血常规用什么仪器检查血常规检验 - 白细胞散点图(上)

新闻资讯2026-04-24 07:59:58

南说检验-说真实的故事,做真实的事!

         血常规检验-白细胞散点图介绍(上)。简单介绍常见的外周血白细胞散点图怎么看,因为篇幅不能太长就分开两部分,所发内容都是边写边编辑,如有有错误之处还请谅解和指正,谢谢!

写这个小册子的原因:

         本身这个和以前发的都是准备自己写的自用的检验手册的一部分,最初想法的来源是一套临床案例分析的检验指标的一套13本的小册子,一本大约16开的小一百页,很有意思也很实用。所有就自己想试着把最基础的知识放在一个简单明了的工具册子里,希望对和我一样的初学者有所帮助吧。

说明:

因为公告号平台发不出PDF格式的文件,WORD版本由于平台或者软件的不同格式会有差异,因为是小册子,不想弄的太大,如果需要下载的话请到丁香园论坛我的帖子上下载,不需要叮当。https://www.dxy.cn/bbs/newweb/pc/post/45893524,如果您还算喜欢这个小册子电话,麻烦您动动可爱的小手把文章转发给和我一样喜欢这个行业的初学者,谢谢。



2.2.3白细胞散点图

2.2.3.1WDF通道散点图


血常规用什么仪器检查血常规检验 - 白细胞散点图(上)_https://www.jmylbn.com_新闻资讯_第1张

血常规用什么仪器检查血常规检验 - 白细胞散点图(上)_https://www.jmylbn.com_新闻资讯_第2张


Debris:影细胞/细胞碎片;NRBC:有核红细胞;LYMPH:淋巴细胞;Abnormal lymph Blast:异常淋巴细胞/原幼淋巴细胞;Atypical lymph:不典型淋巴细胞/异型淋巴细胞;MONO:单核细胞;Blast:原始细胞;NEUT+BASO:中性粒细胞及嗜碱性粒细胞;Left shift:核左移;IG:幼稚粒细胞;EO:嗜酸性粒细胞。

2.2.3.1.1检测原理:

通过溶血素把红细胞破坏掉,白细胞膜仅收到轻微损伤,利用SSC获取不同白细胞内部复杂程度的差异,通过荧光染色,理由SFL获得不同白细胞核酸及细胞器种类和多少的差异,从而对各类白细胞进行区分计数。



2.2.3.2WNR通道散点图

血常规用什么仪器检查血常规检验 - 白细胞散点图(上)_https://www.jmylbn.com_新闻资讯_第3张

血常规用什么仪器检查血常规检验 - 白细胞散点图(上)_https://www.jmylbn.com_新闻资讯_第4张


Debris:影细胞/细胞碎片;PLT Clumps:血小板凝集;WBC:除外BASO的其他白细胞;NRBC:有核红细胞;BASO:嗜碱性粒细胞。

2.2.3.2.1检测原理

WNR通道是进行白细胞的计数、嗜碱性粒细胞和有核红细胞的分类计数。

通过溶血剂破坏红细胞,白细胞胞膜轻微受损,利用FSC获得白细胞形态差异,将嗜碱性粒细胞区别于其他白细胞进行计数;通过荧光染色,利用SFL检出有核红细胞并进行计数。

血常规用什么仪器检查血常规检验 - 白细胞散点图(上)_https://www.jmylbn.com_新闻资讯_第5张


2.2.3.3            WPC通道

血常规用什么仪器检查血常规检验 - 白细胞散点图(上)_https://www.jmylbn.com_新闻资讯_第6张

血常规用什么仪器检查血常规检验 - 白细胞散点图(上)_https://www.jmylbn.com_新闻资讯_第7张

WBC:白细胞;Blast:原始细胞;Abnormal lymph:异常淋巴细胞。

2.2.3.3.1检测原理:用于原始细胞、淋巴细胞系的异常细胞。在溶血及荧光染色反应中,原始或其他异常细胞因性质不同于正常细胞,在FSC、SSC、SFL信号方面都会有差异性表现。

