口腔ct什么牌子好“聪明可靠”的口腔全景CT来喽!赶紧上车来“瞧瞧”~

新闻资讯2026-04-24 00:44:57

口腔ct什么牌子好“聪明可靠”的口腔全景CT来喽!赶紧上车来“瞧瞧”~_https://www.jmylbn.com_新闻资讯_第1张

日常生活中,

不少朋友都有过拍“牙片”的体验。

在口腔科,

医生进行完初步检查后,

都会根据治疗需要给患者安排“拍片”。


上全新设备

口腔ct什么牌子好“聪明可靠”的口腔全景CT来喽!赶紧上车来“瞧瞧”~_https://www.jmylbn.com_新闻资讯_第2张

德国卡瓦X-TREND口腔全景CT

口腔ct什么牌子好“聪明可靠”的口腔全景CT来喽!赶紧上车来“瞧瞧”~_https://www.jmylbn.com_新闻资讯_第3张

该设备拥有领面自锁、颌面聚焦及颌面独立头影技术,并且在抗金属伪影方面拥有卓越的表现。

不仅如此,微光技术也会让更多患者收到更低的辐射剂量。

结合卓越的影像质量、全面的功能应用、便捷的操作流程、专业级口腔医生,为您提供影像诊疗的整体解决方案。


有什么区别?
记得以前都是照“X片、CT”


口腔X是二维的片子,放大率不均等,局部可能存在扭曲,无法显示三维的空间结构。

还有口腔CT (通常指的是医学螺旋CT)可以观看颅骨每一层的结构,包括牙的结构,但它还是很多二维的片子构成。

而这个口腔全景CT 即锥形束CT可以三维建模(只能在电脑上看),可以从各个角度各个层面来观看头颅的三维结构。


口腔ct什么牌子好“聪明可靠”的口腔全景CT来喽!赶紧上车来“瞧瞧”~_https://www.jmylbn.com_新闻资讯_第4张


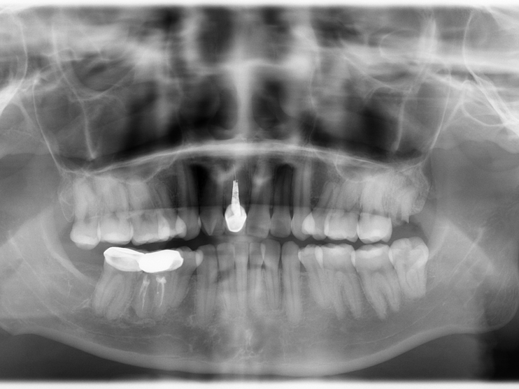
口腔全景牙片
颌面骨侧面全景

口腔ct什么牌子好“聪明可靠”的口腔全景CT来喽!赶紧上车来“瞧瞧”~_https://www.jmylbn.com_新闻资讯_第5张

可以观察全口牙列,上下颌骨外伤、炎症、畸形等病变及周围组织的关系。


口腔全景CT的优点
口腔ct什么牌子好“聪明可靠”的口腔全景CT来喽!赶紧上车来“瞧瞧”~_https://www.jmylbn.com_新闻资讯_第6张




 压槽骨科手术 



通过牙科三维CT的立体影像可以全面了解牙齿周围的解剖结构,牙根的位置、下颌神经管的走向和范围,上颌窦底的位置及上下牙压根与上额窦的关系,下牙压根与下颌神经管的位置关系等。

手术室就可采用更加安全的方法,避免损伤上颌窦和下齿槽神经。

口腔ct什么牌子好“聪明可靠”的口腔全景CT来喽!赶紧上车来“瞧瞧”~_https://www.jmylbn.com_新闻资讯_第7张




 牙体牙髓病科治疗 


牙科三维CT对牙根周围的解剖关系、炎症病变、囊肿等能够轻而易举的进行诊断。

例如根纵裂的诊断,根管内异物的定位等,找准了原因,结合先进的治疗技术因病施治,使疑难病例的治疗变得轻松起来。

口腔ct什么牌子好“聪明可靠”的口腔全景CT来喽!赶紧上车来“瞧瞧”~_https://www.jmylbn.com_新闻资讯_第8张




 种植牙修复 


在种植牙前利用牙科三维CT对患者的牙床进行检查,可精确牙槽骨的宽度、厚度及高度、骨的密度、重要的颜面神经、血管和鼻窦位置等。

临床医生不仅可以在电脑直观的看到牙槽骨的立体影像,还可以切换不同的视角来观察软硬组织之间的位置关系,在手术方案中避开危险区域,保证手术的安全性。

口腔ct什么牌子好“聪明可靠”的口腔全景CT来喽!赶紧上车来“瞧瞧”~_https://www.jmylbn.com_新闻资讯_第9张


口腔肿瘤的诊断、牙周病的诊断与治疗、正畸治疗容易达成理解和配合。提高患者对治疗的接受程度和满意度。
口腔ct什么牌子好“聪明可靠”的口腔全景CT来喽!赶紧上车来“瞧瞧”~_https://www.jmylbn.com_新闻资讯_第10张
口腔ct什么牌子好“聪明可靠”的口腔全景CT来喽!赶紧上车来“瞧瞧”~_https://www.jmylbn.com_新闻资讯_第11张

温馨提示

 

1.检查前请摘下活动义齿,耳环,项链,发卡等易造成伪影的物品。

2.拍完片后系统会自动发放到口腔科,无需等待结果。








呵护老年健康,提供"老年友善”医疗照护

四川省老年病医院(省五医院)一直在行动



着力解决老年人
听得见、看得到、吃得下、
解得出、管得住、记得到
站得稳、走得远”的问题


信息来源:放射科杨瑞

五妹 编发

下周精彩继续

口腔ct什么牌子好“聪明可靠”的口腔全景CT来喽!赶紧上车来“瞧瞧”~_https://www.jmylbn.com_新闻资讯_第12张

四川省老年病医院(省五医院)

四川大学华西医院老年医学中心


口腔ct什么牌子好“聪明可靠”的口腔全景CT来喽!赶紧上车来“瞧瞧”~_https://www.jmylbn.com_新闻资讯_第13张


口腔ct什么牌子好“聪明可靠”的口腔全景CT来喽!赶紧上车来“瞧瞧”~_https://www.jmylbn.com_新闻资讯_第14张


口腔ct什么牌子好“聪明可靠”的口腔全景CT来喽!赶紧上车来“瞧瞧”~_https://www.jmylbn.com_新闻资讯_第15张

口腔ct什么牌子好“聪明可靠”的口腔全景CT来喽!赶紧上车来“瞧瞧”~_https://www.jmylbn.com_新闻资讯_第16张

【省老年病医院·省五医院】“药学门诊”开诊啦! 星期三约~

慢性疼痛性疾病?骨关节疾病?······到省老年病医院(省五医院)三楼康复中心

HTO手术让阿姨的“罗圈腿”变直了!


口腔ct什么牌子好“聪明可靠”的口腔全景CT来喽!赶紧上车来“瞧瞧”~_https://www.jmylbn.com_新闻资讯_第17张分享,收藏,点赞,在看,安排一下?