血栓泵是什么健谈卒中|ACE抽吸导管配合专用抽吸泵治疗颅内静脉窦高负荷量血栓一例

新闻资讯2026-04-24 08:02:39

血栓泵是什么健谈卒中|ACE抽吸导管配合专用抽吸泵治疗颅内静脉窦高负荷量血栓一例_https://www.jmylbn.com_新闻资讯_第1张




血栓泵是什么健谈卒中|ACE抽吸导管配合专用抽吸泵治疗颅内静脉窦高负荷量血栓一例_https://www.jmylbn.com_新闻资讯_第2张




血栓泵是什么健谈卒中|ACE抽吸导管配合专用抽吸泵治疗颅内静脉窦高负荷量血栓一例_https://www.jmylbn.com_新闻资讯_第3张

病例介绍

血栓泵是什么健谈卒中|ACE抽吸导管配合专用抽吸泵治疗颅内静脉窦高负荷量血栓一例_https://www.jmylbn.com_新闻资讯_第4张



患者基本信息

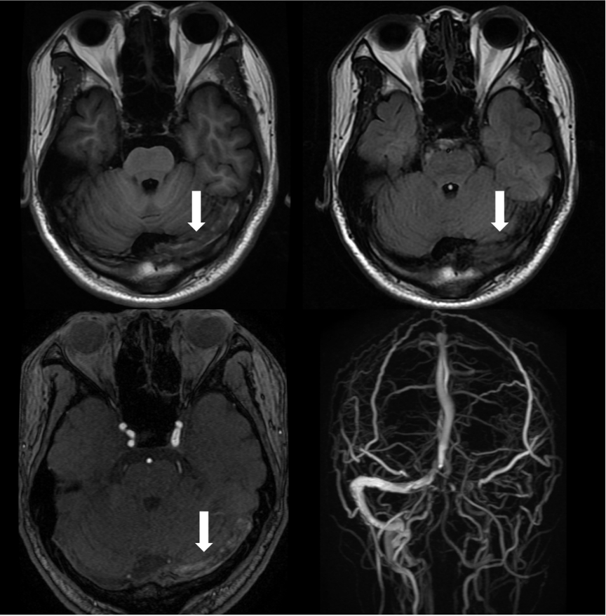
患者,男,22岁,因“头痛7天”为主诉入院。

既往史、个人史:无特殊。

入院查体神志清,精神差,对答切题。高级智能未见异常,颅神经查体未见异常。四肢肌张力正常。四肢肌力5级。颈稍强直。双侧指鼻试验稳准,快复轮替试验正常,双侧跟膝胫试验稳准,Romberg征阴性。无不自主运动,步态正常,走"一"字稳。病理征未引出。D-二聚体0.6mg/L(增高,正常范围0-0.3mg/L)。腰穿压力210mmH2O。易栓症指标和风湿免疫指标未见明显异常。

