彩超伪像是什么心脏超声伪像有哪些?如何识别它们?

新闻资讯2026-04-24 02:35:00

彩超伪像是什么心脏超声伪像有哪些?如何识别它们?_https://www.jmylbn.com_新闻资讯_第1张


我们在进行心脏超声检查时,常会遇到一些似是非是的伪像,正确认识这些伪像会大大提高我们的工作效率和诊断的准确性。


彩超伪像是什么心脏超声伪像有哪些?如何识别它们?_https://www.jmylbn.com_新闻资讯_第2张

 1、超声成像基本原理

为了生成图像,超声系统都要做以下假设:

1、超声波沿直线传播。

2、一个结构或物体(反射体)只产生一次反射(回波)。

3、回波仅从位于主超声波束内的反射器产生。

4、回声的强度与反射体的声学特性有关。

5、显示器上反射体的位置与超声波束的往返行程时间成比例。

6、声音在人体组织中的速度是恒定的。


彩超伪像是什么心脏超声伪像有哪些?如何识别它们?_https://www.jmylbn.com_新闻资讯_第3张



图1 (A)超声波遵循反射和折射的物理定律。一部分超声波能量将被反射,反射角等于入射角。另一部分将被透射,其反射角取决于两种组织之间声阻抗的差异大小。

(B)超声波束形成与小部分超声波能量在所谓的旁瓣或栅瓣中离轴传播有关。


彩超伪像是什么心脏超声伪像有哪些?如何识别它们?_https://www.jmylbn.com_新闻资讯_第4张

 2、混响伪像

混响伪像违反了回波在一次反射后返回探头的假设。理论上,当超声波从探头发射时,反射波直接传输回探头,进行一次往返。实际上,第一次反回到探头的声波又从探头的平滑面再次反射,在两倍于第一反射器的距离处产生伪像。在心动周期期间,伪影的运动与真实结构的运动平行,但幅度更大(通常是两倍)(视频1-3)。

彩超伪像是什么心脏超声伪像有哪些?如何识别它们?_https://www.jmylbn.com_新闻资讯_第5张

图2 (A,B)混响假象的理论成因(视频1)。第二反射界面可以是探头本身(A ),导致到探头两倍距离处的混响,或者是位于第一反射器上方的另一个强反射器(B)。

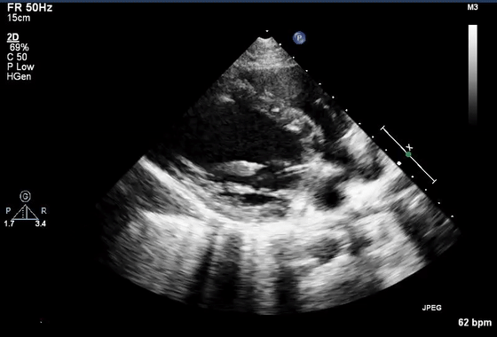
(C)胸骨旁长轴切面中的混响伪影似为左心房中的肿块(箭头)。对肿块的详细分析表明,它是钙化主动脉瓣环的反射(箭头),肿块正好出现在距离传感器两倍的距离处(视频2)。

(D)“多层”主动脉钙化(箭头)下方典型的“阶梯式”反射(实心箭头),作为第一和第二反射层(视频3)。也可以观察到强反射心包下的彗尾反射(空箭头)。

彩超伪像是什么心脏超声伪像有哪些?如何识别它们?_https://www.jmylbn.com_新闻资讯_第6张

  视频1 混响伪像的起源


彩超伪像是什么心脏超声伪像有哪些?如何识别它们?_https://www.jmylbn.com_新闻资讯_第7张

视频2 疑似左心房肿块是主动脉钙化的混响伪影(左房内下方摆动的光团)


