rbc直方图怎么看提示RBC碎片?血片镜检一探究竟

新闻资讯2026-04-21 00:32:19


rbc直方图怎么看提示RBC碎片?血片镜检一探究竟_https://www.jmylbn.com_新闻资讯_第1张


作者:黄利军、吴美桦,广州中医药大学第三附属医院


检测血常规时发现血液中血小板计数大于等于 350x 10^9/L是血小板增多症吗?


在日常检验工作中常出现假性血小板减少或血小板增多的情况。某些溶血性疾病,发生血管内溶血,使红细胞异常,在异常血红蛋白症患者中,由于血液中出现了较多的红细胞碎片,这些碎片在血细胞分析仪计数时会被划分到血小板的区域里,从而干扰了血小板的计数,导致仪器出现了误差,将会使血小板计数出现假性升高。


rbc直方图怎么看提示RBC碎片?血片镜检一探究竟_https://www.jmylbn.com_新闻资讯_第2张
rbc直方图怎么看提示RBC碎片?血片镜检一探究竟_https://www.jmylbn.com_新闻资讯_第3张

案例经过

患者周某,女,26岁,因身体不适,来我院检查。患者神清,精神可,少许阴道流血,无明显腹痛。查体:生命体征平稳,腹平软,全腹无压痛及反跳痛;舌质暗,苔薄,脉弦。


血常规检查:红细胞:5.80×10^12/L上升,血红蛋白:102g/L下降,血小板:545x10^9/L上升,MCV、MCH、MCHC下降,RDW-CV:24%上升,详细结果见图1。

rbc直方图怎么看提示RBC碎片?血片镜检一探究竟_https://www.jmylbn.com_新闻资讯_第4张

图1


血细胞分析仪报警,提示红细胞大小不均,小细胞性红细胞,血小板:直方图显示异常出现翘尾现象,怀疑是干扰血小板导致的血小板假性升高,研究参数见图2。

rbc直方图怎么看提示RBC碎片?血片镜检一探究竟_https://www.jmylbn.com_新闻资讯_第5张

图2 提示有红细胞碎片


研究参数提示有红细胞碎片,标本MCV56.4fL触犯复检规则,仪器自动推片瑞士染色后人工镜检,见图3。

rbc直方图怎么看提示RBC碎片?血片镜检一探究竟_https://www.jmylbn.com_新闻资讯_第6张
rbc直方图怎么看提示RBC碎片?血片镜检一探究竟_https://www.jmylbn.com_新闻资讯_第7张
rbc直方图怎么看提示RBC碎片?血片镜检一探究竟_https://www.jmylbn.com_新闻资讯_第8张

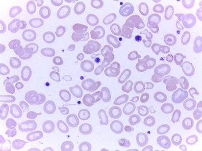
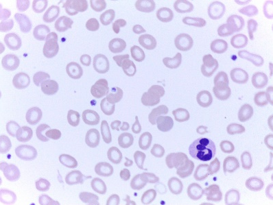
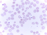
图3  血涂片瑞士染色(x1000)


血涂片镜下可见红细胞碎片明显增多,红细胞明显大小不均,红细胞中央淡染区扩大,血小板分布均匀,血小板数量未见增多,偶见大血小板,可以推测是红细胞碎片可影响血小板检测结果,应纠正血小板检测结果。故采用RET模式进行复查,结果红细胞:5.89×10^12/L上升,血红蛋白:104g/L下降,血小板:357x10^9/L上升,详细结果见图4。

rbc直方图怎么看提示RBC碎片?血片镜检一探究竟_https://www.jmylbn.com_新闻资讯_第9张

图4


rbc直方图怎么看提示RBC碎片?血片镜检一探究竟_https://www.jmylbn.com_新闻资讯_第2张
rbc直方图怎么看提示RBC碎片?血片镜检一探究竟_https://www.jmylbn.com_新闻资讯_第3张

案例分析

1、 RBC:5.80×10^12/L上升;HGB:102g/L下降,MCV:56.4fL、MCH17.7pg、MCHC313g/L均下降提示小细胞低色素性贫血,RDW-CV:24%,提示红细胞大小非均匀性。