头MRI+MRV:左侧橫窦、乙状窦走形区异常信号,考虑为血栓。

血栓泵是什么健谈卒中|ACE抽吸导管配合专用抽吸泵治疗颅内静脉窦高负荷量血栓一例_https://www.jmylbn.com_新闻资讯_第5张

给予达比加群150mg/BID/PO、脱水、补液及其他对症治疗,患者头痛仍逐渐加重并伴意识水平下降,治疗5天。

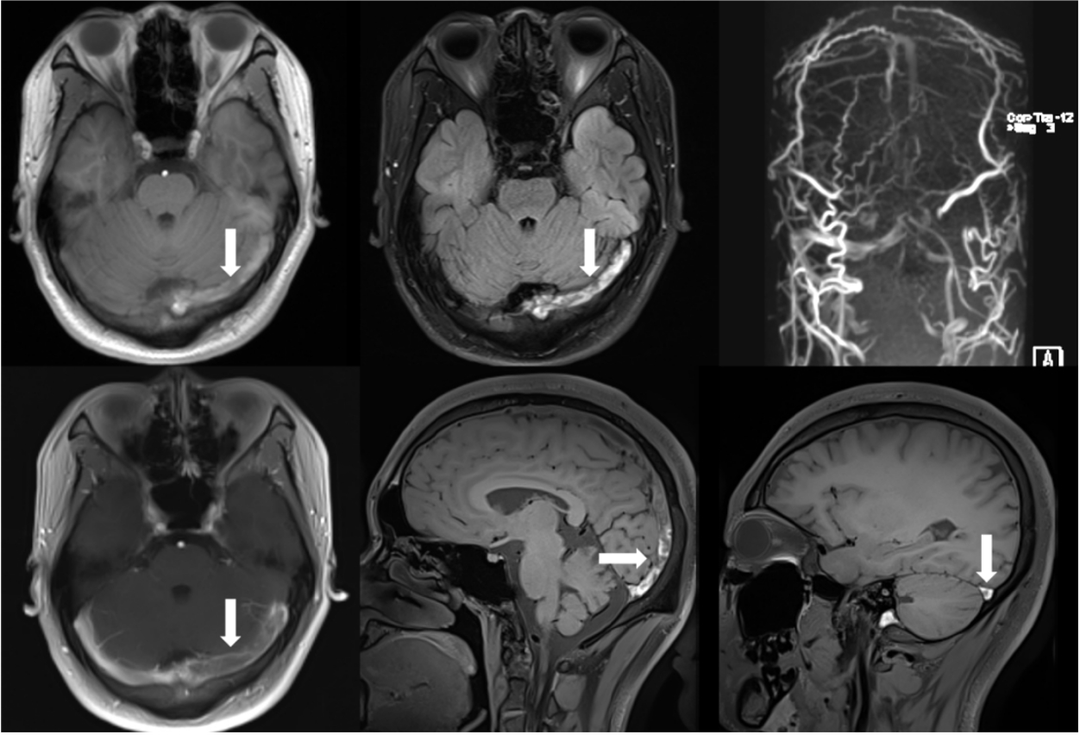
复查静脉窦高分辨率MRI提示:左侧横窦、上矢状窦内血栓,左侧横窦内血栓量较前增加增加,复查腰穿压力290mmH2O,后转我科治疗。

血栓泵是什么健谈卒中|ACE抽吸导管配合专用抽吸泵治疗颅内静脉窦高负荷量血栓一例_https://www.jmylbn.com_新闻资讯_第6张

术前诊断评估

术前诊断:颅内静脉窦血栓

病情分析:颅内静脉窦血栓好发于产褥期妇女,具有较高的致残率和致死率。该患者系青年男性,未发现明确病因,但是结合病史、D-二聚体增高、腰穿压力增高和典型的影像学检查,静脉窦血栓的诊断明确,给予抗凝及其他药物治疗病情仍持续恶化,考虑采取血管内治疗。高分辨磁共振显示目前的血栓仍较为新鲜且负荷量大,3D-MRV显示颅内皮层静脉开放而上矢状窦后部和左侧横窦闭塞,单纯全身抗凝治疗静脉窦内大量血栓难以接触到药物。

手术预案:手术计划采取ACE抽吸导管配合负压泵抽栓必要时结合支架取栓,术后计划给于尿激酶持续溶栓。

术中涉及介入器械选择

动脉系统:

5F动脉鞘

5F单弯导管

静脉系统:

8F鞘管

NeuronMAX导管

ACE抽吸导管

Rebar27微导管(必要时取栓支架)

治疗过程

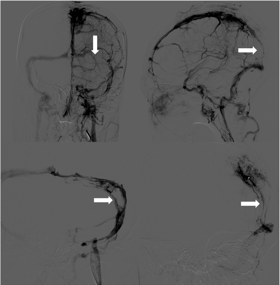
股动脉入路动脉造影显示上矢状窦后部和左侧横窦不显影,静脉期显影延迟,皮层静脉开放并明显增粗; 股静脉入路超选颅内静脉,微导丝和微导管引导ACE抽吸导管超选颅内静脉窦造影显示上矢状窦后部和左侧横窦内血栓影。