彩超伪像是什么心脏超声伪像有哪些?如何识别它们?_https://www.jmylbn.com_新闻资讯_第8张

视频3 主动脉钙化下方的混响阶梯


彩超伪像是什么心脏超声伪像有哪些?如何识别它们?_https://www.jmylbn.com_新闻资讯_第9张

 3、镜像伪影

镜面伪影通常出现在强反射表面之下,就像镜子对光的作用一样,在镜子后面产生镜子前真实结构的声像图;镜像的图像与镜像的方向相反,就像真实的结构一样。

最常见的强反射(镜面反射)导致镜像伪影的是肺。

彩超伪像是什么心脏超声伪像有哪些?如何识别它们?_https://www.jmylbn.com_新闻资讯_第10张

图3 镜像伪影的理论成因(视频4)。(B)胸骨旁长轴图像显示心包-肺界面下方的镜像伪影(红色箭头)(视频5)。请注意后部心肌组织(星号)、后部二尖瓣叶(实心箭头)和前部二尖瓣叶(空心箭头)的镜像。由于强反射肺界面,心包下的彗尾反射也可以观察到。

彩超伪像是什么心脏超声伪像有哪些?如何识别它们?_https://www.jmylbn.com_新闻资讯_第11张

视频4 镜像伪影原理


彩超伪像是什么心脏超声伪像有哪些?如何识别它们?_https://www.jmylbn.com_新闻资讯_第12张

视频5 胸骨旁长轴中的镜像伪像,可以看到肺界面下的心肌组织及下方二尖瓣镜像结构


彩超伪像是什么心脏超声伪像有哪些?如何识别它们?_https://www.jmylbn.com_新闻资讯_第9张

 4、折射伪像或双影

超声声束在经过声阻抗有显著差别的界面时,声束就会发生折射。折射导致的声束的传播方向发生弯曲,但是,超声仪器在成像的过程中都是假定声束是直线传播的,这就会出现显示的位置与实际位置出现偏差,从而形成伪像。

彩超伪像是什么心脏超声伪像有哪些?如何识别它们?_https://www.jmylbn.com_新闻资讯_第14张

图4(A)折射伪像的理论起源。通过“透镜”引导的超声波朝向相应的心脏对象折射并返回,导致该对象在初始波束方向上的复制(视频6)。(B) 由于超声束在肝周脂肪组织(红箭头)的折射,心脏的剑突下短轴中的主动脉的两个图像(视频7)。

彩超伪像是什么心脏超声伪像有哪些?如何识别它们?_https://www.jmylbn.com_新闻资讯_第15张

视频6 折射伪像的原理


彩超伪像是什么心脏超声伪像有哪些?如何识别它们?_https://www.jmylbn.com_新闻资讯_第16张

视频7 剑突下短轴中主动脉的两个图像


彩超伪像是什么心脏超声伪像有哪些?如何识别它们?_https://www.jmylbn.com_新闻资讯_第9张

 5、旁瓣伪影

在“旁瓣”中发射的一小部分超声能量大部分在组织中消散,而没有相关的反射。

然而,当这种旁瓣能量在其路径上被强反射体(电线、钙化物、心包)反射时,这些反射被扫描仪解释为源自中央波束(违反了“回波来源于探头的主波束”的假设

彩超伪像是什么心脏超声伪像有哪些?如何识别它们?_https://www.jmylbn.com_新闻资讯_第18张

图5(A) 旁瓣伪影的成因。导致强反射器两侧出现线性“弧形”伪影(视频8)。

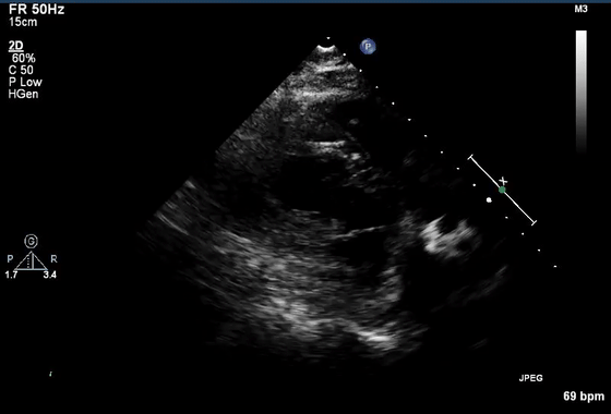
(B) 胸骨旁长轴视图,主动脉中有线性旁瓣伪影(箭头),由于钙化的窦(箭头)而上升。这种伪影有时会被误解为解剖皮瓣。

