耳鼻喉内镜是什么科2024新技术新项目|鼓膜穿孔怎么办?耳鼻喉科微创内镜来修补

新闻资讯2026-04-24 06:59:55
耳鼻喉内镜是什么科2024新技术新项目|鼓膜穿孔怎么办?耳鼻喉科微创内镜来修补_https://www.jmylbn.com_新闻资讯_第1张
耳鼻喉内镜是什么科2024新技术新项目|鼓膜穿孔怎么办?耳鼻喉科微创内镜来修补_https://www.jmylbn.com_新闻资讯_第2张

医生,我鼓膜穿孔了,这可怎么办?

我会不会听不到啊?

需要手术吗?

听说还要“割开”耳朵

我不要!

……

耳鼻喉内镜是什么科2024新技术新项目|鼓膜穿孔怎么办?耳鼻喉科微创内镜来修补_https://www.jmylbn.com_新闻资讯_第3张

如果您有这方面的困惑,千万别急

大学城医院耳鼻喉科

微创内镜为您来修补~

收录于合集#新技术



耳鼻喉内镜是什么科2024新技术新项目|鼓膜穿孔怎么办?耳鼻喉科微创内镜来修补_https://www.jmylbn.com_新闻资讯_第4张

目前,我院耳鼻喉科开展耳内镜鼓膜微创修补术,通过耳内镜修补鼓膜,皮肤切口小,手术时间短、术后恢复时间快,能做到真正意义上的微创、美观,并且安全有效,帮助患者解决鼓膜穿孔等问题。

耳鼻喉内镜是什么科2024新技术新项目|鼓膜穿孔怎么办?耳鼻喉科微创内镜来修补_https://www.jmylbn.com_新闻资讯_第5张

鼓膜穿孔手术治疗的方式是鼓室成形术,其中Ⅰ型鼓室成形术也叫鼓膜修补术,传统的手术工具是显微镜,但显微镜是直线视野且视野局限,往往需要采取耳内切口或者耳后切口,手术创伤大,并且影响术后美观

耳鼻喉内镜是什么科2024新技术新项目|鼓膜穿孔怎么办?耳鼻喉科微创内镜来修补_https://www.jmylbn.com_新闻资讯_第6张

传统中耳炎显微镜下手术

耳鼻喉内镜是什么科2024新技术新项目|鼓膜穿孔怎么办?耳鼻喉科微创内镜来修补_https://www.jmylbn.com_新闻资讯_第7张

耳鼻喉科新开展的耳内镜下鼓膜修补术是运用耳内镜,通过外耳道的自然通道就可以完成手术,手术一般采用颞肌筋膜或耳屏软骨-软骨膜复合物作为修补材料,手术成功率98%以上。

手术从外耳道自然通道进入,耳廓周围没有其他手术切口,手术时间短、出血量极少,做到真正的微创、美观;术后外耳道只需轻微填塞,没有明显疼痛。

耳鼻喉内镜是什么科2024新技术新项目|鼓膜穿孔怎么办?耳鼻喉科微创内镜来修补_https://www.jmylbn.com_新闻资讯_第8张

鼓膜修补术的适应症:

耳鼻喉内镜是什么科2024新技术新项目|鼓膜穿孔怎么办?耳鼻喉科微创内镜来修补_https://www.jmylbn.com_新闻资讯_第9张

1.慢性化脓性中耳炎所致的鼓膜紧张部穿孔,干耳2个月以上,包括鼓室黏膜表面潮湿者。

2.外伤性鼓膜穿孔,经观察3个月不能自愈者。

3.鼓室内无鳞状上皮及隐匿胆脂瘤者。

4.听力检查示听骨链及两窗功能正常者。

5.咽鼓管功能良好者。

科普链接

什么是鼓膜?有什么功效和作用?

耳鼻喉内镜是什么科2024新技术新项目|鼓膜穿孔怎么办?耳鼻喉科微创内镜来修补_https://www.jmylbn.com_新闻资讯_第10张

鼓膜是一椭圆形半透明状薄膜,位于中耳鼓室和外耳道之间,是中耳的一道屏障,起到保护中耳和内耳的作用;同时在声音传导过程中起到放大声波作用。

耳鼻喉内镜是什么科2024新技术新项目|鼓膜穿孔怎么办?耳鼻喉科微创内镜来修补_https://www.jmylbn.com_新闻资讯_第11张

正常鼓膜

耳鼻喉内镜是什么科2024新技术新项目|鼓膜穿孔怎么办?耳鼻喉科微创内镜来修补_https://www.jmylbn.com_新闻资讯_第12张

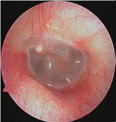
中耳炎鼓膜穿孔

鼓膜穿孔有哪些危害呢?

耳鼻喉内镜是什么科2024新技术新项目|鼓膜穿孔怎么办?耳鼻喉科微创内镜来修补_https://www.jmylbn.com_新闻资讯_第10张

鼓膜穿孔虽然不会导致耳朵全聋,但会出现程度不同的听力下降,甚至耳鸣、眩晕等,长期鼓膜穿孔容易导致中耳反复感染,出现耳流脓、听力进行性下降,严重影响生活质量,并且有继发中耳胆脂瘤的风险,严重时出现颅内外并发症,比如脑脓肿、周围性面瘫等,所以,对于保守治疗无效的鼓膜穿孔,手术治疗是非常有必要的。

耳鼻喉内镜是什么科2024新技术新项目|鼓膜穿孔怎么办?耳鼻喉科微创内镜来修补_https://www.jmylbn.com_新闻资讯_第14张

​鼓膜穿孔的原因有哪些?

耳鼻喉内镜是什么科2024新技术新项目|鼓膜穿孔怎么办?耳鼻喉科微创内镜来修补_https://www.jmylbn.com_新闻资讯_第10张
耳鼻喉内镜是什么科2024新技术新项目|鼓膜穿孔怎么办?耳鼻喉科微创内镜来修补_https://www.jmylbn.com_新闻资讯_第16张
耳鼻喉内镜是什么科2024新技术新项目|鼓膜穿孔怎么办?耳鼻喉科微创内镜来修补_https://www.jmylbn.com_新闻资讯_第17张

还在遭受鼓膜穿孔困扰的你

快来大学城医院耳鼻喉科

耳内镜下鼓膜修补术

化解你的难题!

耳鼻喉内镜是什么科2024新技术新项目|鼓膜穿孔怎么办?耳鼻喉科微创内镜来修补_https://www.jmylbn.com_新闻资讯_第18张

门诊地址:大学城医院门诊楼四楼耳鼻喉科门诊

门诊电话:0531-87203237

病房电话:0531-87200780


供稿/耳鼻喉科 冯光进 医务科 宋宁

耳鼻喉内镜是什么科2024新技术新项目|鼓膜穿孔怎么办?耳鼻喉科微创内镜来修补_https://www.jmylbn.com_新闻资讯_第19张