乳腺机为什么叫钼靶【精准医学】马村区人民医院引进焦作东部城区首台乳腺钼靶机----让乳腺疾病无处可藏

新闻资讯2026-04-17 14:51:21

乳腺机为什么叫钼靶【精准医学】马村区人民医院引进焦作东部城区首台乳腺钼靶机----让乳腺疾病无处可藏_https://www.jmylbn.com_新闻资讯_第1张

乳腺机为什么叫钼靶【精准医学】马村区人民医院引进焦作东部城区首台乳腺钼靶机----让乳腺疾病无处可藏_https://www.jmylbn.com_新闻资讯_第2张

乳腺机为什么叫钼靶【精准医学】马村区人民医院引进焦作东部城区首台乳腺钼靶机----让乳腺疾病无处可藏_https://www.jmylbn.com_新闻资讯_第3张

乳腺机为什么叫钼靶【精准医学】马村区人民医院引进焦作东部城区首台乳腺钼靶机----让乳腺疾病无处可藏_https://www.jmylbn.com_新闻资讯_第4张


乳腺钼靶机

马村区人民医院呵护女性健康

-排除身体健康隐患-

乳腺机为什么叫钼靶【精准医学】马村区人民医院引进焦作东部城区首台乳腺钼靶机----让乳腺疾病无处可藏_https://www.jmylbn.com_新闻资讯_第5张





拥有美丽又健康的乳房
是每位女性的心愿
但是乳腺这个女生最亲密的伙伴
有时也会给众多“女神”带来很多困扰
随着发病率的逐渐上升
乳腺癌已经成为
威胁女性健康的恶性肿瘤之首
乳腺钼靶能有效的探测乳腺肿物


近日,马村区人民医院在焦作东部城区率先引进一台乳腺钼靶机,为乳腺疾病的筛查和诊断提供了重要的检查手段。

乳腺钼靶,全称乳腺钼靶X线摄影检查,又称钼钯检查,是诊断乳腺疾病的首选和最简便、最可靠的无创性检测手段,痛苦相对较小,简便易行,且分辨率高,重复性好,留取的图像可供前后对比,不受年龄、体形的限制,已作为女性常规的检查手段。

它的特点是可以检测出医生触摸不到的乳腺肿块,特别是对于大乳房和脂肪型乳房,其诊断性可高达95%,对于以少许微小钙化为唯一表现的T0期乳腺癌(临床门诊阴性),也只有凭借软X线检查才能被早期发现和诊断。


马村区人民医院

放射科乳腺钼靶

已经正式开机投入使用啦


乳腺机为什么叫钼靶【精准医学】马村区人民医院引进焦作东部城区首台乳腺钼靶机----让乳腺疾病无处可藏_https://www.jmylbn.com_新闻资讯_第6张




乳腺机为什么叫钼靶【精准医学】马村区人民医院引进焦作东部城区首台乳腺钼靶机----让乳腺疾病无处可藏_https://www.jmylbn.com_新闻资讯_第7张
乳腺机为什么叫钼靶【精准医学】马村区人民医院引进焦作东部城区首台乳腺钼靶机----让乳腺疾病无处可藏_https://www.jmylbn.com_新闻资讯_第8张



什么是乳腺钼靶

乳腺机为什么叫钼靶【精准医学】马村区人民医院引进焦作东部城区首台乳腺钼靶机----让乳腺疾病无处可藏_https://www.jmylbn.com_新闻资讯_第9张


乳腺机为什么叫钼靶【精准医学】马村区人民医院引进焦作东部城区首台乳腺钼靶机----让乳腺疾病无处可藏_https://www.jmylbn.com_新闻资讯_第10张

乳腺机为什么叫钼靶【精准医学】马村区人民医院引进焦作东部城区首台乳腺钼靶机----让乳腺疾病无处可藏_https://www.jmylbn.com_新闻资讯_第11张


       医学名称是乳腺X线摄影检查,是早期乳腺癌筛查的重要手段之一。俗地说就是乳腺的“夹板拍片”,是将乳腺放置于两块特制的平板中,压紧后进行摄片。相对于乳腺彩超检查来说,操作难度不是很大,给患者带来的痛苦也比较小,但是对于一些不容易触摸到或者是乳腺彩超不能够探测到的乳腺肿物,检出率比较高。

