DOI:10.3760/cma.j.cn112144-20241213-00478
曲晨曦潘妍鑫王冏珂曾昕陈谦明 
四川大学华西口腔医院口腔黏膜病科 口腔疾病防治全国重点实验室 国家口腔医学中心 国家口腔疾病临床医学研究中心 中国医学科学院口腔黏膜癌变与防治创新单元,成都 610041陈谦明现在浙江大学医学院附属口腔医院口腔内科中心·浙江大学口腔医学院 浙江省口腔疾病临床医学研究中心 浙江省口腔生物医学研究重点实验室 浙江大学癌症研究院 口腔生物材料与器械浙江省工程研究中心,杭州 310005
▲ 识别二维码,访问全文
摘 要难治性口腔扁平苔藓是对常规糖皮质激素治疗反应不佳的一类口腔扁平苔藓,可对患者的生活质量和心理负担产生严重影响。随着激光物理技术的不断进步,激光已广泛应用于临床诊断与治疗中,在口腔黏膜领域也被应用于治疗口腔白斑病、复发性阿弗他溃疡、口腔扁平苔藓等多种疾病。本文报道1例腭部难治性口腔扁平苔藓,采用半导体激光治疗取得了较好的治疗效果,随访3个月病情无复发,本病例为临床上治疗难治性口腔扁平苔藓提供了一种可行的治疗方法。
本文来源:中华口腔医学杂志2025年第60卷第4期
口腔扁平苔藓(oral lichen planus,OLP)是一种发生在口腔黏膜上的慢性炎症性疾病,属于口腔潜在恶性疾患(oral potentially malignant disorders,OPMDs)。OLP的病因尚不明确,好发于中年,女性多于男性。目前,局部糖皮质激素治疗是OLP的一线治疗手段[1],但部分OLP患者对糖皮质激素治疗反应不佳。Mu等[2]通过文献回顾统计分析将以下情况定义为难治性OLP(refractory OLP,ROLP):①局部长效或强效糖皮质激素治疗超过1.5个月且无效;②口服糖皮质激素治疗1个月以上无效;③接受糖皮质激素治疗无效,随后改用其他免疫抑制药物(例如吗替麦考酚酯、羟基脲、氨苯砜和环孢素等)超过4个月无效。符合上述任一条即可诊断为ROLP。目前,针对OLP疗效的判定国内外尚无公认的标准。由于糜烂型/萎缩型OLP通常出现疼痛等自觉症状,部分研究以糜烂病损是否好转作为OLP疗效判定的客观指标[3‑4]。由于OLP病损长期不愈可能存在更高的恶变风险,因此迫切需要新的ROLP替代治疗方法。
本文报道1例腭部ROLP患者,采用半导体激光治疗促进口内顽固糜烂面愈合,改善了患者的生活质量,取得了较好的治疗效果,为ROLP的临床治疗提供了新思路,报道如下。
1.基本情况:患者女性,74岁,2024年1月因“上腭反复起疱伴糜烂1年”于四川大学华西口腔医院口腔黏膜病科就诊。患者8年前曾因“腭部不适伴口腔反复糜烂2年”于四川大学华西口腔医院口腔黏膜病科就诊,诊断为OLP,其间多次单独或联合使用糖皮质激素治疗、免疫调节药物治疗(如昆明山海棠、沙利度胺、白芍总苷等)、局部行注射治疗、雾化治疗等,但始终迁延不愈。1年前患者自觉上腭黏膜反复起疱伴糜烂,进食辛辣刺激食物时疼痛明显,于当地医院使用曲安奈德注射液稀释后局部涂擦、康复新液含漱等,疗效不佳。
2.全身情况:患者既往有糖尿病、高血压、胃窦炎等全身系统性疾病史,否认家族史,否认药物过敏史。
3.口腔专科检查:全口牙龈可见云雾状白纹,11、21—23牙龈缘充血发红,尼氏征阴性;硬腭前份可见4.5 cm×2.0 cm大小的不规则糜烂面伴明显充血,表面覆盖淡黄色假膜,周围黏膜可见白纹;余口腔黏膜未见明显异常(图1)。

▲ 图1 难治性口腔扁平苔藓患者初诊时口内照片 A:全口牙龈可见云雾状白纹,11、21—23牙龈缘充血发红;B:硬腭前份黏膜可见4.5 cm×2.0 cm大小的不规则糜烂面伴充血,周围可见白纹
