上海哪里买呼吸机好为何肺炎治好了,呼吸机却始终撤不掉?61岁阿姨ICU救治数月,左肺几乎无法正常工作,多学科协作如何“微创”破局?

新闻资讯2026-04-28 14:23:39

胸闷、喘不上气、躺下就憋得慌——很多人以为这不过是“年纪大了,肺不好”。61岁的陈阿姨(化名)也是这么想的。可她没想到的是,这口气越喘越费劲,最终让她辗转多家医院、反复插管上呼吸机,在ICU里经历了一场长达数月的“呼吸保卫战”。


反复插管、无法脱机:一场漫长的“呼吸保卫战”


今年1月,陈阿姨突然出现胸痛、胸闷和呼吸困难,连平躺都做不到,双腿也肿了起来。家人赶紧把她送到当地医院,CT检查发现、左侧膈肌明显抬高,左肺没有完全展开,纵隔也被推移了位置。当时医生初步考虑是“膈疝”。入院当晚,陈阿姨的情况急转直下——她出现了意识障碍,呼之不应,血气分析显示二氧化碳分压飙升到164.9mmHg(正常值35-45mmHg),体内的“废气”严重排不出去,医学上叫。紧急气管插管、呼吸机辅助通气,命算是保住了。


然而此后的经历,用“一波三折”来形容都不够。在当地医院治疗期间,虽然脱离有创呼吸机,但病情没有明显好转,依旧需要无创呼吸机辅助呼吸。陈阿姨被转往省城一家大医院。在那里,她被诊断为重症肺炎、二型呼吸衰竭,又经历了一次插管。可每次试着拔管,短短两小时内她就会再次呼吸困难,不得不重新插管。


就这样反复折腾,家属心力交瘁,但他们始终没有放弃。最终,家人将陈阿姨经120急救转入了我院急诊重症监护室(EICU)。


抽丝剥茧:ICU团队的全力攻坚与“元凶”现形


入院时,陈阿姨的情况已十分危重。我院急诊重症监护室的马丽主任团队立即开始了系统的病因排查和救治。


团队先通过CTPA排除了肺栓塞,通过纤支镜检查和明确了病原体。评估患者短期内无法脱机拔管后,果断行气管切开,加强气道管理。同时,陈阿姨合并了复杂的血流感染和肺部感染,且考虑合并(抗磷脂综合征)的可能。ICU团队根据微生物学结果反复调整抗生素方案,并予以和丙种球蛋白冲击治疗。


经过约两周的全力救治,陈阿姨的炎症指标、肺部影像和气管镜复查结果都明显好转。然而,就在大家以为胜利在望时,新的问题出现了——患者一脱离呼吸机,二氧化碳潮留就卷土重来。肺炎在好转,但患者却仍然离不开呼吸机,问题究竟出在哪里?


这时,ICU团队请胸外科李鹤成主任会诊。结合CT和胸片,李主任发现了被忽视的关键问题——陈阿姨的左侧膈肌严重松弛抬高,左肺被压缩得几乎无法正常工作。此前外院曾考虑“膈疝”,但经进一步评估,胸外科团队明确诊断为——膈肌并没有破洞,而是整块肌肉失去了张力,无法正常收缩。


科普时间:膈肌是什么?它为什么会“拖后腿”?


膈肌是我们胸腔和腹腔之间的一道“隔墙”,也是呼吸最重要的动力来源。它是一块圆顶形的薄肌肉。我们每一次吸气,膈肌主动向下收缩,给肺腾出空间,让新鲜空气吸进来;呼气时膈肌放松上升,帮助把“废气”排出去。一个成年人每天呼吸大约两万次,每一次都离不开膈肌的工作。


陈阿姨的左侧膈肌失去了正常的张力,像一块松了弹性的蹦床,高高鼓向胸腔,把左肺压得展不开。更糟糕的是,松弛的膈肌还会产生“反常运动”——正常人吸气时膈肌向下,而她的膈肌反而往上跑,不但不帮忙,反而在“拖后腿”,进一步挤压本就所剩无几的肺容量。这就是为什么肺炎治好了,呼吸机却始终撤不掉。


多学科协作,微创破局


给一位长期依赖呼吸机、合并多种复杂感染和免疫问题的患者做手术,绝非易事。急诊重症监护室马丽主任团队的前期救治奠定了基础,麻醉科团队针对患者肺功能极差的特殊情况制定了精细的麻醉方案。在各科室的共同保障下,3月4日,李鹤成主任为陈阿姨实施了,用连续缝合的方式,将松弛的膈肌一层层折叠、收紧,前后缝合了多道,整个过程仅用了约1.5个小时。同时,术中还对胸腔内的粘连组织进行了松解,为肺的复张扫清了障碍。


上海哪里买呼吸机好为何肺炎治好了,呼吸机却始终撤不掉?61岁阿姨ICU救治数月,左肺几乎无法正常工作,多学科协作如何“微创”破局?_https://www.jmylbn.com_新闻资讯_第1张

【术中照片:膈肌缝合折叠的最终效果】


术后的“最后一公里”


手术很成功——术后复查CT显示,左下肺明显复张,被压缩的肺终于重新“打开”了。


上海哪里买呼吸机好为何肺炎治好了,呼吸机却始终撤不掉?61岁阿姨ICU救治数月,左肺几乎无法正常工作,多学科协作如何“微创”破局?_https://www.jmylbn.com_新闻资讯_第2张

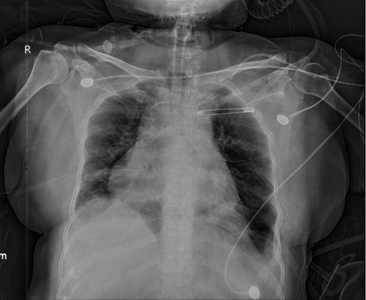
【术后胸片:左侧膈肌位置恢复,左下肺复张】


但康复之路并非一帆风顺。术后陈阿姨的肺部感染一度加重,ICU团队根据微生物培养结果及时调整了抗生素方案。脱机训练也经历了反复:术后一周开始尝试脱机,但期间出现了低氧和二氧化碳潴留,需要接回呼吸机后再次尝试。康复是个反复的过程,尤其对于陈阿姨这样长期卧床、合并多种复杂问题的患者。


经过医疗团队的不懈努力和家属的始终配合,陈阿姨的情况逐步改善。出院时,她已经可以脱离呼吸机,随后转回当地医院继续康复治疗。


医生提醒:出现这些情况,要警惕膈肌问题


膈肌松弛或膈肌麻痹在临床上并不罕见,但由于症状和肺部疾病高度相似,很容易被忽视或误诊。以下几种情况需要提高警惕:


1. 不明原因的反复呼吸困难,尤其是平卧时加重、坐起后减轻;

2. 肺炎治好了但仍然喘不上气,呼吸机反复撤不掉;

3. 胸片或CT发现一侧膈面明显抬高;

4. 有胸部外伤史或脊柱手术史的患者出现呼吸功能下降。



本文转载自订阅号“上海交通大学医学院附属瑞金医院”

原链接戳:


* 文章仅供医疗卫生相关从业者阅读参考


本文完

责编:Jerry