球囊是什么医疗器械一文看懂医用球囊技术知识

新闻资讯2026-04-24 05:10:53

球囊是什么医疗器械一文看懂医用球囊技术知识_https://www.jmylbn.com_新闻资讯_第1张

更多技术干货,请访问:医械研发专栏

http://med.anytesting.com


以下为正文:

来源:好医术心学院


关于球囊的基本概念


球囊是什么医疗器械一文看懂医用球囊技术知识_https://www.jmylbn.com_新闻资讯_第2张



球囊导管的特征


球囊是什么医疗器械一文看懂医用球囊技术知识_https://www.jmylbn.com_新闻资讯_第3张

球囊是什么医疗器械一文看懂医用球囊技术知识_https://www.jmylbn.com_新闻资讯_第4张

球囊是什么医疗器械一文看懂医用球囊技术知识_https://www.jmylbn.com_新闻资讯_第5张

球囊是什么医疗器械一文看懂医用球囊技术知识_https://www.jmylbn.com_新闻资讯_第6张

减少“鱼嘴”现象。


球囊是什么医疗器械一文看懂医用球囊技术知识_https://www.jmylbn.com_新闻资讯_第7张

不同的球囊头端设计


球囊是什么医疗器械一文看懂医用球囊技术知识_https://www.jmylbn.com_新闻资讯_第8张

不同球囊的尖端设计决定其跟踪性


球囊是什么医疗器械一文看懂医用球囊技术知识_https://www.jmylbn.com_新闻资讯_第9张

柔顺的尖端设计减少球囊通过血管弯曲处时的”鱼嘴”现象

球囊是什么医疗器械一文看懂医用球囊技术知识_https://www.jmylbn.com_新闻资讯_第10张

球囊是什么医疗器械一文看懂医用球囊技术知识_https://www.jmylbn.com_新闻资讯_第11张


球囊是什么医疗器械一文看懂医用球囊技术知识_https://www.jmylbn.com_新闻资讯_第12张

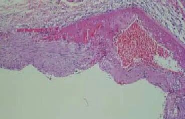
顺应性球囊易造成血管夹层


球囊是什么医疗器械一文看懂医用球囊技术知识_https://www.jmylbn.com_新闻资讯_第13张

非顺应性球囊呈均匀性扩张




球囊是什么医疗器械一文看懂医用球囊技术知识_https://www.jmylbn.com_新闻资讯_第14张

球囊是什么医疗器械一文看懂医用球囊技术知识_https://www.jmylbn.com_新闻资讯_第15张

球囊是什么医疗器械一文看懂医用球囊技术知识_https://www.jmylbn.com_新闻资讯_第16张

球囊是什么医疗器械一文看懂医用球囊技术知识_https://www.jmylbn.com_新闻资讯_第17张


球囊是什么医疗器械一文看懂医用球囊技术知识_https://www.jmylbn.com_新闻资讯_第18张


切割球囊(cutting balloon)




