正畸颊面管是什么牙齿矫正科普帖:正畸牙套装置部件详解

新闻资讯2026-04-24 04:17:58

正畸颊面管是什么牙齿矫正科普帖:正畸牙套装置部件详解_https://www.jmylbn.com_新闻资讯_第1张

关注我们-天天向上【艾克斯X·牙科工作室】

正畸颊面管是什么牙齿矫正科普帖:正畸牙套装置部件详解_https://www.jmylbn.com_新闻资讯_第2张

正畸颊面管是什么牙齿矫正科普帖:正畸牙套装置部件详解_https://www.jmylbn.com_新闻资讯_第3张

正畸颊面管是什么牙齿矫正科普帖:正畸牙套装置部件详解_https://www.jmylbn.com_新闻资讯_第4张

正畸颊面管是什么牙齿矫正科普帖:正畸牙套装置部件详解_https://www.jmylbn.com_新闻资讯_第5张

牙齿矫正知识科普帖:正畸牙套装置部件详解

作者|程碧焕医生     

一、矫治器类型:


1、唇侧矫治器托槽、钢丝等矫治器部件粘贴于牙冠的唇侧和颊侧牙面的。

(1)金属托槽矫治器:有方丝托槽、直丝托槽,样子长得都差不多。

正畸颊面管是什么牙齿矫正科普帖:正畸牙套装置部件详解_https://www.jmylbn.com_新闻资讯_第6张

各种金属托槽:

正畸颊面管是什么牙齿矫正科普帖:正畸牙套装置部件详解_https://www.jmylbn.com_新闻资讯_第7张

Damon Q 自锁托槽

正畸颊面管是什么牙齿矫正科普帖:正畸牙套装置部件详解_https://www.jmylbn.com_新闻资讯_第8张

Damon 3MX 金属自锁托槽

正畸颊面管是什么牙齿矫正科普帖:正畸牙套装置部件详解_https://www.jmylbn.com_新闻资讯_第9张

普通直丝托槽


(2)陶瓷托槽矫治器:

陶瓷托槽也有好多品种,列举部分:

单晶体托槽(有许多名称:ICE冰晶托槽、蓝宝石晶体托槽等)、陶瓷托槽、树脂陶瓷托槽、嵌金属槽沟的陶瓷托槽(由于陶瓷托槽与钢丝之间的摩擦阻力大,增加的金属槽沟可以降低摩擦阻力).

正畸颊面管是什么牙齿矫正科普帖:正畸牙套装置部件详解_https://www.jmylbn.com_新闻资讯_第10张

单晶体托槽,注意患者使用了美学丝(钢丝度了一层白色膜)

正畸颊面管是什么牙齿矫正科普帖:正畸牙套装置部件详解_https://www.jmylbn.com_新闻资讯_第11张

GAC陶瓷自锁托槽

正畸颊面管是什么牙齿矫正科普帖:正畸牙套装置部件详解_https://www.jmylbn.com_新闻资讯_第12张

上半口陶瓷托槽 VS.下半口金属托槽


2.舌侧矫治器:托槽、钢丝等矫治器部件粘贴于牙冠的舌侧。

正畸颊面管是什么牙齿矫正科普帖:正畸牙套装置部件详解_https://www.jmylbn.com_新闻资讯_第13张

3.无托槽式矫治器美国产品为隐适美 ,中国产品有 天使 、正雅、 恒惠等无托槽隐形矫治器。

正畸颊面管是什么牙齿矫正科普帖:正畸牙套装置部件详解_https://www.jmylbn.com_新闻资讯_第14张

二、矫治器部件:

1、托槽:用粘接剂直接粘接于牙冠表面,弓丝通过托槽而对牙施以各种类型的矫治力。


2、弓丝:通常是指“主弓丝”,就是一条圆弧形的钢丝,它穿过所有托槽的槽沟以及磨牙的颊面管 ,将矫治器部件连成一个整体。


(1)有各种尺寸的弓:根据横截面的形状,分为园丝、方丝、矩形丝 。其尺寸是以英寸来表达,比如 0.016"NITI 则表示钢丝材料为 0.016英寸的镍钛园丝, 0.018x0.025" SSW 则表示钢丝材料为 0.018x0.025的矩形不锈钢丝(简称为1825不锈钢方丝) 。

