d-spect怎么检查医院动态 | 甘肃省人民医院核医学科在省内率先开展D-SPECT瑞加诺生药物负荷心肌灌注显像MPI

新闻资讯2026-04-20 23:08:52

d-spect怎么检查医院动态 | 甘肃省人民医院核医学科在省内率先开展D-SPECT瑞加诺生药物负荷心肌灌注显像MPI_https://www.jmylbn.com_新闻资讯_第1张


近日,甘肃省人民医院核医学科王海军主任团队在心血管内科一病区谢萍主任团队成员高志凌副主任医师的现场临床支持配合下,成功完成3例瑞加诺生负荷D-SPECT心肌灌注显像(MPI)/心肌血流定量检查。




d-spect怎么检查医院动态 | 甘肃省人民医院核医学科在省内率先开展D-SPECT瑞加诺生药物负荷心肌灌注显像MPI_https://www.jmylbn.com_新闻资讯_第2张




d-spect怎么检查医院动态 | 甘肃省人民医院核医学科在省内率先开展D-SPECT瑞加诺生药物负荷心肌灌注显像MPI_https://www.jmylbn.com_新闻资讯_第3张



核医学科新引进的D-SPECT,是目前国际先进的心脏专用SPECT,相对传统的SPECT具有显著优势,探测高效,快速,低剂量,高分辨率,灵明度高可以同时实现对心肌血流灌注(MPI)和冠脉血流储备的评估(CFR)。MPI是国际公认诊断心肌缺血首选的,最准确,循证证据最充分的无创性功能学评估心肌缺血的影像学诊断方法,可评估心肌缺血部位、范围、程度和推测“罪犯血管”。MPI分为静息心肌血流灌注显像和负荷心肌血流灌注显像。心肌负荷一般采取运动负荷或药物负荷。核医学科采用运动负荷较多,但因部分患者年老体弱无法运动负荷或运动负荷无法达到要求运动量,以及运动负荷对于心肌血流定量(MBF)分析会造成图像采集困难进而影响定量分析,而药物负荷是解决该类问题的良好方案。


我院新引进国内首个拥有核素心肌灌注显像适应症的负荷药物瑞加诺生注射液(Regadenoson Injection),该药物是人腺苷A2a受体高选择性血管扩张剂,是国际应用最广泛的负荷药物。其对A2a受体的靶向作用,有效减少/避免房室传导阻滞、支气管收缩等副作用的发生,可大幅提升心脏负荷检查的安全性;同时2-4分钟的半衰期,通过外周静脉10秒团注,无需输液泵以及无需根据患者公斤体重调整剂量,大大简化了心脏负荷检查的工作流程。这为我院行D-SEPCT药物负荷动态心肌血流定量分析提供了良好条件。


为了顺利完成首次瑞加诺生药物负荷MPI检查,核医学科王海军主任在检查前夕,专门安排D-SPECT、高压注射器、瑞加诺生技术工程师,组织核医学科D-SPECT团队进行检查前专门培训及过程演练。


经过周密准备,3月24日早上,首例瑞加诺生负荷D-SPECT心肌灌注显像/动态心肌血流定量检查开始。患者为一76岁女性,主因“间断性胸闷不适2月”入院,患者自诉2月前休息时突发胸痛,呈压榨样绞痛,伴有胸闷、气短、心慌、全身乏力等症状,口服速效救心丸2-3分钟后缓解。入院前1周患者洗澡后突发胸痛,疼痛性质、症状如前,来院就诊后,门诊疑似冠心病收住。患者有高血压病史,无冠心病家族史。临床初步诊断为劳力型心绞痛。为鉴别诊断微血管性心绞痛,故行静息/负荷心肌灌注显像。




d-spect怎么检查医院动态 | 甘肃省人民医院核医学科在省内率先开展D-SPECT瑞加诺生药物负荷心肌灌注显像MPI_https://www.jmylbn.com_新闻资讯_第4张