球囊是什么医疗器械一文看懂医用球囊技术知识_https://www.jmylbn.com_新闻资讯_第19张

cutting balloon

球囊是什么医疗器械一文看懂医用球囊技术知识_https://www.jmylbn.com_新闻资讯_第20张





球囊是什么医疗器械一文看懂医用球囊技术知识_https://www.jmylbn.com_新闻资讯_第21张


球囊是什么医疗器械一文看懂医用球囊技术知识_https://www.jmylbn.com_新闻资讯_第22张


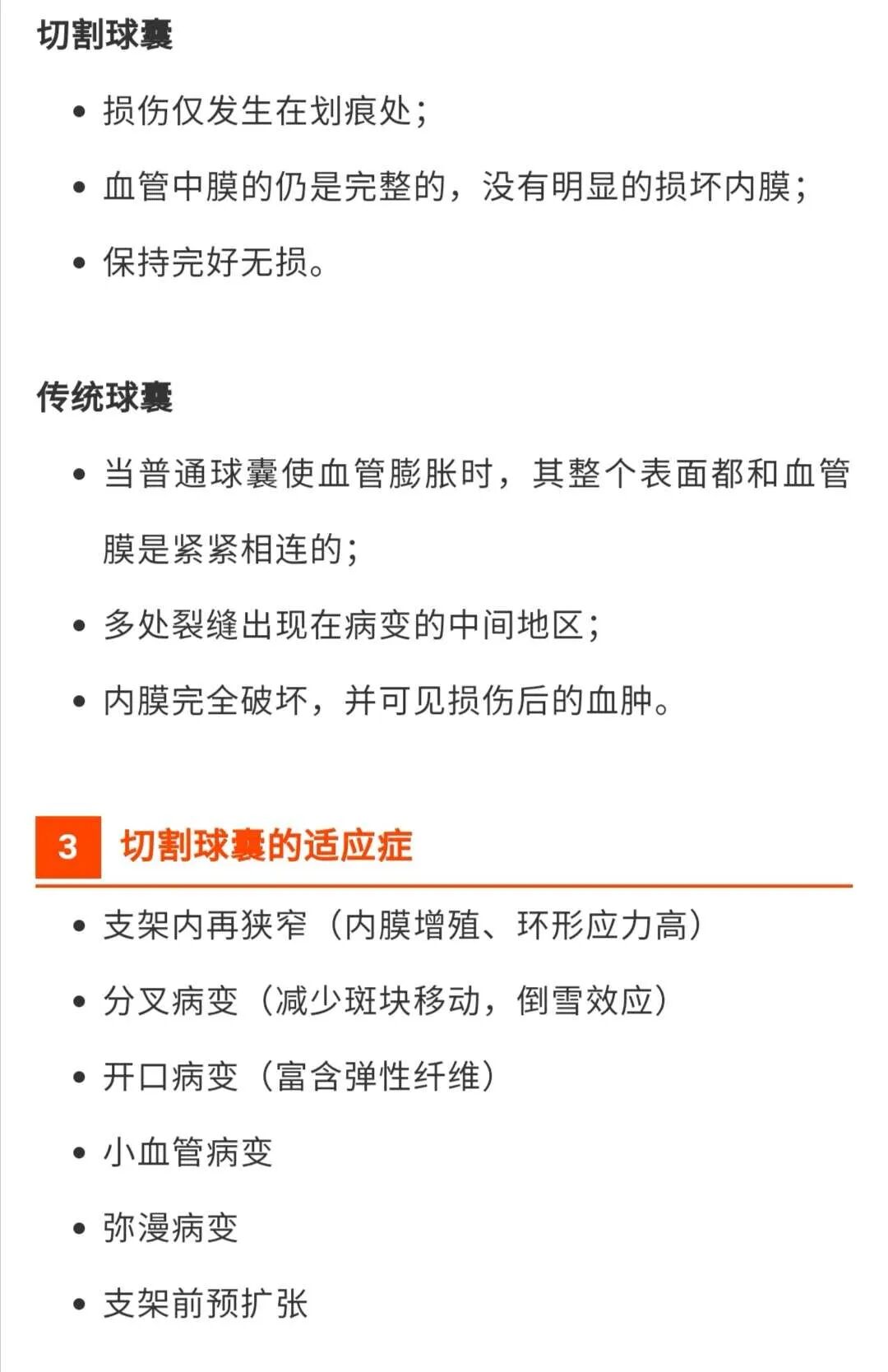
切割球囊与传统球囊的比较


球囊是什么医疗器械一文看懂医用球囊技术知识_https://www.jmylbn.com_新闻资讯_第23张
切割球囊
球囊是什么医疗器械一文看懂医用球囊技术知识_https://www.jmylbn.com_新闻资讯_第24张
传统球囊



球囊是什么医疗器械一文看懂医用球囊技术知识_https://www.jmylbn.com_新闻资讯_第25张

球囊是什么医疗器械一文看懂医用球囊技术知识_https://www.jmylbn.com_新闻资讯_第26张

球囊是什么医疗器械一文看懂医用球囊技术知识_https://www.jmylbn.com_新闻资讯_第27张


6选择大小

直径选择

  • 球囊动脉比不要超出1.1:1.0 (血管直径 ≥ 3.0 mm) 

  • 血管直径 < 3.00 mm时,1:1 更加合适

  • 如果使用IVUS, 中膜对中膜,球囊动脉比为 1:1 

长度选择 

  • 短球囊与长球囊相比更容易通过迂曲病变 

  • 可以沿病变长轴多次扩张

球囊是什么医疗器械一文看懂医用球囊技术知识_https://www.jmylbn.com_新闻资讯_第28张

(本文根据郑晓晖主任《从头学冠脉,做一台规范化的介入手术》系列直播内容整理而成,感谢作者付出!)