(C) 胸骨旁长轴图显示一名健康患者的心包强烈反射,导致左心房出现旁瓣伪影(箭头)。图像(视频9)、彗星尾混响、声阴影、近场杂波以及二尖瓣叶的镜像也可以观察到。

彩超伪像是什么心脏超声伪像有哪些?如何识别它们?_https://www.jmylbn.com_新闻资讯_第19张

视频8 旁瓣伪影的动画示意图


彩超伪像是什么心脏超声伪像有哪些?如何识别它们?_https://www.jmylbn.com_新闻资讯_第20张

视频9 胸骨旁长轴切面显示强反射心包(在左心房)的旁瓣伪影,还可以看到彗尾混响、声影、近场杂波和心包下方二尖瓣的镜像


彩超伪像是什么心脏超声伪像有哪些?如何识别它们?_https://www.jmylbn.com_新闻资讯_第9张

 6、波束宽度伪像

在临床实践中,来自高反射环形界面的波束宽度伪影可能被混淆为血栓或赘生物(类似于旁瓣伪影)。此外,识别显示相邻结构中强多普勒信号的平面外伪影也很重要,例如,主动脉瓣狭窄患者的LVOT血流受到干扰,产生明显的三尖瓣返流(无典型方向或缩流)或明显的二尖瓣返流偏心指向左心耳方向,产生明显的像是肺动脉收缩期的异常血流(图6B和6C)。

彩超伪像是什么心脏超声伪像有哪些?如何识别它们?_https://www.jmylbn.com_新闻资讯_第22张

图6 (A)超声波束的横向宽度和仰角宽度分别导致横向分辨率降低和波束宽度伪像的出现。

扫描平面内的蓝色正方形物体在光束中心被正确识别。然而,由于波束的仰角宽度,成像平面外的绿色圆形物体在扫描平面内定位不正确。(B)胸骨旁肺动脉短轴图像,显示不明原因的湍流流入左肺动脉(LPA;箭头),无分流或狭窄迹象。(C)将探头倾斜出扫描平面,显示大量二尖瓣反流进入超声束所作用的左心房(LA),好像发生在肺动脉(PA)。AO,主动脉;RA,右心房;RPA,右肺动脉;RVOT,右室流出道。


