眼底照相有什么用同样是眼底照相,“大芒果”和“大橙子”有什么区别?

新闻资讯2026-04-24 06:11:28

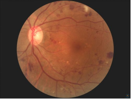
在眼科门诊,有两种眼底照相仪器,一种是免散瞳眼底照相,它的照片是这样的,像个“大橙子”。

眼底照相有什么用同样是眼底照相,“大芒果”和“大橙子”有什么区别?_https://www.jmylbn.com_新闻资讯_第1张
眼底照相有什么用同样是眼底照相,“大芒果”和“大橙子”有什么区别?_https://www.jmylbn.com_新闻资讯_第2张
眼底照相有什么用同样是眼底照相,“大芒果”和“大橙子”有什么区别?_https://www.jmylbn.com_新闻资讯_第3张


还有一种是欧堡超广角眼底激光扫描(SLO),它的照片是这样的,像个“大芒果”。

眼底照相有什么用同样是眼底照相,“大芒果”和“大橙子”有什么区别?_https://www.jmylbn.com_新闻资讯_第4张
眼底照相有什么用同样是眼底照相,“大芒果”和“大橙子”有什么区别?_https://www.jmylbn.com_新闻资讯_第5张
眼底照相有什么用同样是眼底照相,“大芒果”和“大橙子”有什么区别?_https://www.jmylbn.com_新闻资讯_第6张

很多人不禁要问,同样都是眼底照相,这俩机器拍出来的照片有什么区别呢?今天小编就为大家全方位的讲解一下。


首先二者在技术原理上是不同的:





    欧堡超广角眼底激光扫描使用特殊的扫描仪器和激光技术,就像咱们智能手机里的全景摄像一样,在人眼内定位一个虚焦点,通过这个焦点,在不散瞳的情况下一次拍照可以拍摄200°的范围,能覆盖80%的视网膜面积





免散瞳眼底照相使用数字相机和特殊的光源,正常情况下,亦不需要散瞳即可拍摄,一次拍照可获取45°范围的眼底图像,能覆盖15%的视网膜面积




其次,由于两者拍摄的视野范围不同,两者观察的重点亦不同:

欧堡超广角眼底激光扫描:能够提供广角的眼底图像,显示广泛的视网膜区域,包括周边视网膜,有助于周边视网膜疾病的筛查



眼底照相有什么用同样是眼底照相,“大芒果”和“大橙子”有什么区别?_https://www.jmylbn.com_新闻资讯_第7张
眼底照相有什么用同样是眼底照相,“大芒果”和“大橙子”有什么区别?_https://www.jmylbn.com_新闻资讯_第8张

视网膜中央静脉阻塞



免散瞳眼底照相:相对于欧堡,成像范围较窄,无法显示到周边视网膜情况,但其对后极部视网膜,特别是视盘、黄斑区的成像分辨率明显高于欧堡,故临床眼底照相有什么用同样是眼底照相,“大芒果”和“大橙子”有什么区别?_https://www.jmylbn.com_新闻资讯_第9张应用中可更好的观察视盘及黄斑区病变


眼底照相有什么用同样是眼底照相,“大芒果”和“大橙子”有什么区别?_https://www.jmylbn.com_新闻资讯_第10张

欧堡                                       免散瞳眼底照相


第三,由于两者观察重点不同,两者适用的疾病范围也有所不同。






欧堡超广角眼底激光扫描:适用于广泛的眼底疾病筛查和评估,如糖尿病视网膜病变、周边视网膜变性、周边视网膜裂孔、视网膜血管阻塞等。





免散瞳眼底照相:适用于常规的眼底检查,可用于发现和跟踪一些眼部疾病,如黄斑区疾病、视盘疾病、斜视患者拍摄视盘黄斑相对位置等,但对于周边视网膜病变的检测能力较弱。


比较了这么多,有人会问,既然欧堡这么好,为什么不让它取代免散瞳眼底照相呢。欧堡虽然拍摄范围广,但这也带来了它不可避免的缺点——周边图像失真,这和咱们手机的全景拍摄道理一样,因为咱们的眼睛是球形的,如此广角的图片把它铺平了看,周围的成像必然没有中央的清晰、真实。所以,要想更清晰的观察特定部位的病变(特别是后极部视网膜病变),还是要靠免散瞳眼底照相。

眼底照相有什么用同样是眼底照相,“大芒果”和“大橙子”有什么区别?_https://www.jmylbn.com_新闻资讯_第11张


另外,免散瞳眼底照相机还有一个功能是欧堡取代不了的,那就是“视盘立体照相”,视盘立体照相有“裸眼3D”的效果,可清晰的观察视盘的尺寸、颜色、盘沿的形态等,在青光眼风险评估上有着重要的作用。


眼底照相有什么用同样是眼底照相,“大芒果”和“大橙子”有什么区别?_https://www.jmylbn.com_新闻资讯_第12张


文字|眼科特检中心 潘玥吉

图片|网络

编辑|宣传科李倩


眼底照相有什么用同样是眼底照相,“大芒果”和“大橙子”有什么区别?_https://www.jmylbn.com_新闻资讯_第13张
眼底照相有什么用同样是眼底照相,“大芒果”和“大橙子”有什么区别?_https://www.jmylbn.com_新闻资讯_第14张
眼底照相有什么用同样是眼底照相,“大芒果”和“大橙子”有什么区别?_https://www.jmylbn.com_新闻资讯_第15张

扫码关注 了解健康知识