血常规用什么仪器检查荒唐:数十次血常规检查都出错,2 家医院误诊健康人患病治疗 4 年!

新闻资讯2026-04-24 07:59:49
血常规用什么仪器检查荒唐:数十次血常规检查都出错,2 家医院误诊健康人患病治疗 4 年!_https://www.jmylbn.com_新闻资讯_第1张

河南省许昌市的张女士因妇科问题,到当地某三甲医院就诊。医院给她做了血常规检查,结果显示她的红细胞、血红蛋白、血小板指标异常降低。

血常规用什么仪器检查荒唐:数十次血常规检查都出错,2 家医院误诊健康人患病治疗 4 年!_https://www.jmylbn.com_新闻资讯_第2张 图片来源:《律师来了》节目截图

医生告诉张女士她可能患上了「免疫性血小板减少性紫癜」,建议尽快住院治疗。

受经济条件影响,张女士转到当地的县医院治疗,除血常规外还进行了骨髓穿刺检查,结果显示「增生活跃骨髓象,铁染色示缺铁。血小板呈小簇及簇状分布,请结合临床。」

血常规用什么仪器检查荒唐:数十次血常规检查都出错,2 家医院误诊健康人患病治疗 4 年!_https://www.jmylbn.com_新闻资讯_第3张
 图片来源:《律师来了》节目截图

根据检查结果,医生按「免疫性血小板减少性紫癜」为张女士进行了长达 3 年多的重复吃药、检查、住院的痛苦抗癌治疗。长时间的服用激素类抗癌药物,张女士的身体变得肿胀、虚弱,期间多次检查血常规,血小板低至个位数,院方多次下达病危通知书,病情越来越严重。

血常规用什么仪器检查荒唐:数十次血常规检查都出错,2 家医院误诊健康人患病治疗 4 年!_https://www.jmylbn.com_新闻资讯_第4张
 图片来源:《律师来了》节目截图(期间数次血常规检测,血小板都异常)

2017 年底医院再次下达病危通知书,家人抱着最后一丝希望带张女士到郑州大学第一附属医院进行治疗,此次检测结果与此前数次的检测结果截然不同,医生诊断 「指标无异常,没患病」

血常规用什么仪器检查荒唐:数十次血常规检查都出错,2 家医院误诊健康人患病治疗 4 年!_https://www.jmylbn.com_新闻资讯_第5张
  图片来源:《律师来了》节目截图

家属不敢相信这个结果,又再次到河南省人民医院进行检查,结果与郑州大学第一附属医院的结果一致,血小板指标正常!

血常规用什么仪器检查荒唐:数十次血常规检查都出错,2 家医院误诊健康人患病治疗 4 年!_https://www.jmylbn.com_新闻资讯_第6张
 图片来源:《律师来了》节目截图

看到这两家医院的结果,相信各位已经看出端倪,张女士是因 EDTA 依赖性假性血小板减少症而被误诊为免疫性血小板减少性紫癜,并且被反复误诊、误治长达 4 年。
患者多次检测血小板结果均很低,甚至低至个位数,但多次血常规检查都没有涂片镜检,未能发现 EDTA 依赖性 PLT 假性减少症,明显检验科摊上大事了,这个病例也警醒了我们。


血常规检测是检验科三大常规之一

往机器里一放,几分钟就能出结果,然而最容易、最简单的工作,往往最容易出错。


检验人最害怕遇到的就是血小板问题,一旦出错很可能造成上面的误诊乌龙事件。尤其是上夜班的时候,忽然来个血小板减少病人,患者没有检查历史,查看血样没有明显的凝块,用竹签挑也没有发现细小的凝块和纤维丝,然后,想偷个懒复查一遍,可结果血小板值就在那里不增不减,但血小板确实达到了需要复片的标准,这时你肯定崩溃的心都有了,不复片又不放心,复片或者计数吧,都不是几分钟能够解决的事。


同意的举个手。

最后没办法,还只能老老实实的推片镜检。


复片后,哇,各种五花八门的结果

结果 1:

血小板真的少,评估与机器检测结果一致,备注:已涂片镜检,结果与机检一致(这是比较好的结果)。仪器计数 PLT:45×10^9/L, 镜检评估平均每油镜视野 4 ~ 5 个,与仪器计数一致(如下图)。

血常规用什么仪器检查荒唐:数十次血常规检查都出错,2 家医院误诊健康人患病治疗 4 年!_https://www.jmylbn.com_新闻资讯_第7张

结果 2:


血小板真的少,但经过评估,与仪器检测结果不一致,有经验的老师可以评估发结果,但是对经验不是很丰富的童鞋,还得老老实实做血小板手工计数(用草酸铵等血小板稀释液,破坏红细胞后,用改良牛鲍计数板冲池,计数中央大方格内的四角和中央共 5 个中方格内血小板数量)。

结果 3:


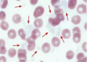
血小板计数少,涂片发现了较多的大血小板,可能被计数到红细胞中,导致 PLT 计数偏低。两种方法:一是有经验的老师可通过每油镜视野下 PLT 的个数进行评估如下图 1 均是大血小板,有的甚至超过红细胞体积;二是踏踏实实进行 PLT 手工计数,如图 2 夜空中最亮的星星(PLT)。


