ero为什么不显示经导管二尖瓣修复术:相关病理生理学、研究和治疗综述

新闻资讯2026-04-17 12:27:30

摘  要


二尖瓣返流(MR)是一种常见的疾病,可导致显著的发病率和死亡率。虽然50多年来外科手术治疗已经发展并提供解决方案,但只有少数患者接受外科手术。在过去的十年中,多种经导管技术的出现和应用,试图通过大量的MitraClip临床经验来解决这一治疗不足的人群,提供了最深入的见解。清楚了解不同MR类型的病理生理学,特别是继发性MR对患者临床综合征的作用,有助于更好地预测哪些患者亚组将受益于不同的修复技术或干预。无论是瓣叶、腱索或瓣环解决方案,多数技术都是基于外科技术,并作为单一器械/技术解决方案应用,但随着经验的扩大,联合疗法可能会在创造更完整和类似外科手术的解决方案方面找到一席之地。


二尖瓣返流(MR)是最常见的瓣膜疾病,在普通人群中,中重度MR的患病率至少为1.7%,在75岁及以上人群中为9.3%。严重MR与主要病理学和左心室(LV)功能无关,与不良后果和不良长期预后相关。在一般情况下,二尖瓣(MV)修复术优于置换术,尽管几十年来一直被认为是标准,但由于共病、高龄和高手术风险,在大约一半的重度MR患者中,外科手术是不可行的。MitraClip的引入扩大了心脏病专家的器械,并为原发性MR和外科手术风险高的患者提供了一种选择。最近,美国食品和药物管理局(FDA)批准在继发性MR患者中使用MitraClip。针对二尖瓣(MV)不同结构的新型经导管修复系统正在开发和研究中。这些系统使用不同的方法和修复技术,包括瓣环成形术、腱索和瓣叶修复器械,旨在作为独立技术使用,但也提供了组合的潜力。


二尖瓣反流的机制和分类


二尖瓣是一个复杂的结构(如图1),由瓣环、前叶、后叶、腱索、前外侧和后内侧乳头肌(PM)组成。1983年,Carpentier描述了基于瓣叶运动的MR功能分类(如图2)。MR的另一个分类是原发性(退行性)和继发性(功能性),尽管病理可能共存。原发性MR的病理学表现为瓣膜的一个或多个组成部分,粘液瘤变性导致二尖瓣(PV)脱垂是主要原因。继发性MR是由于左心房(LA)或左心室(LV)功能和几何结构的改变导致的瓣叶错接的结果,可以进一步细分为缺血性和非缺血性MR。缺血性MR主要与局部室壁运动异常相关,导致乳头肌(PM)移位和瓣叶栓系(Carpentier IIIb型),通常导致偏心性MR。非缺血性MR的主要机制是继发于左心房(LA)或左心室(LV)增大(Carpentier I型)的环状扩张,导致中央方向的反流。在欧洲MR登记册中,MR的病因原发性的为55%,继发性的为30%,混合的为14%的中度或重度MR患者。


ero为什么不显示经导管二尖瓣修复术:相关病理生理学、研究和治疗综述_https://www.jmylbn.com_新闻资讯_第1张

图1:二尖瓣的三维经食管超声心动图心房视图。红色虚线:二尖瓣口。A1-3:前叶;AML,二尖瓣前叶;AV:主动脉瓣;CS:冠状窦;LAA:左心耳;P1-3:后小叶;PML:二尖瓣后叶;RA:右心房。


心房功能性二尖瓣反流


MR在心房颤动(AF)或射血分数保留的心力衰竭(HFpEF)患者中很常见,并与发病率和死亡率增加有关。众所周知,由于孤立的二尖瓣环扩张,在左心室(LV)收缩功能和几何结构正常的情况下,继发性二尖瓣返流可能存在,这种情况与房颤(AF)和射血分数保留的心力衰竭HFpEF有关,被称为心房功能性二尖瓣返流(AFMR)。这两种疾病都有共同的共病倾向,导致左心房(LA)和二尖瓣瓣环(MA)扩张,主要由左心房(LA)压力增加、拉伸和纤维化引起。这可能表明二尖瓣瓣环(MA)主要是心房结构。继发性MR是由增加的栓系力引起的,其特征可能是瓣环平面下方的一条重合线,而心房功能性二尖瓣返流(AFMR)的特征是由瓣环空间的扁平和膨胀引起的中心射流(图2),重合线位于环平面水平。