4.实验室检查:①行血常规、空腹血糖、糖化血红蛋白、凝血功能、感染性疾病标志物(乙肝、丙肝、梅毒、人类免疫缺陷病毒)以及大疱性疾病特异性抗体检测,结果示:糖化血红蛋白(7.2%)升高(正常值:4%~6%),余未见明显异常。②切取糜烂、白纹区及邻近外观正常的两块黏膜组织活检,其中一块组织(含糜烂、白纹区病损)行组织病理学检查示:黏膜上皮萎缩,灶区基底细胞液化变性,固有层淋巴细胞、浆细胞浸润(图2);另一块组织(仅含邻近病损外观正常的黏膜)行直接免疫荧光(direct immunofluorescence,DIF)检查示:基底膜区纤维蛋白原沉积,IgG(-),IgA(-),IgM(-),补体C3(-)。

▲ 图2 难治性口腔扁平苔藓患者病损区组织HE染色结果,示黏膜上皮萎缩,灶区基底细胞液化变性,固有层淋巴细胞、浆细胞浸润
5.诊断:该患者的诊断考虑为ROLP。依据如下:①慢性病程,且既往有OLP病史;②口腔黏膜出现白纹损害伴糜烂,有进食刺激痛的自觉症状;③有糖皮质激素治疗超过1.5个月效果不佳,以及使用其他免疫调节药物超过4个月效果不佳的治疗史;④组织病理学检查较符合OLP的病理学改变,这可能与患者长期药物治疗导致组织病理学表现不典型有关;⑤DIF检查符合OLP的免疫病理学改变,且大疱性疾病特异性抗体检测也排除了大疱性疾病。
6.诊治经过:考虑到该患者既往多次治疗效果不明显,建议行半导体激光治疗。患者签署知情同意书后,对其应用阿替卡因肾上腺素注射液1 ml(必兰®,法国碧兰公司)行腭部前份局部浸润麻醉,待麻醉起效后使用半导体激光行硬腭前份黏膜充血及糜烂病损半导体激光治疗术,激光波长980 nm,工作功率1.5 W,使用激发光纤头点触病损表面。为减轻术后病损组织局部反应,局部用药为复方氯己定含漱液(江苏晨牌邦德药业有限公司,10 ml/次,2次/d)、地塞米松磷酸钠注射液(济宁辰欣药业股份有限公司, 1∶10稀释后湿敷,3次/d)、复方甘菊利多卡因凝胶(甘美达®,STADA Arzneimittel AG,0.1 g/次,3次/d),并嘱患者2周后复查。
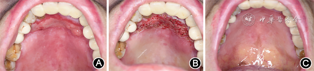
7.治疗效果及随访:治疗2周后复诊,患者诉疼痛减轻、糜烂缩小(图3A)。再次于局部麻醉下行硬腭前份黏膜充血及糜烂病损半导体激光治疗术,工作功率、工作时间及术后用药同前(图3B)。第2次治疗后2周复查,患者硬腭前份糜烂完全愈合(图3C),且自述无明显疼痛。随访3个月,无复发。

▲ 图3 难治性口腔扁平苔藓患者首次治疗后2周及第2次治疗后2周口内照片 A:首次治疗后2周口内照片示糜烂面积缩小,腭部前份黏膜可见3 cm×1 cm大小的糜烂面伴充血,周围可见白纹;B:首次治疗后2周,对腭部前份黏膜充血及糜烂病损行第2次半导体激光治疗术后即刻;C:第2次治疗后2周口内照片,示腭部前份原糜烂面已完全愈合
OLP作为口腔黏膜常见的慢性炎症性疾病,长期糜烂不愈的病损有恶变倾向,已被列入OPMDs的范畴。因此,促进糜烂愈合是治疗OLP的主要目标。既往文献报道,治疗逾2个月反应不佳的OLP患者可诊断为ROLP[5‑6]。为客观、准确地定义ROLP,Mu等[2]通过文献回顾并统计分析提出前述的3条标准,该定义更精确地指出不同药物及其相应治疗抵抗时间,为临床医师及时调整治疗计划提供了参考。糖皮质激素是OLP常用的治疗手段,但对于ROLP往往不能取得良好的疗效。因此,目前临床上针对ROLP的治疗手段较为有限。Chirravur等[7]通过一项回顾性研究发现,羟氯喹可有效减轻对糖皮质激素治疗无效的ROLP患者的症状和疾病严重程度。Chen等[8]报道1例微波结合口服沙利度胺治疗的ROLP患者,微波治疗后患者双颊的糜烂愈合,并且在6个月随访期内口内病损无复发。Ming等[9]报道3例接受光动力治疗的ROLP患者,患者口内的持续性糜烂病损在光动力治疗后愈合,在随访期内无复发迹象,该研究认为光动力疗法或将成为ROLP的有效临床治疗方法。目前,尚少见关于半导体激光治疗ROLP临床效果的相关报道。
