斑马导丝是治疗什么的「胸有乾坤」至简至易 行之有效—— Zone 0 TBE植入治疗弓部动脉瘤病例报道

新闻资讯2026-04-24 03:48:13
斑马导丝是治疗什么的「胸有乾坤」至简至易 行之有效—— Zone 0 TBE植入治疗弓部动脉瘤病例报道_https://www.jmylbn.com_新闻资讯_第1张


本期看点

  • 患者为Ⅲ型弓、偏心型动脉瘤,锚定区条件差,如何设计腔内治疗方案?

  • 术中如何降低内漏等并发症发生风险?

*本病例仅供医学专业人士阅读参考

斑马导丝是治疗什么的「胸有乾坤」至简至易 行之有效—— Zone 0 TBE植入治疗弓部动脉瘤病例报道_https://www.jmylbn.com_新闻资讯_第2张


主席寄语


斑马导丝是治疗什么的「胸有乾坤」至简至易 行之有效—— Zone 0 TBE植入治疗弓部动脉瘤病例报道_https://www.jmylbn.com_新闻资讯_第3张

尊敬的各位同道,大家好! 


近年来,随着血管腔内治疗方法的日益普及、手术器械和技术的不断创新和突破,胸主动脉腔内治疗(TEVAR)已在全国各个省市的中心陆续开展。在学科及疗法的快速发展过程中,由于病人多、技术新、任务重,临床上常常重视手术的即刻结果,却缺乏对术后长期效果的随访与评价,对术式与操作的规范化重视不够。为推动医师们技术交流和经验分享,血管资讯平台将于2021年11月起陆续推出胸主动脉腔内治疗优秀病例展示,旨在增进相互学习,了解不同病例治疗策略的制定及思考,手术过程、术中应急处理及术后随访等,提供更多的经验分享。


每一个病例的展示,都体现着术者们精益求精的专业精神——严格规范TEVAR技术操作,充分考虑每一步操作细节及围手术期的管理。我同时希望这个病例展示,能够成为同道们积极探索TEVAR新思路、新方法的交流平台,激发鼓励腔内技术与器械的创新和使用,共同开创胸主动脉腔内治疗的崭新未来!希望本次活动能有更多病例参与展示,使胸主动脉腔内治疗愈加规范、严谨,使更多患者受益。谢谢!

斑马导丝是治疗什么的「胸有乾坤」至简至易 行之有效—— Zone 0 TBE植入治疗弓部动脉瘤病例报道_https://www.jmylbn.com_新闻资讯_第4张

2021年9月30日


至简至易 行之有效

Zone 0 TBE植入治疗弓部动脉瘤病例报道

中国人民解放军总医院第一医学中心血管外科

郭伟 熊江 许永乐 刘峰 高江平

斑马导丝是治疗什么的「胸有乾坤」至简至易 行之有效—— Zone 0 TBE植入治疗弓部动脉瘤病例报道_https://www.jmylbn.com_新闻资讯_第5张



















对于累及弓上分支的胸主动脉病变,目前常采用杂交手术,平行支架、烟囱等过渡技术手段或分支型支架技术来修复胸主动脉并重建左锁骨下动脉或其他分支。相较于杂交技术及其他过渡技术手段,分支支架技术在安全性和有效性方面,综合而言无疑具有更大优势。本期带来中国人民解放军总医院第一医学中心血管外科郭伟教授团队 Zone 0 植入胸主模块化单分支支架(以下简称:TBE)治疗弓部动脉瘤病例报道。




















病史简介

患者:男,78岁。

主诉:发现主动脉弓部动脉瘤5个月,经外院推荐至我院进一步诊治。

现病史: 2025年5月,因咳嗽行胸部CT,发现主动脉弓部瘤样扩张。主动脉弓部动脉瘤、腹主动脉瘤、肺气肿、高血压,高血脂,前列腺增生。


术前CTA

术前CTA可见,患者解剖复杂,Ⅲ型弓,偏心型弓部动脉瘤。

斑马导丝是治疗什么的「胸有乾坤」至简至易 行之有效—— Zone 0 TBE植入治疗弓部动脉瘤病例报道_https://www.jmylbn.com_新闻资讯_第6张

术前CTA

斑马导丝是治疗什么的「胸有乾坤」至简至易 行之有效—— Zone 0 TBE植入治疗弓部动脉瘤病例报道_https://www.jmylbn.com_新闻资讯_第7张

术前3D重建

测量数据:

斑马导丝是治疗什么的「胸有乾坤」至简至易 行之有效—— Zone 0 TBE植入治疗弓部动脉瘤病例报道_https://www.jmylbn.com_新闻资讯_第8张

近端锚定区直径

斑马导丝是治疗什么的「胸有乾坤」至简至易 行之有效—— Zone 0 TBE植入治疗弓部动脉瘤病例报道_https://www.jmylbn.com_新闻资讯_第9张

无名动脉直径

斑马导丝是治疗什么的「胸有乾坤」至简至易 行之有效—— Zone 0 TBE植入治疗弓部动脉瘤病例报道_https://www.jmylbn.com_新闻资讯_第10张

远端锚定区直径.

