输尿管鞘是什么一期软镜治疗罕见交叉异位肾并结石(术中使用一次性末端可弯负压清石鞘)

新闻资讯2026-04-24 08:47:16

尿


    中山市中医院泌尿外科微信公众号内容涉及众多泌尿外科及男科知识,实用、权威!敬请关注!


输尿管鞘是什么一期软镜治疗罕见交叉异位肾并结石(术中使用一次性末端可弯负压清石鞘)_https://www.jmylbn.com_新闻资讯_第1张
输尿管鞘是什么一期软镜治疗罕见交叉异位肾并结石(术中使用一次性末端可弯负压清石鞘)_https://www.jmylbn.com_新闻资讯_第2张


尿

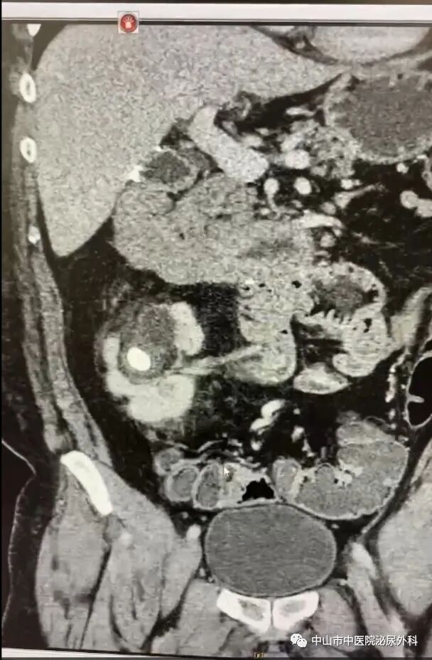
交叉异位肾-CRE

   交叉异位肾(crossed renal ectopia,CRE)是一种极罕见的先天性泌尿系统畸形,属于异位肾范畴,是指一侧肾脏由原位跨过中线移至对侧,而输尿管膀胱开口位于原侧的先天性畸形。正常肾脏位于腹膜后第2腰椎水平肾窝内,肾门朝向内侧,当成熟的肾脏未能达到正常位置称为异位肾。

   交叉异位肾的发生率约为1/7500,其中90%为融合型,常见于左肾向右侧异位融合。

病例简介

    患者外国友人杰克(化名),男,50岁,因“反复右腰部胀痛不适半年余”入院,入院查体右肾区叩击痛阳性。尿常规示:白细胞:2400个/ul;中段尿培养阳性。术前常规抗感染治疗。无绝对手术禁忌症。


术前诊断

1、交叉异位肾Ⅰ型2、右侧异位肾多发性结石并积水3、左肾缺如4、慢性肾盂肾炎


拟行手术

    右侧异位肾多发性结石并积水输尿管软镜钬激光碎石清石术(术中使用一次性末端可弯负压清石鞘)


手术特点及难点

     患者是罕见的交叉异位肾Ⅰ型,左肾跨越中线到右肾下级并融合,输尿管开口仍在左侧,手术需从左侧进入极为弯曲的输尿管进到右侧肾下级。手术难点在于从左侧输尿管口进入,跨越中线到右侧手术,输尿管鞘柔软度,鞘放置深度及减少残石是关键。

    术中使用末端可弯曲负压吸引鞘是本手术优势,置鞘后常规粉末化碎石,碎石过程中持续吸引可保持肾盂持续低压,碎石结束后,适当利用软镜调整可弯曲鞘的前端,深入肾盏,利用负压将碎石沿鞘吸出,鞘前端弯曲后可达肾大部分上、中盏。

▲优点:始终保持肾盂低压,视野清晰;术后即刻清石率高;

▲缺点:清石过程中可能出现碎石堵镜情况;软镜反复进出鞘体及结石摩擦增加镜体损耗(一次软镜可忽略)


术前影像资料

输尿管鞘是什么一期软镜治疗罕见交叉异位肾并结石(术中使用一次性末端可弯负压清石鞘)_https://www.jmylbn.com_新闻资讯_第3张
输尿管鞘是什么一期软镜治疗罕见交叉异位肾并结石(术中使用一次性末端可弯负压清石鞘)_https://www.jmylbn.com_新闻资讯_第4张


术后复查KUB

输尿管鞘是什么一期软镜治疗罕见交叉异位肾并结石(术中使用一次性末端可弯负压清石鞘)_https://www.jmylbn.com_新闻资讯_第5张


手术视频

点击边框调出视频工具条


输尿管鞘是什么一期软镜治疗罕见交叉异位肾并结石(术中使用一次性末端可弯负压清石鞘)_https://www.jmylbn.com_新闻资讯_第6张
输尿管鞘是什么一期软镜治疗罕见交叉异位肾并结石(术中使用一次性末端可弯负压清石鞘)_https://www.jmylbn.com_新闻资讯_第7张
输尿管鞘是什么一期软镜治疗罕见交叉异位肾并结石(术中使用一次性末端可弯负压清石鞘)_https://www.jmylbn.com_新闻资讯_第8张

泌尿男科门诊地址:

中山市中医院门诊三楼男科。门诊时间:周一下午,周二下午,周三上午。

悦来门诊二楼男科。门诊时间:周四下午。

泌尿男科住院部地址:

中山市康欣路3号中医院住院部5楼外一科

输尿管鞘是什么一期软镜治疗罕见交叉异位肾并结石(术中使用一次性末端可弯负压清石鞘)_https://www.jmylbn.com_新闻资讯_第9张

扫二维码|关注我们

微信号:zsszyymnwk

输尿管鞘是什么一期软镜治疗罕见交叉异位肾并结石(术中使用一次性末端可弯负压清石鞘)_https://www.jmylbn.com_新闻资讯_第10张

(只作为学术交流,如有侵权,请联系作者删除)