氦氩刀是什么【航医说医】“冻死”肿瘤--氩氦刀冷冻消融技术,肿瘤治疗新选择

新闻资讯2026-04-24 04:21:47

氦氩刀是什么【航医说医】“冻死”肿瘤--氩氦刀冷冻消融技术,肿瘤治疗新选择_https://www.jmylbn.com_新闻资讯_第1张




“冻死”肿瘤

氩氦刀冷冻消融技术  肿瘤治疗新选择


氦氩刀是什么【航医说医】“冻死”肿瘤--氩氦刀冷冻消融技术,肿瘤治疗新选择_https://www.jmylbn.com_新闻资讯_第2张
氦氩刀是什么【航医说医】“冻死”肿瘤--氩氦刀冷冻消融技术,肿瘤治疗新选择_https://www.jmylbn.com_新闻资讯_第3张
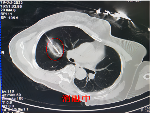
氦氩刀是什么【航医说医】“冻死”肿瘤--氩氦刀冷冻消融技术,肿瘤治疗新选择_https://www.jmylbn.com_新闻资讯_第4张

通过将一根1.7-3毫米的中空钢针,穿刺进入肿瘤,先注入氩气,迅速降温至-160摄氏度,冰冻肿瘤数分钟,再注入氦气,快速升温至20-30摄氏度,让肿瘤细胞在短时间内经历“冰火两重天”而破裂损毁。或许这听起来有点匪夷所思!这就是氩氦刀冷冻消融技术。

氩氦刀冷冻消融技术小课堂开讲啦!

贵州航天医院呼吸与危重症医学科四病区负责人周裕祥




氩氦刀冷冻消融技术治疗过程?

氦氩刀是什么【航医说医】“冻死”肿瘤--氩氦刀冷冻消融技术,肿瘤治疗新选择_https://www.jmylbn.com_新闻资讯_第5张

氦氩刀是什么【航医说医】“冻死”肿瘤--氩氦刀冷冻消融技术,肿瘤治疗新选择_https://www.jmylbn.com_新闻资讯_第6张

氦氩刀是什么【航医说医】“冻死”肿瘤--氩氦刀冷冻消融技术,肿瘤治疗新选择_https://www.jmylbn.com_新闻资讯_第7张

氦氩刀是什么【航医说医】“冻死”肿瘤--氩氦刀冷冻消融技术,肿瘤治疗新选择_https://www.jmylbn.com_新闻资讯_第8张

氦氩刀是什么【航医说医】“冻死”肿瘤--氩氦刀冷冻消融技术,肿瘤治疗新选择_https://www.jmylbn.com_新闻资讯_第9张




氩氦刀冷冻消融技术适用范围?
氩氦刀对于以下特殊情况的患者尤为适用:
* 无法通过手术切除的中晚期肿瘤患者。
* 因年龄较大、身体虚弱等原因不适合手术的肿瘤患者。
* 不愿意承受化放疗副作用或存在化放疗、介入治疗效果不佳的肿瘤患者。
氦氩刀是什么【航医说医】“冻死”肿瘤--氩氦刀冷冻消融技术,肿瘤治疗新选择_https://www.jmylbn.com_新闻资讯_第10张