医用球囊研发实验

全国客服电话:4008180021


海量医械研发资料供下载:


技术文档模板(部分):

1 . 最新医疗器械ISO14971风险管理报告模板

2 . 自动液基薄层细胞制片机使用说明书模板(16页)

3 . 纸塑袋包装材料与封口工艺验证与确认方案模板.doc(10页)

4 . 纸塑包装(初包装)过程确认方案模板(24页)

5 . 植入性医疗器械现场检查表模板.doc(6页)

6 . 诊断试剂冷库验证报告模板.doc(4页)

7 . 员工技能等级评定方案模板.doc(12页)

8 . 有源医疗器械使用期限评估报告(模板)(9页)

9 . 医用软件开发和测试环境验证记录表模板.doc

10 . 医用口罩生产工艺验证方案模板.doc(22页)

11 . 医药洁净厂房验证方案模板(21页)

12 . 医疗设备设计确认(DQ)验证方案模板.doc(15页)

13 . 医疗设备3Q(安装IQ、运行OQ、性能PQ)验证方案模板.doc(34页)

14 . 医疗器械质量管理体系程序文件模板.doc(39页)

15 . 医疗器械运输包装件验证报告模板.doc(5页)

16 . 医疗器械运输包装件研究报告模板.doc(5页)

17 . 医疗器械有效期验证报告模板(有源体外诊断分析仪)(6页)

18 . 医疗器械无菌验证模板.doc(9页)

19 . 医疗器械无菌检验方法验证方案(文件模板)(11页)

20 . 医疗器械生物相容性评估报告模板(4页)

21 . 医疗器械设计转换报告模板.doc(2页)

22 . 医疗器械设计开发策划记录模板(2页)

23 . 医疗器械上市后临床跟踪控制程序模板(3页)

24 . 医疗器械软件维护项目的计划及清单(模板)9页

25 . 医疗器械软件描述文档模板(38页)

26 . 医疗器械清洗验证方案模板.doc(19页)

27 . 医疗器械企业管理者代表授权书模板

28 . 医疗器械灭菌验证方案模板(8页)

29 . 医疗器械临床评价-文献搜索筛选报告模板(4页)

30 . 医疗器械临床评价报告模板

31 . 医疗器械临床豁免报告(模板)(7页)

32 . 医疗器械立项书与设计开发计划文档模板(11文件).doc

33 . 医疗器械空调系统验证方案与报告模板.doc(20页)

34 . 医疗器械可用性报告模板(14页)

35 . 医疗器械经营质量手册模板.doc(27页)

36 . 医疗器械洁净车间验证方案与报告模板.doc(16页)

37 . 医疗器械行业洁净区空调系统验证方案模板(52页)

38 . 医疗器械供应商评估操作规程模板.doc(2页)

39 . 医疗器械工艺用水的验证和过程确认模板(8页)

40 . 医疗器械风险管理资料模板合集.doc(47页)

41 . 医疗器械风险管理危险源分析模板(11页)

42 . 医疗器械风险管理计划模板.doc(5页)

43 . 医疗器械风险管理计划模板.doc(16页)

44 . 医疗器械风险管理报告模板.doc(30页)

45 . 医疗器械风险管理报告(模板).doc(15页)

46 . 医疗器械产品有效期内稳定性研究报告模板(13页)

47 . 医疗器械产品技术要求编号模板.doc(1页)

48 . 医疗器械产品包装验证报告模板(20页)

49 . 医疗器械包装验证方案模板(23页)

50 . 医疗器械包装完整性研究报告模板(9页)

51 . 一次性使用治疗头UV胶粘接固化验证方案模板.doc(8页)

52 . 一次性使用医用口罩、医用外科口罩产品包装验证模板(22页)

53 . 一次性内窥镜产品技术要求模板.doc(8页)

54 . 药物长期、中期及加速稳定性研究方案模板.doc(10页)