正畸颊面管是什么牙齿矫正科普帖:正畸牙套装置部件详解_https://www.jmylbn.com_新闻资讯_第15张
弓丝横截面的形状


(2)有各种材质类型的钢丝:超弹镍钛丝、含铜镍钛丝、不锈钢丝。

正畸颊面管是什么牙齿矫正科普帖:正畸牙套装置部件详解_https://www.jmylbn.com_新闻资讯_第16张

经典弧形的镍钛丝(成品)

正畸颊面管是什么牙齿矫正科普帖:正畸牙套装置部件详解_https://www.jmylbn.com_新闻资讯_第17张

摇椅形状的镍钛丝(成品)

正畸颊面管是什么牙齿矫正科普帖:正畸牙套装置部件详解_https://www.jmylbn.com_新闻资讯_第18张

经典的钢丝弧形,此为平直弓形弓丝,多为成品,也可以由医生个性化弯制。

正畸颊面管是什么牙齿矫正科普帖:正畸牙套装置部件详解_https://www.jmylbn.com_新闻资讯_第19张

多曲不锈钢方丝(在维持钢丝的弧形基础上弯制了许多“L”型曲),由医生根据患者牙齿宽度来作个性化的弯制。这类丝没有成品,只能个性化弯制,制作和应用都比较有难度。但有些特殊的效果。

正畸颊面管是什么牙齿矫正科普帖:正畸牙套装置部件详解_https://www.jmylbn.com_新闻资讯_第20张

多曲方丝应用于患者口腔之中(佩戴这种丝的患者是比较辛苦的,但有些病例是需要使用这个的,有特殊意义。)


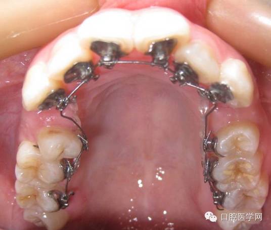
3、带环和颊面管传统的矫治器要在磨牙上放带环,带环上焊接一个颊面管,颊面管的孔是容纳钢丝的。得益于粘结剂的粘结效果的提高,现在带环已经不是必须的了,只有一些特殊的病例才需要。

正畸颊面管是什么牙齿矫正科普帖:正畸牙套装置部件详解_https://www.jmylbn.com_新闻资讯_第21张

成品带环

正畸颊面管是什么牙齿矫正科普帖:正畸牙套装置部件详解_https://www.jmylbn.com_新闻资讯_第22张

颊面管(单管的)

正畸颊面管是什么牙齿矫正科普帖:正畸牙套装置部件详解_https://www.jmylbn.com_新闻资讯_第23张

颊面管(三管的)
正畸颊面管是什么牙齿矫正科普帖:正畸牙套装置部件详解_https://www.jmylbn.com_新闻资讯_第24张

左侧为颊面管,右侧为焊接了颊面管的带环

正畸颊面管是什么牙齿矫正科普帖:正畸牙套装置部件详解_https://www.jmylbn.com_新闻资讯_第25张

图中第一磨牙中粘了带环,颊面管焊接于带环颊侧,颊面管内有主弓丝(钢丝)穿过。


带环的特殊作用在于可以做扩弓、口外弓佩戴、横腭杆 等加强支抗设施的辅助附件,见下图举例:

正畸颊面管是什么牙齿矫正科普帖:正畸牙套装置部件详解_https://www.jmylbn.com_新闻资讯_第26张

在石膏模型上做的带环(第一磨牙上有带环)以及带环的腭侧焊接了螺旋扩弓装置

正畸颊面管是什么牙齿矫正科普帖:正畸牙套装置部件详解_https://www.jmylbn.com_新闻资讯_第27张

螺旋扩弓装置粘在口内的情况(第一磨牙和第一双尖牙上都粘了带环)

