腰穿有什么用病例系列报道——使用控制性腰穿引流治疗基底池未闭的难治性颅内高压

新闻资讯2026-04-24 07:40:46

颅内高压(IH)是创伤性脑损伤(TBI)和其他严重神经损伤(如SAH和脑膜脑炎)等神经危重病患者的可改变预后的主要因素。成人颅骨实际上是一个无法延展的容器。颅骨内体积的任何增加都会导致颅内压(ICP)的增加。这通常伴随着头颅CT上的占位效应,导致中脑周围基底池受压、中线移位,以及在较小程度上导致脑室系统受压。然而,在某些病理情况下,ICP升高与CT上的占位效应之间存在不一致,尤其是在基底池受压方面。高颅压和基底池未闭的存在意味着皮质蛛网膜下腔(CSAS)内有脑脊液(CSF),而去除其中的部分脑脊液可使ICP降低。由于CSAS与脊髓蛛网膜下腔相通,在这些特殊情况下,腰大池CSF引流似乎是一种合理的治疗选择。

本研究选择了CT显示基底池未闭且经积极药物治疗及部分去骨瓣减压仍存在难治性IH的病例,使用腰大池控制性外引流脑脊液来控制这些病例的颅内高压。

  • • 本研究为一项回顾性研究,纳入了11例重症监护病房(ICU)收治的急性严重脑损伤(8例颅脑外伤,2例SAH和1例脑膜脑炎)患者,这些患者的头颅CT基底池未闭,但存在IH。该研究于2017年1月至2019年12月期间进行。该期间有145患者进行了颅内压监测,95例TBI,其中8例患者被纳入腰大池外引流方案。

  • • 本研究经本中心伦理委员会评估批准,均获得了每个患者家属的知情同意并保护患者隐私。

收集的变量包括性别、年龄、使用GCS评分评估临床状态,以及控制颅内压和并发症的治疗措施。神经功能预后评估使用损伤后6个月的格拉斯哥预后扩展评分(GOSE)。

  • • 患者常规使用硬膜下导管进行颅内压监测,或者对于那些接受手术的患者使用脑室型监测导管。未接受手术且GCS<9的患者使用硬膜下螺栓。数据从护理记录表中手动获取。

IH被定义为ICP>20 mmHg且持续时间超过5 min。所有患者均按照ICP方案进行管理,其中包括手术清除明显占位病变。第一级医疗措施为脑室外引流、7.5%高渗盐水渗透治疗、中度过度通气和神经肌肉阻滞。第二级措施是异丙酚或巴比妥类药物和去骨瓣减压术。难治性IH定义为尽管进行了一级治疗,但在20 min后仍保持在25 mmHg以上。

放置腰大池外引流的标准如下:
- 对渗透治疗、过度通气、神经肌肉阻滞、静脉麻醉及在部分病例中的去骨瓣减压术仍存在颅内高压;
- 头颅CT显示基底池未闭;
- 无占位或中线移位。
腰大池外引流的排除标准:
- CT示基底池受压或无基底池,中线移位大于5 mm,或需要手术的占位性病变。
  • • 由经验丰富的神经外科医生放置腰大池外引流。使用14G图伊(Touhey)针置入18G腰椎硬膜下导管,该导管连接到一个封闭的收集系统。由接受过控制性脑脊液外引流技术的医护人员来控制颅内压(ICP)。每当颅内压超过20-25mmHg时,系统就会打开。引流高度设定在患者外耳道水平以上15-20cm,以防止颅脊压力大梯度的形成而引起神经轴的下降导致脑疝。在三个轴上头部高度抬高不超过20度。若ICP稳定在20mmHg以下至少48h,则开始逐渐减少腰大池引流。同时制定了一套全面的腰大池导管管理方案,以降低颅内感染的发生率,主要是脑膜炎。该方案包括置管时无菌操作、置管前使用一剂抗菌药物(抗生素方案的选择取决于重症监护室的环境)、始终保持敷料密封状态、对封闭的系统尽可能减少操作,并在颅内压得到控制时拔除导管。不进行例行的脑脊液采样,仅在临床上怀疑感染时才留取脑脊液进行分析。

  • • 影像学检查方案包括在入院时、入院后24h、神外手术后24h、或在临床神经功能恶化进行CT扫描。根据Levy等人的定义,开放的基底池是可以在CT扫描上看到的基底池。为了评估脑脊液引流的安全性,对每位患者在腰椎引流前后进行了因斯布鲁克颅内储备评分的计算。

