医用诱导骨基质是什么椎间盘基质水凝胶诱导人骨髓间充质干细胞组织特异性分化和组织再生修复|Bioactive Materials

新闻资讯2026-04-23 22:44:01

脱细胞组织基质 (decellularized tissue matrix, DTM) 具有组织特异性这一个关键特性,在调节细胞命运方面显示出生物活性功能。细胞命运由包括材料组成和空间特征在内的生物微环境因素决定。基于此,椎间盘内两种在结构和组分上存在显著差异的组织,髓核 (nucleus pulposus, NP) 和纤维环 (annulus fibrosus, AF),被加工成 DTM 水凝胶(分别缩写为 DNP-G 和 DAF-G),以确定材料组成和空间特征对干细胞的组织特异性和组织再生修复的影响。


01

研究内容简介


椎间盘退变(intervertebral disc degeneration, IDD)是最常见的肌肉骨骼系统疾病之一。然而,目前临床常用的治疗方法,如外科手术、神经阻滞和药物保守治疗等,均未达到一定的满意程度,因此,寻找新的IDD治疗策略是临床研究人员的紧迫任务。


近几十年来,基于生物材料的治疗专注于生物组织修复,引起了越来越多的关注。椎间盘包括三个显着不同的组织,即髓核、纤维环和软骨终板 。其中,髓核和纤维环是承受脊柱机械应力和活动度的主要组织。因此,用于椎间盘再生的生物材料主要聚焦于髓核或纤维环修复。髓核修复主要通过髓核组织再水化或髓核置换来恢复目标节段的运动特性和物理特性。用于髓核替代的生物材料主要集中在可注射的合成或天然水凝胶上。这些水凝胶主要来源于不可降解的聚丙烯酸酯和聚丙烯酰胺等以及可降解的透明质酸、胶原蛋白和壳聚糖等。然而,这些植入材料往往无法调节损伤后的原位组织微环境和局部炎症等。纤维环缺损修复方面,已经提出了许多相应的策略,包括网状附着、空隙填充和胶原蛋白重建。用于纤维环缺陷修复的生物材料尚未观察到令人满意的临床结果。


近期,越来越多的研究评估细胞疗法对 IDD的疗效。尽管移植的间充质干细胞 (Mesenchymal stem cells,MSC) 可分化为椎间盘细胞,显著促进组织中细胞外基质的合成并改善 IDD 患者的临床结果,在一些没有合适载体材料的研究中观察到 MSC 的存活率低和不受控制的多向分化。


许多研究表明,脱细胞组织基质(DTM)可以去除免疫原性并保留大部分天然组织的功能成分(细胞因子、基质结合的纳米囊泡或肽)和微/纳米结构。它们可被直接植入体内以促进再生或通过微创注射作为细胞、药物和其他蛋白质的载体。髓核细胞外基质是由聚集蛋白聚糖和 II 型胶原蛋白等组成的凝胶核,而纤维环细胞外基质由整齐排列的 I 型胶原蛋白多层结构构成。这两种组织在组成和空间微观结构上具有显著差异,而这些差异在干细胞分化中发挥的作用尚不得而知。有研究表明,来自肝脏、心脏、皮肤和角膜的脱细胞细胞外基质生物墨水具有诱导人骨髓间充质干细胞 (human bone marrow mesenchymal stem cells, hBMSCs) 出现组织特异性分化的基因模式。从肌腱和软骨中提取的DTM 水凝胶诱导了MSC 的具有不同基因表达模式的多向分化,其中 TGF-β 信号通路可能参与了这种组织特异性作用。因此,DTM 水凝胶不仅可以作为物理载体,而且还具有调节细胞命运的组织特异性。受以上启发,我们推测脱细胞髓核和纤维环细胞外基质水凝胶用作 MSC 载体时,可在不添加外部活性因子的情况下影响 MSC 的命运。


除成分差异外,细胞生存微环境的空间特征也会改变干细胞的细胞命运。研究表明, 三维(3D)培养有利于神经干祖细胞分化为神经元,而二维 (2D) 培养的神经干祖细胞更易分化为星形胶质样细胞。2D 和 3D 培养在肌成纤维细胞分化方面显示出显著差异。具体而言,与 2D 培养的发现相反,3D培养的肌成纤维细胞分化与水凝胶硬度呈负相关,但与基质纤维密度呈正相关。因此,考虑到髓核和纤维环细胞天然微环境的差异,DNP-G和DAF-G的培养微环境(2D 和 3D)形成的差异空间特征,也可能显著影响干细胞分化。明确材料组分和空间特征对干细胞生物学活性的调节作用,对指导此类材料以合适的形式(水凝胶或电纺纤维)应用于体内 IDD 修复至关重要。