斑马导丝是治疗什么的「胸有乾坤」至简至易 行之有效—— Zone 0 TBE植入治疗弓部动脉瘤病例报道_https://www.jmylbn.com_新闻资讯_第11张

双侧入路直径


手术计划

行右颈动脉-左颈动脉-左锁骨下动脉搭桥术,植入GORE® TAG® 分支型胸主动脉覆膜支架(以下简称“TBE”),TBE主体支架锚定于Zone 0,重建无名动脉血运,左锁骨下动脉栓塞。支架型号:主体支架TAC123715W+分支支架TSB121506W,远端可主动调控胸主动脉覆膜支架TGMR313115。

斑马导丝是治疗什么的「胸有乾坤」至简至易 行之有效—— Zone 0 TBE植入治疗弓部动脉瘤病例报道_https://www.jmylbn.com_新闻资讯_第12张

手术示意图


手术过程

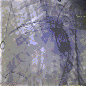
1. 患者全身麻醉后先进行弓上分支血管转流,该部分完成后,穿刺右侧股动脉及双侧肱动脉,置入金标猪尾导管进行主动脉弓部造影。

斑马导丝是治疗什么的「胸有乾坤」至简至易 行之有效—— Zone 0 TBE植入治疗弓部动脉瘤病例报道_https://www.jmylbn.com_新闻资讯_第13张


2. 沿加硬导丝置入24Fr GORE® DrySeal亲水涂层导引鞘,远端先置入可主动调控胸主动脉覆膜支架TGMR313115,定位并释放。

斑马导丝是治疗什么的「胸有乾坤」至简至易 行之有效—— Zone 0 TBE植入治疗弓部动脉瘤病例报道_https://www.jmylbn.com_新闻资讯_第14张

支架从半直径释放至全直径

斑马导丝是治疗什么的「胸有乾坤」至简至易 行之有效—— Zone 0 TBE植入治疗弓部动脉瘤病例报道_https://www.jmylbn.com_新闻资讯_第15张


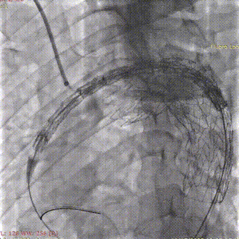
3. 右侧肱动脉置入斑马导丝,建立右肱动脉与股动脉之间工作轨道,沿加硬导丝及斑马导丝置入TBE主体支架(型号:TAC123715W)。调整机头角度,确认双导丝间无缠绕。

斑马导丝是治疗什么的「胸有乾坤」至简至易 行之有效—— Zone 0 TBE植入治疗弓部动脉瘤病例报道_https://www.jmylbn.com_新闻资讯_第16张
斑马导丝是治疗什么的「胸有乾坤」至简至易 行之有效—— Zone 0 TBE植入治疗弓部动脉瘤病例报道_https://www.jmylbn.com_新闻资讯_第17张


4. 进一步推送TBE主体至目标位置。

斑马导丝是治疗什么的「胸有乾坤」至简至易 行之有效—— Zone 0 TBE植入治疗弓部动脉瘤病例报道_https://www.jmylbn.com_新闻资讯_第18张


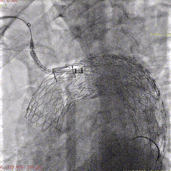
5. 右侧肱动脉长鞘造影确认支架位置。

斑马导丝是治疗什么的「胸有乾坤」至简至易 行之有效—— Zone 0 TBE植入治疗弓部动脉瘤病例报道_https://www.jmylbn.com_新闻资讯_第19张


6. 顶紧加硬导丝,让支架贴紧大弯侧,配合牵张导丝的牵拉力量,主体支架稳定释放。

斑马导丝是治疗什么的「胸有乾坤」至简至易 行之有效—— Zone 0 TBE植入治疗弓部动脉瘤病例报道_https://www.jmylbn.com_新闻资讯_第20张


