d-spect怎么检查SPECT/CT科普 | 核医学不是 “可怕的核”!从检查到治疗,这些精准利器帮你对抗疾病

新闻资讯2026-04-20 23:08:09
d-spect怎么检查SPECT/CT科普 | 核医学不是 “可怕的核”!从检查到治疗,这些精准利器帮你对抗疾病_https://www.jmylbn.com_新闻资讯_第1张
d-spect怎么检查SPECT/CT科普 | 核医学不是 “可怕的核”!从检查到治疗,这些精准利器帮你对抗疾病_https://www.jmylbn.com_新闻资讯_第2张
d-spect怎么检查SPECT/CT科普 | 核医学不是 “可怕的核”!从检查到治疗,这些精准利器帮你对抗疾病_https://www.jmylbn.com_新闻资讯_第3张
d-spect怎么检查SPECT/CT科普 | 核医学不是 “可怕的核”!从检查到治疗,这些精准利器帮你对抗疾病_https://www.jmylbn.com_新闻资讯_第4张
d-spect怎么检查SPECT/CT科普 | 核医学不是 “可怕的核”!从检查到治疗,这些精准利器帮你对抗疾病_https://www.jmylbn.com_新闻资讯_第5张

拒绝谈 “核” 色变

SPECT/CT 守护健康


d-spect怎么检查SPECT/CT科普 | 核医学不是 “可怕的核”!从检查到治疗,这些精准利器帮你对抗疾病_https://www.jmylbn.com_新闻资讯_第6张

不少人一听到 “核医学”,就会联想到 “辐射”“危险”,甚至下意识避开。其实,核医学是现代医学中精准诊疗的 “一把好手”—— 它既能用 PET/CT、SPECT/CT 等设备揪出微小病灶,也能用放射性核素 “精准打击” 甲亢、骨转移等疾病,全程诊断无创、治疗安全可控。


其中,核医学检查的核心优势是 “功能性 + 结构性” 结合 —— 不仅能看到器官 “长什么样”,还能知道它 “工作得好不好”,尤其适合早发现、早诊断复杂疾病,今天就带大家看看核医学的SPECT/CT检查能有哪些应用。


d-spect怎么检查SPECT/CT科普 | 核医学不是 “可怕的核”!从检查到治疗,这些精准利器帮你对抗疾病_https://www.jmylbn.com_新闻资讯_第7张



SPECT/CT:

“器官功能 + 局部细节” 的专项专家




PET/CT虽然是诊断利器,但费用昂贵,而SPECT/CT检查相对平价、诊断性能佳,往往可以“花小钱,办大事”。而且SPECT/CT 不仅能进行全身探查,还特别擅长 “局部精查”,在各个系统的疾病中均有应用,尤其在心脏、骨骼、甲状腺、肾脏、消化道等部位诊断中不可替代。


1

心肌灌注显像:

心血管功能好不好?


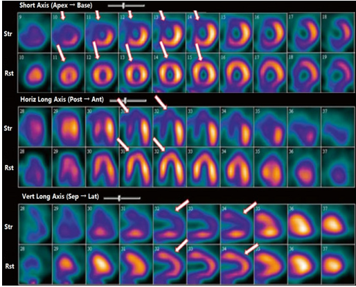
心肌灌注显像是诊断冠心病患者心肌缺血准确且循证医学证据最充分的无创性方法,可以准确判断冠状动脉狭窄时有无心肌缺血、评估缺血范围、评估是否需行支架置入以及评估支架置入后疗效,在心肌炎、心肌病、微血管障碍等心血管疾病中也有应用。


d-spect怎么检查SPECT/CT科普 | 核医学不是 “可怕的核”!从检查到治疗,这些精准利器帮你对抗疾病_https://www.jmylbn.com_新闻资讯_第8张


案例:心绞痛患者完善负荷+静息心肌灌注显像提示左室前壁、间壁局部心肌缺血,为临床选择治疗方案提供依据。




2

骨骼系统:

骨骼健康吗?


SPECT/CT骨显像不仅常用于评估肿瘤患者有无骨转移以进行肿瘤分期评估,且在隐匿性骨折、股骨头缺血性坏死、人工关节术后随访评估以及关节炎性病变等骨关节疾病中也有其独特价值。骨显像能早期发现病变,敏感性高,一次检查即可进行全身骨骼情况评估。


d-spect怎么检查SPECT/CT科普 | 核医学不是 “可怕的核”!从检查到治疗,这些精准利器帮你对抗疾病_https://www.jmylbn.com_新闻资讯_第9张


案例:胰腺癌患者为评估有无骨转移行全身骨显像,检查结果提示全身骨骼多发转移。




3

内分泌系统:

甲状腺情况怎么样?


目前甲状腺疾病如甲亢、甲状腺结节、甲状腺癌好发,甲状腺显像不仅用于甲状腺功能性评估如评估甲亢病情、甲状腺炎辅助诊断,还能用于协助诊断甲状腺结节性质、评估甲状腺癌术后情况、判断颈胸部肿块与甲状腺关节以及寻找异位甲状腺等。此外还有甲状旁腺显像可诊断甲状旁腺功能亢进、肾上腺显像用于诊断嗜铬细胞瘤等。


d-spect怎么检查SPECT/CT科普 | 核医学不是 “可怕的核”!从检查到治疗,这些精准利器帮你对抗疾病_https://www.jmylbn.com_新闻资讯_第10张


案例:胸骨后占位患者,甲状腺显像检查结果提示为胸骨后甲状腺肿。




4

泌尿系统:

肾脏工作有没有“偷懒”?