在这项研究中,两种水凝胶(DNP-G 和 DAF-G)由脱细胞的髓核和纤维环组织制成,并使用蛋白质组学分析确认了这些水凝胶的成分。为了研究空间特征对 hBMSCs (包括增殖和定向分化)的作用,将 hBMSCs 分别与 DNP-G 和 DAF-G 共培养在 2D/3D 模型中,明确该分化是否与材料组分和空间特异性相关。评估整合素/Rho/YAP1 信号传导,并调节 YAP1 以确定其在hBMSCs 分化中的作用。最后,我们评估了 DNP-G 和 DAF-G 在 IDD 模型上的不同再生功效(Fig. 1)。


医用诱导骨基质是什么椎间盘基质水凝胶诱导人骨髓间充质干细胞组织特异性分化和组织再生修复|Bioactive Materials_https://www.jmylbn.com_新闻资讯_第1张

Fig. 1 Schematic diagram of decellularized matrix fabrication and in vitro and in vivo applications.


实验结果表明,脱细胞处理可显著去除细胞成分,保留细胞外基质成分。两种水凝胶成胶性能良好。DNP-G和DAF-G也显示出与新鲜髓核和纤维环组织相似的丰富纤维结构。DNP-G和DAF-G之间胶原纤维成分和活性生物因子成分均存在显著差异(Fig. 2)。


医用诱导骨基质是什么椎间盘基质水凝胶诱导人骨髓间充质干细胞组织特异性分化和组织再生修复|Bioactive Materials_https://www.jmylbn.com_新闻资讯_第2张

Fig. 2 Differences in characteristics and proteomic analysis of DNP-G and DAF-G. a H&E staining of FNP, FAF, DNP and DAF showed that the cellular component was largely removed and the extracellular matrix was preserved. b DAPI staining also suggested the removal of cellular components to a large extent. c the efficacy of cellular removal detected by DNA contents. The remaining extracellular components detected by d GAG measurement and e collagen content. f SEM analysis showed the ultrastructure of the materials. (Scale bar = 10μm) g General appearance and rheological behavior of DNP-G and DAF-G. h The percentages of total proteins that ECM proteins accounted for in DNP-G and DAF-G. i Protein variety comparison between DNP-G and DAF-G. j Molecular function comparison between DNP-G and DAF-G. (Data are presented as the mean ± SD, n=3, *p<0.05, **p<0.01, **** p< 0.0001 between two groups; ns, no significance.) FNP, fresh nucleus pulposus; FAF, fresh annulus fibrosus; DNP, decellularized nucleus pulposus; DAF, decellularized annulus fibrosus; DNP-G, decellularized nucleus pulposus hydrogel; DAF-G, decellularized annulus fibrosus hydrogel; ECM, extracellular matrix.


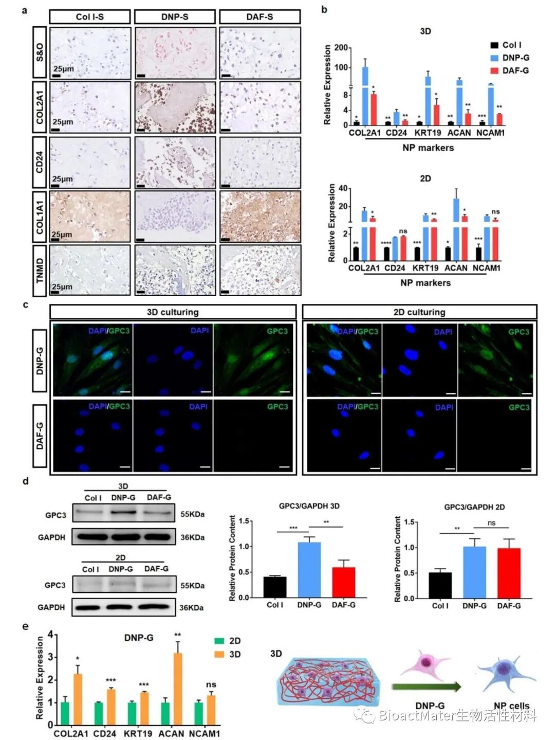
在DNP和DAF制备成的溶液中,成球培养hBMSCs;在DNP-G和DAF-G水凝胶上以2D或3D空间模式的培养干细胞。结果显示,在DNP-S或DNP-G组中,干细胞更倾向于髓核细胞方向分化(Fig. 3);而在DAF-S或DAF-G组中,干细胞更倾向于纤维环细胞方向分化(见原文)。此外,3D培养较2D培养,更有利于诱导细胞向髓核细胞方向分化(Fig. 3);2D培养较3D培养,更有利于诱导细胞向纤维环细胞方向分化(见原文)。