ero为什么不显示经导管二尖瓣修复术:相关病理生理学、研究和治疗综述_https://www.jmylbn.com_新闻资讯_第2张

图2:二尖瓣返流(MR)的机制和分类。


二尖瓣反流的检查和成像


经胸超声心动图(TTE)是诊断MR的主要方法,包括评估心房和心室的大小和功能、瓣膜形态、MR机制以及定性和定量测量。美国超声心动图学会指南建议使用有效反流孔面积(EROA)>0.4 cm2和反流容积(RVol)>60 mL来定义严重MR,对原发性和继发性MR的定量值相同(表1)。然而,经胸超声心动图(TTE)有一些局限性必须认识到。首先,瓣膜形态异常在原发性MR中很明显,但在继发性MR中不明显。其次,慢性原发性MR患者的左心房(LA)或左心室(LV)扩张是疾病严重程度的标志,而继发性MR患者的情况并非如此,在继发性MR患者中,心室扩张可能继发于左心房(LA)或左心室(LV)功能障碍。在某些情况下,经胸超声心动图(TTE)可能会低估MR的严重性。例子包括:在继发性MR中常见的返流口新月形的情况,通常导致通过近端等速表面积法低估有效反流孔面积(EROA);当存在多个MR射流时,测量有效反流孔面积(EROA)和收缩静脉;当射流明显偏心或存在低驱动压力时,通过彩色血流多普勒评估MR射流。由于其优越的空间分辨率,经食道超声心动图(TEE)可以更好地显示瓣膜解剖和MR机制,但由于镇静和低血压,往往低估了MR的严重程度。因此,经食道超声心动图(TEE)适用于MR机制和严重程度定义不清的患者,也适用于术前计划。


表1.定量超声心动图测量MR分级

ero为什么不显示经导管二尖瓣修复术:相关病理生理学、研究和治疗综述_https://www.jmylbn.com_新闻资讯_第3张

EROA:有效反流孔面积;MR:二尖瓣返流;  PISA:近等速表面积;RF回流的分数;

ROA:返流口面积;RVol:反流的体积。

①    在伴有椭圆形反流孔面积(ROA)的继发性MR可能更低

②    在低流量条件下可能更低


心血管磁共振(CMR)通过测量左心室(LV)每搏量和前向每搏量之间的差异,实现MR定量化。虽然在确定MR严重程度方面具有高度的可重复性和准确性,但其局限性包括可接近性、较高的成本以及与超声心动图相比二尖瓣病变的显示较差。当需要更大的诊断确定性时,需要心血管磁共振(CMR)。


经导管二尖瓣修复术中的多模态成像


影像学在患者选择和经导管二尖瓣修复(TMVr)术前规划和术中指导的作用至关重要。在建立了重要的MR及其血流动力学结果后,超声心动图是所有TMVr器械进行术前评估和手术规划的主要方法。根据MR机制和瓣膜解剖(如A2-P2 vs A1-P1和A3-P3扇形瓣、瓣叶钙化、平均压差、二尖瓣后叶长度、接合深度、连枷宽度和间隙等),确定患者是否适合接受经导管缘-对-缘修复(TEER),主要通过二维和三维经食道超声心动图(TEE)进行评估。在腱索修复的器械中,超声心动图用于确定是否存在合适的MR机制(瓣叶脱垂)和二尖瓣(MV)解剖结构(即后瓣叶相对于二尖瓣(MV)瓣环的合适长度)。在考虑行经导管瓣环成形术的患者中,超声心动图对MR机制的评估对于确定可行性和预测预后至关重要,退行性疾病和明显的瓣环钙化是潜在的局限性。对于经房间隔手术,评估房间隔是否存在解剖变异或病理(如卵圆孔未闭、房间隔动脉瘤、脂肪瘤性肥大等)是有用的。