检查由科室主任王海军亲自指挥,核医学科杨莉桢护士负责静脉通路,陈得魁技师负责D-SPECT设备操作,马亮、丁新华医师负责观察患者及图像数据分析。同时核医学科紧密型医联体单位中核504医院核医学科孟晓静主任也在现场全程观摩并学习。本次检查采用一日法,先行静息下静脉注射99mTc-MIBI 10mci,过1.5小时后行静息灌注显像。30min后行药物负荷,护士将5ml(0.4mg)瑞加诺生于外周静脉匀速10秒推注,结束后立即用5ml生理盐水冲洗管路,随后再次静脉注射99mTc-MIBI 30mci,再过1.5小时后进行药物负荷心肌灌注显像。


患者基线心率98次/分,血压131/71mmHg,瑞加诺生注射1分钟后心率达到峰值128次/分,外周血压变化不大。负荷期间无任何严重不良反应及并发症发生,高度体现出药物负荷的安全性,患者自诉也无严重主观不适感,药物负荷依从性良好。




d-spect怎么检查医院动态 | 甘肃省人民医院核医学科在省内率先开展D-SPECT瑞加诺生药物负荷心肌灌注显像MPI_https://www.jmylbn.com_新闻资讯_第5张




d-spect怎么检查医院动态 | 甘肃省人民医院核医学科在省内率先开展D-SPECT瑞加诺生药物负荷心肌灌注显像MPI_https://www.jmylbn.com_新闻资讯_第6张



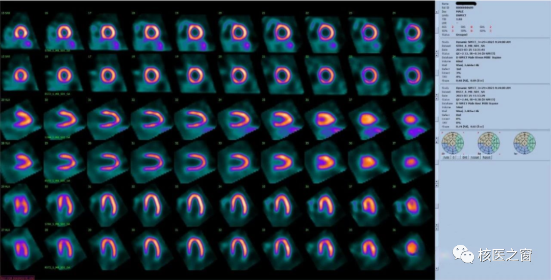
静息/药物负荷心肌灌注显像示:患者左心室心肌显影清晰,左心室室腔不大,形态正常,药物负荷及静息态下可见左心室各阶段放射性示踪剂分布均匀,未见明显异常的放射性分布稀疏或缺损区。靶心图(17节段)分析:左心室各室壁未见色阶分布减低区。左心室功能定量分析,左心室各室壁运动及增厚率未见异常。最终影像学诊断:药物负荷及静息态下左心室各室壁节段血流灌注未见明显异常。左心室收缩功能正常。根据结果可排除微循环障碍。




d-spect怎么检查医院动态 | 甘肃省人民医院核医学科在省内率先开展D-SPECT瑞加诺生药物负荷心肌灌注显像MPI_https://www.jmylbn.com_新闻资讯_第7张




d-spect怎么检查医院动态 | 甘肃省人民医院核医学科在省内率先开展D-SPECT瑞加诺生药物负荷心肌灌注显像MPI_https://www.jmylbn.com_新闻资讯_第8张




d-spect怎么检查医院动态 | 甘肃省人民医院核医学科在省内率先开展D-SPECT瑞加诺生药物负荷心肌灌注显像MPI_https://www.jmylbn.com_新闻资讯_第9张




d-spect怎么检查医院动态 | 甘肃省人民医院核医学科在省内率先开展D-SPECT瑞加诺生药物负荷心肌灌注显像MPI_https://www.jmylbn.com_新闻资讯_第10张



本次共完成3例瑞加诺生负荷D-SPECT动态心肌血流定量检查,流程紧凑而顺畅,三位患者均未出现严重不良反应,且均无严重主观不适感,这预示着我院心脏核医学及冠心病精准诊疗的进一步发展跃上了一个新台阶!


d-spect怎么检查医院动态 | 甘肃省人民医院核医学科在省内率先开展D-SPECT瑞加诺生药物负荷心肌灌注显像MPI_https://www.jmylbn.com_新闻资讯_第11张
d-spect怎么检查医院动态 | 甘肃省人民医院核医学科在省内率先开展D-SPECT瑞加诺生药物负荷心肌灌注显像MPI_https://www.jmylbn.com_新闻资讯_第12张
相关知识解析
d-spect怎么检查医院动态 | 甘肃省人民医院核医学科在省内率先开展D-SPECT瑞加诺生药物负荷心肌灌注显像MPI_https://www.jmylbn.com_新闻资讯_第13张