55 . 药企温湿度自动监测系统验证报告模板.doc(8页)

56 . 药品工艺再验证方案模板.doc(30页)

57 . 研发项目管理工具与模板.ppt(134页)

58 . 研发部资料管理制度模板.doc(5页)

59 . 新版医疗器械风险管理报告示例模板(24页)

60 . 新版实验室质量手册模板

61 . 新版MDR_CE技术文件控制程序模板.doc(7页)

62 . 消毒剂验证资料模板.doc(5页)

63 . 消毒剂验证方案与验证报告模板(2页)

64 . 消毒剂消毒效力及有效期确认验证方案模板.doc(18页)

65 . 项目管理模板(10页)

66 . 无菌工作服清洗消毒效果确认报告(模板)26页

67 . 同品种医疗器械临床试验数据分析评价报告模板(13页)

68 . 舒友电子的产品有效期和包装研究报告模板(28页)

69 . 实验室对比实验报告模板

70 . 生产企业质量协议模板(5页)

71 . 申报医疗器械与免临床目录产品对比说明模板(7页)

72 . 设计开发表格表单模板(36页)

73 . 设备清洁验证方案模板(通过GMP认证的,带风险评估).doc(12页)

74 . 全自动C型口罩机验证方案模板.doc(14页)

75 . 全套医疗器械设计和开发资料(模板可修改).doc(95页)

76 . 全套医疗器械开发文件模板(161页)

77 . 清洁检验评估模板.doc(2页)

78 . 平板式沉降离心机验证方案模板.doc(14页)

79 . 漂亮实用的质量月报PPT模板.ppt(23页)

80 . 欧盟医疗器械法规MDR技术文件模板.doc(19页)

81 . 铝塑包装机设备验证报告模板(7页)

82 . 冷冻减脂塑形仪定期安全性更新报告模板.doc(16页)

83 . 口罩带焊接机验证方案模板.doc(8页)

84 . 空压机验证方案模板.doc(17页)

85 . 净化器整机检验性能测试报告模板(2页)

86 . 洁净室空调净化系统验证方案模板.doc(41页)

87 . 洁净区人员数量验证方案模板(14页)

88 . 洁净区人员上限验证文件模板(6页)

89 . 洁净车间臭氧消毒系统验证方案模板(30页)

90 . 环氧乙烷灭菌确认方案模板.doc(57页)

91 . 环氧乙烷灭菌解析工艺验证方案模板(6页)

92 . 华为硬件详细设计模板.doc(29页)

93 . 华为项目管理计划和关键点模板培训教材.ppt(21页)

94 . 红外额式体温计综述资料模板.doc(8页)

95 . 红外额式体温计包装验证报告模板.doc(10页)

96 . 国产第三类医疗器械首次注册申报资料模板(98页)

97 . 工艺验证方案模板(3页)

98 . 工艺验证报告模板.doc(10页)

99 . 高效液相色谱仪设备验证风险评估方案模板.doc(15页)

100 . 分子筛制氧机技术要求模板(3页)

101 . 仿制药开发模板实例

102 . 电热鼓风干燥箱验证方案模板.doc(22页)

103 . 第一类医体外诊断试剂临床评价模板.doc(8页)

104 . 第一类医疗器械产品说明书模板.doc(3页)

105 . 第一类医疗器械产品生产制造信息模板.doc(7页)

106 . 第一类医疗器械产品风险管理报告模板.doc(10页)

107 . 带风险评估塑瓶生产线药液过滤系统验证方案模板.doc(18页)

108 . 带风险分析的干热灭菌烘箱验证方案模板.doc(13页)

109 . 纯化水验证报告模板.doc(9页)

110 . 纯化水系统维护保养规程模板.doc(6页)

111 . 纯化水微生物限度检查标准操作规程模板.doc(5页)

112 . 纯化水设备运行记录(模板).doc

113 . 纯化水检测标准操作规程模板.doc(7页)

114 . 超声波清洗机设备安装、运行及性能验证报告模板(8页)

115 . 产品返工作业指导书模板(2页)

116 . 编号批号管理制度模板(3页)

117 . YY/T0287-2017版医疗器械质量手册模板(61页)

118 . XX实验室质量手册模板(依据CNASCL012018编制)79页

119 . UV固化作业标准规范模板.doc(5页)