ero为什么不显示经导管二尖瓣修复术:相关病理生理学、研究和治疗综述_https://www.jmylbn.com_新闻资讯_第4张

图3.心脏计算机断层扫描分析显示经中隔导管路径规划。

FO:卵圆窝;IVC:下腔静脉;MV:二尖瓣;SVC:上腔静脉。


由于其高空间分辨率和显示相邻心脏结构之间解剖关系的优越性,计算机断层扫描CT已成为TMVr之前的一种重要成像方式。这些能力与经导管二尖瓣(MV)瓣环成形术尤其相关,在该手术中,三维解剖学在尺寸分析、器械尺寸和手术规划期间的导管过程方面对二维技术提出了挑战。此外,需要评估冠状窦(CS)和回旋动脉与二尖瓣环的关系,因为它可能会影响手术效果(例如,高行程冠状窦(CS)会损害间接环成形装置的效果)和并发症(例如,回旋动脉撞击)(图3)。


现有TMVr器械数量的快速增长要求使用相辅相成成像技术,越来越多地使用融合成像和三维打印模型,以提高手术成功率并将并发症降至最低。


二尖瓣介入治疗的预后和最佳时机


根据一项队列研究,孤立性中重度或更严重MR患者的5年和10年生存率在原发性MR中分别为63%和41%,在继发性MR中分别为46%和23%,随访期间只有15%的患者接受二尖瓣(MV)手术。


原发性MR的主要治疗方法是对瓣膜病变进行机械修复,尽管在继发性MR中,瓣膜干预仅适用于存在明显症状的MR患者,尽管有最佳的指导性药物治疗(GDMT),并且在进行了血管重建和再同步化治疗等干预之后。决定MR干预的时机和类型是复杂的,并受多个参数的影响,包括MR病因和严重程度、症状、并发症和预期寿命、手术风险、患者偏好和手术经验。最近公布了原发性和继发性MR管理的明确定义的决策路径算法(图4)。


ero为什么不显示经导管二尖瓣修复术:相关病理生理学、研究和治疗综述_https://www.jmylbn.com_新闻资讯_第5张

图4:(A)原发性二尖瓣反流的干预治疗


对于原发性MR,手术修复优于置换;GDMT治疗心力衰竭;GDMT用于其他心脏问题,如HTN、HLD等。SSDM和优先推荐给心脏瓣膜中心经验丰富的MV外科医生。


ero为什么不显示经导管二尖瓣修复术:相关病理生理学、研究和治疗综述_https://www.jmylbn.com_新闻资讯_第6张

图4:(B)症状性继发性MR的干预治疗

图4:(A)原发性和(B)继发性二尖瓣反流管理的专家共识决策途径。AAD:抗心律失常药物;AF:心房颤动;CABG:冠状动脉搭桥术;CRT:心脏再同步治疗;EF:射血分数;ESD:收缩末期尺寸;F/U:后续行动;

GDMT:指南指导的管理和治疗;HF:心衰;LV:左心室;MDT:多学科团队;MR:二尖瓣返流;MV:二尖瓣;MVRR:二尖瓣(MV)修复或置换;PASP:肺动脉收缩压;SDM:共享决策;TMVr:经导管二尖瓣修复术;

TTE:经胸超声心动图;PCI:经皮冠状动脉介入治疗。


经导管二尖瓣修复的挑战


尽管从几十年的手术经验中吸取了教训,经导管二尖瓣修复(TMVr)仍然具有挑战性。首先,由于其复杂的解剖结构,不对称的鞍形和高度动态的瓣环,经皮器械的尺寸、定位和锚定可能会有困难。其次,MR不是一种单一的疾病,而是患者间巨大差异多种病理学,并且合并病理学很常见。因此,二尖瓣(MV)的外科修复通常结合不同的技术,包括瓣环成形术、瓣叶切除或折叠术,以及腱索修复或置换术。研究表明,如果单独使用这些技术(如Alfieri边对边缝合),而不与其他技术(尤其是环形减小装置)结合使用,效果不佳。目前,绝大多数经导管二尖瓣修复(TMVr)手术仅针对瓣叶使用经导管缘-对-缘修复(TEER)策略。虽然MR通常作为一种独立器械进行改进,但如果结合其他修复策略(例如,结合缘对缘修复和瓣环成形术)进行治疗,更广泛的人群可能会获得更好的结果。


可用的经导管二尖瓣修复装置


MitraClip (Abbott Vascular, Abbott Park, IL)

