d-spect怎么检查厦门大学附属心血管病医院应用D-SPECT筛查出突变型心肌淀粉样变家系

新闻资讯2026-04-20 23:08:54

源于:原创 光脉小编 光脉医疗 Spectrum Dynamics

d-spect怎么检查厦门大学附属心血管病医院应用D-SPECT筛查出突变型心肌淀粉样变家系_https://www.jmylbn.com_新闻资讯_第1张



家族成员同患罕见致死性疾病


厦门大学附属心血管病医院应用D-SPECT筛查出突变型心肌淀粉样变家系


某位患者主诉起初表现为反复恶心、食欲不佳、腹泻等消化道症状,曾在消化科治疗未见明显好转。后在其他医院心内科就诊,考虑为心衰,但进行心衰治疗后仍症状反复,且逐渐恶化。


随后,该患者前往厦心就诊,通过心电图,心脏磁共振、心脏超声心肌应变力检测等检查,需要考虑的可能性诊断:浸润性心肌病。其中,最常见的是心肌淀粉样变性(Amyloid cardiomyopathy, CA)。经过一系列的血液和影像学检查,病人诊断为甲状腺素运载蛋白淀粉样心肌病(transthyretin amyloid cardiomyopathy, ATTR-CA)。当看到典型的心电图低电压和原因不明的心肌肥厚的超声改变,应该高度怀疑淀粉样心肌病。医生高度怀疑为“心肌淀粉样变”。


d-spect怎么检查厦门大学附属心血管病医院应用D-SPECT筛查出突变型心肌淀粉样变家系_https://www.jmylbn.com_新闻资讯_第2张

心电图为肢体导联稍显低电压

d-spect怎么检查厦门大学附属心血管病医院应用D-SPECT筛查出突变型心肌淀粉样变家系_https://www.jmylbn.com_新闻资讯_第3张

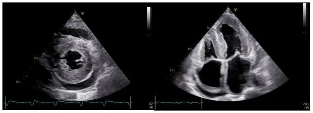
心脏超声显示肥厚的心室壁和室间隔

d-spect怎么检查厦门大学附属心血管病医院应用D-SPECT筛查出突变型心肌淀粉样变家系_https://www.jmylbn.com_新闻资讯_第4张

心超心肌应变力检查提示心尖应变力保留这是诊断心肌淀粉样变的超声特异性改变

d-spect怎么检查厦门大学附属心血管病医院应用D-SPECT筛查出突变型心肌淀粉样变家系_https://www.jmylbn.com_新闻资讯_第5张

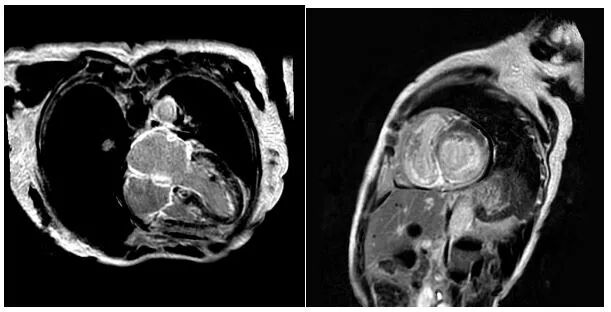
心脏磁共振(CMR)提示左右心室心肌增厚合并心内膜下弥漫性的纤维化病变

d-spect怎么检查厦门大学附属心血管病医院应用D-SPECT筛查出突变型心肌淀粉样变家系_https://www.jmylbn.com_新闻资讯_第6张

基因检测结果可以解释受检者表型的致病变异

“这是一种罕见的致死性心脏疾病,即心脏肌肉间质内沉积了类似淀粉样的物质,导致心肌僵硬、舒张受限、心脏增大、心律失常、胸腔心包积液等症状。患者临床诊断后平均存活时间较短,约为3-5年,死亡通常由进行性心力衰竭引起。”厦心心内科三区主任、核医学科负责人李穗吉博士介绍,2018年该病作为特发性心肌病的一种被列入国家罕见病目录,在中国尚处于一个逐渐被认识的过程。


由于病例少、认知程度低,该病很容易和其他原因导致的心衰混为一谈,为诊断带来一定的挑战。患者经常会被漏诊或误诊,导致错过最佳治疗时机,更糟糕的是,随着时间的推移,淀粉样物质沉积越多,心肌逐渐失去弹性,舒张及收缩功能随之下降,加重患者心衰。


D-SPECT大显身手 揪出“元凶”

d-spect怎么检查厦门大学附属心血管病医院应用D-SPECT筛查出突变型心肌淀粉样变家系_https://www.jmylbn.com_新闻资讯_第7张

厦心在2019年整体搬迁后引进全球最新数字化的核医学检查设备-D-SPECT

d-spect怎么检查厦门大学附属心血管病医院应用D-SPECT筛查出突变型心肌淀粉样变家系_https://www.jmylbn.com_新闻资讯_第8张
d-spect怎么检查厦门大学附属心血管病医院应用D-SPECT筛查出突变型心肌淀粉样变家系_https://www.jmylbn.com_新闻资讯_第9张
d-spect怎么检查厦门大学附属心血管病医院应用D-SPECT筛查出突变型心肌淀粉样变家系_https://www.jmylbn.com_新闻资讯_第10张
d-spect怎么检查厦门大学附属心血管病医院应用D-SPECT筛查出突变型心肌淀粉样变家系_https://www.jmylbn.com_新闻资讯_第11张