血常规用什么仪器检查血常规检验 - 白细胞散点图(上)_https://www.jmylbn.com_新闻资讯_第8张

2.2.3.4白细胞散点图解析

2.2.3.4.1HFLC%(来源于sysmex公司官方网站资料)

血常规用什么仪器检查血常规检验 - 白细胞散点图(上)_https://www.jmylbn.com_新闻资讯_第9张


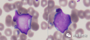
仪器散点图显示有要荧光的异常细胞,仪器报警“Atypical lympho?”,看WDF通道上在单核细胞位置上面有一个紫色的淋巴细胞特点的散点, 按照细胞散点图位置上看是属于异型淋巴细胞。血常规用什么仪器检查血常规检验 - 白细胞散点图(上)_https://www.jmylbn.com_新闻资讯_第10张

看数据上HFLC%仪器结果3.8%,HFLC%的值相当于异型淋巴细胞,涂片镜检:结果异型淋巴细胞:2%。

血常规用什么仪器检查血常规检验 - 白细胞散点图(上)_https://www.jmylbn.com_新闻资讯_第11张

司南说:对于散点图,记住标准图或者是正常人的图形,包括所在的位置和范围大小,以及散点图所对的方向。看其他散点图时和标准的图形进行对比,看看位置是否异常,有没有变大或者变小,方向有没有往哪个方向上变化的趋势,然后根据流式细胞术的基本原理去推断可能出现了什么样的细胞,然后推片染片有目的的看镜下表现,最后回报一个正确的结果。

2.2.3.4.2髓系白血病(sysmex官网资料)

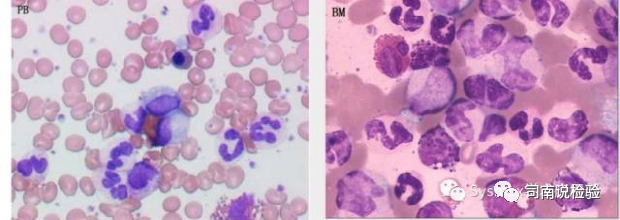
李某某,女,首次检测采用CBC+DIFF模式检测,仪器报警“Blasts/Abn Lympho?”

血常规用什么仪器检查血常规检验 - 白细胞散点图(上)_https://www.jmylbn.com_新闻资讯_第12张

触发Reflex规则后加做WPC通道检测、Reflex复查结果可见WPC散点图的白细胞下方出现红色散点,表示存在髓系原始细胞,并报警“Blasts”

血常规用什么仪器检查血常规检验 - 白细胞散点图(上)_https://www.jmylbn.com_新闻资讯_第13张

镜下可见髓系幼稚细胞,最后确诊为慢性粒细胞白血病

司南一说:symex仪器白细胞有两个通道(WDF、WPC)是我们最常用的,其他的仪器也有相应的技术措施,WDF通道的其灵敏度很高,可以对患者的血常规高灵敏性的初步筛查,如果有异常的话会启动3R规则进去WPC通道进行检测确认,WPC通道其特异度很高,可以把有问题的散点进行标注(在上面三群细胞上下出现红色的散点),然后有染片机阅片机的会进行染色并读片,如果没有的话需要涂片染色镜检,并且有目的的进行镜下观察。