120 . MSDS化学品安全说明书经典模板

121 . MDR法规下的医疗器械上市后监督控制程序模板(15页)

122 . MDCGAug-20MDR要求下的PMCF上市后临床评价报告模板(10页)

123 . MDCGJul-20MDR要求下的PMCF上市后临床评价计划模板(12页)

124 . MDCG2020-13MDR临床评估报告模板(31页)

125 . ISO27001-2013信息安全体系全套文件模板(完整版)word版

126 . ISO14971医疗器械风险管理模板.doc(7页)

127 . ISO13485最新版医疗器械质量手册模板.doc(85页)

128 . ISO13485:2016医疗器械质量手册模板(35页)

129 . ISO/IEC17025:2017认可实验室质量手册模板.doc(6页)

130 . ISO13485-2016部门人员职责权限控制程序(模板)14页

131 . GSP高风险医疗器械经营企业体系制度文件全套模板(含表格记录).doc(33页)

132 . GB9706.1医用电气设备-安全通用要求-试验模板.doc(32页)

133 . GB25000.51-2016医疗器械产品技术要求模板.doc(29页)

134 . DOE实验设计模板.xls

135 . 2021年医疗器械灭菌确认方案模板(20页)

136 . 《产品可行性分析报告》模板(4页)


培训讲义(部分):

137 . 创新医疗器械特别审批注意事项培训PPT(70页)

138 . 研发质量管理基础培训PPT(24页)

139 . 华为研发需求与设计工程文档写作培训(含模版).ppt(90页)

140 . 如何为植入性医疗器械设计有效的临床前动物功效性实验.ppt(25页)

141 . 医疗器械临床试验方案设计要点解析培训PPT(24页)

142 . 医疗器械:现代骨水泥技术.ppt(43页)

143 . 医疗器械软件合规培训PPT(232页)

144 . 医疗器械注册检验法规及问题分析培训PPT(26页)

145 . 有创呼吸机的原理、构造与常见技术问题.ppt(78页)

146 . 华为热设计培训PPT(92页)

147 . 计算机断层摄像(CT)基本知识简介.ppt(101页)

148 . 医用水凝胶的设计、制备与测试.ppt(44页)

149 . 医疗器械临床试验操作流程培训PPT(23页)

150 . 医疗器械验证与确认的要点培训PPT(45页)

151 . 可靠性工程技术.ppt(80页)

152 . DFMEA开发与制作.ppt(53页)

153 . 医疗器械临床试验参与方及职责精解PPT(26页)

154 . 如何进行原料药的研发.ppt(77页)

155 . 工装夹具检具设计培训讲义PPT(80页)

156 . 研发项目管理工具与模板.ppt(134页)

157 . PCBA电路板级可靠性设计(单板、元器件).ppt(25页)

158 . 医疗器械临床试验基础知识培训PPT(18页)

159 . 无源植入性医疗器械注册申报存在问题PPT(41页)

160 . 应力腐蚀与氢脆的分析判断培训PPT(77页)

161 . 医疗器械说明书和标签管理培训PPT(27页)

162 . 医疗器械软件确认培训PPT(131页)

163 . 医疗器械设计开发管理培训课件.ppt(40页)

164 . 生物与医用材料研发上市全过程.ppt(10页)

165 . 额温枪产品手册(实例).ppt(9页)

166 . 光学薄膜基本工艺讲义PPT(114页)

167 . 认识汽车电路图PPT(47页)

168 . 体外诊断试剂设计开发到上市培训PPT(191页)

169 . 无菌医疗包装理论与实践培训PPT(18页)

170 . 常见齿轮的失效形式.ppt(9页)

171 . 注射成型原理.ppt(8页)

172 . 材料性能测定方法.ppt(33页)

173 . TPE和TPR的区别PPT(14页)

174 . 揭开白油神秘的面纱PPT(9页)

175 . 原料药工艺研发与控制.ppt(90页)

176 . CLSI文件中精密度与正确度评价涉及的统计学问题PPT(141页)

177 . 体外诊断试剂临床试验的统计学考虑PPT(48页)

178 . 体外诊断试剂临床相关要求PPT(174页)

