骨密度bmd是什么四川省妇幼保健院放射科新项目—骨密度影像技术(BMD)

新闻资讯2026-04-24 09:43:18
骨密度bmd是什么四川省妇幼保健院放射科新项目—骨密度影像技术(BMD)_https://www.jmylbn.com_新闻资讯_第1张


知识点:

骨骼的健康主要看骨量,骨矿物质(钙、磷等)和骨基质(骨胶原、蛋白质、无机盐等保证骨量的主要元素)。男性峰值骨密度出现在20~30岁,女性峰值骨密度值出现在35~40岁,此后随着年龄的增长,骨矿含量出现逐渐流失,骨量随之减少,女性尤为显著。会不会得骨质疏松,主要取决于骨量峰值的高低和后来骨量丢失的速度,我国已将骨质疏松、糖尿病和老年痴呆症一起列为重点攻克的三大老年性疾病。


骨密度测量在医学上具有重要意义,新设备数字X射线透视一体机的BMD(骨密度测量功能),通过对腰椎、髋关节部位进行DXA检查,可以很容易地检测出骨密度情况。

尤其是小朋友在做骨密度测量的同时可以进行脆性骨折、压迫性骨折等X线检查。这样可以减少病人在不同检查室之间的移动,缩短检查时间,提高检查效率,降低了病人的负担。还可以在透视下进行操作,操作简单、定位准确、采集速度快。

骨密度bmd是什么四川省妇幼保健院放射科新项目—骨密度影像技术(BMD)_https://www.jmylbn.com_新闻资讯_第2张

床板升降功能

方便患者上下

低线量透视,精准定位

提升精准定位

高速扫描(10S)

降低重复扫描率 提升准确度

DICOM传输功能

可PACS管理




1

临床应用—骨科术前评估

骨密度bmd是什么四川省妇幼保健院放射科新项目—骨密度影像技术(BMD)_https://www.jmylbn.com_新闻资讯_第3张

1.应用适应症:全脊柱摄影—青少年脊柱侧弯等畸形的矫正和人工腰椎椎间盘,可进行骨密度检查和负重全脊柱扫描。

骨密度bmd是什么四川省妇幼保健院放射科新项目—骨密度影像技术(BMD)_https://www.jmylbn.com_新闻资讯_第4张
骨密度bmd是什么四川省妇幼保健院放射科新项目—骨密度影像技术(BMD)_https://www.jmylbn.com_新闻资讯_第5张


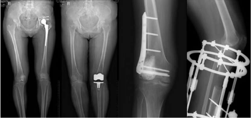
2.应用适应症:全下肢摄影—人工髋关节、膝关节置换以及下肢不等长畸形的矫正和O、X型腿畸形的矫正。可进行骨密度检查和负重全下肢扫描。

骨密度bmd是什么四川省妇幼保健院放射科新项目—骨密度影像技术(BMD)_https://www.jmylbn.com_新闻资讯_第6张
骨密度bmd是什么四川省妇幼保健院放射科新项目—骨密度影像技术(BMD)_https://www.jmylbn.com_新闻资讯_第7张

股骨颈骨质量术前评估联合股骨、膝关节置换等术后评价


3.应用适应症:监测儿童骨骼生长发育情况。作为妇幼系统,新设备数字X射线透视一体机的BMD功能,使多功能机的工作范围进一步扩大,通过DXA法可以精准的测量儿童的骨密度情况。配备拥有人工智能图像处理工作站,使骨密度检查报告更准确、快速。

骨密度bmd是什么四川省妇幼保健院放射科新项目—骨密度影像技术(BMD)_https://www.jmylbn.com_新闻资讯_第8张

四川省妇幼保健院放射科

四川省妇幼保健院放射科于1998年成立,主要从事妇女儿童疾病影像诊断,建科10多年,科室设置母胎影像、乳腺影像、儿科影像及介入诊疗四个亚专业组,并同时开设影像诊断门诊及输卵管门诊两个亚专业门诊。

通过全体成员的艰苦创业,努力进取,现在已成为集检查、诊断及辅助治疗为一体的综合重点科室并承担着医院临床医疗、健康查体、科研教学等任务。



供稿:放射科

作者:张敏靖 

编辑:付婉竹

校审:陈林 唐洁


1.还没体验过那个啥?公主殿下请上车

2.他们说长期服用避孕药会影响女性生育能力,是真的吗?

3.怀胎十月,想不想知道宝宝在肚子里都干些啥?

4.四川省妇幼保健院 四川省妇女儿童医院“关爱血液病患儿 助力儿童健康”专家团队义诊公告

骨密度bmd是什么四川省妇幼保健院放射科新项目—骨密度影像技术(BMD)_https://www.jmylbn.com_新闻资讯_第9张