MitraClip于2003年首次植入,是目前使用最广泛的TMVr系统,迄今为止在全球范围内进行了超过150000次手术。MitraClip于2008年首次获得欧盟CE批准,2013年首次获得FDA批准,用于治疗原发性MR和手术风险高的患者,并于2019年3月批准用于治疗中重度或重度继发性MR,尽管存在治疗心力衰竭(GDMT)。受外科Alfieri缝合技术的启发,该导管缘-对-缘修复(TEER)系统最初设计用于通过使用一个或多个聚酯包覆的钴铬双臂夹子连接二尖瓣(MV)前叶和后叶的自由边缘来创建双孔(图5A)。MitraClip输送系统通过股静脉引入,带有一根可操作的24F引导导管(图5B),通过穿刺房间隔进入左心房(LA)。然后,夹子输送系统穿过导向鞘,夹子打开并定向,然后进入左心室(LV)。在经食道超声心动图(TEE)和透视引导下,导管被撤回,瓣叶自由边缘被抓住,从而MR减少(图6)。在释放之前,器械可以重新打开和重新定位,直到达到最佳效果。


ero为什么不显示经导管二尖瓣修复术:相关病理生理学、研究和治疗综述_https://www.jmylbn.com_新闻资讯_第7张

图5:MitraClip系统。(A)MitraClip器械。(B) MitraClip输送和引导系统。


ero为什么不显示经导管二尖瓣修复术:相关病理生理学、研究和治疗综述_https://www.jmylbn.com_新闻资讯_第8张

图6。(A,从左至右)透视和经食管超声心动图(TEE)图像显示经中隔穿刺后左心房(LA)内导管;

彩色多普勒经食管超声心动图(TEE)图像显示重度MR(B,从左到右)透视检查,彩色多普勒,以及三维经食管超声心动图(TEE)图像显示左心房(LA)中的片段。

(C,从左至右)透视和经食管超声心动图(TEE)图像显示,抓取瓣叶后,左心室(LV)中的夹子闭合;经食管超声心动图(TEE)图像显示二尖瓣平均压差为1毫米汞柱。

(D,从左到右)显示Clip释放的透视图像;彩色多普勒和三维经食管超声心动图(TEE)图像在手术结束时显示轻度MR。

LA:左心房;MR:二尖瓣返流;TEE:经食管超声心动图。


MitraClip的初始患者选择基于早期研究的超声心动图纳入标准(血管内瓣膜缘-对-缘修复研究[EVEREST]标准),A2-P2扇形瓣的手术成功率较高。多年来,MitraClip的应用取得了重大进展。实时三维经食管超声心动图(TEE)的使用带来了更好的术前评估和手术指导,从而改善了患者的疗效。此外,新一代器械(即NT、NTR和XTR)已经推出,提供了更好的递送系统稳定性,以及更广泛的器械尺寸(例如,更长和更宽的Clip),以及独立的传单抓取功能(G4系统)。这些变化,加上经验的拓宽,增加了以前因解剖不良(如A1-P1和A3-P3扇贝、巴洛病)而被拒绝接受二尖瓣反搏治疗的患者数量,实现了可接受的MR减少和良好的长期疗效。夹持区严重钙化、瓣叶穿孔或裂缝、二尖瓣(MV)压差>4mm Hg和短夹持区(<7mm)仍然是二尖瓣狭窄的技术限制。绝对禁忌症包括抗血栓禁忌症、活动性心内膜炎和风湿性心脏病。


MitraClip的临床证据。

2011年发表的EVEREST II试验将279名中重度和重度MR患者随机分为两组,MitraClip与二尖瓣(MV)外科手术的比例为2:1。在12个月时,55%的MitraClip组和73%的手术组(P=0.007)的主要疗效结果(无死亡、无手术和分级>3+MR的综合结果)得以实现,这是由MitraClip组的二尖瓣(MV)手术率较高(20%比2%;P<0.001)造成的。然而,MitraClip组30天主要不良事件(MAEs)的发生率显著降低(15%对48%;P<0.001)。获得了FDA对主要MR的批准,因为在EVEREST II研究人群中,只有27%的人有继发性MR。值得注意的是,在5年的随访中,早期转为手术维持了手术组的优势,但在1年内无事件的患者中,死亡率和手术需求没有差异。