  • • 共研究了11例患者,人口统计学和临床数据见表1。其中,8人患有创伤性脑损伤,2人为SAH,1人为隐球菌性脑膜炎。所有患者在6个月的随访评估中均预后良好。

表1 该病例系列的人口统计学和临床特征

腰穿有什么用病例系列报道——使用控制性腰穿引流治疗基底池未闭的难治性颅内高压_https://www.jmylbn.com_新闻资讯_第1张

  • • 在入院时,所有患者都表现为基底池未闭而药物治疗无法控制的颅内高压(IH),其中四例患者进行了去骨瓣减压术仍无法改善。

  • • 所有需颅内压控制的患者均行腰大池外引流,效果是即刻且持续的,并允许退出其他措施,如静脉麻醉。采用治疗强度水平(TIL)量表对每个患者的ICP管理轨迹进行分类(见表1),平均下降14分,然而,每天为达到该效果控制外引流量不超过100 ml。

  • • 在这11例患者中,腰大池引流术均未导致脑疝。在腰大池引流前后的CT扫描中,因斯布鲁克颅内储备评分无明显变化(表1)。在腰椎引流过程中未发现颅内出血或腰大池导管相关的脑膜炎或脑室炎。

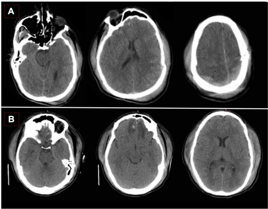
  • • 一名17岁的男性患者遭受了一次机动车辆导致的头部伤害。他最初的GCS评分为8,院前无低血压或低氧情况。初步的头部CT扫描如图1a,b所示。没有明显的肉眼可见的损伤或肿块,分类为Marshall II。通过硬脑膜下颅压监测显示为对渗透治疗、中度过度通气和吲哚美辛止痛药无法控制的颅内高压情况。第二次头部CT示硬膜下积液,无占位效应(图1c,d)。使用巴比妥类药物后患者颅内高压仍未控制,遂进行了腰大池置管引流,颅内压得到了控制(图1)。患者最后预后良好,GOSE评分为8。


腰穿有什么用病例系列报道——使用控制性腰穿引流治疗基底池未闭的难治性颅内高压_https://www.jmylbn.com_新闻资讯_第2张

图1 案例1。a,b初始CT扫描,无肉眼可见的脑损伤。c,d第二次CT显示硬膜下低密度影,无占位效应。图表显示平均每小时的平均ICP。治疗干预措施如框内所示(渗透治疗、巴比妥类药物和腰大池外引流术)
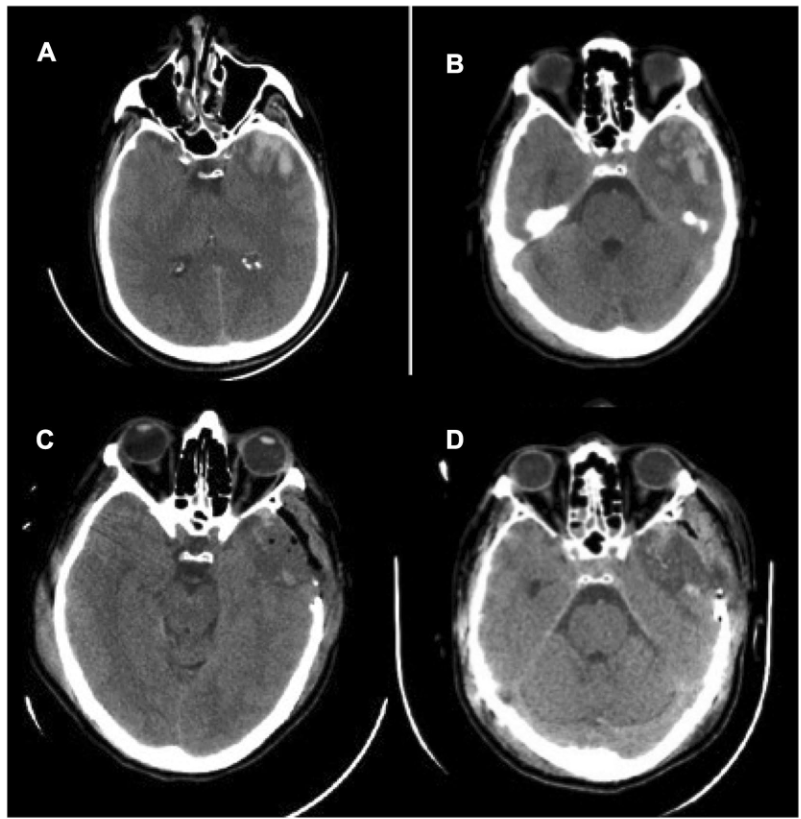
  • • 一名50岁的女性患者突发头痛、呕吐和昏迷。头部CT扫描显示在外侧裂中存在较大血块,未及脑室出血或梗阻性脑积水。CTA提示一侧大脑中动脉瘤,在12小时内进行了夹闭手术,并植入了硬脑膜下导管监测颅内压。患者在使用镇静、高渗盐渗透治疗、神经肌肉阻滞剂和巴比妥类药物后仍存在颅内高压。神经外科进行了去骨瓣减压术,术后的头颅CT如图2所示。尽管进行了手术,患者颅内压仍高(在30-35mm Hg之间),因此置入了腰大池引流管(见图3),颅内压立即控制在15mm Hg以下水平,并减轻了其他治疗措施的需求。患者在6个月时的GOSE评分为7,预后良好。