医用诱导骨基质是什么椎间盘基质水凝胶诱导人骨髓间充质干细胞组织特异性分化和组织再生修复|Bioactive Materials_https://www.jmylbn.com_新闻资讯_第3张

Fig. 3 Composition-specific and space-specific differentiation of hBMSCs cultured in DTM. a S&O staining and anti-CD24, anti-COL2A1, anti-COL1A1 and anti-TNMD immunostaining of hBMSCs pellets cultured in 0.015% (w v-1) Col I-S, DNP-S and DAF-S. (Scale bar = 500μm and 25μm for low and high magnification) b RT-qPCR of NP-specific markers in hBMSCs cultured in Col I, DNP-G and DAF-G under 3D or 2D culture.(Data are presented as the mean ± SD, n=3, *p<0.05, **p<0.01, ***p< 0.001, **** p< 0.0001 between DNP-G and other groups; ns, no significance.) c Immunofluorescence of GPC3 in hBMSCs cultured in DNP-G and DAF-G under 3D or 2D microenvironment. (Scale bar = 20μm) d Western blots and grayscale analysis of GPC3. e Differential expression of NP-specific markers expression in hBMSCs between 2D and 3D microenvironments. Col I-S, collagen type I solution; DNP-S, decellularized nucleus pulposus solution; DAF-S, decellularized annulus fibrosus solution. (Data are presented as the mean ± SD, n=3, *p<0.05, **p<0.01, ***p< 0.001, **** p< 0.0001 between two groups; ns, no significance.)


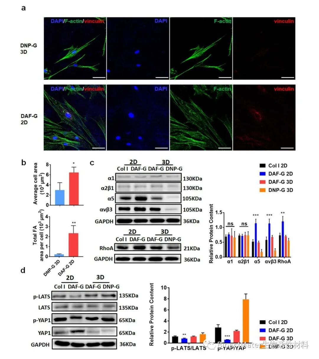
整合素转导的 Hippo/YAP1 信号可感知细胞粘附并将机械信号从组织结构和周围 ECM 转导到细胞膜受体以改变细胞活动。DTM 上接种 hBMSCs 21 天后,与 DNP-G 3D 培养相比,hBMSCs 在 DAF-G 表面显示出更大的细胞面积,具有更大的粘着斑面积,表明 DAF-G 2D 培养诱导的细胞粘附显着增强。整合素 αvβ3在 DAF-G 2D 显著上调。下游 RhoA 活性主要在 DAF-G 2D 中增强。Rho-GTPases 通过 LATS1/2 的去磷酸化在 YAP1 激活中起作用。DAF-G 2D 中的 LATS 磷酸化显着降低,表明 Hippo 信号传导阻滞。因此,YAP1 磷酸化被下调,DAF-G 2D 中 YAP1 降解减少。这些结果表明,整合素介导的 RhoA/LATS 信号通路在 DNP-G 3D 和 DAF-G 2D 中发生了不同的改变,导致不同的 YAP1 活性。(Fig. 4)


医用诱导骨基质是什么椎间盘基质水凝胶诱导人骨髓间充质干细胞组织特异性分化和组织再生修复|Bioactive Materials_https://www.jmylbn.com_新闻资讯_第4张

Fig. 4 Integrin αvβ3/RhoA/LATS/YAP1 signaling acts in DTM-induced tissue-specific differentiation. a Immunofluorescence images of F-actin (green), vinculin(red) and DAPI (blue) in DNP-G under 3D microenvironment and DAF-G under 2D microenvironment. (Scale bar = 50μm). b Quantitative analysis of average cellular area and focal adhesion area. (Data are presented as the mean ± SD, n=3, *p<0.05, **p<0.01, ***p< 0.001, **** p< 0.0001 between two groups) c Integrin expression profile and RhoA activity in DTM. d-e Evaluation of LATS/YAP1 activation by western blot. (Data are presented as the mean ± SD, n=3, **p<0.01, ***p< 0.001 between DAF-G 2D and DNP-G 3D; ns, no significance among groups.)