179 . 失效分析的思路和方法.ppt(19页)

180 . 产品开发流程PPT(12页)

181 . 医疗器械生物学评价技术PPT(71页)

182 . 医学统计方法的正确选择.ppt(29页)

183 . 医用高分子材料及其应用PPT(24页)

184 . 医用金属材料PPT(21页)

185 . 耐辐照高分子材料研究PPT(17页)

186 . 经典的可靠性强化试验实施流程培训教材.ppt(88页)

187 . 有源医疗器械安规三项检测.ppt(15页)

188 . 硬件测试技术培训PPT(120页)

189 . 华为工艺可靠性设计方法与实践.ppt(71页)

190 . 高分子介入导管的加工工艺PPT(30页)

191 . 材料的介电性能.ppt(66页)

192 . 佛罗里达探针.ppt(15页)

193 . 材料的热学性能与测试方法.ppt(46页)

194 . 医械研发不锈钢材料&特种合金材料.ppt(15页)

195 . 材料的弹性与阻尼性能.ppt(44页)

196 . 医疗器械生物安全性培训PPT(56页)

197 . 金属材料的拉伸和压缩实验.ppt(17页)

198 . 高分子材料学.ppt(35页)

199 . CDE一致性评价药学研制、生产现场检查要求PPT(26页)

200 . CDE一致性评价品种说明书撰写与审核PPT(22页)

201 . CDE仿制药口服固体制剂质量与疗效一致性评价药学审评案例分析PPT(58页)

202 . CDE仿制药口服固体制剂质量和疗效一致性评价药学研究关键技术要求和常见问题PPT(31页)

203 . 体外诊断试剂相关性能指标的操作.ppt(22张)

204 . 史上最全金属材料与制品知识.ppt(300页)

205 . PCB的十大可靠性测试.ppt(11页)

206 . 医疗器械技术评审中心的生物学评价课件PPT(41页)

207 . 医疗器械软件体系的建立及核查要点PPT(47页)

208 . 医疗器械唯一标识数据库实现UDI汇聚与共享培训PPT(43页)

209 . 医疗器械唯一标识系统相关标准公益培训PPT(34页)

210 . 研发质量管理培训PPT(120页)

211 . 研发人员的考核与激励.ppt(136页)

212 . 医用钛合金材料的表面改性.ppt(18页)

213 . 锡须的成因、预防与检测知识汇总.ppt(27页)

214 . 经典!硬件测试培训PPT(82页)

215 . DFMA面向制造和装配的产品设计.ppt(30页)

216 . 设计失效分析DFMEA经典案例剖析.ppt(41页)

217 . 塑胶件的测试方法.ppt(25页)

218 . 药品分析方法的验证和确认.ppt(69页)

219 . 一组图看懂生物可降解材料.ppt(20页)

220 . 医用无机材料.ppt(92页)

221 . 电子连接器可靠性测试方法PPT(43页)

222 . 机械产品失效分析.ppt(26页)

223 . GB9706.1-2007医用电气设备第1部分:安全通用要求培训PPT(124页)

224 . 药品一般鉴别试验.ppt(32页)

225 . 材料老化测试培训PPT(36页)

226 . MiniTab最经典最全面的操作教程.ppt(96页)

227 . 骨科用植入物评价技术.ppt(37页)

228 . 环境应力筛选试验.ppt(32页)

229 . 新药研发与设计过程.ppt(29页)

230 . 密封件与密封知识培训.ppt(97页)

231 . 医用金属材料技术知识.ppt(73页)

232 . 图解HALT试验全过程.ppt(18张)

233 . 生物可降解支架的研究进展.ppt(24页)

234 . 药物制剂稳定性知识汇总.ppt(106页)