▲ 患者的核素显像


既往诊断ATTR-CA需要进行心肌活检,但这是一个有创检查,患者检查意愿低,且具有一定的风险,这就需要一个快速和高度敏感和特异的无创诊断工具。而D-SPECT是一种基于固态检测器的新型心脏专用检测系统, 目前广泛应用于心肌灌注显像。Uzair Mahmod[1]团队升级了D-SPECT使用相关图像采集和处理软件,能可靠地用于转甲状腺素蛋白心脏淀粉样变(ATTRCA)的诊断。


通过单中心分析显示,与传统ECT平面扫描相比,D-SPECT在诊断ATTR上具有可比性。D-SPECT优点还包括紧凑性、以区域为中心的扫描,更高的灵敏度和更高的分辨率。此外,D-SPECT直立采集更具优势,它的设计对于那些由于充血性心力衰竭或肥胖而无法平躺的传统γ相机系统的患者是最佳的选择。


扩展阅读:

淀粉样变性(Amyloidosis)是指淀粉样物质在细胞外的沉积,而原纤维是由多种血清蛋白的低分子量亚单位(5-25kD)构成的。这种原纤维形成的蛋白样物质,在遇到碘时,可被染成棕褐色,在加硫酸后呈蓝色,与淀粉遇碘时的反应相似,故被称为淀粉样变性。淀粉样蛋白在 HE 染色时为粉染物,而在刚果红染色的偏光显微镜下显示苹果绿的双折射。淀粉样沉积物可存在于各种器官中,当其累及心脏时就造成淀粉样变心肌病,而导致心力衰竭,心脏传导系统疾病,心包疾病,甚至晕厥和猝死。 


最常见的两种累及心脏的淀粉样变性是轻链型或原发型(AL)甲状腺素蛋白型(ATTR)。 


AL 原发型淀粉样变性:其淀粉样蛋白来源于骨髓浆细胞产生的单克隆轻链。AL原发型患者可以有高达50%的几率累及心脏;通常在40 岁以后发病,进展快且预后差。常常伴有多个系统器官 病变(肾脏,肝脏, 周围神经病变, 巨舌,眶周紫癜又称“浣熊眼”),其中巨舌和眶周紫癜较为特异。如果病人有无明显诱因的心衰症状,心肌肥厚和其它系统的淀粉样变病变,需要首先排除AL原发型淀粉样心肌病。 

 

ATTR 型淀粉样变性:其最常见的淀粉样蛋白是TTR(甲状腺素运载蛋白),它是由肝脏产生一种小蛋白四聚物,可以细分为野生型和突变型。野生型TTR主要见于老年性ATTR,非遗传性的,通常在60岁以后发病,是美国最常见的淀粉样心肌病,其进展较慢且预后较好。最常见的心脏改变就是浸润型心肌病,最终导致心肌肥厚和心力衰竭。而突变型TTR主要见于家族性ATTR(即本文病例),发病年龄介于30~70岁之间。TTR 突变可以有上百种。其中Val122lle突变引起的ATTR是最常见的类型之一,多数人在50 岁以后发病。常表现为不明原因的左心室心肌肥厚及心功能不全,还可合并有右心室肥厚及功能不全。Val30Met突变ATTR 是另外一型常见的ATTR,其发病年龄呈现为双峰式分布。早期发病者多见于30~50岁,主要表现为多发性周围神经病变,而心肌肥厚一般不严重,主要累及心脏的传导系统,可出现出现各种心律失常。而60岁以后发病的突变型ATTR患者,多数会伴有严重心肌肥厚。 

 

本文中的这位患者,后来又做了心脏磁共振(CMR)提示左右心室心肌增厚合并心内膜下弥漫性延迟强化,轻链检测阴性。为了进一步分型,血液被送检,检测到异常单克隆免疫球蛋白。接着病人做了99锝焦磷酸盐(99m Technetium-pyrophosphate)核素扫描。这项检查对ATTR 淀粉样变性的特异性可以高达97%。结果显示该患者的心脏呈强阳性改变。根综合该患者临床及检查结果,ARRT的诊断明确。为进一步分型,进行基因检测,检测出至ATTR的但基因突变,故该患者最终诊断突变型ATTR明确。该患者的弟弟也进行了D-SPECT扫描及基因检测,最终诊断突变型ATTR,其突变位点与其姐姐一致。

 