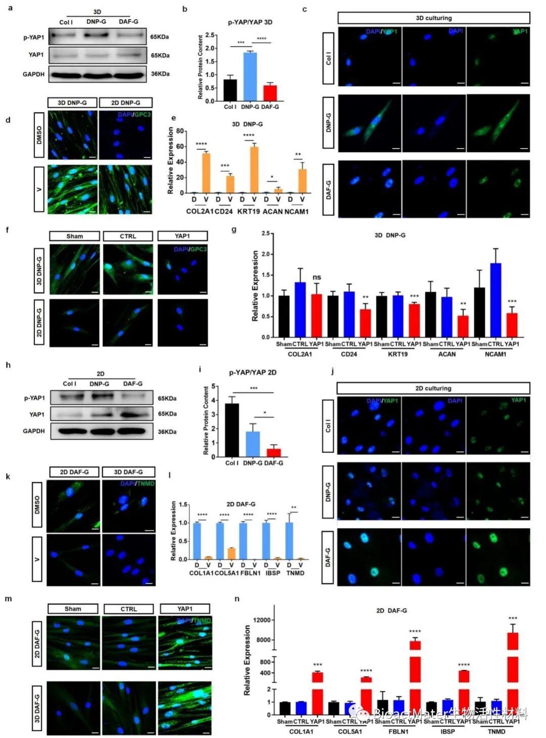
在 三维培养条件下,DNP-G组观察到显著的磷酸化和 YAP1 从细胞核到细胞质的转移,说明YAP1活性在DNP-G 3D组中被抑制。YAP1在DAF-G组的表达最高,并在二维培养的细胞核中聚集,而p-YAP1 表达低于 DNP-G 组,说明YAP1活性在DAF-G 2D组中激活。应用YAP1 抑制剂维替泊芬(Verteporfin)(10 μM)和Lenti-YAP1 转染验证YAP1活性在水凝胶诱导干细胞组织特异性分化中的作用。结果表明,YAP1 在 DNP-G 3D 培养中负向调节 hBMSCs 向髓核细胞分化,而YAP1 的上调和核组装促进hBMSCs向纤维环样细胞分化。(Fig. 5)


医用诱导骨基质是什么椎间盘基质水凝胶诱导人骨髓间充质干细胞组织特异性分化和组织再生修复|Bioactive Materials_https://www.jmylbn.com_新闻资讯_第5张

Fig. 5 Opposite regulatory effects of YAP1 on NP and AF-specific differentiation of hBMSCs. a p-YAP1 was enhanced in DNP-G under 3D microenvironment, with no significant difference for YAP1. b Statistical assessment of the p-YAP1/YAP1 protein content of each group. c Immunofluorescence of YAP1 showed that DNP-G in the 3D environment showed obvious YAP1 cytoplasmic gathering. d Immunofluorescence images showed that GPC3 protein was obviously upregulated by verteporfin in either 2D or 3D microenvironment. e NP-specific markers were all upregulated with verteporfin administration. f YAP1 overexpression diminished GPC3 protein expression. g YAP1 overexpression also diminished other NP-specific markers expression. h YAP1 protein expression was significantly enhanced in DAF-G, with less YAP1 phosphorylation. i Statistical assessment of the p-YAP1/YAP1 protein content of each group. j YAP1 nuclear assembly was significantly enhanced in DAF-G in the 2D environment. k AF-specific marker TNMD protein level was decreased with the administration of verteporfin. l verteporfin administration downregulated AF-specific markers. m YAP1 overexpression promoted TNMD protein expression and n other AF-specific markers expression on DAF-G. (scale bar = 20 μm) (Data are presented as the mean ± SD, n=3, *p<0.05, **p<0.01, ***p< 0.001, **** p< 0.0001 between two groups; ns, no significance.) D, DMSO; V, verteporfin.


将不同的水凝胶注射到髓核退变大鼠模型的病变部位。分别在术后 4 周和 8 周通过病理学和形态学分析比较受损髓核组织的改善程度。组织学染色分析显示,DNP-G 在两个时间点均显著减轻了髓核组织的形态恶化。MRI T2 相位分析、X线结果显示,DNP-G 组的髓核完整性和含水量比其他组更好。DNP-G 组的椎间盘高度在术后 8 周显着大于 NS、Col I 和 DAF-G 组的椎间盘高度。这些结果表明补充髓核 衍生的 DTM 水凝胶可有效地防止椎间盘髓核组织退变。(Fig. 6)