235 . 奇瑞汽车整车开发流程.ppt

236 . 医用硅橡胶技术知识.ppt

237 . 腐蚀失效分析培训.ppt

238 . 化学原料药工艺研发和工艺验证.ppt

239 . 开关电源32项常规检测项目与方法.ppt

240 . 磨损失效分析培训PPT

241 . 可靠性测试与失效分析培训PPT

242 . 药物一般鉴别试验.ppt

243 . 药物降解途径机理分析培训.ppt

244 . 血管支架的设计、生产与测试.ppt

245 . 金属和陶瓷材料的强化与韧化培训PPT

246 . 故障树分析FaultTreeAnalysis(FTA)培训PPT

247 . 医药研发分析方法验证流程培训PPT

248 . BOM物料清单培训与应用PPT

249 . 医疗器械设计开发过程控制培训PPT

250 . 研发项目管理—IPD流程管理.ppt

251 . 电子血压计产品设计趋势.ppt

252 . 创新药研发流程培训.ppt

253 . 研发管理流程规范.ppt

254 . 如何顺利通过电磁兼容测试.ppt

255 . 新型医用高分子材料解析.ppt

256 . 新法规下的医疗器械设计与开发.ppt

257 . 电子元器件失效分析技术.ppt

258 . 医疗器械研发的三个层次.ppt

259 . 医用金属材料知识简介PPT

260 . 封装可靠性与失效分析培训PPT

261 . 医用包装材料验证试验方法培训PPT

262 . 医药研发原始记录常见问题与规范PPT

263 . 高分子材料的常规力学性能与测试PPT

264 . 医疗器械产品开发过程的合规性保证培训PPT

265 . 生物相容性及生物学评价培训PPT

266 . 产品研发流程中的测试培训PPT

267 . 医疗器械从研发到上市要面临的三大门槛PPT(45页)

268 . YY0165-2016热垫式治疗仪培训.ppt(11页)

269 . 医疗器械电磁兼容YY0505-2012标准培训PPT(20页)

270 . 医疗器械UDI培训PPT(20页)

271 . 金属材料海洋大气腐蚀性能测试方法培训PPT(91页)

272 . IEC60601-1:2012医用电气设备安全通用要求检测项目及产品结构要求培训PPT(62页)

273 . YY/T0316idtISO14971:2007医疗器械风险管理培训.ppt(173页)

274 . 无源医疗器械产品说明书和标签培训.ppt(24页)

275 . 有源医疗器械临床评价常见问题解析培训PPT(82页)

276 . WEEE/RoHS指令培训.ppt(74页)

277 . 《IEC60601-1:2012医用电气设备第1部分:基本安全和基本性能的通用要求》培训PPT(78页)

278 . 2019版14971医疗器械风险管理与2007版的区别培训PPT(29页)

279 . GB9706.1-2020医用电气设备标准体系介绍PPT(27页)

280 . 医疗器械注册项目立卷审查要点培训PPT(18页)

281 . 电动升降桌UL962测试项目与要求培训PPT(22页)

282 . 《医疗器械生产质量管理规范》检查内容与检查要点讲解.ppt(128页)

283 . 医疗器械注册管理办法培训PPT(下)39页

284 . 医疗器械注册管理办法培训PPT(中)33页

285 . 轻合金表面涂层耐蚀性检测试验方法培训PPT(87页)

286 . 医疗器械生产质量管理规范培训.ppt(205页)

287 . ISO14971:2019医疗器械风险管理培训.ppt(20页)

288 . 医疗器械经营管理规范培训PPT(44页)

289 . 植入性医疗器械新规解读培训.ppt(267页)

290 . 医疗器械注册管理办法培训PPT(上)26页

291 . 医疗器械临床试验质量管理规范精解(上).ppt(24页)

292 . 医疗器械产品技术要求编写指导原则培训PPT(38页)

293 . 中国医疗器械GMP培训PPT(213页)

294 . 医疗器械不良事件监测及再评价解读(上)PPT(18页)

295 . 医疗器械产品技术要求培训PPT(29页)

296 . 医疗器械注册体考热点与变化解读培训PPT(40页)

297 . 医疗器械企业管理者代表要点讲解PPT(14页)

298 . 医疗器械唯一标识UDI培训PPT(20页)

299 . ISO14971:2019医疗器械风险管理与2007版的区别PPT(29页)

300 . 定制式医疗器械监督管理规定培训PPT(22页)

301 . 医疗器械注册人制度分析及实务培训PPT(26页)

302 . 医疗器械质量管理规范培训(第一、二章总则&机构人员).ppt(48页)

303 . 医疗器械分类目录培训PPT(62页)

304 . 医疗器械附条件批准上市指导原则解读PPT(16页)