钼靶检查的优势


       无创,痛苦小。乳腺钼靶检查不会触及到体内,辐射也微乎其微。
       简单、方便。留取的图像可供前后对比,不受年龄、体形的限制。
       灵敏度高。可以发现≤1.0cm的乳腺癌微小病灶和部分隐匿性病灶,敏感度85~90%,而且降低了放射剂量。乳腺钼靶对于彩超和核磁无法鉴别的钙化病变可以进行准确辨别。钼靶+彩超是乳腺筛查的金标准。

乳腺机为什么叫钼靶【精准医学】马村区人民医院引进焦作东部城区首台乳腺钼靶机----让乳腺疾病无处可藏_https://www.jmylbn.com_新闻资讯_第12张




乳腺预警信号


乳腺机为什么叫钼靶【精准医学】马村区人民医院引进焦作东部城区首台乳腺钼靶机----让乳腺疾病无处可藏_https://www.jmylbn.com_新闻资讯_第13张     乳房有肿块、乳头异常分泌物尤其是血性分泌物;

两侧乳房不对称,乳房皮肤呈桔皮样改变;

乳头或乳晕处出现表皮糜烂、湿疹样改变;

乳房显著增大、红肿,变化进展较快;

乳房缩小,乳头位置回缩;

腋窝、锁骨上淋巴结肿大,有时可感到腋窝内有物体挤压感;

乳房局部溃疡或疼痛,常呈间歇性且局限于病变处,疼痛不随月经周期而变化;

不明原因的骨痛、腰痛、腹胀、上腹气块、贫血和消瘦等。


哪些人最有必要做钼靶检查?

乳腺机为什么叫钼靶【精准医学】马村区人民医院引进焦作东部城区首台乳腺钼靶机----让乳腺疾病无处可藏_https://www.jmylbn.com_新闻资讯_第14张



病例

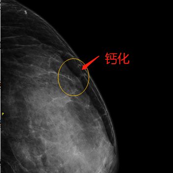
 张女士五十出头,来医院常规体检,乳腺彩超没有发现特殊异常,但是乳腺钼靶提示左乳有一个“绿豆”大小的团簇状钙化。医生建议张女士住院,把异常钙化切除送检,术后病理提示为乳腺导管原位癌,癌组织直径只有2.5mm。

乳腺机为什么叫钼靶【精准医学】马村区人民医院引进焦作东部城区首台乳腺钼靶机----让乳腺疾病无处可藏_https://www.jmylbn.com_新闻资讯_第15张

乳腺机为什么叫钼靶【精准医学】马村区人民医院引进焦作东部城区首台乳腺钼靶机----让乳腺疾病无处可藏_https://www.jmylbn.com_新闻资讯_第16张
乳腺机为什么叫钼靶【精准医学】马村区人民医院引进焦作东部城区首台乳腺钼靶机----让乳腺疾病无处可藏_https://www.jmylbn.com_新闻资讯_第17张

张女士钼靶所见异常钙化

乳腺机为什么叫钼靶【精准医学】马村区人民医院引进焦作东部城区首台乳腺钼靶机----让乳腺疾病无处可藏_https://www.jmylbn.com_新闻资讯_第18张
乳腺机为什么叫钼靶【精准医学】马村区人民医院引进焦作东部城区首台乳腺钼靶机----让乳腺疾病无处可藏_https://www.jmylbn.com_新闻资讯_第19张

张女士


幸亏没有因为怕麻烦而拒绝做钼靶,否则就不可能发现这么早期的乳腺癌,就会延误治疗,后果真的难以想象。

特别提醒

真正早期乳腺癌多数临床上是不能触及肿块的,而乳腺实质内的钙化,则是早期乳腺癌最常见甚至是唯一的征象。临床证实,乳腺钼靶X线摄影术的应用使早期乳腺癌的检出率明显增高。

 钼靶特别适合对软组织的透照成像,而且辐射低。尤其对40岁以上的妇女,乳腺组织退化,对射线敏感度降低,影响更小。马村区人民医院引进的全数字钼靶机,具有摄像成像清晰、特征突出、敏感度高,是当今公认的早期诊断乳腺癌的最有效手段。