彩超伪像是什么心脏超声伪像有哪些?如何识别它们?_https://www.jmylbn.com_新闻资讯_第9张

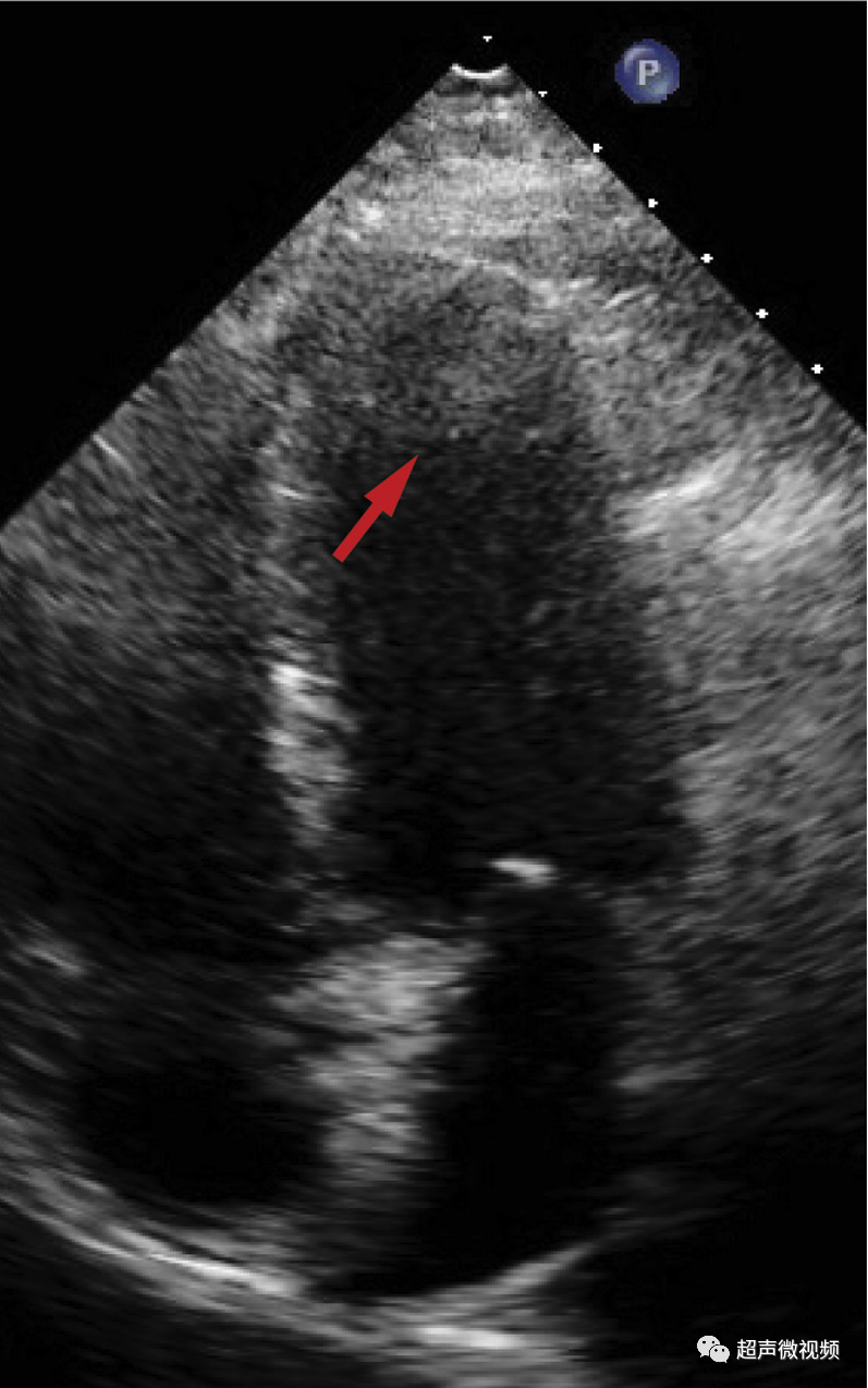
 7、近场杂波

由于探头换能器本身的高振幅振荡,近场结构有时会被遮蔽,造成所谓的近场杂波。这在怀疑有心尖室血栓的病例中尤其重要(图7,视频10)。谐波成像的引入和换能器设计技术的进步已经减少了这种伪影的发生。


彩超伪像是什么心脏超声伪像有哪些?如何识别它们?_https://www.jmylbn.com_新闻资讯_第24张

图7 心尖四腔视图中的近场杂波(箭头),疑似心尖血栓。(视频10)显示正常的心尖心肌动力学,杂乱回波和心肌运动之间没有关系。


彩超伪像是什么心脏超声伪像有哪些?如何识别它们?_https://www.jmylbn.com_新闻资讯_第25张

视频10  疑似左心室心尖血栓的近场杂波,可以发现其与心肌运动之间没有关系


彩超伪像是什么心脏超声伪像有哪些?如何识别它们?_https://www.jmylbn.com_新闻资讯_第9张

 8、心脏器械之人工瓣膜

植入式心脏设备,如起搏器和植入式心律转复除颤器导线、导管、机械循环支持设备和人工瓣膜,通常代表强反射体,容易出现上述反射相关伪像(反射或彗尾、阴影和镜像)以及旁瓣和波束宽度伪像。因此,心脏设备使超声心动图图像的解读变得复杂(图8),需要从不同的成像角度仔细检查设备和周围结构。


