胎儿mt是什么检查什么疼吗【专题讲座】11-13周的超声检查(3)-染色体异常筛查-颈项透明层、胎儿心率

新闻资讯2026-04-24 07:22:18

胎儿mt是什么检查什么疼吗【专题讲座】11-13周的超声检查(3)-染色体异常筛查-颈项透明层、胎儿心率_https://www.jmylbn.com_新闻资讯_第1张




    孕妇年龄
    颈项透明层厚度(NT)
    胎儿心率
    血清生化筛查
    新的超声标记物

     




    颈项透明层(NT):



    • 颈项透明层(NT)是指在早孕期超声波下观察到的胎儿颈后皮肤下积水;

    • 不论颈后皮肤下的积水有否分隔、是否局限于颈部,均一律使用「透明层, translucency」一词;

    • 染色体及其它异常与NT的厚度而非形态相关;

    • 到了中孕期,透明层通常会消退,但在少数病例中,会变为颈水肿或颈部水囊瘤,合并或不合并全身水肿。

    胎儿mt是什么检查什么疼吗【专题讲座】11-13周的超声检查(3)-染色体异常筛查-颈项透明层、胎儿心率_https://www.jmylbn.com_新闻资讯_第2张



测量NT的最佳孕周是:11+0~13+6周。测量时,头臀径(CRL)应在45mm~84mm之间。

  • 选择孕11周做为NT最早的检查时间,理由如下:


    (1)筛查需有诊断性检查跟进,但11周前进行的绒毛活检术与胎儿横向截肢畸形有关;

   (2)如果NT检查的最小孕周为11周,很多严重的胎儿畸形就可以在NT扫描的同时被诊断出来

  • 选择13周+6天做为检查时间的上限,理由如下:


    (1)受累胎儿的母亲可在早孕期而非中孕期选择终止妊娠;

    (2)染色体异常胎儿颈项透明层异常增厚的发生率在13周后降低;

    (3)13周以后,胎儿呈直立位,难以获得理想的检查平面,使准确测量NT的成功率降低。


胎儿mt是什么检查什么疼吗【专题讲座】11-13周的超声检查(3)-染色体异常筛查-颈项透明层、胎儿心率_https://www.jmylbn.com_新闻资讯_第3张

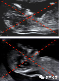
放大图像直至胎儿头部和上半胸占据整个屏幕

必须获得胎儿正中矢状切面。

胎儿应处于自然姿势,头与脊柱成一条直线。当胎儿颈部过于伸展,测量值会错误地增加;当颈部过于屈曲,测量值会错误地降低。

必须小心鉴别胎儿皮肤和羊膜。


    视频4

    胎儿mt是什么检查什么疼吗【专题讲座】11-13周的超声检查(3)-染色体异常筛查-颈项透明层、胎儿心率_https://www.jmylbn.com_新闻资讯_第4张

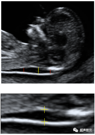
    测量NT最宽处

  • 测量应在两个游标尺水平线的内缘进行。将游标尺放在颈项透明层两侧边界线内侧“上”。游标尺的交叉点应与白色边界线融合,难以看见,而不是将其置于颈项部皮下的液体中;

  • 在放大图像的时候,降低增益(gain)非常重要。这样可以防止将游标尺置于白线的模糊部分,否则容易造成错误地低估颈项透明层厚度;

  • 超声扫描过程中,需多次测量,取符合上述标准的最大测量值,输入数据库。


    胎儿mt是什么检查什么疼吗【专题讲座】11-13周的超声检查(3)-染色体异常筛查-颈项透明层、胎儿心率_https://www.jmylbn.com_新闻资讯_第5张


  • 约5%的病例中,胎儿颈部会被脐带环绕。研究已发现,NT的测量值会因此而增加

  • 在这样的病例中,在脐带上方或下方测量NT结果会有所不同。计算风险的时候,取上方和下方的平均值比较合适。


    胎儿mt是什么检查什么疼吗【专题讲座】11-13周的超声检查(3)-染色体异常筛查-颈项透明层、胎儿心率_https://www.jmylbn.com_新闻资讯_第6张


  • 二倍体胎儿颈项透明层厚度随胎儿头臀径增加而增加

    胎儿mt是什么检查什么疼吗【专题讲座】11-13周的超声检查(3)-染色体异常筛查-颈项透明层、胎儿心率_https://www.jmylbn.com_新闻资讯_第7张

  • 75-80%的21三体胎儿,颈项透明层厚度超过正常范围的第95百分位数

  • 在21三体胎儿中,颈项透明层厚度与孕妇年龄无关;

  • 孕妇年龄与胎儿颈项透明层厚度结合,是有效的染色体异常的早孕筛查方法 。


    胎儿mt是什么检查什么疼吗【专题讲座】11-13周的超声检查(3)-染色体异常筛查-颈项透明层、胎儿心率_https://www.jmylbn.com_新闻资讯_第8张


  • 对于固定CRL的胎儿,每一个NT测量值都代表一个似然比,用这个似然比乘以孕妇年龄和孕周相关的前设风险,就可得出新的风险值

    胎儿mt是什么检查什么疼吗【专题讲座】11-13周的超声检查(3)-染色体异常筛查-颈项透明层、胎儿心率_https://www.jmylbn.com_新闻资讯_第9张

