
1 诊疗物品:灭菌口腔治疗盘、三用枪头、一次性贴膜、手套、金刚砂球钻、无菌棉球,吸唾管、高速手机、钨钢球钻、小棉球、低速马达,低速手机,G钻,。
2 根治物品:碘伏棉签、表麻液、必兰注射器、必兰麻药、必兰针头,橡皮障套装、一次性注射器,侧方冲洗针头、6-10#C锉或扩大针、拔髓针(柄)、普通扩大针一套(10-40#)、预弯器、根管测量仪、唇钩、EDTA、大锥度镍钛锉(一套)、工作长度测量台、2%NaCLO溶液、XP5荡洗针(10-30号)、转移镊子、牙胶尖直径测量尺,20-30#牙胶尖、酒精灯、烧刮匙,打火机、平行投照架、牙片、15-40#吸潮纸尖、慢弯机、螺旋输送器(带有橡皮游标)、玻璃板、粘固粉调拌刀、Ca(OH)2、碘仿、充填器、康特暂封材。
3 根充物品:超声洁牙机(含工作尖)、2%NaCLO溶液、一次性注射器,侧方冲洗针头、XP5荡洗针、吸潮纸尖、直径测量尺、20-30#大锥度牙胶尖、20-30#普通牙胶尖、无菌棉纱、工作长度测量台、必兰根充糊剂+丁香油/AHPlus根充材料、调刀、玻璃板、慢弯机、螺旋输送器(带有橡皮游标)、牙胶尖侧压充填器、酒精灯、烧刮匙、打火机、充填器、康特暂封材。
1:适应症的检查:详细询问病史,是否有自发痛,夜间痛,疼痛不能定位等症状,通过叩诊,冷热诊等方式确定患牙牙位,并通过拍X光片(术前必须)加以确认。
(3)患者预后不良或不能合作者,或患者有严重的全身系统性疾病不能耐受治疗者。
2:局麻注意事项:事先询问患者是否有药物过敏史,高血压、心脏病、血液病等。酌情决定是否使用麻药,局麻时先用碘伏棉签消毒粘膜,用干棉球擦干碘伏。表麻液麻醉表面粘膜后,再行必兰麻醉(详见无痛麻醉操作流程),下颌后牙若必兰麻醉效果不佳时可行2%盐酸利多卡因下牙槽阻滞麻醉。麻醉后确定是否需要使用橡皮障套装(详见橡皮障操作流程)。
(1)髓腔开通后,先去尽腐质,完全揭去髓室顶,防止髓角和髓室内残留坏死组织和碎屑;
(2)入口和根管连成近直线的通路,以保证器械无妨碍地进出根管
(3)去除悬离的牙釉质、牙本质,并适度降低咬合,以免咬合受力时折裂
4:拔髓:预先窝洞2%NaCLO冲洗,去除冠髓,寻找并确定根管数目及位置。使用G钻或SX扩大根管口,6# —15#C锉或K型扩(预弯器事先预弯器械尖端2—3mm,)疏通根管至冠下2/3。测量术前平行投照X光片冠根长度减去2mm确定初步工作长度。然后再行拔髓,一次完成。
拔髓时行大锥度冠向下法,先以初步工作长度从S1依次扩至F1,每更换或重复使用某一型号大锥度扩大针必须用2%NaCLO冲洗,超声荡洗,纸尖吸干后 EDTA润滑软化根管。经此冠向下法后牙髓基本可清除干净,然后再测量工作长度。
大锥度protaper使用时,应以根向加压顺时针旋转进入,根管阻力大时扩大针正反旋转不应超过180°,逆时针旋出,每次取出后均要用2%NaCLO冲洗,超声荡洗,纸尖吸干,EDTA润滑软化根管后再行下一次预备。
2%NaCLO冲洗时:将干棉球放在患牙颊舌侧以吸收流出的NaCLO液体,防止损伤患者口腔黏膜,冲洗过程中避免液体滴在患者皮肤或衣服上。冲洗时应以提拉式或跳跃式行缓慢侧方冲洗,以免压力过大将根管内碎屑等冲出根管口。
牙髓坏死者:去除坏死牙髓时,应先在无压力情况下去除根上2/3牙髓,2%NaCLO冲洗,超声荡洗,操作过程中要避免将腐质推出根管口,然后吸潮纸尖吸干(也可先用气枪侧向轻吹根管再用纸尖吸干),封FC棉球两天。复诊时去除FC棉球后,在无压力情况下去除根尖1/3坏死牙髓组织,2%NaCLO冲洗,超声荡洗,然后行常规冠向下法根管预备。
超声荡洗:荡洗时新P5功率调至5,安装相应型号荡洗针,调节水流量后先将荡洗针插入根管,再踩下脚踏开关,贴壁画圆荡洗根管壁。ET20使用时功率可调至7,用于去除牙本质三角。