冠脉血流储备(coronary flow reserve,CFR)是指最大扩张状态时心肌血流量与静息心肌血流量的比值,反映了冠状动脉循环潜在储备能力和心肌缺血程度,可在冠状动脉解剖结构没有发生异常之前早期探测血管和微血管功能的异常改变。CFR近年来已成为可以诊断冠心病多支病变,评价微血管病变,进行冠心病危险分层,评价疗效及预后指标。关于CFR的临界值,目前国内外尚无统一标准,文献及各中心临床实践中常采用2.0.CFR临界值因显像剂、显像方案和研究对象不同而有差异。对于冠状动脉(简称冠脉)三支血管病变或微血管疾病,通过测定心肌血流量(myocardial blood flow, MBF)并计算冠脉血流储备(CFR)有助于识别冠脉三支病变和微血管病变。


PET拥有高计数率、高时间分辨率的断层成像系统和稳定成熟的衰减校正系统,PET 具有准确测定MBF和CFR的能力,但PET的高成本和复杂操作限制了其在临床中的广泛应用。传统SPECT 则受到自身性能的限制,无法完成对MBF和CFR的动态采集和定量分析。当出现冠脉三支病变且血管狭窄情况较为均等时,灌注的均匀缺损易导致对缺损程度的低估或假阴性的出现,而冠脉狭窄患者的CFR会显著低于无冠脉狭窄的患者,因此D-SPECT测定 CFR可以为MPI诊断心肌缺血作补充。有研究结果发现,D-SPECT与使用13N-NH3·H2O、15O-H2O和82Ru等显像剂的PET所测定的MBF和CFR均有很高的一致性。


d-spect怎么检查医院动态 | 甘肃省人民医院核医学科在省内率先开展D-SPECT瑞加诺生药物负荷心肌灌注显像MPI_https://www.jmylbn.com_新闻资讯_第14张
d-spect怎么检查医院动态 | 甘肃省人民医院核医学科在省内率先开展D-SPECT瑞加诺生药物负荷心肌灌注显像MPI_https://www.jmylbn.com_新闻资讯_第12张
科室简介
d-spect怎么检查医院动态 | 甘肃省人民医院核医学科在省内率先开展D-SPECT瑞加诺生药物负荷心肌灌注显像MPI_https://www.jmylbn.com_新闻资讯_第13张

甘肃省人民医院核医学科始建成于1959年,是全省较早成立的核医学科。目前科室拥有医技护专业人员14人,人才梯队合理,多名医师拥有核医学,CT,MR上岗证。科室集核医学分子影像、放射性核素治疗为一体,拥有国际先进的核医学影像设备,拥有16排诊断CT的双探头Discovery NM/CT670 Pro* SPECT/CT一台,拥有单探头MPR SPECT一台,D-SPECT一台,甲功仪一台,心脏活动平板一台,CRC-15R活度计四台,γ免疫计数器一台,碘125粒子植入计划系统,尿碘检测仪,锝气体发生器等设备。同时科室取得PET/MR配制许可证。甘肃省人民医院核医学科是甘肃省省级医疗卫生重点学科,同时是国家一类A级核辐射救治基地协作科室。



往期回顾


d-spect怎么检查医院动态 | 甘肃省人民医院核医学科在省内率先开展D-SPECT瑞加诺生药物负荷心肌灌注显像MPI_https://www.jmylbn.com_新闻资讯_第17张
不规则的肺结节一定是肺癌吗?


d-spect怎么检查医院动态 | 甘肃省人民医院核医学科在省内率先开展D-SPECT瑞加诺生药物负荷心肌灌注显像MPI_https://www.jmylbn.com_新闻资讯_第18张
综述PET/CT的“特殊子弹”——FAPI





d-spect怎么检查医院动态 | 甘肃省人民医院核医学科在省内率先开展D-SPECT瑞加诺生药物负荷心肌灌注显像MPI_https://www.jmylbn.com_新闻资讯_第19张                     
漫游科普,轻松认识甲状腺

d-spect怎么检查医院动态 | 甘肃省人民医院核医学科在省内率先开展D-SPECT瑞加诺生药物负荷心肌灌注显像MPI_https://www.jmylbn.com_新闻资讯_第20张d-spect怎么检查医院动态 | 甘肃省人民医院核医学科在省内率先开展D-SPECT瑞加诺生药物负荷心肌灌注显像MPI_https://www.jmylbn.com_新闻资讯_第21张