID:USmedicineEquipment



siui彩超怎么用第84届CMEF超声厂家“群英会”---汕头超声:中国超声行业的“老大哥”_https://www.jmylbn.com_新闻资讯_第58张

siui彩超怎么用第84届CMEF超声厂家“群英会”---汕头超声:中国超声行业的“老大哥”_https://www.jmylbn.com_新闻资讯_第59张

siui彩超怎么用第84届CMEF超声厂家“群英会”---汕头超声:中国超声行业的“老大哥”_https://www.jmylbn.com_新闻资讯_第60张
  扫二维码关注
《超声医学与设备》
  专注于超声全领域知识分享
siui彩超怎么用第84届CMEF超声厂家“群英会”---汕头超声:中国超声行业的“老大哥”_https://www.jmylbn.com_新闻资讯_第61张
siui彩超怎么用第84届CMEF超声厂家“群英会”---汕头超声:中国超声行业的“老大哥”_https://www.jmylbn.com_新闻资讯_第62张