正畸颊面管是什么牙齿矫正科普帖:正畸牙套装置部件详解_https://www.jmylbn.com_新闻资讯_第28张

带环的腭侧焊接的横腭杆。作用在于加强磨牙支抗,防止磨牙前移


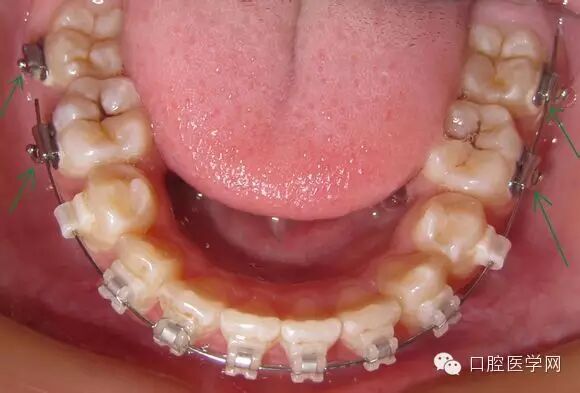
4、网底颊面管:如果不需要做特殊的装置,则可以选用网底颊面管直接粘在大牙的牙面上,就不必做带环、不必分牙。所以矫正不是必须做分牙的。使用网底颊面管,这样患者的口腔卫生容易维护,而且对牙龈刺激小,也不容易发生食物嵌塞。并且因避免了带环厚度给牙齿带来接触不够紧密,而引发拆除矫治器后的食物嵌塞。

正畸颊面管是什么牙齿矫正科普帖:正畸牙套装置部件详解_https://www.jmylbn.com_新闻资讯_第29张

网底颊面管

正畸颊面管是什么牙齿矫正科普帖:正畸牙套装置部件详解_https://www.jmylbn.com_新闻资讯_第30张

绿色箭头所示即为网底颊面管粘在磨牙的颊侧牙面上的情形,钢丝(主弓丝)穿过颊面管的孔。


5、结扎丝和结扎圈将钢丝(主弓丝)固定在托槽槽沟中。

正畸颊面管是什么牙齿矫正科普帖:正畸牙套装置部件详解_https://www.jmylbn.com_新闻资讯_第31张

结扎丝

正畸颊面管是什么牙齿矫正科普帖:正畸牙套装置部件详解_https://www.jmylbn.com_新闻资讯_第32张

结扎圈(彩色)

正畸颊面管是什么牙齿矫正科普帖:正畸牙套装置部件详解_https://www.jmylbn.com_新闻资讯_第33张

透明结扎圈

正畸颊面管是什么牙齿矫正科普帖:正畸牙套装置部件详解_https://www.jmylbn.com_新闻资讯_第34张

结扎丝将单晶体托槽和钢丝(主弓丝)结扎成一个连续的整体

正畸颊面管是什么牙齿矫正科普帖:正畸牙套装置部件详解_https://www.jmylbn.com_新闻资讯_第35张

上牙是结扎,下牙是透明结扎圈结扎,但是经历一个月之后透明结扎圈已变黄


6、牵引钩:用来挂橡皮筋用的。

正畸颊面管是什么牙齿矫正科普帖:正畸牙套装置部件详解_https://www.jmylbn.com_新闻资讯_第36张
固定矫治器的组成部件


7、分牙圈和分牙簧:塞牙齿之间,几天之后就会使牙齿之间出现微小的间隙,然后才能将带环放入。当然,分牙并非必须,因此分牙的疼痛也非必须。

正畸颊面管是什么牙齿矫正科普帖:正畸牙套装置部件详解_https://www.jmylbn.com_新闻资讯_第37张

成品分牙圈

正畸颊面管是什么牙齿矫正科普帖:正畸牙套装置部件详解_https://www.jmylbn.com_新闻资讯_第38张

分牙圈放置于两牙之间(如图中蓝色的分牙圈)

正畸颊面管是什么牙齿矫正科普帖:正畸牙套装置部件详解_https://www.jmylbn.com_新闻资讯_第39张

分牙簧(图中的金属丝)放置在磨牙的两侧


8、Bite Turbos :咬合附件,粘在上前牙的舌侧,用于前牙深覆合时,帮助打开咬合、隔开前牙咬合力,避免深覆合病例的下前牙托槽被咬掉。

正畸颊面管是什么牙齿矫正科普帖:正畸牙套装置部件详解_https://www.jmylbn.com_新闻资讯_第40张

bite turbos 粘贴于两颗上门牙舌侧 (模型)