MITRA-FR(严重继发性二尖瓣反流患者经皮二尖瓣修复MitraClip装置的多中心研究)和COAPT(功能性二尖瓣反流心力衰竭患者经皮MitraClip治疗的心血管疗效评估),发表于2018年,是唯一一项比较MitraClip加药物治疗与单纯药物治疗对继发性MR和收缩期心衰(HF)患者疗效的随机对照试验。在MITRA-FR(严重继发性二尖瓣反流患者经皮二尖瓣修复MitraClip装置的多中心研究)中,304名患者按1:1的比例随机分组,其中54.6%的患者在MitraClip组和51.3%的患者在12个月内实现了因任何原因死亡或因心力衰竭(HF)住院的主要疗效(OR 1.16;P=0.53)。在COAPT(功能性二尖瓣反流心力衰竭患者经皮MitraClip治疗的心血管疗效评估)中,614名患者以1:1的比例随机分为MitraClip加药物治疗组和单纯药物治疗组,其中在24个月时,分别有35.8%和67.9%的患者获得了所有因心力衰竭(HF)住院治疗的主要结果(HR 0.53;P<0.001),29.1%和46.1%的患者没有因任何原因死亡(HR 0.62;P<0.001)。为了协调这两项试验的结果,提出了多种解释。首先,与COAPT相比,纳入MITRA-FR的患者LVs更大(指数LV舒张末期容积135±35 mL/m2 vs 101±31 mL/m2),MR更轻(有效反流孔面积(EROA) 0.31±10 cm2 vs 0.41±15 cm2)。其次,在随访前和随访期间,MITRA-FR允许较少严格的指导性药物治疗(GDMT)方案,以及较少的心脏再同步化治疗(MitraClip组和对照组分别为30.5%和23%和38.1%和34.9%)。最后,对接受COAPT的患者进行更积极的干预,更多患者接受>1个clip,更少患者术后接受>3+MR(9%对5%)。这可能表明,在继发性MR中,当有需要时,在LV扩张和功能障碍恶化之前,对于指导性药物治疗(GDMT)和心脏再同步化治疗最大的患者,MitraClip更有效。MITRA-FR和COAPT试验之间的差异提出了比例和非比例继发性MR的概念,这可能解释了为什么一些严重二次MR患者受益于MitraClip,而其他患者则没有。在成比例的MR中,反流程度与左室扩张相一致(如MITRA-FR样患者),而在不成比例的MR中,与左室扩张有关反流程度过大(如多数为COAPT样患者)。在后一组中,MitraClip被认为是有益的。这一概念在两项小型研究中得到了评估,结果喜忧参半,还需要进一步的证据。


其他研究表明,使用MitraClip进行二尖瓣(MV)修复可诱导逆向重塑,最显著的表现为左心室(LV)收缩和舒张容积显著减少,左心房(LA)容积减少,超声心动图左心室(LV)应变参数改善。MitraClip术后患者的左心室(LV)反向重建似乎可以预测更好的长期疗效。在12个月的随访中,逆转的右心室重构也被证实,并导致约三分之一的患者三尖瓣返流显著减少,改善了面积分数变化、三尖瓣环平面收缩偏移和肺动脉收缩压。此外,MitraClip植入降低了室性心律失常的发生率,尤其是室性心动过速和室性早搏综合负荷。


正在进行的前瞻性随机对照试验有望为MitraClip的使用提供更多证据,包括经皮MitraClip装置或外科二尖瓣修复术(REPAIR-MR;NCT04198870)以及对MitraClip G4系统(EXPAND;NCT04177394)试验的安全性和性能的上市后研究评估。


手术成功和手术并发症的定义


二尖瓣学术研究联合会将MitraClip 30天的成功定义为:MR严重程度降至<2+级,无明显的二尖瓣(MV)狭窄(即有效反流孔面积EROA>1.5 cm2,二尖瓣瓣口压差<5 mm Hg)或瓣周漏,以及没有任何与器械或手术相关的不良事件(MAE)(例如,死亡、中风、危及生命的出血、主要血管或心脏结构并发症、急性肾损伤、心肌梗死(MI)等)。现实生活中的登记处报告的急性手术成功率(2级+残余MR)从91%到96.5%不等。有趣的是,37.5%至42.5%的患者接受了2个或更多的夹子Clip,尽管一项研究显示使用1个以上夹子Clip的患者MR复发率较低,但另一项研究未能显示该组患者的疗效有所改善。


