数字化乳腺摄影是什么新技术|石大一附院数字化乳腺断层摄影技术(DBT ) 让乳腺癌无处可藏!

新闻资讯2026-04-24 03:42:43
数字化乳腺摄影是什么新技术|石大一附院数字化乳腺断层摄影技术(DBT ) 让乳腺癌无处可藏!_https://www.jmylbn.com_新闻资讯_第1张

数字化乳腺三维断层摄影技术

2023.9


数字化乳腺三维断层摄影系统又被形象地称为三维钼靶,是目前用于诊断乳腺疾病最为先进的影像检查手段之一。近日,石大一附院医学影像中心引进了国际先进的全数字化乳腺三维断层摄影系统,对于乳腺癌的检出率,特别是对致密型乳腺的病人,大大提高了早期乳腺癌表现的可视化,使乳腺癌检出率提高了40%。

什么是DBT ?

数字化乳腺三维断层摄影技术(Digital Breast Tomosynthesis, DBT)是一种三维成像技术,可以在短暂的扫描过程中,在不同角度获得乳腺的影像,然后将这些独立的影像重建成一系列高分辨率的断层影像,单独显示或以连续动态播放的形式动态显示。

乳腺断层扫描采用1毫米的成像厚度,1次拍摄40-70张影像,通过观察3D影像,可以有效排除腺体组织重叠所带来的影响,使图像的“可见度”提高,对于病变的观察、肿块边缘的显示以及分类的判定颇具优势。

DBT的临床价值

1、更准确的癌症检测:与传统二维乳腺钼靶比较,乳腺断层扫描提供了更详细的乳腺结构图像,具有1毫米的病灶精准度,对显示肿块的大小、形态、边界、数量,周围结构破坏,乳腺导管及血管扩张,肿块周围的微钙化等具有一定优势,特别是对致密型乳腺的病人,更能发现因组织重叠而无法发现的小肿块、毛刺征(恶性乳腺癌的典型表现),病灶聚焦至1毫米,大大提高微钙化早期乳腺癌的表现的检出率,使乳腺癌的检出率提高了40%。

2、降低假阳性结果:乳腺断层扫描可以减少由于组织重叠而产生的假阳性结果,因为它能提供三维的图像切片,使医生能够更清楚地观察到乳腺内部的结构。

3、更好的可视化:乳腺断层扫描能够在不同的角度和深度获取图像,提供更全面、更清晰的乳腺图像,有助于医生发现更小、更早期的肿瘤或病变,更好地评估异常区域。

DBT与MG的对比评价

1.肿块的显示

数字化乳腺摄影是什么新技术|石大一附院数字化乳腺断层摄影技术(DBT ) 让乳腺癌无处可藏!_https://www.jmylbn.com_新闻资讯_第2张

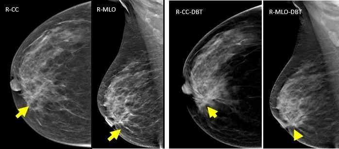
病例1:CC,MLO/DBT显示:肿块、形态、边缘、密度、大小、内部结构显示显著优于MG。病理:乳腺粘液癌。

数字化乳腺摄影是什么新技术|石大一附院数字化乳腺断层摄影技术(DBT ) 让乳腺癌无处可藏!_https://www.jmylbn.com_新闻资讯_第3张

病例2:CC,MLO/DBT显示:肿块、形态、边缘、密度、大小显示显著优于MG,特别是肿块周围晕环显示清晰,对于良恶性病变的鉴别颇具意义。病理:乳腺纤维腺瘤。

数字化乳腺摄影是什么新技术|石大一附院数字化乳腺断层摄影技术(DBT ) 让乳腺癌无处可藏!_https://www.jmylbn.com_新闻资讯_第4张

 病例3、病例4:CC,MLO/DBT显示:肿块、形态、边缘、密度、大小显示显著优于MG,周围毛刺征显示清晰明显。病理:乳腺浸润性导管癌。

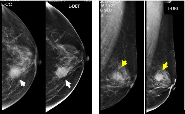
2.钙化的显示  

数字化乳腺摄影是什么新技术|石大一附院数字化乳腺断层摄影技术(DBT ) 让乳腺癌无处可藏!_https://www.jmylbn.com_新闻资讯_第5张

病例4、病例5:MLO/DBT显示:肿块、形态、边缘、密度、大小、钙化显示显著优于MG,肿块边缘的分叶改变、细沙粒样征象显示更加明显。病理:乳腺浸润性导管癌。

3.结构扭曲的显示

数字化乳腺摄影是什么新技术|石大一附院数字化乳腺断层摄影技术(DBT ) 让乳腺癌无处可藏!_https://www.jmylbn.com_新闻资讯_第6张

病例6:纤维腺瘤手术史,MG结构扭曲不明确;DBT明确结构扭曲病灶。

数字化乳腺摄影是什么新技术|石大一附院数字化乳腺断层摄影技术(DBT ) 让乳腺癌无处可藏!_https://www.jmylbn.com_新闻资讯_第7张

病例7:CC,MLO/DBT显示:肿块伴结构扭曲,周围毛刺及扭曲结构显示显著优于MG。病理:浸润性导管癌

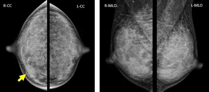
4.不对称性致密影的显示

数字化乳腺摄影是什么新技术|石大一附院数字化乳腺断层摄影技术(DBT ) 让乳腺癌无处可藏!_https://www.jmylbn.com_新闻资讯_第8张
数字化乳腺摄影是什么新技术|石大一附院数字化乳腺断层摄影技术(DBT ) 让乳腺癌无处可藏!_https://www.jmylbn.com_新闻资讯_第9张

病例7:查体:未扪及肿块,腺体中R-2D-CC卵圆形不对称致密,DBT显示球形不对称为乳腺正常腺体结构。

通过对比我们明显看出传统乳腺摄影由于周围致密的腺体组织重叠影响,很难辨认肿块的边界及形态,特别在致密型腺体的病人中乳腺癌的漏诊率高达76%。而在DBT影像中,可以很清楚的显示肿块的位置和形态,大大提高了乳腺癌的检出率,降低了漏诊率,特别是对某些不可触及的早期乳腺癌的诊断,具有十分重要的意义。


供稿|医学影像中心  常燕

排版|权江宏

编辑|李伊萍

审核|权江宏

数字化乳腺摄影是什么新技术|石大一附院数字化乳腺断层摄影技术(DBT ) 让乳腺癌无处可藏!_https://www.jmylbn.com_新闻资讯_第10张

数字化乳腺摄影是什么新技术|石大一附院数字化乳腺断层摄影技术(DBT ) 让乳腺癌无处可藏!_https://www.jmylbn.com_新闻资讯_第11张