厦心作为福建省唯一的国家心血管疾病临床医学研究中心分中心,也是国家卫健委、福建省政府共建国家心血管病区域医疗中心,2019年整体搬迁后引进最新型的核医学检查设备,并于2021年开展这项高新诊断技术,帮家族内两位患者明确诊断,揪出“元凶”。据了解,这也是福建省首次用这种技术诊断遗传型心肌淀粉样变(ATTR-CM),家族性二人为同一染色体、同一位点的基因突变。目前这两位患者均使用氯苯唑酸治疗。        


目前,厦心已加入北京协和医院牵头的全国罕见病联盟,旨在提高广大临床医生对心血管罕见疾病的认识,更好整合多学科资源,快速、准确诊断罕见病,让患者得到及时正确的救治。

 

心肌淀粉样变难以被发现,但并不意味着不会被发现,李穗吉主任提醒,患者需要警惕这类疾病的警示症:收缩功能保留的心衰、心肌肥厚但心电图低电压、心脏彩超及磁共振异常提示等,警惕自身发出的危险信号,做到早筛、早诊、早治。


先进的无创检查工具的出现为心肌淀粉样变的诊断提供了便利,诊断方法及水平与传统技术相比已明显提高。D-SPECT数字化探测定量分析,优化了心肌淀粉样变患者相应示踪剂的心肌摄取的成像,提供了实质性的评估优势。

 

专家介绍 PROFILE


d-spect怎么检查厦门大学附属心血管病医院应用D-SPECT筛查出突变型心肌淀粉样变家系_https://www.jmylbn.com_新闻资讯_第12张

李穗吉主任

副主任医师、医学博士,心内三科科主任、核医学科负责人

担任中国中西医结合心血管分会冠脉学组委员,

中国医师协会冠脉介入培训导师,

两岸医药卫生交流协会心血管专业委员会委员

福建省心脏康复联盟常委,

厦门医学会心血管分会委员,

厦门市医学会心脏介入学分会委员

任欧洲心脏杂志(EHJ)青年编委。 

主持厦门市重点项目一项,在研;参与主持CSC重点课题及科技部国家重点研发项目,在研;发表科研论文多篇,曾在JACC cardio inter.杂志发表研究论文

具备丰富的心内科各种疑难、重症疾病治疗及抢救的临床经验

擅长各种复杂、钙化、分叉、慢性闭塞冠心病病变的介入治疗;独立开展冠状动脉旋磨技术、冠状动脉瘘封堵、肥心消融、肾动脉支架植入、颈动脉支架等手术。


参考文献

[1] Uzair Mahmood, A direct comparison between conventional gamma camera heart/lung ratio quantification and D-SPECT methodology in 50 consecutive patients.J Nucl Med May 1, 2020 vol. 61 no. supplement 1 1616 ATTR Cardiac Amyloidosis.

[2] Perugini E,Guidalotti PL,Salvi F,et al. Noninvasive etiologic diagnosis of cardiac amyloidosis using99mTc-3, 3-diphosphono-1, 2-propanodicarboxylicacid scintigraphy [ J ].J Am Coll Cardiol,2005,46(6): 1076-1084.

DOI:10.1016/ j.jacc.2005.05.073.

[3] Ross JC,Hutt DF,Burniston M,et al. Quantitation of 99mTc-DPD Uptake in patients with transthyretin-related cardiac amyloidosis[J].  Amyloid,2018,25(3):203210.

DOI:10.1080/13506129.2018.1520087.

[4] Bokhari S,Castano A,Pozniakoff T,et al. 99mTc-ophosphate scintigraphy for differentiating light-chain cardiac amyloidosis fromthe transthyretin-related familial and senile cardiac amyloidoses[J].Circ Cardiovasc Imaging,2013,6(2): 195-201. 

DOI : 10.1161/CIRCIMAGING. 112.000132.

[5]Carmela Nappi,Importance of correct patient positioning in myocardial perfusion SPECT when using a CZT camera. J Nucl Cardiol.2014 Aug;21(4):695-702.

DOI: 10.1007/s12350-014-9897-1. 

[6]Sharmila Dorbala,Absolute Quantitation of Cardiac 99mTc-Pyrophosphate Using Cadmium-Zinc-Telluride–Based SPECT/CT. J Nucl Med 2021; 62:716–722.

DOI: 10.2967/jnumed.120.247312

d-spect怎么检查厦门大学附属心血管病医院应用D-SPECT筛查出突变型心肌淀粉样变家系_https://www.jmylbn.com_新闻资讯_第13张
d-spect怎么检查厦门大学附属心血管病医院应用D-SPECT筛查出突变型心肌淀粉样变家系_https://www.jmylbn.com_新闻资讯_第14张



声明:本文著作权属原创者所有,不代表本微信公众号立场。如涉著作权事宜,请联系删除。


关注中国核医学医师

依法行医、依法维权

欢迎转发、欢迎转载

欢迎关注

《中国医师协会核医学医师分会官方网》

http://www.caonmp.com/

d-spect怎么检查厦门大学附属心血管病医院应用D-SPECT筛查出突变型心肌淀粉样变家系_https://www.jmylbn.com_新闻资讯_第15张


《中国核医学医师》微信公众号
第2179期