氩氦刀冷冻消融技术优势?
氩氦刀可单独施行,也可与化放疗或手术疗法结合。
氦氩刀是什么【航医说医】“冻死”肿瘤--氩氦刀冷冻消融技术,肿瘤治疗新选择_https://www.jmylbn.com_新闻资讯_第11张治疗时间短。治疗通常在30分钟左右完成。
氦氩刀是什么【航医说医】“冻死”肿瘤--氩氦刀冷冻消融技术,肿瘤治疗新选择_https://www.jmylbn.com_新闻资讯_第12张微创治疗。在局部麻醉下,通过超声、CT等仪器引导或者直视下操作,使用粗细如牙签的冷冻探针穿刺至肿瘤组织,因手术范围仅局限于病灶,所以临近正常组织损伤较小,手术并发症少、创伤小、痛苦小、恢复快。
氦氩刀是什么【航医说医】“冻死”肿瘤--氩氦刀冷冻消融技术,肿瘤治疗新选择_https://www.jmylbn.com_新闻资讯_第12张精准治疗。整个治疗过程由计算机全程监控,并实时监测温度,根据治疗需要实时控制冷冻温度。
氦氩刀是什么【航医说医】“冻死”肿瘤--氩氦刀冷冻消融技术,肿瘤治疗新选择_https://www.jmylbn.com_新闻资讯_第12张可重复治疗。由于冷冻治疗对身体的创伤和痛苦较小,可以多次重复进行治疗,这对巨大的肿瘤和多发的肿瘤尤其适用。
氦氩刀是什么【航医说医】“冻死”肿瘤--氩氦刀冷冻消融技术,肿瘤治疗新选择_https://www.jmylbn.com_新闻资讯_第12张无毒性治疗。冷冻治疗是以物理方法杀灭肿瘤,不向体内注射任何药物,避免外科手术、化放疗等对身体带来的巨大创伤和毒副作用,能有效减轻患者肿瘤负荷和痛苦,因此与化放疗、分子靶向药物等治疗方式相比属于无毒治疗。


术后温馨提示

肿瘤在进行冷冻消融后,冷冻区域的“病灶”可能会显示扩大,这是正常的病理变化,只要术后按期随访观察,一般情况下,半年至一年内会吸收完全。



就医咨询

如果您需要氩氦刀冷冻消融治疗服务,一定要到正规医院接受规范的治疗,更不要“谈癌色变”,轻易放弃治疗。
贵州航天医院在呼吸内镜下介入冷冻治疗方面已经达到国内领先水平,并得到了国际学术组织的认可,被授予“亚洲冷冻治疗学会呼吸内镜示范单位”称号,是遵义市呼吸疾病临床医学中心,有需求的患者可来院咨询。


氦氩刀是什么【航医说医】“冻死”肿瘤--氩氦刀冷冻消融技术,肿瘤治疗新选择_https://www.jmylbn.com_新闻资讯_第16张

氦氩刀是什么【航医说医】“冻死”肿瘤--氩氦刀冷冻消融技术,肿瘤治疗新选择_https://www.jmylbn.com_新闻资讯_第17张


咨询电话:

(一)呼吸与危重症医学科一病区
医生办公室:27677317
护士站:28614217
(二)呼吸与危重症医学科二病区
医生办公室:28691274
护士站:28690442
(三)呼吸与危重症医学科三病区
医生办公室:28692417
护士站:28690461
(四)呼吸与危重症医学科四病区
医生办公室:28616402
护士站:28614987


氦氩刀是什么【航医说医】“冻死”肿瘤--氩氦刀冷冻消融技术,肿瘤治疗新选择_https://www.jmylbn.com_新闻资讯_第18张



推荐阅读,请点击以下链接
氦氩刀是什么【航医说医】“冻死”肿瘤--氩氦刀冷冻消融技术,肿瘤治疗新选择_https://www.jmylbn.com_新闻资讯_第19张

1.【航医前沿】贵州航天医院获“亚洲冷冻治疗学会呼吸内镜示范单位”授牌

2.【航医关爱】航医再启“全院一张床”,流感肺炎儿童住院有保障

3.【航医喜报】热烈祝贺!我院荣获中国人体健康科技促进会首批“呼吸介入技术培训基地”,全国10家!【航医新闻】医路同行,肿瘤患者的温暖大本营——贵州航天医院普外科肿瘤患者联谊会

4.【航医专科】无创经皮胫神经电刺激,“电醒”沉睡的膀胱,遵义市首家!