彩超伪像是什么心脏超声伪像有哪些?如何识别它们?_https://www.jmylbn.com_新闻资讯_第27张图 8 心脏装置作为图像伪影的来源。

(A)人工机械二尖瓣下方的多个混响和彗尾(箭头)以及瓣环下方的两个声学阴影区域(星号)(视频 11)。(B) 植入 MitraClip 装置(箭头)远端的声学阴影(星号)。还要注意血流信号的阴影,这可能会导致低估二尖瓣反流量。(C) 右心房 (RA) (箭头) 中的起搏器导线,导线下方有线性彗尾混响 (箭头),旁瓣伪影沿径向延伸。(D) 右心室 (RV)(箭头)中的除颤器导线,具有穿过解剖边界(室间隔)的线性弧状旁瓣伪影。这不应被误解为错位(穿孔)导线进入左心室腔(视频 12)。

彩超伪像是什么心脏超声伪像有哪些?如何识别它们?_https://www.jmylbn.com_新闻资讯_第28张

视频11 人工机械二尖瓣下方引起多重混响、彗尾和声影


彩超伪像是什么心脏超声伪像有哪些?如何识别它们?_https://www.jmylbn.com_新闻资讯_第29张

视频12 由于右心室中存在除颤器导线引起的线性弧状旁瓣伪影的胸骨旁短轴图像。伪影跨越解剖边界(室间隔)


彩超伪像是什么心脏超声伪像有哪些?如何识别它们?_https://www.jmylbn.com_新闻资讯_第9张

 9、心脏器械之圆盘封堵器

由于超声波与设备几何形状之间的相互作用,具有特定几何设计的设备有时会产生不常见的伪影,对于镜面反射而言,反射角等于入射角的物理原理。在对经皮圆盘封堵器进行成像时获得的“8”字形伪影(图9)是此类基于超声反射物理的设备特定伪影的典型示例。


彩超伪像是什么心脏超声伪像有哪些?如何识别它们?_https://www.jmylbn.com_新闻资讯_第31张



图9 圆盘封堵器超声心动图评估中的8字形伪影。

(A)在LAA成功植入Amplatzer心脏栓塞后的三维超声心动图。(B)同一患者心尖五腔心切面,Amplatzer心脏封堵器位置正确,呈8字形(视频13)。(C)LAA闭塞后患者的心尖三腔心切面(稍微偏离轴)。(D)PFO封堵术后几年患者房间隔胸骨旁切面中的卵圆孔未闭(PFO)封堵器(视频14)。中央图像:由于圆盘封堵器的外旋轮线网格几何形状,声波仅通过带有垂直于波束方向的纤维的小网格段反射回探头。这些以8字形排列(如图中的绿线所示)。

彩超伪像是什么心脏超声伪像有哪些?如何识别它们?_https://www.jmylbn.com_新闻资讯_第32张

视频13 使用Amplatzer封堵器封堵左心耳后,在心尖五腔心切面观察到“8”字形伪像


彩超伪像是什么心脏超声伪像有哪些?如何识别它们?_https://www.jmylbn.com_新闻资讯_第33张

视频14 在房间隔的胸骨旁非标准切面中由卵圆孔未闭封堵器引起的“8”字形伪像


彩超伪像是什么心脏超声伪像有哪些?如何识别它们?_https://www.jmylbn.com_新闻资讯_第9张

 10、经食管超声图像伪像

虽然上面介绍的主要集中在常规经胸超声心动图,但上述伪像也经常在经食管超声心动图中遇到。图10显示了经食管超声心动图中一些常见的伪像。在这方面最相关的临床情况是(1)排除LAA中的血栓(图10E和10F)和(2)排除主动脉夹层(图10G和10H)。


