彩超伪像是什么超声伪像

新闻资讯2026-04-24 02:35:13

以下是我在美国Thomas Jefferson大学留学时的读书笔记——超声伪像。超声伪像是每个超声医师必须了解和掌握的内容。希望对大家有所帮助。我们来梳理一下:

一、什么是伪像?  
指图像中并非真实存在或与扫描对象无一一对应关系的结构或特征。 

 
二、表现形式:  
 - 不真实的结构  
 - 缺失的结构  
 - 位置错误的结构  
 - 亮度、大小或形状异常的结构  

三、为何会出现伪像?  
-根本原因:超声系统的基本假设被打破。  
- 超声系统的假设:  
 1. 声波沿直线传播  
 2. 回声仅来自声束轴线上的物体  
 3. 回声振幅直接反映物体的反射或散射特性  
 4. 距离与声波往返时间成正比(13微秒/厘米)  

- 现实情况是:  
1.声束会发生偏转和折射不同

2.声束路径上的衰减存在差异

3.软组织的声速不同  
4.声束宽度存在变化  

四、伪像类型  
1. 分辨率相关伪像

彩超伪像是什么超声伪像_https://www.jmylbn.com_新闻资讯_第1张

 

彩超伪像是什么超声伪像_https://www.jmylbn.com_新闻资讯_第2张

  - 轴向分辨率(无法分辨平行于声束的两个反射体)  
  - 侧向分辨率(无法分辨垂直于声束的两个反射体)  
  - 斑点噪声(散斑):由声波干涉效应导致,呈现颗粒状纹理(亮区为相长干涉,暗区为相消干涉)  
  - 波束宽度效应(小反射体显示为短线,无回声区部分填充)  
  - 切面厚度伪像(三维信息被压缩为二维,声束垂直方向宽度影响)  

2. 衰减相关伪像
  - 声影(强衰减结构后方回声减弱) 

彩超伪像是什么超声伪像_https://www.jmylbn.com_新闻资讯_第3张

 
- 边缘声影(弯曲界面处的声束偏折和折射导致衰减) 

彩超伪像是什么超声伪像_https://www.jmylbn.com_新闻资讯_第4张

 
- 增强效应(低衰减结构后方回声振幅增高)

彩超伪像是什么超声伪像_https://www.jmylbn.com_新闻资讯_第5张

   

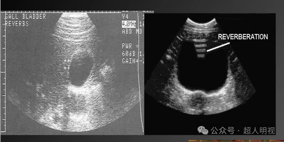
3,传播相关伪像
  - 混响伪像(声波在探头与强反射体间多次反射,间隔均匀且逐渐减弱) 

彩超伪像是什么超声伪像_https://www.jmylbn.com_新闻资讯_第6张

 
- 彗星尾伪像(金属等强反射体导致密集短小回声线) 

彩超伪像是什么超声伪像_https://www.jmylbn.com_新闻资讯_第7张

 
- 环形衰减伪像(气泡或脂质集合体共振引发持续声发射)  
  - 镜面伪影(强反射界面另一侧显示镜像结构)  
  - 折射伪影(声速差异导致结构位置显示错误) 

彩超伪像是什么超声伪像_https://www.jmylbn.com_新闻资讯_第8张

 
- 传播速度误差(声速偏离1540 m/s时,结构显示位置偏移) 

- 声速>1540 m/s → 结构显示更近(回声返回更快)  
 - 声速<1540 m/s → 结构显示更远(回声返回更慢)

彩超伪像是什么超声伪像_https://www.jmylbn.com_新闻资讯_第9张

 
4. 其他伪像
  - 旁瓣伪像(主声束外能量导致目标旁侧虚假回声)  
  - 栅瓣伪像(阵列探头主声束大角度能量产生“鬼影”)  
  - 多普勒频谱镜像(增益过高或入射角接近90度时频谱基线对侧显示错误

 
 总结  
超声伪像是超声成像的固有挑战,需通过优化设备设置、调整探头角度及结合临床经验进行识别和规避。  

彩超伪像是什么超声伪像_https://www.jmylbn.com_新闻资讯_第10张
彩超伪像是什么超声伪像_https://www.jmylbn.com_新闻资讯_第11张
彩超伪像是什么超声伪像_https://www.jmylbn.com_新闻资讯_第12张