2、 血细胞分析仪报警,血小板:直方图显示异常出现翘尾现象,血小板:545x10^9/L上升,血涂片镜下可见红细胞碎片,红细胞明显大小不均,红细胞中央淡染区扩大,血小板分布均匀,血小板数量未见增多,偶见大血小板。


3、 第一次结果显示血小板:545x10^9/L上升,经推片瑞士染色后,在显微镜下观察后可以确定是小红细胞、红细胞碎片所致的血小板假性增高。


4、采用RET模式进行复查后,RBC:5.89×10^12/L上升,HGB:104g/L下降,PLT:357x10^9/L;为核对其结果准确性,在显微镜下评估血小板的数量其分布。采用估测法:在高倍镜观察10个以上视野,平均镜下血小板数量在32-36之间,与RET模式进行复查后结果相符合;最后报告患者PLT:357x10^9/L,详细检验报告见图5。

rbc直方图怎么看提示RBC碎片?血片镜检一探究竟_https://www.jmylbn.com_新闻资讯_第12张

图5


rbc直方图怎么看提示RBC碎片?血片镜检一探究竟_https://www.jmylbn.com_新闻资讯_第2张
rbc直方图怎么看提示RBC碎片?血片镜检一探究竟_https://www.jmylbn.com_新闻资讯_第3张

案例总结

在血常规检查中血小板直方图出现翘尾异常现象,参数提示较多的红细胞碎片,从而干扰了血小板的计数,导致仪器出现了误差,在不明血小板假性增高的原因可以采用以下三种方法予以排除并纠正:


1、 采用RET模式进行复查,PLT-I、 PLT-O、PLT-F;以PLT-F排除PLT-I通道红细胞碎片的干扰,从而对血小板数值进行修正。


2、 采用估值法,在高倍镜下10个以上的视野,计算平均高倍镜视野中血小板平均数;从而进行纠正。


3、 手工计数法,PLT/L=5个中方格内的血小板数(N)×10^9/L,PLT/L=N×5×10×20×10^6/L;最后报告为血小板×10^9/L从而进行纠正。


当检验结果出现仪器有报警提示或者散点图、直方图有异常时,血细胞分析仪报警有着良好的提示。显微镜检查是外周血细胞形态的金标准,检验医生要及时复检,进一步纠正,进而有效避免在临床诊断中出现误诊现象。


rbc直方图怎么看提示RBC碎片?血片镜检一探究竟_https://www.jmylbn.com_新闻资讯_第2张
rbc直方图怎么看提示RBC碎片?血片镜检一探究竟_https://www.jmylbn.com_新闻资讯_第3张

龙彩云副主任技师点评

案例患者是临床常见的红细胞碎片或小红细胞导致的血小板假性增高,此种假性PLT增高一般不需要治疗,但在实际临床工作中需要与真性血小板增加相鉴别,通过检验科制定的标本复检规则,检验技师严格执行科室复检制度,人工或仪器自动复检,显微镜下确认并纠正PLT检测结果,可以减少患者不必要的其他检查和治疗。


在日常检验工作中,检验技师应注意观察PLT直方图是否异常,仪器是否有相关报警,当有以上情况时应引起重视,采取相应的措施进行复检,避免发出错误的报告,减少医疗纠纷,为构建和谐的医患关系不懈努力。

本文为原创文章,属医家小二首发,作者:黄利军、吴美桦,单位:广州中医药大学第三附属医院,感谢作者来稿!为尊重作者版权,未经授权请勿转发。本文观点仅做参考,如对某一观点有争议,可以评论区留言讨论。维护网络环境,请勿发表不当言论。


rbc直方图怎么看提示RBC碎片?血片镜检一探究竟_https://www.jmylbn.com_新闻资讯_第17张

征稿进行中!奖励丰厚,点击阅读原文欢迎来稿!

rbc直方图怎么看提示RBC碎片?血片镜检一探究竟_https://www.jmylbn.com_新闻资讯_第18张


医家小二

检验科贴心宝典


进入公众号,回复数字

发现更多检验科资料


rbc直方图怎么看提示RBC碎片?血片镜检一探究竟_https://www.jmylbn.com_新闻资讯_第19张 点“在看”给我一个小心心

rbc直方图怎么看提示RBC碎片?血片镜检一探究竟_https://www.jmylbn.com_新闻资讯_第18张