胸外科医师学会/美国心脏病学会(ACC)经导管瓣膜治疗(TVT)注册中心包括2013-2017年在美国275个地点接受MitraClip的12334名患者,发现总体并发症发生率为12.4%。在该研究中,手术并发症包括住院死亡(2.1%)、新发房颤(AF)(1.2%)、单瓣叶夹附着(1.0%)、心脏穿孔(0.9%)、进入部位出血(0.8%)、中风(0.7%)、腹膜后出血(0.3%)、夹子完全脱落(0.2%)和器械栓塞(0.1%)。研究还显示,8.9%的患者需要输血,1.5%的患者需要闭合残余房间隔缺损(ASD),1.4%的患者需要计划外心脏干预或手术,0.6%的患者需要进行术后血管手术或干预。据报道0.5%的患者MitraClip植入的另一个可能后果是发生二尖瓣狭窄。定义为二尖瓣瓣口压差增加至>5毫米汞柱,术后压差升高与不良的长期结果相关。因此,在夹子定位后和夹子释放前,实时评估跨瓣压差和二尖瓣狭窄的存在至关重要。


在急性二尖瓣反流中的作用


虽然它不被认为是一个注册的适应症,但已经有描述急性MR患者植入MitraClip的情况。Estévez Loureiro等人描述了44例手术风险极高的急性心肌梗死(AMI)后急性MR患者使用MitraClip的情况,报告了86.6%的患者技术成功,其中30天内4例死亡(9.1%)和1例患者(2.3%)接受了二尖瓣(MV)手术。在6个月的随访中,8名患者(18.2%)死亡,只有3名患者(6.8%)需要进行MV手术,其中75.9%的患者处于纽约心脏协会(NYHA)功能I或II级。其他出版物报道了在急性失代偿性心衰(HF)所致心源性休克患者和乳头肌破裂所致急性MR患者中成功植入MitraClip。


因此,在急性心肌梗死(AMI)、失代偿性心衰(HF)或乳头肌破裂的急性MR患者中,可以考虑使用MitraClip进行治疗,这些患者的二尖瓣(MV)手术风险非常高,但还需要进一步研究。


新型经导管二尖瓣修复技术


除MitraClip外,还有大量二尖瓣修复装置处于不同的开发阶段和监管批准阶段。这些器械通常处理外科修复过程的一个方面,无论是瓣环成形术、瓣叶或腱索修复,然而已经开展了组合修复手术(图7和图8)。虽然这个列表并不详尽,但它包括了主要的竞争者,重点是技术和可用的临床结果(图9)。


ero为什么不显示经导管二尖瓣修复术:相关病理生理学、研究和治疗综述_https://www.jmylbn.com_新闻资讯_第9张

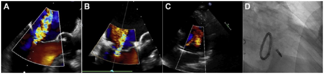
图7:一名80岁男性退行性二尖瓣返流患者经导管二尖瓣修复联合Amend和MitraClip装置治疗。

(A)术前彩色多普勒经食管超声心动图(TEE)显示严重MR。术中彩色多普勒经食管超声心动图(TEE)显示(B)瓣环成形术和(C)缘到缘修复术后MR显著降低。(D)透视显示Amend和MitraClip均已就位。

MR:二尖瓣返流;TEE:经食管超声心动图。


ero为什么不显示经导管二尖瓣修复术:相关病理生理学、研究和治疗综述_https://www.jmylbn.com_新闻资讯_第10张

图8:一名68岁男性患者使用Amend和NeoChord装置进行经导管二尖瓣修复。

(A)术前经食道彩色多普勒超声心动图显示严重二尖瓣返流。术中经食管彩色多普勒超声心动图显示(B)瓣环成形术和(C)腱索修复术后二尖瓣返流显著减少。LA:左心房;LV:左心室。


ero为什么不显示经导管二尖瓣修复术:相关病理生理学、研究和治疗综述_https://www.jmylbn.com_新闻资讯_第11张

图9:经导管二尖瓣修复装置与技术。


Pascal(爱德华生命科学公司)