彩超伪像是什么心脏超声伪像有哪些?如何识别它们?_https://www.jmylbn.com_新闻资讯_第35张

图10经食管图像伪影。

(A)二尖瓣小叶的混响伪影,距离探头正好两倍,表现为左心室腔内的导线(视频15)。

(B)机械主动脉瓣在右心室(RV)(星号)的大部分上投射声学阴影,并在侧面(箭头)投射混响(彗星尾)(视频16)。

(C)房间隔穿刺的导管,由于在(中空)导管上下侧的反射,出现一系列紧密间隔的混响(箭头),并且由于在探头本身的反射,在距离探头两倍的距离处出现一个混响。

(D)疑似两个平行的主动脉(Ao)的镜像伪影(星号)。注意血流也产生镜像伪像(视频17)。

(E)左心耳疑似血栓的混响伪影。从多个角度(见图F)进行分析证实存在华法林嵴的混响(星号),而不是真正的血栓(视频18-19)。

(G)在升主动脉(视频20)中延伸的钙化窦管连接(箭头)的旁瓣伪影(箭头)不应被误解为夹层。

(H)同样,升主动脉中的回声可能会被误解为夹层。

彩超伪像是什么心脏超声伪像有哪些?如何识别它们?_https://www.jmylbn.com_新闻资讯_第36张

视频15 二尖瓣叶的混响伪影(左心室腔中部处的水平线)与探头的距离正好两倍,在经食管成像中表现为左心室腔中的一根导线。请注意伪像相对于“真实”二尖瓣小叶的典型平行运动


彩超伪像是什么心脏超声伪像有哪些?如何识别它们?_https://www.jmylbn.com_新闻资讯_第37张

视频16 机械主动脉瓣在大部分右心室投射声影,并在经食道成像中向侧面产生混响(彗尾)


彩超伪像是什么心脏超声伪像有哪些?如何识别它们?_https://www.jmylbn.com_新闻资讯_第38张

视频17 两条平行主动脉的经食管成像中升主动脉的镜像伪像。


彩超伪像是什么心脏超声伪像有哪些?如何识别它们?_https://www.jmylbn.com_新闻资讯_第39张

视频18 疑似左心耳血栓的混响伪像


彩超伪像是什么心脏超声伪像有哪些?如何识别它们?_https://www.jmylbn.com_新闻资讯_第40张

视频19 左心耳的其他切面证实是华法林脊的混响伪像(对比视频18)


彩超伪像是什么心脏超声伪像有哪些?如何识别它们?_https://www.jmylbn.com_新闻资讯_第41张

视频20  经食管超声显示升主动脉图像,伴有来自疑似主动脉夹层的钙化窦管交界处的旁叶伪像(下方钙化窦管交界处的线状光带


心脏超声的伪像与反射和折射的物理特性(混响、声影、镜像伪影、折射伪影)或超声波束属性和设备(旁瓣伪影、波束宽度伪影、近场杂波)有关。识别这种伪像需要通过改变成像设置,或改变成像位置和角度来避免伪像的产生,如不能避免伪像产生时需要确认伪像的性质,这是我们超声医师应掌握的重要部分。以上内容愿能帮助我们超声医师,也可以关注我们的视频号《超声短视频》了解超声伪像的具体实例并作如何鉴别。

彩超伪像是什么心脏超声伪像有哪些?如何识别它们?_https://www.jmylbn.com_新闻资讯_第42张



Warning: file_get_contents(/www/wwwroot/jmylbn.com/wp-content/cache/wpzt_/6c/671c89b994abd74fa4e05a725d03d4.tpl): failed to open stream: No such file or directory in /www/wwwroot/jmylbn.com/wp-content/themes/wpzt-answer/vendor/wpzt/cache/driver/File.php on line 125