腰穿有什么用病例系列报道——使用控制性腰穿引流治疗基底池未闭的难治性颅内高压_https://www.jmylbn.com_新闻资讯_第3张
图2 案例3。头颅CT示动脉瘤夹闭后和去骨瓣减压术后改变,同时可见蛛网膜下腔出血及外侧裂较大血块,中线无移位,基底池未闭。

腰穿有什么用病例系列报道——使用控制性腰穿引流治疗基底池未闭的难治性颅内高压_https://www.jmylbn.com_新闻资讯_第4张

图3 案例3。该图显示了平均颅内压(ICP)及其对治疗干预的反应(如图所示)。它清楚地表明,对一级治疗(渗透治疗)和二级治疗(巴比妥类药物和去骨瓣减压术)均未下降至正常范围内。置入腰大池引流管后颅内压立即得到控制。该图显示平均每小时的ICP。

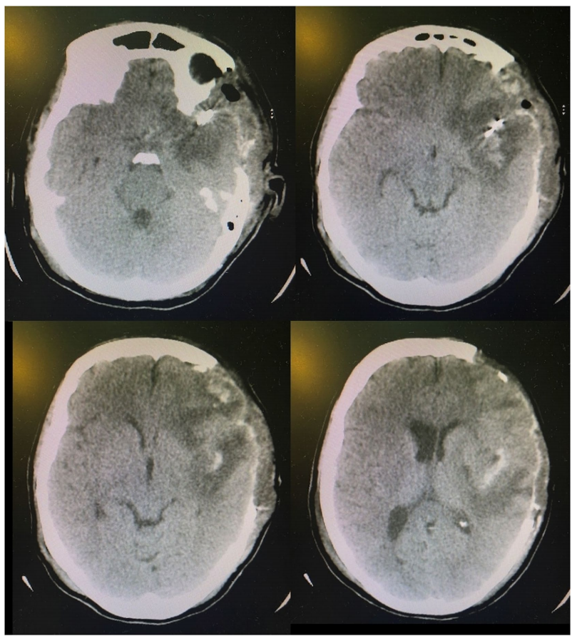
  • • 一名20岁的男子遭受了攻击有关的孤立的头部外伤,GCS初始评分为12。初始头颅CT如图4a所示。6个小时后,他的病情恶化,GCS评分下降到7分,头颅CT示左侧颞部挫伤扩大。神经外科医生进行了血肿清除术和一侧去骨瓣减压术(图4b)。第2天,患者出现IH,采用分级措施(高渗盐水渗透治疗、中度过度通气、镇静和神经肌肉阻滞)进行控制。第2天头部CT扫描如图4c所示。第3天,患者出现难治性IH(ICP值为35-40mmHg,脑灌注压为70-75mmHg),对一级和二线治疗(消炎痛、CPP靶向治疗和巴比妥类药物)反应欠佳。图4d为第3天的头部CT扫描。由于CT上显示基底池未闭,我们在对侧(右侧)插入了另一个硬膜下ICP装置,并显示出相似的ICP值。置入腰大池引流管后颅内压得到控制,波动为10-12mmHg。该患者预后良好,GOSE评分为7分。