305 . 医疗器械注册申报资料相关要求及注意事项.ppt(53页)

306 . 化学药品注册流程简介.ppt(19页)

307 . 医疗器械不良事件监测法规培训.ppt(71页)

308 . GB9706.1-2007医用电气设备第一部分:安全通用要求培训PPT(132页)

309 . ISO13485:2016医疗器械质量管理体系用于法规的要求标准培训.ppt(190页)

310 . 细菌内毒素检测.ppt(31页)

311 . FMEA2019版培训讲义PPT(149页)

312 . 医疗器械质量管理体系YY/T0287-2017与YY/T0287-2003详细变化内容对比.ppt(14页)

313 . 医疗器械安全监管培训PPT

314 . 医疗器械和IVD产品的俄罗斯注册现行程序培训PPT(49页)

315 . 《医疗器械监督管理条例》(-680号-)普及培训课件.ppt(57页)

316 . GB4706.1-2005《家用和类似用途电器的安全通用要求》标准培训.ppt

317 . GB9706.1-2007医用电气设备第1部分:安全通用要求例行试验培训.ppt(68页)

318 . 国抽中有源医疗器械说明书标签相关问题.ppt(134页)

319 . 医疗器械飞行检查中的常见问题及案例分析.ppt(61页)

320 . ISO45001-2018职业健康安全管理体系标准内审员培训教材.ppt(105页)

321 . 医疗器械唯一标识(UDI)专题培训PPT(120页)

322 . 医疗器械注册申报概述-魏孝林201910.ppt(28页)

323 . 器审中心2019年8月医疗器械软件审评指导原则解读培训PPT(9份)

324 . 晶型药物的检测方法.ppt(37页)

325 . 医疗器械遗传毒性试验.ppt(39页)

326 . 欧洲医疗器械法规(MDR/MDD)培训.ppt(44页)

327 . HACCP培训讲义.ppt(80页)

328 . 广东省医疗器械注册评审问题分析PPT(73页)

329 . 医疗器械唯一标识UDI培训课件PPT(41页)

330 . 最终灭菌医疗器械质量要求与检测.ppt(22页)

331 . 有害物质过程管理体系QC080000:2017标准讲解.ppt(65页)

332 . 医疗器械法规架构.ppt(18页)

333 . 药物含量测定技术.ppt(82页)

334 . 材料电导率的测定.ppt(25页)

335 . 包装测试培训PPT(19页)

336 . 电镀层厚度测量方法.ppt(13页)

337 . 正弦振动试验.ppt(39页)

338 . 药典与药品标准的正确使用分解.ppt(53页)

339 . 导热系数的测定方法.ppt(28页)

340 . 医疗器械常识与医疗器械监管知识.ppt

341 . 中国药典凡例.ppt

342 . 金属材料的硬度及测试方法.ppt

343 . 医疗器械常见的理化性能要求及检测.ppt

344 . 铝箔、铜箔的检测项目与方法.ppt

345 . 一次性医疗器械的化学检验.ppt

346 . 最终灭菌医械包装的质量要求与检测方法.ppt

347 . 血管支架系统临床前研究申报资料准备技巧PPT

348 . 电阻率、介电强度测试.ppt

349 . 标准化基础知识PPT

350 . 医疗器械纯化水和微粒污染检测培训.ppt

351 . 塑料材料性能及检测讲义培训.ppt

352 . 焊点检测方法培训.ppt

353 . 医疗器械环氧乙烷残留量气相色谱分析方法.ppt

354 . 药品检测基础知识.ppt

355 . 防水防尘等级及测试方法.ppt

356 . 医疗器械注册的流程步骤方法培训PPT

357 . 医疗器械风险管理培训PPT

358 . 医疗器械质量控制与成品放行要点解析PPT(12页)

359 . 医疗器械飞行检查常见问题分析及解决办法PPT(34页)

360 . GMP迎检技巧培训PPT(90页)


建议使用电脑搜索资料名称下载:


球囊是什么医疗器械一文看懂医用球囊技术知识_https://www.jmylbn.com_新闻资讯_第29张


下载地址

http://www.anytesting.com/data/c-14.html

球囊是什么医疗器械一文看懂医用球囊技术知识_https://www.jmylbn.com_新闻资讯_第30张