彩色眼底照相查什么2024全国爱眼日| 眼底一张照,眼病早知道

新闻资讯2026-04-24 02:32:03

     今年6月6日是第29个全国爱眼日,今年的主题为“关注普遍的眼健康”。山东省第二康复医院眼科专家杜巍提醒您,眼底照相可以发现眼底的病变,做到早发现,早诊断,早干预。

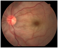
     一、什么是眼底彩色照相?

     眼底彩色照相是一种方便、非接触式的眼科检查,可观察视神经、视网膜、
脉络膜以及屈光间质中是否存在病变,是目前临床筛查眼底疾病最常用的方法。

     眼底病由于其病因复杂,早期无明显自觉症状,不易被发现,当患者觉察出视力异常时往往为时已晚,因此早期筛查、早期诊断、早期治疗是防治眼底病的关键。

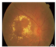
     二、眼底照相的适宜人群有哪些?

     1.有视力下降、视物扭曲变形、黑影飘动等症状患者。

彩色眼底照相查什么2024全国爱眼日| 眼底一张照,眼病早知道_https://www.jmylbn.com_新闻资讯_第1张

     2.糖尿病患者。无视网膜病变者应每年检查眼底一次,出现视网膜病变的则缩短检查周期;

彩色眼底照相查什么2024全国爱眼日| 眼底一张照,眼病早知道_https://www.jmylbn.com_新闻资讯_第2张

     3.高度近视患者。由于眼轴的增长,容易造成视网膜脱离等眼底病变。

彩色眼底照相查什么2024全国爱眼日| 眼底一张照,眼病早知道_https://www.jmylbn.com_新闻资讯_第3张

     4.青光眼患者及有青光眼家族病史的人群,建议定期检查眼底。

彩色眼底照相查什么2024全国爱眼日| 眼底一张照,眼病早知道_https://www.jmylbn.com_新闻资讯_第4张

     5.高血压患者。由于血压增高易导致视网膜血管发生阻塞或出血。

彩色眼底照相查什么2024全国爱眼日| 眼底一张照,眼病早知道_https://www.jmylbn.com_新闻资讯_第5张

     三、我们的优势:免散瞳

     传统眼底照相检查需要点眼液散瞳等待半小时后才可进行检查,瞳孔散大后畏光模糊,需要4-6小时才能恢复。我院眼科应用免散瞳眼底照相机检查眼底,图像获取清晰迅速,让整个检查过程更简单、快捷、舒适。

     眼科门诊电话:0538-8202098


点击下图,获取更多联系方式 

彩色眼底照相查什么2024全国爱眼日| 眼底一张照,眼病早知道_https://www.jmylbn.com_新闻资讯_第6张