  • 腰穿有什么用病例系列报道——使用控制性腰穿引流治疗基底池未闭的难治性颅内高压_https://www.jmylbn.com_新闻资讯_第5张

  • 图4 案例6。a首次头颅CT。b第二次头颅CT(6h后):左侧颞叶挫伤和占位效应的扩大。c去骨瓣减压术后(第2天),当颅内压(ICP)用一级措施控制时,进行CT扫描。d 第3天的CT扫描,顽固性颅内高压和持续的基底池开放。置入腰大池外引流管后ICP得到控制。

  • • 一名 23 岁男性,头痛3 周,无发热。急诊科检查,GCS评分为15分,颈强直、运动迟缓、共济失调、多发性淋巴结肿大。初步实验室检查结果如下:白细胞计数,9,600个/mm3;血小板计数,96,000个/mm3;血红蛋白水平,13.5 g/dl;肾功能和肝功能正常。HIV检测结果呈阳性,HIV病毒载量为19.3万拷贝/ml,CD4+细胞计数为192个/ml,CD8+T细胞计数为4615个/ml。头颅CT未见明显变化(图 5)。腰椎穿刺压力为24 mmHg,脑脊液结果示,葡萄糖水平为44mg/dl,蛋白质水平为231mg/dl,白细胞计数为 50 个/ml(100% 单核细胞)。

  • • 随后2h,患者出现意识水平(GCS评分: 9分)下降,呕吐,全身强直-阵挛发作。入住ICU时行机械通气及抗癫痫治疗。超声测量视神经鞘直径为6.3 mm,遂放置腰大池外引流,在接下来的72 h内控制以10 ml/h的流速,随后视神经鞘直径测量为5.0 mm,与ICP显著降低一致。脑脊液病原学PCR结果为新型隐球菌阳性,故启动两性霉素和氟康唑治疗。第12天转出ICU,临床转归良好,GOSE评分为8分,并开启抗逆转录病毒治疗,耐受良好。
腰穿有什么用病例系列报道——使用控制性腰穿引流治疗基底池未闭的难治性颅内高压_https://www.jmylbn.com_新闻资讯_第6张

图5 案例7。头颅CT显示无改变。a非增强CT扫描。b增强CT扫描。

  • • 一名29岁的男性在一次车祸中遭受了孤立的头部创伤。复苏后GCS评分为7分,双侧瞳孔反射存在。首次头颅CT显示广泛的颅顶骨折,外伤性SAH,硬膜下血肿和双额叶挫伤,无明显占位效应和基底池开放(图6a)。CTA未发现脑动脉或静脉窦损伤。入住ICU,置入硬膜下装置监测ICP。24h后,患者病情恶化,出现IH,对镇静、神经肌肉阻滞、高渗盐水或巴比妥类药物反应欠佳。头颅CT显示额叶挫裂伤无明显增大,无占位效应,环池未闭(图6b)。置入腰大池外引流管后,ICP即刻得到控制。随着时间的推移,其他治疗方法也慢慢撤退。患者预后良好,6个月的GOSE评分为7分。

腰穿有什么用病例系列报道——使用控制性腰穿引流治疗基底池未闭的难治性颅内高压_https://www.jmylbn.com_新闻资讯_第7张
图6 案例9。a首诊头颅CT示广泛颅顶骨折、外伤性蛛网膜下腔出血、硬膜下血肿、双额叶脑挫裂伤,无明显占位效应,基底池显示良好;b 24h后复查头颅CT示额叶脑挫裂伤无明显增大,无占位效应,环池显示良好。
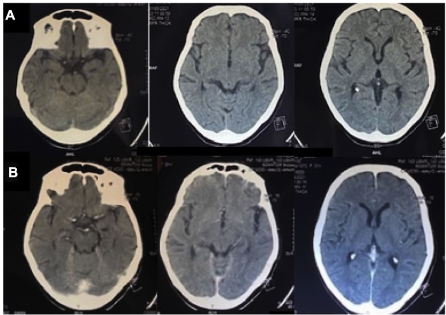
  • • 1例37岁男性患者因攻击行为导致孤立性头部外伤。复苏后GCS评分7分,双侧瞳孔对光反射存在。首次头颅CT显示双额叶挫裂伤,基底池通畅,无明显占位效应(图7a )。使用硬膜下装置进行ICP监测。在前3天,患者出现IH,对药物治疗(渗透疗法、中度过度通气、吲哚美辛、丙泊酚)有部分反应。第5天,ICP再次升高,内科治疗无效,头颅CT示双额叶挫裂伤扩大并伴占位效应,遂行双额叶去骨瓣减压术(图7b)。在随后的24小时内,ICP低于22mmHg,但在第7天,ICP升高到35mmHg。去骨瓣减压术后头颅CT显示基底池开放和CSAS扩大,因此放置了一个腰大池外引流管(图7c)并成功地控制了ICP,其他疗法开始逐步退出,TIL明显下降(图7d-f)。