肾脏是人体重要代谢器官之一,常规的肾功能评估常有滞后性且难以评估单一肾脏的功能情况,而核医学的肾动态显像通过放射性示踪剂直接捕捉肾脏的生理功能过程,能够实现无创、定量、动态一体化的肾功能评估,主要用于评价肾脏实质功能和上尿路引流情况,其在评估分肾功能方面有独特优势,是用于测量分肾肾小球滤过率的“金标准”。而肾静态显像对于肾先天性异常、急性肾盂肾炎、肾占位病变等提供帮助。


d-spect怎么检查SPECT/CT科普 | 核医学不是 “可怕的核”!从检查到治疗,这些精准利器帮你对抗疾病_https://www.jmylbn.com_新闻资讯_第11张


案例:右肾结石并重度积水患者,肾动态显像评估左肾功能尚可、右肾功能重度受损,为临床选择手术方案提供依据。




5

消化系统:

胃肠道“工作”有问题吗?


消化系统检查种类较多,可用于消化道出血定位与定量、鉴别婴儿持续性黄疸病因、异位胃黏膜诊断、唾液腺功能评价等。


d-spect怎么检查SPECT/CT科普 | 核医学不是 “可怕的核”!从检查到治疗,这些精准利器帮你对抗疾病_https://www.jmylbn.com_新闻资讯_第12张


案例:患儿因黄疸入院,肝胆动态显像提示胆道闭锁,最终手术治疗,证实为胆道闭锁。




6

其他:

多个系统疾病中广泛应用


SPECT/CT不仅用于上述系统检查,在全身其他系统、器官需进行功能评估时均有应用,如脑血流灌注显像对于评估脑血管疾病的脑血供及功能、癫痫病灶定位、寻找脑脊液漏部位等有重要的应用价值,肺灌注与通气功能显影对于肺栓塞、慢性阻塞性肺疾病等提供帮助,骨髓显像及脾显像利于血液系统疾病的诊断、疗效评估,亲肿瘤显像、前哨淋巴结显像可用于如乳腺癌、甲状腺癌等肿瘤诊断,淋巴显像对于淋巴水肿的诊断及病情评估提供依据。

除了大型设备,核医学还有些 “便捷检查”,摄碘率测定对于甲亢、甲减、甲状腺炎等甲状腺疾病的诊断和鉴别诊断有很高价值,双能X线骨密度测定是诊断骨质疏松的金标准。





有些患者或家属可能会担心使用检查药物的辐射安全问题,不用慌,“配合医生+科学防护” 是关键,经过评估使用剂量在安全可控范围,且检查用的放射性药物半衰期短、很快就能排出体外。


咨询电话:0773-5591325


核医学科门诊时间:

每周二上午、每周三上午。



文、图:陈瑜、刘益龙

编辑:莫芳

一审:唐   毅 一校:蒙定武

二审:段雨晴 二校:莫   芳

三审:黄宇平 三校:支   荣

d-spect怎么检查SPECT/CT科普 | 核医学不是 “可怕的核”!从检查到治疗,这些精准利器帮你对抗疾病_https://www.jmylbn.com_新闻资讯_第13张
往期回顾
d-spect怎么检查SPECT/CT科普 | 核医学不是 “可怕的核”!从检查到治疗,这些精准利器帮你对抗疾病_https://www.jmylbn.com_新闻资讯_第14张

【建校90周年系列活动】二附院公益活动黄沙站让群众得实惠

【二附院心理医生说】新学期迎新友:教你轻松打开人际交往新局面

护心启航,解心之忧|桂林医科大学二附院临床心理科正式开科

【二附院医生说】基孔肯雅热怎么防?环境清理+防蚊叮咬齐行动!

【二附院医生说】脱发比脱单还快?可能是雄激素性秃发在“作怪”!

桂北首例!桂医二附院完成冠脉开口支架定位系统辅助下左主干开口介入手术

4个月竟减重60多斤!二附院这个手术让你告别“减肥焦虑”

医患同行,温暖瞬间 | 八旬大爷点赞“并肩作战”的检验与药学门诊

【二附院医生说】孕妇为啥要做产前检查,都查啥

【二附院减重科普】约每5个中小学生就有1个小胖墩,家长速看

【二附院减重科普】:别再盲目定义胖瘦了!BMI竟藏着大秘密

来了啊,老弟!二附院男性HPV疫苗可约可打→


d-spect怎么检查SPECT/CT科普 | 核医学不是 “可怕的核”!从检查到治疗,这些精准利器帮你对抗疾病_https://www.jmylbn.com_新闻资讯_第15张


d-spect怎么检查SPECT/CT科普 | 核医学不是 “可怕的核”!从检查到治疗,这些精准利器帮你对抗疾病_https://www.jmylbn.com_新闻资讯_第16张
d-spect怎么检查SPECT/CT科普 | 核医学不是 “可怕的核”!从检查到治疗,这些精准利器帮你对抗疾病_https://www.jmylbn.com_新闻资讯_第17张