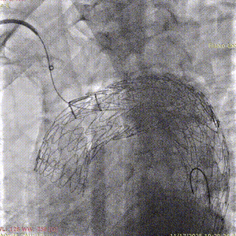
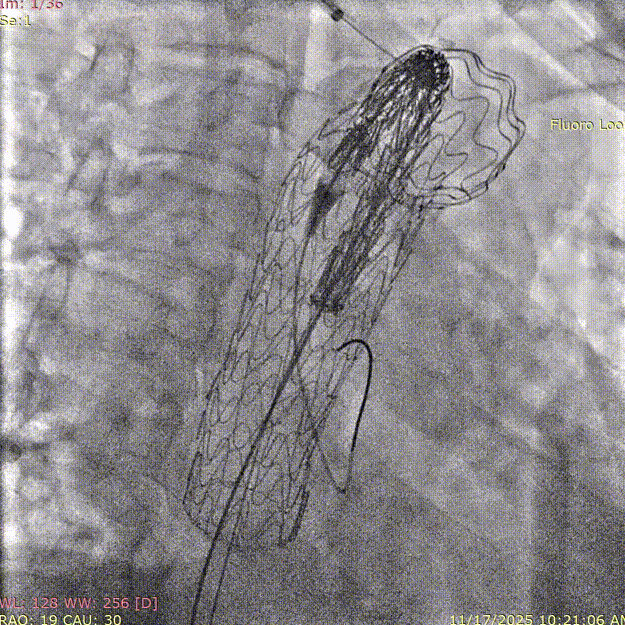
7. 沿斑马导丝送入TBE分支支架(型号:TSB121506W),释放分支支架。

斑马导丝是治疗什么的「胸有乾坤」至简至易 行之有效—— Zone 0 TBE植入治疗弓部动脉瘤病例报道_https://www.jmylbn.com_新闻资讯_第21张

导入分支支架

斑马导丝是治疗什么的「胸有乾坤」至简至易 行之有效—— Zone 0 TBE植入治疗弓部动脉瘤病例报道_https://www.jmylbn.com_新闻资讯_第22张

释放分支支架


8. 球囊扩充分支支架。

斑马导丝是治疗什么的「胸有乾坤」至简至易 行之有效—— Zone 0 TBE植入治疗弓部动脉瘤病例报道_https://www.jmylbn.com_新闻资讯_第23张


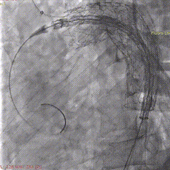
9. 进行主动脉弓部及头部造影,瘤体未见显影,双侧血流通畅,效果满意。

斑马导丝是治疗什么的「胸有乾坤」至简至易 行之有效—— Zone 0 TBE植入治疗弓部动脉瘤病例报道_https://www.jmylbn.com_新闻资讯_第24张
斑马导丝是治疗什么的「胸有乾坤」至简至易 行之有效—— Zone 0 TBE植入治疗弓部动脉瘤病例报道_https://www.jmylbn.com_新闻资讯_第25张


10  LSA根部弹簧圈栓塞。

斑马导丝是治疗什么的「胸有乾坤」至简至易 行之有效—— Zone 0 TBE植入治疗弓部动脉瘤病例报道_https://www.jmylbn.com_新闻资讯_第26张


术后随访

术后复查CTA显示支架形态良好,瘤体感觉完全,弓上分支血管显影通畅,效果满意。

斑马导丝是治疗什么的「胸有乾坤」至简至易 行之有效—— Zone 0 TBE植入治疗弓部动脉瘤病例报道_https://www.jmylbn.com_新闻资讯_第27张

术后CTA

斑马导丝是治疗什么的「胸有乾坤」至简至易 行之有效—— Zone 0 TBE植入治疗弓部动脉瘤病例报道_https://www.jmylbn.com_新闻资讯_第28张

术后3D重建


术者应用体会

  • TBE作为唯一获批用于动脉瘤适应证的分支型胸主动脉支架,新型模块化三件式设计,通过不同组件间的选择和搭配,具有更宽泛的解剖适配性;

  • TBE支架现已获得FDA的批准,可用于0区和1区。扩大了该器械在主动脉弓和降主动脉病变血管腔内修复的适应症范围。


TBE产品小结

  • 新型模块化单分支胸主动脉支架TBE,三件式设计,通过不同组件间的选择和搭配,具有更宽泛的解剖适配性。

  • TBE支架仅需要通过股动脉入路,即可完成主体支架及分支支架的导入和释放,手术操作更简单更安全。

TBE动画演示

  • 更新迭代 CTAG 黑科技:主体支架源于CTAG平台,采用一根镍钛合金钢丝连续螺旋编织方式,相对于其它节段式支架编织设计,每个圆周面均有金属丝支撑让支架紧密贴合血管,达到有效密封并不易发生移位,无“鸟嘴”。支架应力可以在内部传导,降低由于局部压力过大对血管壁造成损伤的风险。