腰穿有什么用病例系列报道——使用控制性腰穿引流治疗基底池未闭的难治性颅内高压_https://www.jmylbn.com_新闻资讯_第8张
图7 案例11。a首次头颅CT扫描;b第二次头颅CT扫描示双额叶脑挫裂伤扩大,占位效应明显;c去骨瓣减压术后及放置腰大池引流前头颅CT扫描示基底池持续开放,皮层网膜下腔扩大;d ICP平均值及对治疗干预措施的反应(如方框所示) ;e ICP及CPP的变化;f ICP负荷及TIL变化。图中ICP代表小时平均ICP。ICP负荷以ICP>20mmHg占总神经监测时期的时间百分比表示。TIL是一个总分38分的评分系统,基于8种治疗模式(头位抬高、镇静、脑脊液引流、维持灌注压、过度通气、高渗治疗、温度调节、神经外科手术)开发的,并以ICP为治疗靶点,量化其控制ICP治疗措施的评分系统。该系统于Maas等在创伤性脑损伤中数据收集的标准化进行了描述。CPP脑灌注压、CT计算机断层扫描、DC去骨瓣减压术、HV过度通气、ICP颅内压、LD腰大池引流、Osmot渗透疗法、TIL治疗强度等级。
  • • IH是神经危重症患者神经功能恶化的主要原因。IH通常会减少脑血流量,并产生局部占位效应,如脑结构变化和位移。早期监测ICP及IH的有效治疗对该类患者的管理起到重要作用。在大多数情况下,ICP的升高会导致CT上脑池的消失。在IH时CSF空间被认为是主要缓冲空间。这种相关性已经得到了很好的验证,并已是临床指南推荐中ICP监测指征的基础。偶有急性脑损伤表现为ICP升高但基底池开放,该现象在儿科和成人人群中已被描述,在儿童和年轻人中更常见。

  • • 本研究中的临床病例是TBI、SAH和隐球菌性脑膜炎患者,其出现IH但CT示基底池显影的病例。尽管ICP较高,开放脑池的同时存在意味着在CSAS中仍存在大量CSF,这被称为外部性脑积水,提示CSF流动受损伴CSAS扩大,同时轻度或无脑室扩张。这种现象可能是由于大脑本身的顺应性下降或脑脊液在CSAS中积聚,而由于硬脑膜静脉窦内的高压造成脑脊液的流出减少。相对于脑室,从脊髓蛛网膜下腔引流CSF可成为一种有效的治疗方式。对这一临床情况的正确认知,使我们能够实施足够的治疗措施来控制ICP,并有助于改善这些患者的预后。

