彩色眼底照相查什么儿医小课堂 595 | 眼底健康侦察兵:让隐匿疾病无处遁形

新闻资讯2026-04-24 02:32:29
彩色眼底照相查什么儿医小课堂 595 | 眼底健康侦察兵:让隐匿疾病无处遁形_https://www.jmylbn.com_新闻资讯_第1张

眼底血管造影是眼科的一项重要检查,对于各种眼底疾病的诊断与评估起到关键的作用。

传统的眼底血管造影需要静脉注射造影剂后立刻进行检查,即需要打针。打针可能会引起患儿生理上的疼痛和心理上的畏惧,难以配合检查。而对于口服眼底血管造影检查而言,患儿只需口服造影药物,无需再打针,检查体验更加舒适。且口服造影药物能通过胃肠道缓慢吸收,相比静脉注射药物迅速进入血液,不良反应发生率显著降低。

今天就来和大家聊聊眼底血管造影的作用。




什么是眼底?







许多家长会以为眼底是眼睛的底部,也就是下眼皮附近。实际上,医生所说的眼底是指眼睛的内部,不借助检查设备,光用肉眼是看不到的,你能看到的所有地方都不是眼底。家长们可以在脑海里自动把“眼底”替换成“眼内”,就可以理解了。

正因为眼底用肉眼无法看到,眼底的疾病往往十分隐匿,家长无法察觉,小朋友大多又不会主动表达,许多疾病可能发展到晚期才发现。另一方面,眼底疾病许多都是不可逆的,错过治疗时间窗口会造成永久性的视力下降。

彩色眼底照相查什么儿医小课堂 595 | 眼底健康侦察兵:让隐匿疾病无处遁形_https://www.jmylbn.com_新闻资讯_第2张

因此,借助各种设备对眼底进行检查十分重要。通过超广角眼底照相、自发荧光、超广角OCTA(光学相干断层扫描)、眼部B超、视野、视觉诱发电位(VEP)、视网膜电图(ERG)等眼底各项检查,能够对患儿的病情进行全面、综合、准确的评估和治疗。

什么是血管造影?







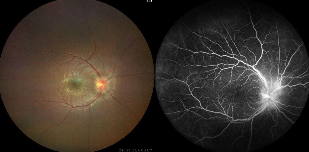
眼底结构十分复杂,当我们需要对血管进行针对性检查时,就可以进行血管造影,就像PS一样,一键去除眼底复杂的背景,仅保留血管。比如下列右图,是不是血管显示得比左图要清楚的多了?

彩色眼底照相查什么儿医小课堂 595 | 眼底健康侦察兵:让隐匿疾病无处遁形_https://www.jmylbn.com_新闻资讯_第3张

这个神奇的PS是如何实现的呢?这就需要使用造影剂了。眼底血管造影使用的造影剂是荧光素钠。当荧光素钠进入血管以后,只有血管里有荧光素钠,血管外没有荧光素钠。此时再用特定波长的光线去采集荧光素钠的信号,就等于是只采集到了血管的信号,其余结构都不会显示了。

当血管有病变的情况下,荧光素钠就可能突破受损的血管,从血管中渗漏出来。若医生发现血管外出现了荧光素钠,提示这一区域病灶可能需要进行干预。因此,眼底血管造影除了能更好的显示血管以外,更重要的是能够对病变的活动性进行评估,对于后续的治疗方案制定起着关键的作用。

什么疾病需要进行眼底血管造影?







1.葡萄膜炎:许多全身风湿性疾病和自身免疫性疾病容易伴发眼部葡萄膜炎。眼底血管造影对于葡萄膜炎疾病的活动性评估十分重要。

2.早产儿视网膜病变:早产儿中容易出现的一种眼底疾病,表现为眼底血管发育不完全、血管渗漏、血管畸形、新生血管等。眼底血管造影能够清晰显示早产儿视网膜病变中的血管改变。

3.家族性渗出性视网膜病变(FEVR)、外层渗出性视网膜病变(Coats病)、糖尿病视网膜病变、色素失禁症等其他视网膜疾病。

彩色眼底照相查什么儿医小课堂 595 | 眼底健康侦察兵:让隐匿疾病无处遁形_https://www.jmylbn.com_新闻资讯_第4张

图为葡萄膜炎患者眼底造影,视盘强荧光渗漏,视网膜毛细血管广泛渗漏