:小张医生,什么是DR呀?
:DR是英文简称,全称是Direct Digit Radiography,即直接数字化X射线摄影。
:那什么是CT呢?
:CT 是Computed Tomography的简称,即电子计算机断层扫描。
:哎哟,你讲得太专业了,我听不懂呀。
:那我展开给您说说!
DR是最常用的X线检查技术,它是利用X射线的穿透能力生成从黑到白不同灰度的影像,也就是大家常说的“拍片”。
检查应用范围:骨骼系统、呼吸系统、循环系统、消化系统、泌尿系统等
优点:辐射剂量小,价格相对便宜,是疾病初筛的主要检查方式及骨关节系统的重要检查方法。
缺点:只能提供二维的平面影像,组织前后重叠且密度分辨率低,有些部位是看不见的,若需进一步观察,需要进行升级版的CT检查。
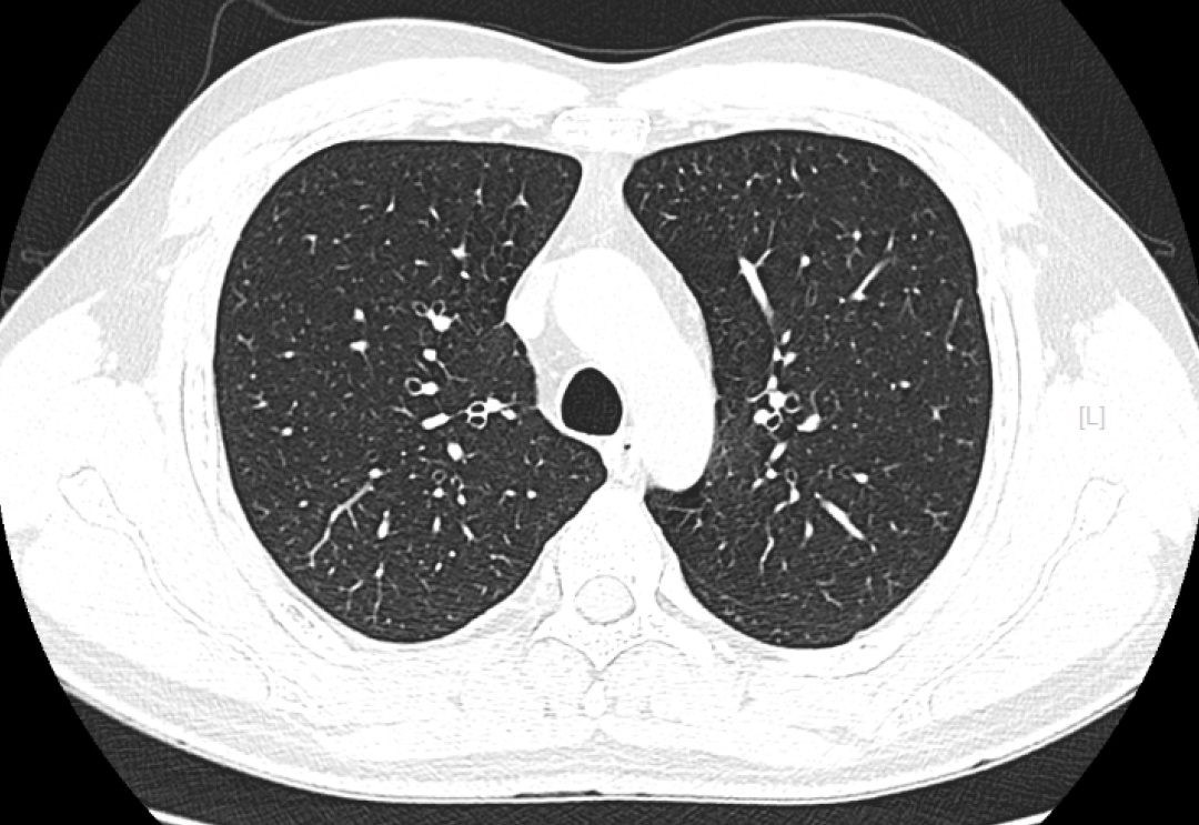
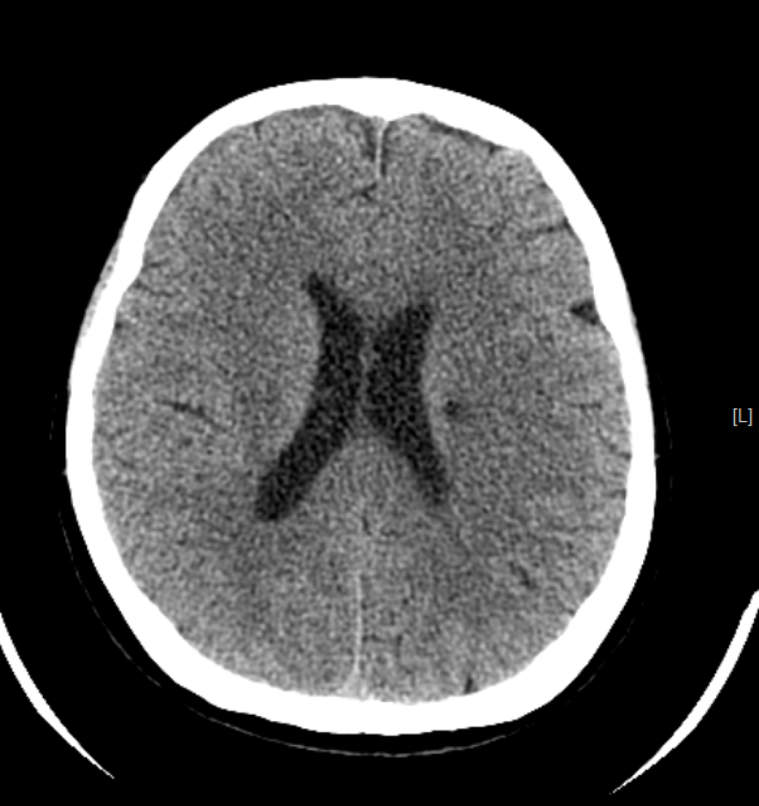
CT检查成像原理与DR类似,使用的是X射线,之后通过计算机成像。相较DR,CT可以多角度、多层面、多功能扫描成像,就像把一个面包切成多个平面进行观察。
检查应用范围:从头到脚,均可进行CT平扫,主要运用于头颅、颈部、胸部、腹部、脊柱、盆腔、四肢等部位。特别是高分辨率胸部CT,在检查肺部小结节时,运用非常广泛,CT检查脑出血也有相当的优势,另外微小的骨折、大部分器官的病变都能够看到。
优点:相较DR,CT的密度分辨率更高,可以显示DR检查不能发现或容易遗漏的病变。
注意:部分疾病不能做CT增强检查,如:肝、肾功能不全、甲状腺功能异常、碘对比对剂过敏、重度荨麻疹等,需要CT增强检查的患者需要临床医生评判后才可进行。
我们可以把人体组织想象成一块面包,DR检查是把面包压扁了来看。当X线穿过人体后,遇到被遮挡的部位,图像上是不会显示的。就像一片面包,看不到里面的纤维纹理,但是它的结构完整性更强。
而CT检查是把面包切片来看,获得的是真正的断面图像,没有层面以外的结构干扰。虽然细节看的更清楚了,但它就不是一块完整的面包了。
DR和CT是两种不同的检查方法,其侧重点不同,各具优势,两者不能互相替代。比如对于骨折来说,DR诊断要比CT更好,因为DR可以直接排除绝大多数的骨折,但是对于隐形性的骨折,CT会更好一些,可以作为DR检查后的进一步定性检查方法。