司南二说:对于上面这个病例中,其散点图基本上每一个成分都有一定的变化,其中看中性粒细胞散点位置,浅蓝色的散点和标准(正常人)的散点基本一致。浅蓝色散点上有一个深蓝色的方向向上的散点,和中心粒细胞大小一致但比中性粒细胞复杂,如果成熟的中心粒细胞内部结果复杂,常见的原因一是细胞核变得复杂,二是细胞质内容物增多。SFL是荧光强度,可以代表核酸的量,核酸增高一个是中性粒细胞发挥功能需要合成物质需要大量合成RNA,要不就是出现幼稚细胞。这时候在看仪器提示的报警信息,Blasts/Abn Lympho,还报警了IG precent,提示有原始细胞(当然先看提示在看散点也是没有问题的)。异常结果进入WPC通道以后,在WPC通道上蓝色白细胞下面出现了红色的小点,意味着仪器发现有原始幼稚细胞,这时候就需要进行镜检去确认,如果确认则需要进行告知临床(包括告诉疑似疾病和询问患者是不是有相关症状)或者按照分层报告的原则进行备注的填写并回报相应结果。

司南三说:报告结果时,任何一个结果都要看一下散点图和直方图,给自己一个确认(“正常结果“也有异常的),养成一个好习惯就可能救活一个患者。

2.2.3.4.3淋巴系白血病(B-慢性淋巴细胞白血病)(sysmex公司官网资料)

张某某,男,52岁,有贫血、发热、脾肿大等临床表现。首次检测采用CBC+DIFF模式检测,仪器报警“Blasts/Abn Lympho?” 触发Reflex规则加做WPC通道检测、Reflex复查结果可见WPC散点图的白细胞上方出现红色散点,表示有淋巴系异常细胞,并报警“Abn Lympho?”

血常规用什么仪器检查血常规检验 - 白细胞散点图(上)_https://www.jmylbn.com_新闻资讯_第14张


司南说:这样的散点和提示是最典型的一个提示,看WDF散点图,在淋巴细胞区域内一片白色向上的不分数的散点信号,仪器无法对细胞进行分数,中性粒细胞的位置散点变弱,在WPC通道,在白细胞上面有一片红色散点(异常淋巴细胞位置),提示淋巴细胞系统有异常,仪器报警信息提Abn Lympho,也提示淋巴系统有异常,然后需要进行推片镜检,以及其他相关检查。

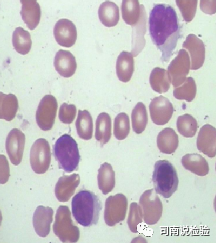
外周血涂片镜检可见毛细胞存在。

血常规用什么仪器检查血常规检验 - 白细胞散点图(上)_https://www.jmylbn.com_新闻资讯_第15张

司南说:对于毛细胞的显微镜镜检有一个需要注意的事情,自动推片机推片干燥的时候是用里面的小风扇吹干的,这样染出的片子毛细胞典型的毛是很难看到的,建议怀疑此病的患者进行人工制片,自然干燥后染片。

其他检查:

细胞化学:酸性磷酸酶(ACP)染色阳性且不被酒石酸(TRAP)抑制。PAS阳性。     

免疫表型:sIg+,CD19 CD20 CD22 CD11 CD25 CD103+

最后诊断为:淋巴系白血病(B-慢性淋巴细胞白血病)

司南说:对于典型的血液病的散点一样就可以看出异常,但是对于不典型的散点图需要细心的寻找蛛丝马迹,一定要记住正常的位置大小和形态,根据正常的散点去寻找您所看到的散点图的异常,然后根据这个异常去进行相应的检查或者询问临床,给临床一个医生期待的准确的结果。

司南重点的说:很多不典型的血液病的发现都是来源于单核细胞区域异常,所有单核细胞异常时千万多想一步。

2.2.3.4.4IG增高提示的肿瘤患者(sysmex公司官网资料)

某患儿十周岁,近期感觉乏力、消瘦,长时间走路脚会疼,夜间盗汗,血常规检测结果如下:

血常规用什么仪器检查血常规检验 - 白细胞散点图(上)_https://www.jmylbn.com_新闻资讯_第16张

散点图如下:可以见到在中性粒细胞区域中有一大片没有分类的细胞。血常规可见WBC、PLT总数均增高、嗜酸性粒细胞、嗜碱性粒细胞也高于正常参考范围。HGB偏低,根据WHO标准,6-14岁儿童<120g/L可诊断为贫血。WDF散点图出现大片灰色,仪器给出“WBC散点图异常”报警,IG定量参数,IG%为32.2%,IG#为13.69*109/L,根据仪器提示信息建议推片镜检。