斑马导丝是治疗什么的「胸有乾坤」至简至易 行之有效—— Zone 0 TBE植入治疗弓部动脉瘤病例报道_https://www.jmylbn.com_新闻资讯_第29张

支架主体示意图

  • 自带肝素涂层的分支支架,降低血栓风险的同时,主体侧的防脱离机制以及中间段的抗折设计,进一步保证了支架整体的稳定性。

斑马导丝是治疗什么的「胸有乾坤」至简至易 行之有效—— Zone 0 TBE植入治疗弓部动脉瘤病例报道_https://www.jmylbn.com_新闻资讯_第30张

分支支架示意图

  • 逆向内嵌式的分支设计,TBE分支支架在成角和压缩的情况下,都不会对压力、流速、作用在血管壁上的血流切向阻力产生影响。


上述病例介绍,代表作者的个人观点,仅作为学术交流与术式探讨的目的。关于器械的详细使用说明和适用范围等信息,请参照IFU。


专家简介

斑马导丝是治疗什么的「胸有乾坤」至简至易 行之有效—— Zone 0 TBE植入治疗弓部动脉瘤病例报道_https://www.jmylbn.com_新闻资讯_第31张

郭伟 教授

中国人民解放军总医院第一医学中心血管外科主任、主任医师、教授、博士生导师;解放军医学院/清华大学/南开大学博士生(后)导师;国家十三五、十四五重大专项首席;中国研究型医院学会血管医学专委会主任委员;中国医疗器械行业协会血管器械分会会长;中国医师协会血管外科分会副会长;北京医学会血管外科分会主任委员;中央保健委员会会诊专家。

长期从事医疗、教学、科研和保健等工作,是我国腔内血管外科学的开拓者之一。

发起创办的CEC(中国血管论坛)和VINNOVA(血管创新论坛)为中国血管外科医生继续教育和血管创新转化做出了突出贡献。

作为中国唯一团队连续13年为德国LINC大会做现场手术直播;连续3年为美国C3大会做现场手术直播;为南美CICE大会做现场手术直播。原创12种主动脉腔内修复器材、形成系列创新手术范式、组织了40余项多中心临床研究。以第一或通讯作者发表SCI论文216篇,多篇论文发表在《Euro Heart J》、《JACC》和《Nature Comunication》杂志上,最高影响因子39.3分。主编《腔内血管外科学》等专著4部;主译《卢瑟福血管外科学》(第七版)。是《中华血管外科杂志》主编,《Annals of Vascular Surgery: Brief reports and Innovations》 和《Frontiers in Surgery》副主编,《Journal of Endovascular Therapy》等10余种杂志编委。曾获国家科技成果一等奖(2012年)、北京市科学技术一等奖(2005年)和二等奖(2023年)、军队医疗成果一等奖(2015年)和二等奖(2010年)、军事科学技术进步一等奖(2024年)、中华医学科技一等奖(2024年)、中国发明协会发明创业创新一等奖(2023年)、北京医学一等奖(2017年和2022年)、美国Veith国际血管创新奖(2021年、2022年和2023年)。2008年获评“总后科技新星”、2014年获选“全军高层次创新型科技人才”、 2018年获选中央军委“军队学科拔尖人才”。获第十三届中国医师奖、人民好医生“卓越建树”和“优秀风范”奖等。


斑马导丝是治疗什么的「胸有乾坤」至简至易 行之有效—— Zone 0 TBE植入治疗弓部动脉瘤病例报道_https://www.jmylbn.com_新闻资讯_第32张

熊江 教授

中国人民解放军总医院第一医学中心血管外科主任医师,博士生导师,博士后合作导师;北京市科技新星;首届总后优秀青年人才扶持对象;首届“国之名医-优秀风范”;军队优秀专业技术人才二类津贴获得者;解放军总医院优秀医师。

主持军队重点课题2项,国家自然科学基金3项,科技部重点研发计划1项,中国博士后基金1项,北京市课题4项,广东省课题1项。

发表SCI论文44篇,总影响因子157分(中科院JCR TOP期刊论著4篇),10分以上2篇。

带教博士生获得中研杯创新转化大赛2等奖,硕士生获得国家奖学金,并在LINC和Veith大会多次获得发言机会。

获国家科技进步一等奖、军队医疗成果一等奖、军事科学技术二等奖、广东省科学技术一等奖、华夏医学科技一等奖、解放军总医院科技进步二等奖等。

任中国研究型医院学会血管医学专委会常委兼秘书长。


斑马导丝是治疗什么的「胸有乾坤」至简至易 行之有效—— Zone 0 TBE植入治疗弓部动脉瘤病例报道_https://www.jmylbn.com_新闻资讯_第33张