血栓泵是什么健谈卒中|ACE抽吸导管配合专用抽吸泵治疗颅内静脉窦高负荷量血栓一例_https://www.jmylbn.com_新闻资讯_第7张

ACE抽吸导管到位后撤出微导丝和微导管,开启负压泵,轻轻推拉ACE抽吸导管,使导管头端在血栓内缓慢往复移动,重复上述操作。

血栓泵是什么健谈卒中|ACE抽吸导管配合专用抽吸泵治疗颅内静脉窦高负荷量血栓一例_https://www.jmylbn.com_新闻资讯_第8张

血栓泵是什么健谈卒中|ACE抽吸导管配合专用抽吸泵治疗颅内静脉窦高负荷量血栓一例_https://www.jmylbn.com_新闻资讯_第9张

在静脉窦内造影显示血栓负荷量明显减少,静脉窦再通, 再次动脉造影显示静脉窦内血流恢复,窦内血流稍慢。

血栓泵是什么健谈卒中|ACE抽吸导管配合专用抽吸泵治疗颅内静脉窦高负荷量血栓一例_https://www.jmylbn.com_新闻资讯_第10张

静脉窦内正向血流恢复,静脉窦内留置两根Echelon10微导管持续尿激酶溶栓,头端分别在上矢状窦和左侧横窦,造影确定位置。

血栓泵是什么健谈卒中|ACE抽吸导管配合专用抽吸泵治疗颅内静脉窦高负荷量血栓一例_https://www.jmylbn.com_新闻资讯_第11张

术后处理及复查

术后停用口服抗凝药,经两根溶栓微导管分别给予50万单位尿激酶持续泵入,经导引导管给予5000U肝素持续泵入,持续6天。 患者术后第2天意识恢复正常,并诉头痛减轻,复查头颅CT未见出血。

血栓泵是什么健谈卒中|ACE抽吸导管配合专用抽吸泵治疗颅内静脉窦高负荷量血栓一例_https://www.jmylbn.com_新闻资讯_第12张

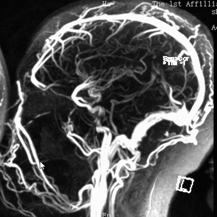
术后第6天复查动脉造影,计划必要时调整溶栓导管位置,显示静脉窦内血栓完全消失,遂拔出导管和鞘管。

血栓泵是什么健谈卒中|ACE抽吸导管配合专用抽吸泵治疗颅内静脉窦高负荷量血栓一例_https://www.jmylbn.com_新闻资讯_第13张

血栓泵是什么健谈卒中|ACE抽吸导管配合专用抽吸泵治疗颅内静脉窦高负荷量血栓一例_https://www.jmylbn.com_新闻资讯_第14张


术后随访

溶栓结束后改为华法林口服(INR控制到2.0-3.0),计划用药1年。 

6月随访患者未诉不适,MRS 0分,复查MRV见静脉窦再通良好。

血栓泵是什么健谈卒中|ACE抽吸导管配合专用抽吸泵治疗颅内静脉窦高负荷量血栓一例_https://www.jmylbn.com_新闻资讯_第15张



血栓泵是什么健谈卒中|ACE抽吸导管配合专用抽吸泵治疗颅内静脉窦高负荷量血栓一例_https://www.jmylbn.com_新闻资讯_第16张

应用体会

1.静脉窦血栓是相对少见的脑血管疾病,约占脑卒中的0.5%-1.0%,但是由于发病形式多样,常被忽视或漏诊。

2.磁共振特别是静脉窦高分辨磁共振对诊断静脉窦血栓的准确率较高,但是脑血管造影仍然是该疾病诊断的金标准。

3.目前认为抗凝治疗是治疗静脉窦血栓的首选治疗方案,可以选择华法林口服(INR控制到2.0-3.0),2017欧洲指南也推荐利伐沙班和达比加群酯;对于病因明确的患者需要抗凝3个月,对于病因不明的高凝状态患者建议抗凝6-12个月,对于高凝状态无法纠正或复发性静脉窦血栓患者建议终身抗凝。

4.对于昏迷、静脉性脑梗死和/或出血、癫痫、虽经过抗凝但病情仍持续恶化的患者,可采取溶栓或介入治疗治疗。

5.NeuronMAX导管可以较为轻松的引至乙状窦,为后续取栓提供稳固的支撑;ACE抽吸导管内腔较大、长度足够、头端坚固,适应于静脉窦内全程反复多次操作;PumpMAX负压泵可以提供持续稳定的负压,有利于大负荷量血栓的取出。