注意事项

乳腺机为什么叫钼靶【精准医学】马村区人民医院引进焦作东部城区首台乳腺钼靶机----让乳腺疾病无处可藏_https://www.jmylbn.com_新闻资讯_第9张
乳腺机为什么叫钼靶【精准医学】马村区人民医院引进焦作东部城区首台乳腺钼靶机----让乳腺疾病无处可藏_https://www.jmylbn.com_新闻资讯_第10张

     
       女性月经来潮前5~7天,乳房会出现胀满疼痛感,如此时做钼靶检查,加压板夹紧乳腺,自然会疼。一般月经干净后10天左右做检查最合适。

乳腺机为什么叫钼靶【精准医学】马村区人民医院引进焦作东部城区首台乳腺钼靶机----让乳腺疾病无处可藏_https://www.jmylbn.com_新闻资讯_第22张


      大量的临床研究证实,定期的乳腺X线筛查能够做到早期发现,早期诊断,早期治疗,使乳腺癌患者的死亡率大大下降。使用钼靶检查早期发现乳腺癌,也意味着更多的乳腺癌妇女有机会实施保留乳房的手术治疗,可能不需要进行乳房切除术。
      所以,建议满足条件的女性养成定期钼靶检查的习惯,将乳房健康牢牢掌握在自己手中!

温馨提示

乳腺机为什么叫钼靶【精准医学】马村区人民医院引进焦作东部城区首台乳腺钼靶机----让乳腺疾病无处可藏_https://www.jmylbn.com_新闻资讯_第23张
乳腺机为什么叫钼靶【精准医学】马村区人民医院引进焦作东部城区首台乳腺钼靶机----让乳腺疾病无处可藏_https://www.jmylbn.com_新闻资讯_第24张
乳腺机为什么叫钼靶【精准医学】马村区人民医院引进焦作东部城区首台乳腺钼靶机----让乳腺疾病无处可藏_https://www.jmylbn.com_新闻资讯_第25张


乳腺机为什么叫钼靶【精准医学】马村区人民医院引进焦作东部城区首台乳腺钼靶机----让乳腺疾病无处可藏_https://www.jmylbn.com_新闻资讯_第10张

      

该设备的引进标志着马村区人民医院乳腺疾病的检查诊断方面迈上了新的台阶,也为焦作东部城区的女性同胞带来了福音,进一步细心呵护女性乳腺健康!

欢迎辖区广大女性朋友前来咨询检查~
咨询电话:0391--8380059
马村区人民医院医技楼一楼右侧
(下图所示)

乳腺机为什么叫钼靶【精准医学】马村区人民医院引进焦作东部城区首台乳腺钼靶机----让乳腺疾病无处可藏_https://www.jmylbn.com_新闻资讯_第27张

END

乳腺机为什么叫钼靶【精准医学】马村区人民医院引进焦作东部城区首台乳腺钼靶机----让乳腺疾病无处可藏_https://www.jmylbn.com_新闻资讯_第28张

乳腺机为什么叫钼靶【精准医学】马村区人民医院引进焦作东部城区首台乳腺钼靶机----让乳腺疾病无处可藏_https://www.jmylbn.com_新闻资讯_第29张

统筹 | 党   办

 摄影 | 李冰冰 

 编辑 | 卢培姣

 审核 | 李超峰

乳腺机为什么叫钼靶【精准医学】马村区人民医院引进焦作东部城区首台乳腺钼靶机----让乳腺疾病无处可藏_https://www.jmylbn.com_新闻资讯_第30张

乳腺机为什么叫钼靶【精准医学】马村区人民医院引进焦作东部城区首台乳腺钼靶机----让乳腺疾病无处可藏_https://www.jmylbn.com_新闻资讯_第31张

乳腺机为什么叫钼靶【精准医学】马村区人民医院引进焦作东部城区首台乳腺钼靶机----让乳腺疾病无处可藏_https://www.jmylbn.com_新闻资讯_第32张


乳腺机为什么叫钼靶【精准医学】马村区人民医院引进焦作东部城区首台乳腺钼靶机----让乳腺疾病无处可藏_https://www.jmylbn.com_新闻资讯_第33张

乳腺机为什么叫钼靶【精准医学】马村区人民医院引进焦作东部城区首台乳腺钼靶机----让乳腺疾病无处可藏_https://www.jmylbn.com_新闻资讯_第34张