  • NT测量值越大,似然比就越大,因此,新的风险值就越高


    胎儿mt是什么检查什么疼吗【专题讲座】11-13周的超声检查(3)-染色体异常筛查-颈项透明层、胎儿心率_https://www.jmylbn.com_新闻资讯_第10张

  • 相反,NT测量值越小,似然比就越小,得出的新的风险值就越低

    胎儿mt是什么检查什么疼吗【专题讲座】11-13周的超声检查(3)-染色体异常筛查-颈项透明层、胎儿心率_https://www.jmylbn.com_新闻资讯_第11张

  • 例如:一名20岁孕妇,如果NT值较高,则21三体胎儿的风险要高于NT值较低的40岁孕妇。


  • 二倍体胎儿的NT测量值分布:

  • 中位数、第1百分位数、第5百分位数和第95百分位数随着胎儿头臀径的增加儿增加。


    胎儿mt是什么检查什么疼吗【专题讲座】11-13周的超声检查(3)-染色体异常筛查-颈项透明层、胎儿心率_https://www.jmylbn.com_新闻资讯_第12张

  • 第99百分位数约为 3.5 mm,不随头臀径增加而增加。


    胎儿mt是什么检查什么疼吗【专题讲座】11-13周的超声检查(3)-染色体异常筛查-颈项透明层、胎儿心率_https://www.jmylbn.com_新闻资讯_第13张

  • 假设胎儿NT同时按照以下两种模式混合分布可以很好地解释以上现象:

  • NT是CRL依赖性的

  • NT是非CRL依赖性的

  • 胎儿mt是什么检查什么疼吗【专题讲座】11-13周的超声检查(3)-染色体异常筛查-颈项透明层、胎儿心率_https://www.jmylbn.com_新闻资讯_第14张

  •  染色体异常胎儿和二倍体胎儿的NT均随CRL而增加 。但是遵循这种分布规律的比例在二倍体胎儿中较高(约为95%),在染色体异常胎儿21三体、18三体、13三体和特纳综合征中比例较低,分别为5%、30%、15% 和20%

  • 相反,在NT不随CRL增加的模式中,可以见到较高比例的染色体异常胎儿和较低比例的二倍体胎儿。另外,NT的中位数不同:二倍体胎儿为2.0mm,21三体、18三体、13三体和特纳综合征胎儿分别为3.4mm、5.5mm、4.0mm和9.2mm。




    胎儿mt是什么检查什么疼吗【专题讲座】11-13周的超声检查(3)-染色体异常筛查-颈项透明层、胎儿心率_https://www.jmylbn.com_新闻资讯_第15张

    胎儿心率


  • 测量胎儿心率 (FHR):

    获得胎儿心脏横切面或长轴切面

    在胎儿静息期使用脉冲多普勒获取6-10个心脏周期

    使用超声波仪自带软件计算胎儿心率



    视频5 胎儿心率



    正常妊娠,胎儿心率自第5孕周开始从110次/分增加到第10孕周的170次/分,然后逐渐降低,到第14孕周时降低到150次/分.

    胎儿mt是什么检查什么疼吗【专题讲座】11-13周的超声检查(3)-染色体异常筛查-颈项透明层、胎儿心率_https://www.jmylbn.com_新闻资讯_第16张

    若在包括超声扫描和血清生化检查的联合筛查染色体异常胎儿的方法中加入早孕期胎儿心率(FHR)指标,对提高21和18三体胎儿的检出率影响不大,但可显著提高13三体胎儿的检出率

  • 另外,将胎儿心率(FHR)纳入考虑范围,对同样表现为NT增加、母血清游离β-hCG、 PAPP-A 降低的13三体和18三体胎儿,有重要鉴别作用

    胎儿mt是什么检查什么疼吗【专题讲座】11-13周的超声检查(3)-染色体异常筛查-颈项透明层、胎儿心率_https://www.jmylbn.com_新闻资讯_第17张




      胎儿mt是什么检查什么疼吗【专题讲座】11-13周的超声检查(3)-染色体异常筛查-颈项透明层、胎儿心率_https://www.jmylbn.com_新闻资讯_第18张



      文献来源

      胎儿mt是什么检查什么疼吗【专题讲座】11-13周的超声检查(3)-染色体异常筛查-颈项透明层、胎儿心率_https://www.jmylbn.com_新闻资讯_第19张

      1.本系列讲座转载于胎儿医学基金会网站站

      https://courses.fetalmedicine.com/fmf/show/7?locale=zh

      胎儿mt是什么检查什么疼吗【专题讲座】11-13周的超声检查(3)-染色体异常筛查-颈项透明层、胎儿心率_https://www.jmylbn.com_新闻资讯_第20张





      胎儿mt是什么检查什么疼吗【专题讲座】11-13周的超声检查(3)-染色体异常筛查-颈项透明层、胎儿心率_https://www.jmylbn.com_新闻资讯_第21张

      长按以上图片,识别图中二维码,加关注


      坚持是一种信念。专注是一种态度!


      点一下在看鼓励一下哟!胎儿mt是什么检查什么疼吗【专题讲座】11-13周的超声检查(3)-染色体异常筛查-颈项透明层、胎儿心率_https://www.jmylbn.com_新闻资讯_第22张