联影有哪些CT医疗服务 | 我院放射科引入联影uCT 960+高端CT设备,开启精准影像诊疗新篇章

新闻资讯2026-04-26 06:57:04








联影有哪些CT医疗服务 | 我院放射科引入联影uCT 960+高端CT设备,开启精准影像诊疗新篇章_https://www.jmylbn.com_新闻资讯_第1张

近日,我院正式引进联影医疗最新一代高端CT设备—uCT960+。该设备以320排超高端配置,实现更快扫描速度、更高精准度及更强安全性,推动影像诊断向智能化、精准化升级迈进,为临床提供坚实影像支撑。


uCT 960+核心优势


1

极速响应,守护生命


配备业界领先的320排超宽探测器,单圈扫描仅需0.28秒,可快速完成三维动态影像采集。适用于急诊CTA、脏器灌注评估及冠状动脉、头颈动脉等复杂部位成像,为脑出血、胸痛三联征、主动脉夹层等危急重症争取“黄金时间”,助力神经、胸腹、肌骨等急诊场景高效处置。

联影有哪些CT医疗服务 | 我院放射科引入联影uCT 960+高端CT设备,开启精准影像诊疗新篇章_https://www.jmylbn.com_新闻资讯_第2张
联影有哪些CT医疗服务 | 我院放射科引入联影uCT 960+高端CT设备,开启精准影像诊疗新篇章_https://www.jmylbn.com_新闻资讯_第3张


联影有哪些CT医疗服务 | 我院放射科引入联影uCT 960+高端CT设备,开启精准影像诊疗新篇章_https://www.jmylbn.com_新闻资讯_第4张

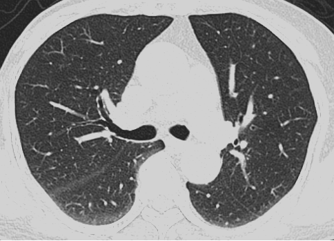
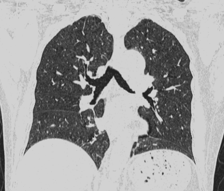
图一:1.2s完成全肺扫描,克服因老年痴呆、精神疾病等造成的屏气问题带来的图像伪影


2

突破限制,清晰成像


突破传统冠脉检查对心率的限制,即使心率高达200bpm或存在房颤、房扑,也能通过一次心跳捕捉心脏全貌。结合AI冠脉运动追焦技术,有效校正运动伪影,确保诊断精准。

联影有哪些CT医疗服务 | 我院放射科引入联影uCT 960+高端CT设备,开启精准影像诊疗新篇章_https://www.jmylbn.com_新闻资讯_第5张
联影有哪些CT医疗服务 | 我院放射科引入联影uCT 960+高端CT设备,开启精准影像诊疗新篇章_https://www.jmylbn.com_新闻资讯_第6张


联影有哪些CT医疗服务 | 我院放射科引入联影uCT 960+高端CT设备,开启精准影像诊疗新篇章_https://www.jmylbn.com_新闻资讯_第7张

图二:女性,58岁,临床诊断:心律失常,心率 50-215 bpm


3

功能成像,洞察病灶本质


能谱成像技术可分析病灶组织成分与特性,为肿瘤同源性鉴别等提供常规CT无法获取的关键信息,为医生提供更丰富的诊断依据。

联影有哪些CT医疗服务 | 我院放射科引入联影uCT 960+高端CT设备,开启精准影像诊疗新篇章_https://www.jmylbn.com_新闻资讯_第8张
联影有哪些CT医疗服务 | 我院放射科引入联影uCT 960+高端CT设备,开启精准影像诊疗新篇章_https://www.jmylbn.com_新闻资讯_第9张


图三:通过ROI勾画,可提供散点图、直方图以及能谱曲线分析


4

高清精准,微小病灶可见


采用先进迭代重建算法与AI智能降噪技术,在低剂量下实现高清成像,显著提升早期肿瘤、血管斑块、细微骨折等微小病灶检出率,为临床诊断提供可靠支持。

联影有哪些CT医疗服务 | 我院放射科引入联影uCT 960+高端CT设备,开启精准影像诊疗新篇章_https://www.jmylbn.com_新闻资讯_第10张
联影有哪些CT医疗服务 | 我院放射科引入联影uCT 960+高端CT设备,开启精准影像诊疗新篇章_https://www.jmylbn.com_新闻资讯_第11张


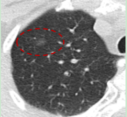
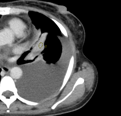
图四:百万像素 1024 * 1024 矩阵,有效提升微小病灶分辨能力


5

安全安心,辐射更低


智能剂量调控技术根据患者体型与检查部位自动优化参数,降低辐射剂量。结合60千伏精控球管技术,健康体检辐射更小,成为体检优选。


科技赋能,重塑诊断标杆


联影uCT 960+的投入使用,显著提升了我院的诊疗效率与患者就医体验,标志着医院在智能化、精准化影像诊断领域迈出重要一步。未来,医院将继续依托先进技术,探索创新,为患者提供更优质、高效的医疗服务,助力医院高质量发展,守护人民健康。


欢迎转发点赞


供稿:放射科

编辑:宣传处

联影有哪些CT医疗服务 | 我院放射科引入联影uCT 960+高端CT设备,开启精准影像诊疗新篇章_https://www.jmylbn.com_新闻资讯_第12张