dmg口腔材料怎么使用DMG-Icon专利之渗透树脂(内含操作视频)

新闻资讯2026-04-20 23:12:45

dmg口腔材料怎么使用DMG-Icon专利之渗透树脂(内含操作视频)_https://www.jmylbn.com_新闻资讯_第1张



牙e课堂 · 好课推荐


                                                     
                                                     
                                                     
                                                     
 dmg口腔材料怎么使用DMG-Icon专利之渗透树脂(内含操作视频)_https://www.jmylbn.com_新闻资讯_第2张
                   

◀ 左右滑动选择课程,点击图片查看详情 ▶

x-_p-_o-

dmg口腔材料怎么使用DMG-Icon专利之渗透树脂(内含操作视频)_https://www.jmylbn.com_新闻资讯_第3张


dmg口腔材料怎么使用DMG-Icon专利之渗透树脂(内含操作视频)_https://www.jmylbn.com_新闻资讯_第4张

Icon是用于邻接面及唇颊面龋损微创治疗的非创伤性疗法。

两种不同的产品分别对应不同部位的治疗:

IconCaries Infiltrant – approximal 适用于初期的邻面龋的硬组织保存性治疗。具有专利技术特制的尖端部可以不通过钻磨牙体就能便捷的进入治疗区。

Thevestibular caries infiltration with Icon Caries Infiltrant – vestibular  适用于正畸患者取下托槽后的使用。


适应症:早期邻面龋和唇颊面釉质龋的微创治疗

禁忌症:深龋、潜行性龋、薄层釉质覆盖的牙颈部龋及暴露的牙本质龋的治疗。


病例介绍:

使用IconR Caries Infiltrant –vestibular治疗唇颊面釉质早期龋

整个套装包含一次治疗两至三个早期龋损所需的材料。一次性使用,如果邻牙有类似病变可一并治疗

dmg口腔材料怎么使用DMG-Icon专利之渗透树脂(内含操作视频)_https://www.jmylbn.com_新闻资讯_第5张


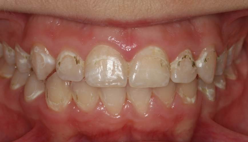
1、治疗前。正畸后患者

dmg口腔材料怎么使用DMG-Icon专利之渗透树脂(内含操作视频)_https://www.jmylbn.com_新闻资讯_第6张


2、牙面清洁后,橡皮障隔湿

dmg口腔材料怎么使用DMG-Icon专利之渗透树脂(内含操作视频)_https://www.jmylbn.com_新闻资讯_第7张


3、治疗部位涂布15%盐酸凝胶,酸蚀2分钟。2分钟后去除酸蚀剂,冲洗、干燥

dmg口腔材料怎么使用DMG-Icon专利之渗透树脂(内含操作视频)_https://www.jmylbn.com_新闻资讯_第8张


4、涂布99%无水酒精,干燥牙面

dmg口腔材料怎么使用DMG-Icon专利之渗透树脂(内含操作视频)_https://www.jmylbn.com_新闻资讯_第9张


5、干燥后的牙面

dmg口腔材料怎么使用DMG-Icon专利之渗透树脂(内含操作视频)_https://www.jmylbn.com_新闻资讯_第10张


6、关闭牙椅顶灯

dmg口腔材料怎么使用DMG-Icon专利之渗透树脂(内含操作视频)_https://www.jmylbn.com_新闻资讯_第11张


7、涂布icon渗透树脂,渗透3分钟

dmg口腔材料怎么使用DMG-Icon专利之渗透树脂(内含操作视频)_https://www.jmylbn.com_新闻资讯_第12张


8、去除多余材料后,每个牙面光照40秒

dmg口腔材料怎么使用DMG-Icon专利之渗透树脂(内含操作视频)_https://www.jmylbn.com_新闻资讯_第13张


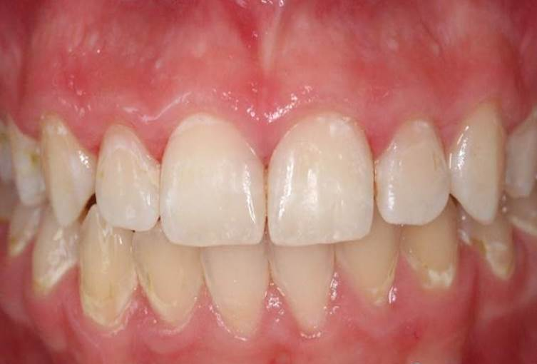
9、治疗后

dmg口腔材料怎么使用DMG-Icon专利之渗透树脂(内含操作视频)_https://www.jmylbn.com_新闻资讯_第14张


我们再通过视频来更深入地了解一下渗透树脂的操作步骤吧!



【欢迎加入】口腔临床病例讨论群


dmg口腔材料怎么使用DMG-Icon专利之渗透树脂(内含操作视频)_https://www.jmylbn.com_新闻资讯_第15张

1.临床经验分享,参与群讨论

2.个人临床疑惑,群里解答

3.获取更多视频与直播,群里通知


←加微信,备注拉群   

dmg口腔材料怎么使用DMG-Icon专利之渗透树脂(内含操作视频)_https://www.jmylbn.com_新闻资讯_第16张

 • end • 

编辑 | 口腔视频公众号    视频 | 网络

本视频遵循知识共享署名-非商业性使用-相同方式共享 4.0 许可协议。非原创内容来源于网络或文献书籍整理,感谢原作者的分享,若内容或配图等涉及您的合法合理权益,请联系我们处理!

dmg口腔材料怎么使用DMG-Icon专利之渗透树脂(内含操作视频)_https://www.jmylbn.com_新闻资讯_第17张

dmg口腔材料怎么使用DMG-Icon专利之渗透树脂(内含操作视频)_https://www.jmylbn.com_新闻资讯_第18张

           
           
           
           
·
·
·
点击图标,关注我们
·
                                                             




dmg口腔材料怎么使用DMG-Icon专利之渗透树脂(内含操作视频)_https://www.jmylbn.com_新闻资讯_第19张





 

                                                                                                                   

点击查看

 

                                                                                                                   

点击查看

 

                                                                                                                   

点击查看


dmg口腔材料怎么使用DMG-Icon专利之渗透树脂(内含操作视频)_https://www.jmylbn.com_新闻资讯_第20张

dmg口腔材料怎么使用DMG-Icon专利之渗透树脂(内含操作视频)_https://www.jmylbn.com_新闻资讯_第21张

茄子口腔医学

公众号ID:qiezzi001

dmg口腔材料怎么使用DMG-Icon专利之渗透树脂(内含操作视频)_https://www.jmylbn.com_新闻资讯_第22张

口腔视频

公众号ID:qzkqsp1

                                                           
                                                           
                                                           


                   
 dmg口腔材料怎么使用DMG-Icon专利之渗透树脂(内含操作视频)_https://www.jmylbn.com_新闻资讯_第23张
                   
 dmg口腔材料怎么使用DMG-Icon专利之渗透树脂(内含操作视频)_https://www.jmylbn.com_新闻资讯_第24张
                   
 dmg口腔材料怎么使用DMG-Icon专利之渗透树脂(内含操作视频)_https://www.jmylbn.com_新闻资讯_第25张
                   


dmg口腔材料怎么使用DMG-Icon专利之渗透树脂(内含操作视频)_https://www.jmylbn.com_新闻资讯_第26张