氦氩刀是什么【航医说医】“冻死”肿瘤--氩氦刀冷冻消融技术,肿瘤治疗新选择_https://www.jmylbn.com_新闻资讯_第20张

呼吸与危重症医学科简介

氦氩刀是什么【航医说医】“冻死”肿瘤--氩氦刀冷冻消融技术,肿瘤治疗新选择_https://www.jmylbn.com_新闻资讯_第21张

贵州航天医院呼吸与危重症医学科是省内呼吸疾病治疗规模最大,诊疗项目最全的呼吸疾病品牌科室。是贵州省医学重点学科、临床医学重点专科建设单位,遵义市首批呼吸重点学科、重点专科建设单位。是国家卫健委能力建设和继续教育肿瘤微创介入建设中心、贵州省县级医院微创介入培训中心、遵义市呼吸疾病临床医学中心。是国家呼吸医疗质量控制与管理哨点医院、遵义市呼吸内科专业医疗质量控制中心。是中国医药教育协会介入微创呼吸分会呼吸介入技术培训中心单位;国家卫健委海医会呼吸分会ROSE专委会“诊断性介入肺脏病学快速现场评价”培训基地;中国肺癌防治联盟“贵州航天医院肺结节诊治”分中心,中国人体健康科技促进会呼吸介入技术培训基地,贵州省中西医结合会呼吸学分会呼吸介入专委会主委单位。

氦氩刀是什么【航医说医】“冻死”肿瘤--氩氦刀冷冻消融技术,肿瘤治疗新选择_https://www.jmylbn.com_新闻资讯_第22张

科室规模

科室拥有四个病区和RICU病房、1个呼吸介入治疗中心、1 个呼吸疾病研究中心实验室,开放床位300张。医护人员113名,其中正高5人,副高14人。团队勇于创新,在贵州省率先开展多项新技术、新疗法,如CT引导下及纤支镜下I125粒子植入及CT引导下微波、射频、冷冻消融介入治疗肺癌等多项新技术,进一步提高了贵州省肺部疾病的介入治疗水平,为贵州黔北地区的医疗卫生事业做出了积极的贡献。

氦氩刀是什么【航医说医】“冻死”肿瘤--氩氦刀冷冻消融技术,肿瘤治疗新选择_https://www.jmylbn.com_新闻资讯_第23张

学科建设

科室已和省内外五十余家市、县级医院呼吸科建立了贵州航天医院呼吸及呼吸危重症专科联盟,利用学科优势,提供技术支持,共享技术资源,共同发展进步,为基层医院提供无私的技术帮助,推动了呼吸疾病介入诊疗技术在贵州省基层医院的发展,造福了本地区广大患者。与珠海市人民医院成立“珠遵呼吸与危重症医学科专科联盟”,聘请厦门医学院附属第二医院柯明耀教授挂牌“柯明耀教授名医工作室”。

氦氩刀是什么【航医说医】“冻死”肿瘤--氩氦刀冷冻消融技术,肿瘤治疗新选择_https://www.jmylbn.com_新闻资讯_第24张

科室荣誉

先后获得贵州省“结核病防治先进集体”称号;贵州省“工人先锋号”;061基地“青年文明号”荣誉称号;2016年度全国“患者满意服务”明星班组;2020中国“抗疫群英谱•最美团队”;2023年获得“汇川区巾帼文明岗”。获遵义“肺癌综合靶向治疗研究及应用”科技创新人才团队;遵义市“肺癌与肺小结节早期诊断精准医学”重点实验室;航天十院“肺部疾病精准诊疗”科技创新人才团队;贵州省国防工业劳模(高技能人才)创新工作室;获中国航天科工集团第十研究院“肺癌精准诊断和微创靶向治疗”科技创新团队。
氦氩刀是什么【航医说医】“冻死”肿瘤--氩氦刀冷冻消融技术,肿瘤治疗新选择_https://www.jmylbn.com_新闻资讯_第25张