激光治疗已广泛应用于医学的许多领域,在口腔医学领域常用的激光包括二氧化碳激光、Nd:YAG激光、半导体激光等。在激光治疗过程中激光‑组织相互作用主要是光热作用,即激光能量转化为热量。通过改变光斑大小、能量、时间等参数,可以在软组织中产生不同的效果:切除、消融或汽化以及止血、凝固[10]。激光照射可刺激血液循环、血运重建以及神经细胞、成纤维细胞和胶原纤维的生长,从而促进组织愈合[11]。激光的镇痛作用主要与细胞膜的稳定和静息细胞电位的调节有关,此外激光还可以抑制受损神经细胞中炎症介质的产生,并刺激神经细胞的创伤后再生[12]。已有研究表明二氧化碳激光对常规糖皮质激素治疗效果不佳的糜烂型OLP有效,能缓解疼痛、降低复发率[13]。Khater和Khattab[14]报道,Nd:YAG激光治疗后OLP患者的疼痛症状显著减轻,且其他临床症状也得到一定程度的改善。
近年来,半导体激光治疗在口腔医学领域亦得到广泛的临床应用。在口腔黏膜领域,半导体激光已被用于多种疾病的治疗,如轻型复发性阿弗他溃疡、白塞综合征的口内溃疡病损、寻常型天疱疮、复发性唇疱疹、口腔白斑病等[15‑19]。半导体激光因其镇痛作用较强,能促进病变组织愈合,其在OLP的临床治疗中已得到日益广泛的应用。Mohamed等[20]开展了一项随机对照临床试验,对照组接受0.1%曲安奈德局部涂擦治疗,而激光治疗组接受980 nm半导体激光治疗,结果表明两组患者均显示疼痛和临床症状显著改善,且两组之间差异无统计学意义,说明半导体激光治疗具有作为局部糖皮质激素替代疗法的可能。有研究发现,与局部涂擦他克莫司软膏相比,半导体激光治疗具有较好的疗效,可以更长效地控制OLP病情,减少复发,且无不良反应[21]。同时,半导体激光治疗还可与口服或局部药物联合应用,既能增强疗效、减小用药量,还可以减少患者对药物的依赖性及不良反应[22]。
本文报道1例半导体激光治疗腭部ROLP患者,取得了显著的疗效。患者初诊时硬腭前份可见较大面积的糜烂面且疼痛明显,显著影响患者的进食和语言交流,生活质量明显下降,心理负担严重。该患者腭部糜烂广泛,且既往局部注射治疗、雾化治疗均效果欠佳,可能与硬腭黏膜大部分区域无黏膜下层,固有层与骨膜紧密相连这一组织学特点有关,导致可选择的治疗手段较为有限。此外,患者年龄较大,有高血压、糖尿病等全身系统性疾病史,不适合长期口服糖皮质激素治疗,且既往长期使用口服糖皮质激素、免疫调节药物等疗效也欠佳。鉴于此,对本病例采用半导体激光治疗,取得了较为满意的疗效,患者硬腭前份糜烂面完全愈合,且病情稳定无复发。
综上,ROLP常规治疗疗效欠佳,亟待寻找新的替代治疗手段。本病例的临床诊疗表明,半导体激光可能是治疗ROLP的有效替代选择,但后续仍需进一步的临床实践和研究,以证实半导体激光在ROLP治疗中的有效性,并形成相应的治疗规范供临床医师参考。
曲晨曦:资料收集、起草并撰写文章;潘妍鑫:资料收集;王冏珂:病例采集及患者回访、对文章内容进行审阅和修改;曾昕:指导文章修改及文章审阅;陈谦明:指导文章修改及文章审阅
口腔扁平苔藓(OLP)是一种发生在口腔黏膜上的慢性炎症性疾病,属于口腔潜在恶性疾患。OLP的病因尚不明确,目前无特效疗法,局部或全身应用糖皮质激素是OLP常用的治疗方法,还可应用其他免疫抑制剂、微波、光动力等治疗手段。难治性OLP(ROLP)病程迁延,严重影响患者的生活和健康,并有癌变的风险,但糖皮质激素和其他免疫抑制剂对于ROLP往往不能取得良好的疗效,迫切需要寻找新的治疗方法。本病例介绍了使用半导体激光治疗1例腭部ROLP,取得了短期治愈的效果,具有临床启示价值。相较于糖皮质激素长期使用导致的黏膜萎缩、真菌感染等不良反应,半导体激光因其镇痛作用较强,能促进病变组织愈合,操作较简单,具有低创性、高安全性,临床上可作为治疗ROLP的有效替代选择,尤其适用于糖皮质激素抵抗或禁忌的患者。可进一步推广半导体激光治疗ROLP的临床应用,探索其作用机制,明确半导体激光治疗ROLP的循证医学证据,总结并形成标准化治疗方案以指导临床实践。