正畸颊面管是什么牙齿矫正科普帖:正畸牙套装置部件详解_https://www.jmylbn.com_新闻资讯_第41张

bite turbos 粘贴于两颗上门牙舌侧 (患者图片)


9、弹簧(镍钛拉簧和推簧):拉簧用于类似于橡皮筋的作用,用于牵拉牙齿、关闭间隙。推簧则用于推开牙齿使间隙开大。

正畸颊面管是什么牙齿矫正科普帖:正畸牙套装置部件详解_https://www.jmylbn.com_新闻资讯_第42张

拉簧

正畸颊面管是什么牙齿矫正科普帖:正畸牙套装置部件详解_https://www.jmylbn.com_新闻资讯_第43张

拉簧的应用(绿色箭头所指)

正畸颊面管是什么牙齿矫正科普帖:正畸牙套装置部件详解_https://www.jmylbn.com_新闻资讯_第44张

推簧

正畸颊面管是什么牙齿矫正科普帖:正畸牙套装置部件详解_https://www.jmylbn.com_新闻资讯_第45张

推簧置于两牙之间推开牙齿


10、橡皮圈:用来对牙齿加力的,用于移动牙齿、调整咬合关系、关闭间隙等目的。

正畸颊面管是什么牙齿矫正科普帖:正畸牙套装置部件详解_https://www.jmylbn.com_新闻资讯_第46张

1)橡皮圈的型号:以英寸来表示,常用的型号为 :1/8" 1/4" 3/16" 5/16" 3/8" 1/2" 等型号, 1/8" 表达的意思为 八分之一英寸 的橡皮圈。常用橡皮圈的力量大小为 3.5oz 、4oz、 6oz , 以“安士”(oz) 来表示力值单位。


2)各种橡皮圈的牵引类型:

牵引类型非常灵活多样,现列举典型的几种牵引方式:

-水平牵引 :

正畸颊面管是什么牙齿矫正科普帖:正畸牙套装置部件详解_https://www.jmylbn.com_新闻资讯_第47张

-2类牵引 :

正畸颊面管是什么牙齿矫正科普帖:正畸牙套装置部件详解_https://www.jmylbn.com_新闻资讯_第48张

正畸颊面管是什么牙齿矫正科普帖:正畸牙套装置部件详解_https://www.jmylbn.com_新闻资讯_第49张

正畸颊面管是什么牙齿矫正科普帖:正畸牙套装置部件详解_https://www.jmylbn.com_新闻资讯_第50张

-3类牵引 :图中7的箭头所指

正畸颊面管是什么牙齿矫正科普帖:正畸牙套装置部件详解_https://www.jmylbn.com_新闻资讯_第51张
正畸颊面管是什么牙齿矫正科普帖:正畸牙套装置部件详解_https://www.jmylbn.com_新闻资讯_第52张

放大的图显示3类牵引

-其他类型的牵引,比如三角形牵引 :

正畸颊面管是什么牙齿矫正科普帖:正畸牙套装置部件详解_https://www.jmylbn.com_新闻资讯_第53张

三角形牵引

正畸颊面管是什么牙齿矫正科普帖:正畸牙套装置部件详解_https://www.jmylbn.com_新闻资讯_第20张

短的颌间牵引


11、链状橡皮圈(也称为橡皮链):具有超弹性的链状橡皮圈,用于关闭微小的间隙,也用于使得牙齿靠拢更紧密、或用于防止牙齿出现间隙(防止间隙的复发)。

正畸颊面管是什么牙齿矫正科普帖:正畸牙套装置部件详解_https://www.jmylbn.com_新闻资讯_第55张

正畸颊面管是什么牙齿矫正科普帖:正畸牙套装置部件详解_https://www.jmylbn.com_新闻资讯_第56张

转自百度贴吧



正畸颊面管是什么牙齿矫正科普帖:正畸牙套装置部件详解_https://www.jmylbn.com_新闻资讯_第57张正畸颊面管是什么牙齿矫正科普帖:正畸牙套装置部件详解_https://www.jmylbn.com_新闻资讯_第58张

正畸颊面管是什么牙齿矫正科普帖:正畸牙套装置部件详解_https://www.jmylbn.com_新闻资讯_第59张