医用诱导骨基质是什么椎间盘基质水凝胶诱导人骨髓间充质干细胞组织特异性分化和组织再生修复|Bioactive Materials_https://www.jmylbn.com_新闻资讯_第6张

Fig. 6 The tissue-specific repair of NP tissues induced by DNP-G. a 4-week and 8-week T2-weighted images of rat tails injected with NS, Col I, DNP-G or DAF-G (yellow arrows point at the operated discs). b Relative water content and c modified Pfirrmann grades are presented to quantitatively assess disc degeneration based on MRI images. Assessment of disc degeneration in each group by d histological imaging and e grade (scale bar = 1 mm). f X-ray shows that the disc height is better preserved in the NP group than in the other groups. (Data are presented as the mean ± SD, n=5, *p<0.05, **p<0.01, ***p< 0.001, **** p< 0.0001 between two groups; ns, no significance.). g Immunohistochemical staining of COL1A1 and COL2A1 (scale bar = 1 mm).


综上所述,DNP-G 和 DAF-G 诱导干细胞向髓核和纤维环细胞特异性分化的组织特异性依赖于细胞外基质的成分和空间特征。整合素介导的 RhoA/LATS/YAP1 信号通路决定了 hBMSCs 的命运。确定了DNP-G 和 DAF-G 分别具有修复髓核退行性模型和纤维环缺陷模型的组织特异性再生(部分结果见原文)。由于水凝胶的可塑性,可通过3D生物打印、静电纺丝、相分离等加工方法可以进一步构建髓核和纤维环的空间结构,并保持其功能性细胞外基质成分,实现椎间盘组织再生。


02

论文第一/通讯作者简介



第一作者:彭一中


博士、华中科技大学同济医学院附属协和医院骨科医院博士后,主要从事椎间盘退变机制及组织工程修复研究。博士期间参与了国家自然科学基金重大研究计划重点支持项目、国家重点研发计划重点专项等多个国家级项目的研究工作。发表SCI论文19篇,申获专利13项。



第一通讯作者:邵增务


博士、华中科技大学协和医院骨科医院院长/骨疾病研究所  所长、《Biomaterials Translational》主编、博士生导师,主要从事椎间盘退变机制及组织工程研究,主持国家重大研发计划项目1项、国家卫健委多学科联合诊疗能力提升建设项目1项、国家自然科学基金重大研究计划重点支持项目1项、国家自然科学基金面上项目5项,重大横向合作课题1项,获省科技进步二等奖2项。发表论文248篇, 其中SCI收录 112篇。



第二通讯作者:全大萍


博士、中山大学材料科学与工程学院教授,博士生导师,

主要从事生物医用高分子材料及组织工程研究,发表论文100多篇,主编专著1本,获得发明专利10多件。作为主要发明人的高强度可吸收骨折内固定器械已实现转化,作为主要参加者的组织工程神经系列研究获得广东省科技进步一等奖。


03

资助信息


上述研究工作得到了国家重点研发计划重点专项(2016YFC1100100),国家自然科学基金重大研究计划重点支持项目(91649204)及国家自然科学基金(82002333)的资助。


04

原文信息


Yizhong Peng#, Xiangcheng Qing#, Hui Lin#, Donghua Huang, Jinye Li, Shuo Tian, Sheng Liu, Xiao Lv, Kaige Ma, Rui Li, Zilong Rao, Ying Bai, Songfeng Chen, Ming Lei*, Daping Quan*, Zengwu Shao*. 

Decellularized Disc Hydrogels for hBMSCs tissue-specific differentiation and tissue regeneration. 

Bioactive Materials 6 (2021) 3541-3556.


点击阅读原文,查看文章详情



医用诱导骨基质是什么椎间盘基质水凝胶诱导人骨髓间充质干细胞组织特异性分化和组织再生修复|Bioactive Materials_https://www.jmylbn.com_新闻资讯_第7张


Bioactive Materials是一本高质量英文期刊,目前已经被SCIE、PubMed Central、Scopus、Embase收录。同时本刊还入选了2019年中国科技期刊卓越行动计划--“高起点新刊”项目。

2021年Bioactive Materials 获得影响因子14.593 ,在Materials Science,Biomaterials领域排名第一

位于《2021年中国科学院文献情报中心期刊分区表》1区TOP期刊

CiteScore 2020: 12.8



医用诱导骨基质是什么椎间盘基质水凝胶诱导人骨髓间充质干细胞组织特异性分化和组织再生修复|Bioactive Materials_https://www.jmylbn.com_新闻资讯_第8张