:这样解释,您明白了吗?
:明白啦!
:现在我们医院也有CT了!有需要的话,您可以到我们医院做个体检吧。
:噢哟!现在你们服务项目越来越全,真是大大方便我们了!
随着大众健康意识的增强,定期的影像检查,成为人们追求的健康习惯,对于疾病“早检查、早发现、早诊断、早治疗”已成为共同的健康理念。
我院CT优势:具有40mm宽度数字视网膜探测器,7MHU球管,超清像素,可实现2秒全脑、3秒全肺、5秒胸腹盆、10秒全身快速扫描,配备人工智能头颈CTA、肺结节、脑出血、脑缺血AI筛查软件,可为临床提供科学准确的影像资料。
CT开展项目:适用于颅脑、眼眶、颞骨、副鼻窦、颅骨、颈部、胸部、心脏、腹部、盆腔、脊柱、椎间盘、四肢骨关节等部位的检查。能进行全身各部位常规、增强扫描及三维重建、体层高清成像,满足全身各系统组织器官的影像学检查要求。
1.因DR、CT检查具有辐射性,孕妇、备孕人群不建议检查;
2检查时不携带金属物品:如耳环、项链、手机、钱包、含金属饰品的衣物等。以免影响图像质量;
3.配合医生保护非检部位:如甲状腺、眼睛、性腺等敏感部位。
4.检查胸部、腹部、心脏的患者,请在语音提示下做好屏气;
5.进行腹部CT检查的患者,检查当日需空腹4-6小时,在检查前15分钟需喝500ml水以充盈胃肠部,扫描前再服300-500ml。胰腺炎、腹部外伤、肠梗阻的病人禁止饮水;
6.盆腔CT检查患者需憋尿,扫描前30-60分钟口服白开水800-1000ml;
7.一周内进行过消化道造影检查的患者,不宜进行腹部、盆腔CT检查;
8.重症患者、神志不清者或儿童,应由家属陪同检查;陪同者应穿戴好工作人员提供的防护用品。

普利德 悬吊双轨双板DR

GE Revolution Maxima Select螺旋CT

GE X线双能骨密度检测仪
挂号——相应科室就诊——医生开具检查单——缴费——放射科登记——CT/DR/骨密度室进行检查。
报告领取时限:急诊≤30分钟;普通门诊≤2小时;CT特殊检查(增强和后处理)、凡需要问病史的,根据具体情况延迟时间;普通住院患者24小时内发送报告至病区,体检人员在体检中心获取报告。
撰稿: 医学影像科
编辑:党建办
审核:习晓坤
