dmg口腔材料怎么使用不要小看临时牙

新闻资讯2026-04-20 23:12:46

关注我们-天天向上【艾克斯X·星云齿科】

dmg口腔材料怎么使用不要小看临时牙_https://www.jmylbn.com_新闻资讯_第1张

dmg口腔材料怎么使用不要小看临时牙_https://www.jmylbn.com_新闻资讯_第2张

dmg口腔材料怎么使用不要小看临时牙_https://www.jmylbn.com_新闻资讯_第3张


文献:永嘉齿科

dmg口腔材料怎么使用不要小看临时牙_https://www.jmylbn.com_新闻资讯_第4张
临床中修复医生把大部分精力都放在备牙上,而忽略了临时牙的制作,还有它的重要性。临时牙如果制作不够精密就会刺激牙龈,引起牙龈出血,牙龈增生,就会给戴牙时增加困难。临时牙也需要精密。今天把我做临时牙的方法介绍给大家。(这里的图提供下面的真实病例)

以下病例采用双丙烯酸树脂临时冠材料(Luxatemp, DMG)制作两上前牙的临时冠。双丙烯酸树脂临时冠材料具有聚合收缩小、临时冠边缘适合性好,聚合时几乎不产热、对牙髓无刺激,操作方便、可在口内一次完成等优点,是目前临床上最常用的临时冠制作方法。

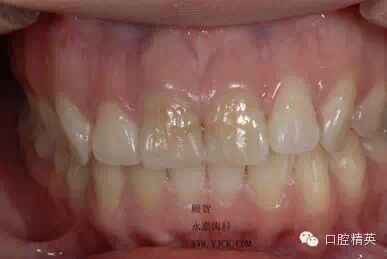
  1. 某患者,女,25岁。两上中切牙残冠,完善根冠治疗后。

dmg口腔材料怎么使用不要小看临时牙_https://www.jmylbn.com_新闻资讯_第5张

2. 在研究模型上制作两上中切牙的诊断蜡型。

dmg口腔材料怎么使用不要小看临时牙_https://www.jmylbn.com_新闻资讯_第6张

3. 预成石英纤维桩(Luxa Post,DMG)与树脂核(Luxacore,DMG)修复。

dmg口腔材料怎么使用不要小看临时牙_https://www.jmylbn.com_新闻资讯_第7张

4. 使用印模片(Luxa Form,DMG)在研究模型上制作成型阴模。

dmg口腔材料怎么使用不要小看临时牙_https://www.jmylbn.com_新闻资讯_第8张

5. 将双丙烯酸树脂临时冠材料(Luxatemp, DMG)注入成型阴模内。

dmg口腔材料怎么使用不要小看临时牙_https://www.jmylbn.com_新闻资讯_第9张

6. 将注入双丙烯酸树脂临时冠材料(Luxatemp, DMG)的就位于口腔内。

dmg口腔材料怎么使用不要小看临时牙_https://www.jmylbn.com_新闻资讯_第10张

7. 待双丙烯酸树脂临时冠材料(Luxatemp, DMG)初步凝固后从口内取出,等待数分钟完全凝固。

dmg口腔材料怎么使用不要小看临时牙_https://www.jmylbn.com_新闻资讯_第11张

8. 从成型阴模中取出临时冠。

dmg口腔材料怎么使用不要小看临时牙_https://www.jmylbn.com_新闻资讯_第12张

9. 临时冠磨改完成后,表面涂临时冠上光剂(Luxatemp Glaze &Bond, DMG),光照20秒固化。

dmg口腔材料怎么使用不要小看临时牙_https://www.jmylbn.com_新闻资讯_第13张

10. 使用专用的不含丁香油的临时冠暂时水门汀(Tempocem NE,DMG)将临时冠粘固,完成临时冠修复。

dmg口腔材料怎么使用不要小看临时牙_https://www.jmylbn.com_新闻资讯_第14张

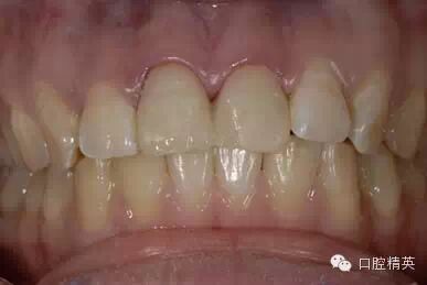
11.利用此方法可保证临时牙与基牙非常密合,减少牙龈受刺激的几率

dmg口腔材料怎么使用不要小看临时牙_https://www.jmylbn.com_新闻资讯_第15张





dmg口腔材料怎么使用不要小看临时牙_https://www.jmylbn.com_新闻资讯_第16张

dmg口腔材料怎么使用不要小看临时牙_https://www.jmylbn.com_新闻资讯_第2张