诊疗范围

航天医院呼吸专科擅长:致力于呼吸系统感染性、疑难性疾病的介入快速精准诊疗;肺癌与肺小结节早期精准诊疗水平项目提升。擅长于呼吸系统(肺)疑难病的诊断及危重病的救治,尤其在肺癌、肺小结节的早期诊断;肺癌综合靶向治疗;肺结核综合诊疗;肺部疾病的介入诊疗在省内处于前沿水平。

特色技术有:CT引导下经皮肺穿刺微波消融介入治疗技术、CT引导下经皮肺穿刺射频消融介入治疗技术、CT引导下经皮肺穿刺I125粒子介入治疗技术、经支气管镜光动力介入治疗技术、CT引导下经皮肺、纵隔穿刺活检诊断术、经支气管镜I125粒子植入介入治疗技术、经支气管镜高频电刀介入治疗技术、经支气管镜氩气刀介入治疗技术、快速现场评价(ROSE)技术、经硬质支气管介入诊疗技术、血管介入治疗(支气管动脉栓塞及灌注化疗)、EBUS-TBNA、EBUS-GS-TBLB、经气管镜支架植入(金属支架/硅酮支架)、虚拟支气管镜导航系统(vbn)+EUBS-GS-TBLB。



氦氩刀是什么【航医说医】“冻死”肿瘤--氩氦刀冷冻消融技术,肿瘤治疗新选择_https://www.jmylbn.com_新闻资讯_第26张

科室专家

氦氩刀是什么【航医说医】“冻死”肿瘤--氩氦刀冷冻消融技术,肿瘤治疗新选择_https://www.jmylbn.com_新闻资讯_第27张


氦氩刀是什么【航医说医】“冻死”肿瘤--氩氦刀冷冻消融技术,肿瘤治疗新选择_https://www.jmylbn.com_新闻资讯_第28张 氦氩刀是什么【航医说医】“冻死”肿瘤--氩氦刀冷冻消融技术,肿瘤治疗新选择_https://www.jmylbn.com_新闻资讯_第29张
氦氩刀是什么【航医说医】“冻死”肿瘤--氩氦刀冷冻消融技术,肿瘤治疗新选择_https://www.jmylbn.com_新闻资讯_第30张 氦氩刀是什么【航医说医】“冻死”肿瘤--氩氦刀冷冻消融技术,肿瘤治疗新选择_https://www.jmylbn.com_新闻资讯_第31张
氦氩刀是什么【航医说医】“冻死”肿瘤--氩氦刀冷冻消融技术,肿瘤治疗新选择_https://www.jmylbn.com_新闻资讯_第32张 氦氩刀是什么【航医说医】“冻死”肿瘤--氩氦刀冷冻消融技术,肿瘤治疗新选择_https://www.jmylbn.com_新闻资讯_第33张
氦氩刀是什么【航医说医】“冻死”肿瘤--氩氦刀冷冻消融技术,肿瘤治疗新选择_https://www.jmylbn.com_新闻资讯_第34张 氦氩刀是什么【航医说医】“冻死”肿瘤--氩氦刀冷冻消融技术,肿瘤治疗新选择_https://www.jmylbn.com_新闻资讯_第35张
氦氩刀是什么【航医说医】“冻死”肿瘤--氩氦刀冷冻消融技术,肿瘤治疗新选择_https://www.jmylbn.com_新闻资讯_第36张 氦氩刀是什么【航医说医】“冻死”肿瘤--氩氦刀冷冻消融技术,肿瘤治疗新选择_https://www.jmylbn.com_新闻资讯_第37张

供    稿 | 呼吸与危重症医学科

编    辑 | 唐语蔚

一    审 | 周裕祥

二    审 | 陈   伟

三    审 | 蒙昌耀

氦氩刀是什么【航医说医】“冻死”肿瘤--氩氦刀冷冻消融技术,肿瘤治疗新选择_https://www.jmylbn.com_新闻资讯_第38张