血常规用什么仪器检查荒唐:数十次血常规检查都出错,2 家医院误诊健康人患病治疗 4 年!_https://www.jmylbn.com_新闻资讯_第8张
图 1  

血常规用什么仪器检查荒唐:数十次血常规检查都出错,2 家医院误诊健康人患病治疗 4 年!_https://www.jmylbn.com_新闻资讯_第9张
图 2

结果 4:


血小板不少,但出现了 PLT 的片状凝集,这种病人可能是抽血时血流不畅,血小板被激活,导致的 PLT 聚集。也可能是 EDTA 依耐性聚集导致的 EDTA 依赖性假性血小板减少症(EDTA-PTCP)。


解决方法:更换抗凝剂如枸橼酸钠抗凝;应用解聚剂阿米卡星等解聚后检测;更换具有解聚功能的血液分析仪器;让病人到仪器旁采非抗凝血,立即检测;或采非抗凝血后立即用血小板稀释液进行显微镜计数。


血常规用什么仪器检查荒唐:数十次血常规检查都出错,2 家医院误诊健康人患病治疗 4 年!_https://www.jmylbn.com_新闻资讯_第10张

血常规用什么仪器检查荒唐:数十次血常规检查都出错,2 家医院误诊健康人患病治疗 4 年!_https://www.jmylbn.com_新闻资讯_第11张
更换枸橼酸钠抗凝后的血小板

结果 5:


血小板直方图异常,翘尾最常见,这个比较简单,有检验的老师,不涂片都知道可能是小红细胞或红细胞碎片干扰引起的 PLT 计数结果不准,涂片镜检如下图。

血常规用什么仪器检查荒唐:数十次血常规检查都出错,2 家医院误诊健康人患病治疗 4 年!_https://www.jmylbn.com_新闻资讯_第12张

血常规用什么仪器检查荒唐:数十次血常规检查都出错,2 家医院误诊健康人患病治疗 4 年!_https://www.jmylbn.com_新闻资讯_第13张

结果 6:


血小板不少,但出现了 PLT 卫星现象,也是 EDTA 抗凝剂导致的一种 EDTA-PTCP。原因是由于用 EDTA 盐 (EDTA 盐干粉抗凝剂,乙二氨四乙酸) 干粉抗凝剂,在作为免疫介导的血液中,可出现的冷抗血小板自身抗体,使血小板互相凝集现象。这种 EDTA 依赖的冷抗血小板自身抗体,直接作用于血小板膜糖蛋白 GP IIb/IIIa 上。同时,这种与血小板结合的自身抗体 Fc 端可与单核细胞或淋巴细胞膜上 Fc 受体结合,出现卫星现象【1】。引起血小板聚集出现卫星现象后,在全自动血细胞计数仪上检测时,发生假性血小板计数减少的现象。


血常规用什么仪器检查荒唐:数十次血常规检查都出错,2 家医院误诊健康人患病治疗 4 年!_https://www.jmylbn.com_新闻资讯_第14张

结果 7:


就是不论你更换哪种抗凝剂的管子抽血,PLT 依旧那么不离不弃的黏在一起,聚集解决不了,最后只能让病人到仪器旁边立即采后,立即上机检测。但是随着时间的延长,病人的 PLT 逐渐减少。

结果 8:


冷球蛋白干扰。冷球蛋白也不太常见,荧光血小板通道常常可以消除这种干扰,但是没有荧光血小板通道的仪器,还是老老实实的涂片镜检或用血小板手工显微镜检来计数血小板结果。


血常规用什么仪器检查荒唐:数十次血常规检查都出错,2 家医院误诊健康人患病治疗 4 年!_https://www.jmylbn.com_新闻资讯_第15张
冷球蛋白干扰

血常规用什么仪器检查荒唐:数十次血常规检查都出错,2 家医院误诊健康人患病治疗 4 年!_https://www.jmylbn.com_新闻资讯_第16张

是不是大多数人除了最后两种,种种都遇到过,那么恭喜你,说明你在临检已经不是一两天了,是个经验丰富的老手了。


如果你觉得检验科做血常规是最简单的了,那你就大错特错了,一个 PLT 检测都可能会遇到这么多事,还有白细胞,红细胞和血红蛋白等参数就更复杂了。所以血常规检测无小事,PLT 检测更值得我们关注。


但是告诉大家一个「防身」秘诀,那就是涂片、显微镜检或手工显微镜 PLT 计数,这是个永不过时的金标准,几乎所有的 PLT 问题可以都可以用这个秘诀来解决,所以请你一定记住 —— 涂片镜检。(如果还不过瘾,可点击往期文章,手把手教你:血小板假性减低系统性解决方案,主任的私藏妙招

如果各位检验君,还没遇到过这么多案例,赶紧手动收藏吧~


题图来源:图虫创意
投稿邮箱:huanghaihua@dxy.cn
参考文献:
【1】Lopez-Molina M, Sorigue M, Martinez-Iribarren A, et al. Platelet satellitism around lymphocytes: Case report and literature review. Int J Lab Hematol. 2019;41(4):e81-e83. doi:10.1111/ijlh.12972
【2】《律师来了》20190224 重生的烦恼
血常规用什么仪器检查荒唐:数十次血常规检查都出错,2 家医院误诊健康人患病治疗 4 年!_https://www.jmylbn.com_新闻资讯_第17张