6.静脉窦取栓术的目的在于降低窦内血栓负荷,制造静脉窦内血流通道,扩大血流和血栓的接触面,所以动脉造影时静脉窦内造影剂显影才算到达手术目的。

7.静脉窦内置管溶栓可以使血栓持续接触高浓度的溶栓药物,降低术后静脉窦再闭塞率,改善远期预后。

8.对于深静脉或小静脉或经静脉溶栓导管无法到达血栓部位的患者可以尝试动脉途径溶栓。


血栓泵是什么健谈卒中|ACE抽吸导管配合专用抽吸泵治疗颅内静脉窦高负荷量血栓一例_https://www.jmylbn.com_新闻资讯_第17张





血栓泵是什么健谈卒中|ACE抽吸导管配合专用抽吸泵治疗颅内静脉窦高负荷量血栓一例_https://www.jmylbn.com_新闻资讯_第18张

术者简介


血栓泵是什么健谈卒中|ACE抽吸导管配合专用抽吸泵治疗颅内静脉窦高负荷量血栓一例_https://www.jmylbn.com_新闻资讯_第18张




血栓泵是什么健谈卒中|ACE抽吸导管配合专用抽吸泵治疗颅内静脉窦高负荷量血栓一例_https://www.jmylbn.com_新闻资讯_第20张

韩凯昊


郑州大学第一附属医院


郑州大学第一附属医院神经介入科主治医师,从事脑血管病诊疗工作7年,河南省脑卒中防控专家委员会成员,河南省卒中学会神经介入分会委员,发表SCI论文5篇。





血栓泵是什么健谈卒中|ACE抽吸导管配合专用抽吸泵治疗颅内静脉窦高负荷量血栓一例_https://www.jmylbn.com_新闻资讯_第18张

手术指导


血栓泵是什么健谈卒中|ACE抽吸导管配合专用抽吸泵治疗颅内静脉窦高负荷量血栓一例_https://www.jmylbn.com_新闻资讯_第18张



血栓泵是什么健谈卒中|ACE抽吸导管配合专用抽吸泵治疗颅内静脉窦高负荷量血栓一例_https://www.jmylbn.com_新闻资讯_第23张

郭新宾


郑州大学第一附属医院

郑州大学第一附属医院神经介入科副主任,郑东院区神经介入科主任。神经外科学博士、博士后,主任医师,教授,博士研究生导师。

中国医师协会神经介入青年委员会全国委员,中国医师协会神经介入委员会缺血组全国委员,中国医学促进会神经介入委员会全国委员,河南省高校青年科技工作者,河南省医师学会神经介入青年委员会副主任委员。2012、2014连续两年获得:中华介入放射学会全国优秀青年介入医师研究奖。主持国家自然科学基金2项、省部级课题5项。发表论文50余篇,发表第一作者SCI 21篇。

完成各种脑血管病介入治疗手术5000余例,独立完成颅内动脉瘤介入治疗手术4000余台,脑血管狭窄颅内支架成形手术等1000余台。






血栓泵是什么健谈卒中|ACE抽吸导管配合专用抽吸泵治疗颅内静脉窦高负荷量血栓一例_https://www.jmylbn.com_新闻资讯_第24张







血栓泵是什么健谈卒中|ACE抽吸导管配合专用抽吸泵治疗颅内静脉窦高负荷量血栓一例_https://www.jmylbn.com_新闻资讯_第25张
血栓泵是什么健谈卒中|ACE抽吸导管配合专用抽吸泵治疗颅内静脉窦高负荷量血栓一例_https://www.jmylbn.com_新闻资讯_第26张

神经介入在线作为中国卒中学会神经介入分会的官方公众号,现已成立六年。作为最早创建的神经介入专业的学术交流平台,秉承合作、创新、交流的宗旨,为医务工作者提供国内外神经介入领域最新资讯、指南,聚焦难点深度评论,引领学术前沿。2022年致力搭建神经介入领域国内外最新医学资讯、研究进展、病例讨论、趣味科普等各项学术交流互动共享平台,整合医疗资源,发挥联盟优势,风雨共济,守候健康,我们在这里等你!





血栓泵是什么健谈卒中|ACE抽吸导管配合专用抽吸泵治疗颅内静脉窦高负荷量血栓一例_https://www.jmylbn.com_新闻资讯_第27张

血栓泵是什么健谈卒中|ACE抽吸导管配合专用抽吸泵治疗颅内静脉窦高负荷量血栓一例_https://www.jmylbn.com_新闻资讯_第28张

奋斗青春,不负韶华

血栓泵是什么健谈卒中|ACE抽吸导管配合专用抽吸泵治疗颅内静脉窦高负荷量血栓一例_https://www.jmylbn.com_新闻资讯_第29张


血栓泵是什么健谈卒中|ACE抽吸导管配合专用抽吸泵治疗颅内静脉窦高负荷量血栓一例_https://www.jmylbn.com_新闻资讯_第30张
神经介入在线投稿:sjjrzx@hh-medic.com
血栓泵是什么健谈卒中|ACE抽吸导管配合专用抽吸泵治疗颅内静脉窦高负荷量血栓一例_https://www.jmylbn.com_新闻资讯_第31张