血常规用什么仪器检查血常规检验 - 白细胞散点图(上)_https://www.jmylbn.com_新闻资讯_第17张

推片结果:镜检结果:IG幼稚粒细胞为30%,并可见各个阶段的成熟细胞,经流式和骨髓检测为CML。

血常规用什么仪器检查血常规检验 - 白细胞散点图(上)_https://www.jmylbn.com_新闻资讯_第18张

司南说:利用数值异常和散点图异常以及仪器提示信息去综合判读,抓出李鬼。

2.2.3.4.5sysmex低值白细胞模式(LW):白细胞计数是正常的三倍,所以提示信息更详细。

图片案例来源:宋庆波-XN异常散点图分析课件-百度文库

血常规用什么仪器检查血常规检验 - 白细胞散点图(上)_https://www.jmylbn.com_新闻资讯_第19张

过程分析:上图全血模式可见白细胞十分少,WBC Flag(s)中没有报警提示。

血常规用什么仪器检查血常规检验 - 白细胞散点图(上)_https://www.jmylbn.com_新闻资讯_第20张

过程分析:低值白细胞会直接进入低值白细胞模式就行重新检测,在LW里看到白细胞提示了原始细胞/异常淋巴细胞的报警,因为计数的白细胞增多就会增大发现问题的几率。然后进行染色、镜检,查到了原始细胞。

说明:看普通模式上的结果,三系都低,白细胞和血小板出奇的低,这样的结果看起来就是很异常,只是这个模式下计数的细胞太少,使得仪器没有特别的提示,这个时候如果没有LW模式,按照复检规则我们也是需要涂片镜检的,这时候细心的也可以发现有异常的细胞存在。而SYSMEX的仪器会直接进入LW模式,可以给我们一个更加直接的提示,对于我们的工作是很有帮助的。其他仪器厂家也有相应的技术做这个工作。

司南说:仪器技术的发展给我们带来了很多方便,掌握您用的仪器的所有属性(包括研究参数),可以使得您在工作中能更加得心应手,发挥您仪器所有性能,发现仪器数字/图形背后的信息,您将能更高效更准确的回报更加真实的结果,也许就会救下一条人命。

血常规用什么仪器检查血常规检验 - 白细胞散点图(上)_https://www.jmylbn.com_新闻资讯_第21张

提示白细胞增高,无法分类计数,散点图如下:(sysmex XS500i)

血常规用什么仪器检查血常规检验 - 白细胞散点图(上)_https://www.jmylbn.com_新闻资讯_第22张

过程分析:患儿白细胞非常高,没有分类,散点图中淋巴细胞和单核细胞区域没有分类,呈灰白色散点,Flag(s)报警提示红细胞大小不一,幼稚粒细胞?异型淋巴细胞?有核红细胞?打开研究参数淋巴细胞分类数量和比例非常高,触发镜检规则,涂片染色镜下观看。

血常规用什么仪器检查血常规检验 - 白细胞散点图(上)_https://www.jmylbn.com_新闻资讯_第23张

参考资料

《血细胞图谱》.三輪史郎

《血液病诊断与鉴别诊断图谱》.吴晓芝

血细胞仪白细胞五分类法原理和散点图特征-协和医院检验科张时民

白细胞五分类原理和散点图特征-吕大兰-百度文库

末稍血静置时间对血小板检测结果的影响-孙家祥 李艳-《中国实用医药》2013年第27期

仪器厂家SYSMEX公司提供的相关资料

图片没有说明的是来源于网络,没找到作者,如果您是作者请联系我加以更改。

案例和图片声明来源的版权归原作者,如有侵权,请联系我删除或者更改。

感谢公众号:检验星空,君安平台,检验医学网等