许永乐 教授

医学博士,中国人民解放军总医院第一医学中心血管外科副主任医师。

学术任职:现任北京医学会血管外科分会委员兼秘书、腹主动脉学组副组长及中国医师协会血管外科医师分会内脏动脉学组委员。


斑马导丝是治疗什么的「胸有乾坤」至简至易 行之有效—— Zone 0 TBE植入治疗弓部动脉瘤病例报道_https://www.jmylbn.com_新闻资讯_第34张

刘峰 教授

中国人民解放军总医院第一医学中心血管外科,副主任医师,医学博士,博士后。法律执业资格获得者。

中国医师协会血管外科分会第二届委员会 静脉血栓与肺栓塞学组委员。北京医学会血管外科分会医学教育学组委员。

长期从事外周动静脉疾病的手术及腔内治疗,淋巴水肿的综合治疗。从事医工结合及转化研究,发表SCI论文 16篇。


斑马导丝是治疗什么的「胸有乾坤」至简至易 行之有效—— Zone 0 TBE植入治疗弓部动脉瘤病例报道_https://www.jmylbn.com_新闻资讯_第35张

高江平 教授

血管外科学博士、博士后,中国人民解放军总医院第一医学中心血管外科主治医师。主要从事腹主动脉瘤腔内修复术后内漏预测、颈动脉斑块易损性评估等临床与转化研究,已发表SCI论文10篇。




斑马导丝是治疗什么的「胸有乾坤」至简至易 行之有效—— Zone 0 TBE植入治疗弓部动脉瘤病例报道_https://www.jmylbn.com_新闻资讯_第36张
斑马导丝是治疗什么的「胸有乾坤」至简至易 行之有效—— Zone 0 TBE植入治疗弓部动脉瘤病例报道_https://www.jmylbn.com_新闻资讯_第36张
斑马导丝是治疗什么的「胸有乾坤」至简至易 行之有效—— Zone 0 TBE植入治疗弓部动脉瘤病例报道_https://www.jmylbn.com_新闻资讯_第36张

病例征集

如您有相类似的病例,或者希望与术者做进一步的交流,欢迎您将您的联系方式发送至tevar_case@163.com。谢谢!


斑马导丝是治疗什么的「胸有乾坤」至简至易 行之有效—— Zone 0 TBE植入治疗弓部动脉瘤病例报道_https://www.jmylbn.com_新闻资讯_第36张
斑马导丝是治疗什么的「胸有乾坤」至简至易 行之有效—— Zone 0 TBE植入治疗弓部动脉瘤病例报道_https://www.jmylbn.com_新闻资讯_第36张
斑马导丝是治疗什么的「胸有乾坤」至简至易 行之有效—— Zone 0 TBE植入治疗弓部动脉瘤病例报道_https://www.jmylbn.com_新闻资讯_第36张

胸有乾坤 · 往期回顾

斑马导丝是治疗什么的「胸有乾坤」至简至易 行之有效—— Zone 0 TBE植入治疗弓部动脉瘤病例报道_https://www.jmylbn.com_新闻资讯_第42张

01

第一步

扫码进入

往期合集

02

第二步

点击订阅

胸有乾坤专栏

斑马导丝是治疗什么的「胸有乾坤」至简至易 行之有效—— Zone 0 TBE植入治疗弓部动脉瘤病例报道_https://www.jmylbn.com_新闻资讯_第43张

版权声明:本平台旨在帮助医疗卫生专业人士更好地了解相关疾病领域最新进展。本平台对发布的资讯内容,并不代表同意其描述和观点,仅为提供更多信息。若涉及版权问题,烦请权利人与我们联系,我们将尽快处理。仅供医疗卫生专业人士为了解资讯使用,该等信息不能以任何方式取代专业的医疗指导,也不应被视为诊疗建议。如该等信息被用于了解资讯以外的目的,本平台及作者不承担相关责任。合作联系邮箱:vascular@edoctor.work。

斑马导丝是治疗什么的「胸有乾坤」至简至易 行之有效—— Zone 0 TBE植入治疗弓部动脉瘤病例报道_https://www.jmylbn.com_新闻资讯_第44张