联磁共振是什么【内分泌糖尿病医院】AI查体联合磁共振“抓出”颅内动脉瘤

新闻资讯2026-04-24 07:03:28

一、AI查体下的意外发现

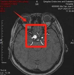
张女士自患糖尿病以来便很注重自身健康,会定期进行查体。最近,我院健康管理中心AI查体系统结合张女士上次检查时间、个人年龄等信息、专项诊疗方案、生活习惯、遗传等多方面因素,为其生成个性差异化的深度体检方案,方案中包含了头颅磁共振动脉成像检查。在检查过程中,医生在她的颅内发现了一个“不定时炸弹”——动脉瘤。这个消息如同一记重锤,让张女士及家人瞬间紧张了起来。但幸运的是,因为发现及时,张女士得以迅速接受专业治疗,解除了“静默威胁”。

联磁共振是什么【内分泌糖尿病医院】AI查体联合磁共振“抓出”颅内动脉瘤_https://www.jmylbn.com_新闻资讯_第1张

联磁共振是什么【内分泌糖尿病医院】AI查体联合磁共振“抓出”颅内动脉瘤_https://www.jmylbn.com_新闻资讯_第2张

二、什么是颅内动脉瘤?

颅内动脉瘤,简单来说,就是颅内动脉壁上局部异常扩张或薄弱形成的突起,就像血管壁上鼓起的一个小气泡。未破裂性动脉瘤可能无明显症状,但部分患者可能出现头痛、眼睑下垂、视力模糊等局部压迫症状;但颅内动脉瘤一旦破裂,会导致剧烈头痛、意识丧失、危及生命,致死、致残率极高,是脑血管病症中死亡率最高的疾病。

三、磁共振:颅内动脉瘤的侦察兵

磁共振(MRI)是一种先进的医学影像技术,它在颅内动脉瘤的诊断中发挥着重要作用。通过磁共振检查,医生可以清晰地观察到脑部动脉的走行区,发现瘤样扩张、结节样的突出,从而确诊动脉瘤与其他检查方法相比,磁共振具有无创、无辐射、分辨率高等优点,能够更准确地评估动脉瘤的大小、形态和位置,为后续的治疗提供重要依据。

四、内分泌:颅内动脉瘤的幕后推手

内分泌系统作为人体的重要调节系统,与颅内动脉瘤的形成有着千丝万缕的联系。高血压、糖尿病、甲状腺功能异常、库欣综合征等内分泌相关疾病,都是颅内动脉瘤的高危因素。这些疾病导致的血管壁损伤、炎症反应,都可能为动脉瘤的生长提供肥沃的土壤

五、内分泌视角下的健康管理

面对颅内动脉瘤这一潜在威胁,我院放射与放射介入中心的王立忠主任提醒我们:

1.定期监测:定期进行脑部及脑部血管检查,尤其是对于有高血压、糖尿病等慢性病史的人群。如磁共振血管成像(MRA)或CT血管成像(CTA)。

2.生活方式调整:均衡饮食,适量运动,戒烟限酒,保持健康的体重,这些都是维护内分泌平衡、预防动脉瘤的有效方法。

3.控制危险因素 :积极控制高血压、糖尿病等内分泌疾病。

4.心理健康:压力管理同样重要。长期的精神紧张可能加剧内分泌系统的紊乱,增加动脉瘤的风险。学会放松,保持积极乐观的心态。

5.关注症状:如果出现突发剧烈头痛、视力模糊等症状,应及时就医,以排除颅内动脉瘤破裂的可能

颅内动脉瘤是一种严重的脑血管疾病,其发生和发展可能与内分泌疾病密切相关。其虽然隐蔽,但并非不可战胜。通过磁共振的精准检测,结合内分泌专业的健康管理策略,我们可以更好地早期发现和管理这一疾病。

六、MR(核磁共振)线上自助预约

目前,医院为方便患者诊疗,开放MR(包含颅脑、鞍区、颈椎、腰椎、肩关节、膝关节、肾上腺)线上预约检查,一键预约、即到即检、智能导引、快速取片取报告

联磁共振是什么【内分泌糖尿病医院】AI查体联合磁共振“抓出”颅内动脉瘤_https://www.jmylbn.com_新闻资讯_第3张

除此之外还开放了超声(包含肝胆、甲状腺、胃肠、心脏、泌尿系)、CT(包含胸部、头部、颈部、腰椎)内镜(包含电子胃镜、电子结肠镜)、口腔全景CT、检验(包含甲型、乙型流感病毒、肺炎支原体、衣原体等)自助预约渠道,详情请关注青岛内分泌糖尿病医院微信公众号——掌上医院——自助服务——选择检验检查项目。

专家简介

联磁共振是什么【内分泌糖尿病医院】AI查体联合磁共振“抓出”颅内动脉瘤_https://www.jmylbn.com_新闻资讯_第4张

王立忠,男,主任医师。中国中西医结合学会放射专业委员会委员、山东省中西医结合学会影像学委员会常务委员、青岛市医学会影像专业分会副主任委员、青岛医学会放射与防护分会副主任委员、青岛市中西医结合学会影像学委员会委员、青岛市影像质控中心委员、青岛市公安司法鉴定特聘法医顾问。市级财政专项资金预算评审专家。青岛市医学会医疗事故技术鉴定专家库成员。青岛市放射卫生技术评审专家。1986年毕业于青岛医学院医疗系,从事影像诊断39年,具有丰富的影像学诊断经验,熟练诊断和处理各种常见病及复杂病。主编人卫著作一部,参编专著5部。在研课题一项。先后开展达到国内外先进水平的新技术和新项目十余项。