5:工作长度:VDW测量工作长度,止于黄色第一或二格。
(1)首先10#、15# 到达冠下2/3后,SX疏通冠下2/3;然后S1行冠下2/3预备,10#、15#到达工作长度后,再按工作长度从S1依次预备;每换一型号大锥度扩大针必须2%NaCLO冲洗后进行超声荡洗,然后吸潮纸尖吸干根管,EDTA润滑软化根管,再行下一型号根管预备,预备期间注意要达到工作长度;
(2)如遇特别弯曲根管,先用根管锉预备,然后根管锉、普通扩大针预弯后交替配合进行根备;
(3)根管预备时当扩大针或根管锉上见到清洁、白色的牙本质刮屑时,预备即可停止。
二次治疗患者:首先去尽腐质及窝洞内原有充填物,窝洞2%NaCLO冲洗后,寻找并确定根管数目及位置。对于原有根充物为牙胶尖者,用注射器吸取少量丁香油酚根充材料溶解剂滴于6#—15#扩大针上,缓慢疏通根管(操作中避免溶解剂损伤粘膜,避免导出根尖外),根管疏通后用扩大针取出溶解的牙胶尖;若原有根充物非牙胶尖、质硬、扩大针无法疏通者,用新P5功率调至6后安装ET20,关闭水源,震荡去除至根上1/3—1/2后,更换扩大针疏通余下根管;若原有根充物质软,则直接用扩大针缓慢去除原有根充物。根管疏通后,2%NaCLO冲洗,吸潮纸尖吸干,VDW测量工作长度后,行大锥度冠向下法预备根管。
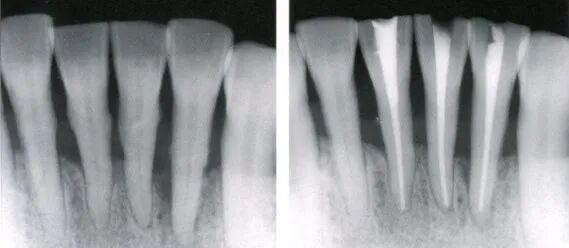
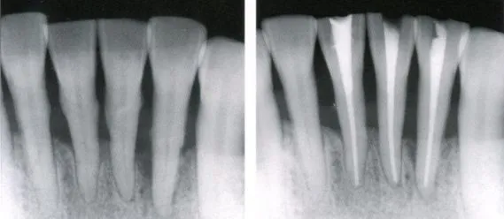
7:术中X片:查看根管预备情况,是否预备到根尖止点处。
8:封药:氢氧化钙+碘仿糊剂(氢氧化钙与碘仿比例约为4:1),糊剂应略有流动性,慢弯机螺旋输送器缓慢输送糊剂至根管内。封药时慢弯机调至最大转速的1/3,螺旋输送器预先橡皮游标确定输送长度,输送器工作长度应小于根管工作长度2mm,检查是否安装妥当并空转试一下。输送过程中注意避免缠住棉球,封药后嘱咐患者患牙不能咬硬物。
9:暂封:去除髓室内Ca(OH)2,暂封膏底部需放一个无菌小棉球,防止暂封膏的微膨胀性造成牙体折裂。并用湿的小棉球压实窝洞周围。
10:复诊:复诊时用超声洁牙机去除暂封材,相应大锥度扩大针疏通根管后,2%NaCLO冲洗,超声荡洗。然后2%NaCLO再次冲洗,吸潮纸尖吸干。
11:根管充填:预先测量主牙胶尖直径并确定工作长度后,2%NaCLO消毒主牙胶尖及辅尖三分钟、无菌纱布擦干。慢弯机螺旋输送器缓慢输送根充糊剂至根管内,将主牙胶尖蘸少量糊剂后缓慢送入根管(确保送至工作长度),侧压器侧压,然后辅尖蘸少量糊剂后送入根管内并再次侧压,依次充填辅尖,直至根管内不能放入多余牙胶尖,将牙胶尖平齐牙冠边缘烫断,拍X片查看根充情况。
根充糊剂的选择:一般情况下可选用必兰糊剂,当患者根充结束后需行纤维状修复时建议选用AHPlus根充材料(避免糊剂超出根尖):
12:暂封:X片示根充完好后平齐根管口烫除多余牙胶尖并压实,酒精棉球将窝洞擦拭后暂封(暂封标准同9)。
以上内容来源于网络,转载仅作分享,侵权联删~

10月10日-11日,《规范化根管治疗精细实战班》线下面授课程将陆续开讲,理论+实操,沉浸式学习模式!
并且秉着对每一位学员负责的宗旨,规范化根管治疗精细实战班线下面授课程采用“小班教学”的模式,严格把控每一期学员数量(30人),名额有限,报满封班!
理论与实操相结合,系统化、专业化、规范化教学,零基础学习。
采用小班教学模式,更具针对性,充分重视每一位学员的学习效果。





课程费用:2980元/人/期 ,团购价:2080元/人/期 (不含发票、食宿自理)
联系七颗牙学堂各课程顾问老师报名即可!
小七老师 16638165610(微信同号)
关注七颗牙学堂
了将更多医考咨询!