牙胶尖什么颜色正确选择处理主牙胶尖

新闻资讯2026-04-24 05:06:04

点击蓝字

牙胶尖什么颜色正确选择处理主牙胶尖_https://www.jmylbn.com_新闻资讯_第1张

关注我们


       根据对牙胶的加压方式不同分:侧方加压和垂直加压,根据牙胶的温度不同分为:冷牙胶充填和热牙胶充填,不管哪种加压和充填方式都是牙胶为主封闭剂为辅;


     牙胶尖充填根管的主体部分,封闭剂只是用来弥补牙胶的收缩,填补牙胶尖和牙胶尖之间的缝隙,同时也起到牙胶在根管中润滑的作用;


      在热牙胶垂直加压的根管充填中封闭剂就用的更少了,只是主尖的尖端蘸一点,在以牙胶为主的充填过程中主牙胶尖的选择就显得更加重要了,不但要能充填根管的主体部分而且要严密封闭根管的根尖狭窄部,既要达到封闭严密又要防止超填。

一 主尖选择原则

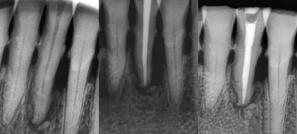
首选锥度等于或稍小于主锉,粗细型号等同于主锉,比如主锉首选6%25#,如果粗了选择6%20#,如果细了选择6%30#。主尖合适后在尖端3mm要有牵拉感,而且施加合适的力量主尖也不会超出狭窄部。


牙胶尖什么颜色正确选择处理主牙胶尖_https://www.jmylbn.com_新闻资讯_第2张

牙胶尖什么颜色正确选择处理主牙胶尖_https://www.jmylbn.com_新闻资讯_第3张

牙胶尖什么颜色正确选择处理主牙胶尖_https://www.jmylbn.com_新闻资讯_第4张

牙胶尖什么颜色正确选择处理主牙胶尖_https://www.jmylbn.com_新闻资讯_第5张


二 主尖的修切:

接上边例子如果主尖是21-24#或26-29#就需要自己制作主尖了,要用手术刀切不能用剪刀剪,切出来的断面是圆的,剪出来的断面是扁的。


牙胶尖什么颜色正确选择处理主牙胶尖_https://www.jmylbn.com_新闻资讯_第6张

牙胶尖什么颜色正确选择处理主牙胶尖_https://www.jmylbn.com_新闻资讯_第7张

牙胶尖什么颜色正确选择处理主牙胶尖_https://www.jmylbn.com_新闻资讯_第8张

牙胶尖什么颜色正确选择处理主牙胶尖_https://www.jmylbn.com_新闻资讯_第9张


三 主尖定做:

主尖修切好后为了主尖断面锋利的边缘变圆滑,也为了主尖的尖端更好的适应根尖达到更好的封闭狭窄部,可以用修切后的主尖尖端在氯仿或热水中蘸一下后快速插入工作长度让软化的尖端适合根管情况,相当于定做的主尖,密封效果会更好。


牙胶尖什么颜色正确选择处理主牙胶尖_https://www.jmylbn.com_新闻资讯_第10张

牙胶尖什么颜色正确选择处理主牙胶尖_https://www.jmylbn.com_新闻资讯_第11张

四 主尖消毒:

试好后的主尖经X片评价合适后要放入2.5%的次氯酸钠中消毒备用,一般3分钟就可以达到消毒标准,然后充填时用气枪吹干,不能用棉球或纱布擦。

牙胶尖什么颜色正确选择处理主牙胶尖_https://www.jmylbn.com_新闻资讯_第12张


五 根管湿润下试主尖:

因为真正根管充填时由于有封闭剂根管是湿润的,所以试主尖时根管也不要彻底干燥,通过临床中发现同样的根管同样的主尖在根管干燥和湿润下主尖进入的深度不一样。

六 主尖的质量:

不同品牌的牙胶尖不光在价格上有区别,在锥度和尖端直径的精确度上也是有区别的,另牙胶尖也是有保质期的,时间过了保质期的牙胶尖缺乏韧性,试主尖过程中容易断在根管内。


牙胶尖什么颜色正确选择处理主牙胶尖_https://www.jmylbn.com_新闻资讯_第13张

牙胶尖什么颜色正确选择处理主牙胶尖_https://www.jmylbn.com_新闻资讯_第14张



牙胶尖什么颜色正确选择处理主牙胶尖_https://www.jmylbn.com_新闻资讯_第15张

有技术提升需求的牙医恭喜了!口腔全科医师成长计划


往期推荐



图解口腔种植翻瓣术切开步骤!

牙根内吸收的处理

热牙胶充填术操作全图解

楔状缺损的充填技巧

支抗钉植入后可能发生的问题及处理

下颌阻生齿的几种临床分类

根管总是渗血的经验处理方法

七种常用口腔阻滞麻醉的方法大全

根管预备成功的几个关键点

前牙全瓷冠牙体预备


更多精彩内容,请关注我们
牙胶尖什么颜色正确选择处理主牙胶尖_https://www.jmylbn.com_新闻资讯_第16张

牙胶尖什么颜色正确选择处理主牙胶尖_https://www.jmylbn.com_新闻资讯_第17张

近期由于微信改变了规则,不再按时间顺序推送。如果您不点“在看”,以后可能刷不到我们的推送了。现在只要您的一个“在看”,我们就不会失散!马上动动手指点一下吧~

牙胶尖什么颜色正确选择处理主牙胶尖_https://www.jmylbn.com_新闻资讯_第18张
点分享
牙胶尖什么颜色正确选择处理主牙胶尖_https://www.jmylbn.com_新闻资讯_第19张
点收藏
牙胶尖什么颜色正确选择处理主牙胶尖_https://www.jmylbn.com_新闻资讯_第20张
点点赞
牙胶尖什么颜色正确选择处理主牙胶尖_https://www.jmylbn.com_新闻资讯_第21张
点在看