  • • 不同的临床情况可能致IH时基底池仍未闭,尽管罕见,但外部性脑积水不仅可见于TBI,也可鉴于SAH和脑膜炎后。

  • • 去骨瓣减压或许可能导致CSF循环受损而引起这种情况。脑脊液循环的改变在案例6和案例11中肯定发生了,案例3可能发生了。与内部脑积水相比,这种情况不一定与脑室大小增加有关,可能是由于脑实质水肿或/和缺血出血导致抗膨胀有关。全身静脉压升高可能是另一个因素,通常与机械通气后胸腔内静脉压升高有关。腹内高压也可能是单独作用,或与胸腔内压协同作用,在静脉高压中发挥类似的作用。静脉压力的升高增加了毛细血管床压和脑膨出,阻止脑室空间扩张,迫使脑室内脑脊液向蛛网膜下腔空间移位。 在临床上,这种情况的特点是高颅内压的发病延迟,通常对标准化药物治疗的反应较差,并且CSAS逐渐扩大。由于伪影等干扰,CT可能低估了CSAS。除非CSAS明显增大,否则CT诊断外部脑积水是很难的。在这种情况下,我们可以看到额叶硬膜下积液、半球间脑脊液积累、异常增宽的皮质沟、大基底池,以及连续CT图像之间蛛网膜下腔的细微变化。近来,利用OsiriX软件处理的SPACE成像获得的T2WI,可以准确计算每个脑脊液空间的体积,可用于诊断这种情况。尽管存在这些问题,Gergele等认为外部性脑积水是脑外伤和SAH的常见并发症,在他们的TBI系列中发生率为30%。这种情况可能可以解释案例1。区分外部性脑积水和积液是很重要的,因为脑脊液引流可用于治疗外部性脑积水,但可能会加重积液。ICP是区分两者的另一个因素,外部性脑积水ICP会增高,而积液的ICP是正常。

  • • 如Rekate所述,一些TBI和弥漫性脑肿胀的患者可能会因为充血叠加水肿而出现病情恶化。在这种情况下,IH可能会导致上矢状窦的继发性阻塞,从而导致静脉充血和脑脊液吸收不良或缺失。外伤后SAH可能会加剧这一情况,这种机制至少可以部分解释案例9。

  • • 合并隐球菌性脑膜炎的HIV患者颅内压升高的具体原因尚不确定,可能是由于微生物及其多糖包膜引起CSF吸收受损或产生增加。此外,在尸检切片可见,脑脊液和脑膜中大量存在的真菌,比红细胞大得多,可能阻塞蛛网膜下腔绒毛的通道和瓣膜。这些原因也可能导致淋巴通路(CSF吸收的另一条通路)堵塞。所有这些因素都可导致IH但CT未见基底池受压,如案例7所示。值得注意的是,脑脊液腰椎引流是专家推荐的治疗IH的首选。

  • • 对基底池未闭的IH患者的治疗管理是一个关键。虽然没有得到西雅图国际严重创伤性脑损伤共识会议的认可,但在头部损伤后的IH患者中使用腰椎引流已被证明是一种有效的治疗。该治疗反应可能部分是由于脊髓蛛网膜下腔比脑室腔体积更大,更均匀地通过枕骨大孔与整个颅内蛛网膜下腔相通。腰椎引流系统的脑脊液引流效果通常超过脑室外引流。因此,脑室外引流通常不常用于这些患者。这些脑脊液是通过脊髓蛛网膜下腔引流来自CSAS的脑脊液。此外,这些病例患者的脑室大小也无需置入脑室外引流管。在决定放置腰椎外引流管时必须满足某些先决条件,其中包括:(1)不存在有手术指征的占位性病变,(2)存在或可见基底池,(3)没有大于5 mm的脑组织移位;(4)手术应由医疗和护理人员处理,并进行适当的培训,因为该操作存在风险。Badhiwala等人最近的荟萃分析提供了初步证据,表明腰椎外引流可能对严重创伤性脑损伤和难治性IH病例有用。需要强调的是,在本系列研究中,控制性腰椎引流使所有患者的颅内压得到有效控制,并减少了其他积极措施,如巴比妥类药物或丙泊酚的使用,且得到了良好的神经预后。

  • • 研究的局限性:

    • • 病例系列存在选择偏倚,无法进行外部验证;

    • • 纳入的病例数较少;

    • • 该病例系列在主诊断方面存在异质性。

     使用腰椎引流术治疗IH并不被普遍接受或理解。对于基底池未闭且不存在局部占位的难治性IH患者,腰大池引流或许是一个控制ICP的选择。及时认识到这种临床情况可能有助于改善这类患者的管理。与其他治疗措施相比,置入所需时间短是该方法的另一个优势。本研究结果还应在前瞻性研究中进行进一步的评估。

    本文献翻译改编自参考文献,仅为学习交流,非商业使用,如有侵权,请联系作者删除。

腰穿有什么用病例系列报道——使用控制性腰穿引流治疗基底池未闭的难治性颅内高压_https://www.jmylbn.com_新闻资讯_第9张

腰穿有什么用病例系列报道——使用控制性腰穿引流治疗基底池未闭的难治性颅内高压_https://www.jmylbn.com_新闻资讯_第10张