我院新引进的Senographe Pristina全数字乳腺摄影系统是集乳腺数字断层摄影、对比能谱增强、穿刺定位多功能于一体的高端数字乳腺钼靶机,也是目前全省非常高端的一台乳腺机。那么,这台机器的优势在哪些方面呢?
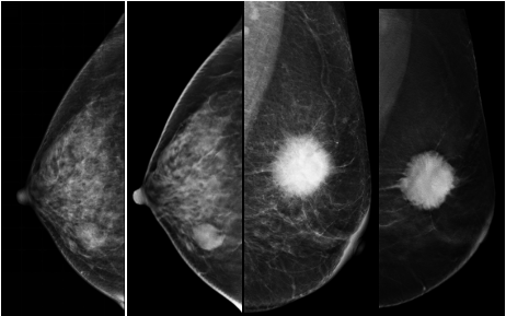
是利用不同投射角度重建出与探测器平面平行的任意层面乳腺三维X线影像,通过一次投照给出一系列类似CT图片的断层图像,可有效降低了腺体组织重叠的影响,提高了致密型乳腺疾病的检出率。

第1、3图片为数字乳腺摄影,第2、4张图片为数字断层摄影,明显数字断层摄影图片对病灶的边界显示更清楚,更有利于医生对良恶性病灶的定性及分级。
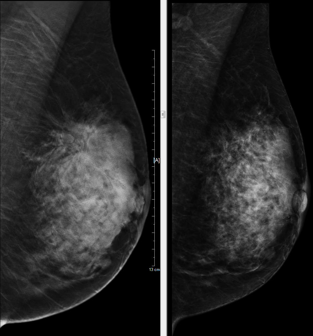
是在乳腺数字摄影的基础上使用对比剂的一项新的检查技术。它通过静脉注射对比剂然后以减影的方式有效消除正常乳腺组织重叠对病灶的遮盖,凸显肿块真实形态、边界,并提供病灶的血供信息,有利于乳腺良、恶性疾病的辨别,提高疾病检出率及准确率。减少了患者不必要的穿刺及带来的经济损失、心理负担。

第1、3张图片均为没有增强前的图片,无法清楚显示病灶;第2、4张为数字能量增强摄影减影后图片,不仅能明确病灶范围、大小及边界,而且能反映肿瘤的血供比较丰富,还可以发现普通摄影中被腺体掩盖的病灶。
随着乳腺X线检查技术的不断普及,越来越多临床触诊甚至超声检查阴性的乳腺隐匿性病变被发现。对于部分临床、超声隐匿性乳腺病灶不能对疾病的良恶性进行有效判断时,乳腺X线立体定位活检技术就能通过穿刺活检技术对病灶病理性质以及类型进行直接明确诊断,由于乳腺X线立体定位穿刺活检术与手术病理符合率高,有利于临床进一步制订治疗方案,可以减少过度手术或把握手术最佳时机。