飞利浦ct有哪些型号浙江省首台飞利浦皓克Spectral 256排光谱CT落户丽水这家医院!

新闻资讯2026-04-26 09:07:50

👆点击丽水市人民医院星标我们飞利浦ct有哪些型号浙江省首台飞利浦皓克Spectral 256排光谱CT落户丽水这家医院!_https://www.jmylbn.com_新闻资讯_第1张

飞利浦ct有哪些型号浙江省首台飞利浦皓克Spectral 256排光谱CT落户丽水这家医院!_https://www.jmylbn.com_新闻资讯_第2张
飞利浦ct有哪些型号浙江省首台飞利浦皓克Spectral 256排光谱CT落户丽水这家医院!_https://www.jmylbn.com_新闻资讯_第3张

飞利浦ct有哪些型号浙江省首台飞利浦皓克Spectral 256排光谱CT落户丽水这家医院!_https://www.jmylbn.com_新闻资讯_第4张

飞利浦超高端皓克Spectral256排光谱CT,是全球业界公认投入临床使用的最新、最先进的大型多功能、多参数影像诊断设备之一。


皓克CT孔径80cm ,配备了运动速度350mm/s 新型扫描床,最大可承载体重 307千克 ,将光谱扫描扩展到所有类型的人体条件,覆盖儿科患者和肥胖患者。扫描速度更快,1秒内完成胸部或头部扫描,2秒即可实现整个上半身的光谱扫描。特别是在心血管、肿瘤和卒中等重要疾病领域,大幅提高了扫描诊断的精准性。
飞利浦ct有哪些型号浙江省首台飞利浦皓克Spectral 256排光谱CT落户丽水这家医院!_https://www.jmylbn.com_新闻资讯_第5张
近日,由丽水市人民医院引进的浙江省首台飞利浦超高端皓克Spectral256排光谱CT,在东城院区完成了安装调试和人员培训,并投入试运行。

飞利浦ct有哪些型号浙江省首台飞利浦皓克Spectral 256排光谱CT落户丽水这家医院!_https://www.jmylbn.com_新闻资讯_第6张


皓克光谱CT,采用全新双层球面宽体能量解析探测器,带来极佳能量分辨率及全新物质解析功能。拥有全新的光谱影像链及超早期病灶的精准定位与定性,心血管形态功能一站式成像、精准肿瘤、急诊创伤等广泛的成像应用,是迄今唯一实现光谱科研与光谱全能临床应用平台合二为一的顶尖设备。与传统CT相比,不仅提升了疾病鉴别诊断的准确性,还能指导临床制定个性化、精准化的治疗方案。

飞利浦ct有哪些型号浙江省首台飞利浦皓克Spectral 256排光谱CT落户丽水这家医院!_https://www.jmylbn.com_新闻资讯_第7张


区别于其他能谱CT,皓克光谱CT真正在临床上实现了能量扫描的检查流程常规化、图像显示多元化、分析数据光谱化、临床诊疗精准化。一切扫描皆能量,使日常操作更加便捷。只需一次扫描,即可得到传统CT图像以及能谱曲线图、有效原子序数图、碘密度图、尿酸图等16大类多维度的功能影像信息数据,并适用于任何临床应用场景,可以更好、更快、更精准的发现病变、诊断病变,实现更多的临床突破。

飞利浦ct有哪些型号浙江省首台飞利浦皓克Spectral 256排光谱CT落户丽水这家医院!_https://www.jmylbn.com_新闻资讯_第8张


在心脏诊断方面,一次扫描条件下,该CT可显示冠状动脉的解剖结构、冠状动脉斑块的物质成分和心肌血液灌注信息,还可判断心肌活性、支架再狭窄、斑块定量定性分析、ECV定量评估等,为心肌疾病和结构性心脏病的同步诊断带来了多参数评估体系,是目前唯一实现临床常规化心脏能量精准成像的设备。

飞利浦ct有哪些型号浙江省首台飞利浦皓克Spectral 256排光谱CT落户丽水这家医院!_https://www.jmylbn.com_新闻资讯_第9张


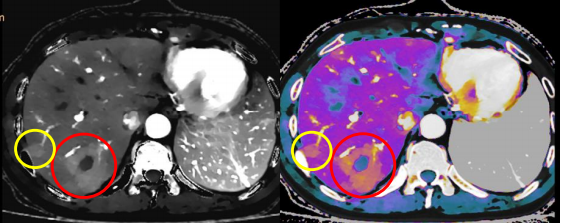
在肿瘤成像方面,皓克光谱CT能提供全面快速的肿瘤全程评估,覆盖肿瘤早期发现、精准分期和疗效评估,优势明显。它可以更早捕获组织成分上的微小变化,能够尽早发现和诊断早期隐匿性肿瘤病灶。利用光谱曲线、碘定量测量等多参数分析技术,该CT还可准确分析肿瘤的良恶性、多发病灶的同源性,进而应用于肿瘤来源的判断和鉴别、良恶性肿瘤的鉴别以及恶性肿瘤的分级,确定淋巴结是否有转移等。

飞利浦ct有哪些型号浙江省首台飞利浦皓克Spectral 256排光谱CT落户丽水这家医院!_https://www.jmylbn.com_新闻资讯_第10张


在脑卒中全流程评估方面,该CT能够1分钟内CT平扫诊断超早期脑梗塞,极速缩短了脑卒中诊疗流程,实现从超早期发现脑梗、指导治疗以及术后评估疗效全流程精准影像诊断。在判断脑卒中病变的同时,可同步对颈部斑块成分、危险程度等进行定量、定性分析,并对颈部斑块和脑卒中病变之间的关系进行准确判断。对于检查时间要求较高的急诊病人来说,非常有益。

飞利浦ct有哪些型号浙江省首台飞利浦皓克Spectral 256排光谱CT落户丽水这家医院!_https://www.jmylbn.com_新闻资讯_第11张

飞利浦ct有哪些型号浙江省首台飞利浦皓克Spectral 256排光谱CT落户丽水这家医院!_https://www.jmylbn.com_新闻资讯_第12张

皓克256排超高端光谱CT落户我院,将助力医院开启更高效精准的影像检查新时代,推动医院临床和科研实现新突破,为疾病的早期发现、早期诊断、早期治疗提供有力技术保障,为患者提供更精准、优质、个体化的医疗服务。





来源丨放射科

作者丨周玉风

责编丨林剑辉

排版丨叶 楠

审核丨舒海军




飞利浦ct有哪些型号浙江省首台飞利浦皓克Spectral 256排光谱CT落户丽水这家医院!_https://www.jmylbn.com_新闻资讯_第13张

飞利浦ct有哪些型号浙江省首台飞利浦皓克Spectral 256排光谱CT落户丽水这家医院!_https://www.jmylbn.com_新闻资讯_第14张

分享收藏点赞在看