于2019年CE批准,Pascal缘到缘修复系统使用经房间隔穿刺方法,其中输送系统通过两个弯曲的桨叶和扣环方便抓取游离边缘的瓣叶(图10A)。它由一个作为填料的中央间隔物组成,旨在增强瓣叶缩窄,此外还有独立的瓣叶抓取和器械延长,以改善心内导向。


第一项人体内研究招募了27名患者,显示技术成功率高,安全性可接受。Edwards PASCAL经导管二尖瓣修复系统(CLASP)研究报告了62例3+或4+二级(55.7%)、一级(36.1%)和混合(8.2%)MR患者PASCAL植入30天的结果。30天时,98%的患者的MR<2+级,主要并发症发生率为6.5%。在最近的另一项针对31名患者的小型研究中,在5个月的随访中,PASCAL植入导致所有患者的MR持续降至<2+级,心功能能力、生活质量和超声心动图参数显著改善。Edwards PASCAL经导管瓣膜修复系统关键临床试验(CLASP IID/IIF)试验(NCT03706833)是一项非劣效性试验,旨在比较PASCAL和MitraClip,目前正在进行登记。


Carillon二尖瓣环缩系统(Cardiac Dimensions)

Carillon是一种间接环缩系统,用于治疗继发性MR,2011年获得CE标志,迄今已植入1000多名患者。该装置由近端和远端自膨胀锚固件组成,锚固件由镍钛合金制成的成型带连接,并通过9F导管从颈内静脉输送至高行程冠状窦(CS),部分环绕后二尖瓣瓣环(MA),从而减小其直径(图10B)。


在几项临床试验中评估了Carillon系统的影响。Carillon二尖瓣环成形装置(TITAN)经导管植入试验显示,该装置组的超声心动图和临床参数有显著改善,30天的不良事件(MAE)率为1.9%。然而,在长期随访中,9名患者(25%)发生了无症状的器械断裂。TITAN II试验评估了改良的Carillon器械,并重新验证了之前显示的改善结果,在30天内出现单器械断裂(2.8%)。在最近发表的一项盲法随机假对照的REDUCE FMR(Carillon二尖瓣轮廓系统减小功能性二尖瓣反流)试验中,120名患者被随机分为治疗组(87名患者)和假手术组(33名患者)。12个月的随访显示,治疗组的反流容积(RVol)和左心室(LV)容积显著减少,基线检查时MR分级>3级的患者的MR降低至少1级(63%对10%),治疗组的6分钟步行测试(6MWT)和堪萨斯城心肌病问卷评分也有所改善。值得注意的是,由于技术原因和术中并发症,治疗组有14名患者未能接受该器械,包括8名患者的冠状动脉撞击和2名患者的高行程冠状窦(CS)剥离。


Cardioband (爱德华生命科学)

Cardioband是一种用于治疗继发性MR的直接不完全环缩系统,并于2015年获得CE认证。它有6个长度,通过经中隔入路提供,由一根聚酯纤维包裹的收缩钢丝制成,从前外侧植入后内侧连合,在透视和经食管超声心动图(TEE)引导下通过一系列锚钉锚定在后瓣上(图10C)。一旦完全定位和锚定,尺寸调整工具将用于机械收缩,直到合适的瓣环尺寸和MR得到减小。


在一项包括60名中度或重度继发性MR患者的多中心研究中,评估了Cardioband的性能和安全性。在这项研究中,手术成功率为68%,并发症包括2例住院死亡(与器械无关)、2例冠状动脉并发症、1例中风和1例栓塞。6名患者在出院至30天随访期间发现MR恶化。在6个月和12个月的随访中(分别对43名和39名患者进行评估),67%和69%的患者的MR分级较轻。1年时,总生存率为87%,78%的患者没有再干预,66%的患者没有因心力衰竭(HF)而再次入院。


Amend (Valcare Medical以色列)

Amend是一种半刚性的D形完全直接环缩系统,可以通过经中隔或经心尖入路进行。环以线性方式从输送系统中出现,并在左心房形成。然后将其引导至二尖瓣瓣环(MA),并用一个综合锚定系统锚定在后瓣上。使用转向机构,连接到后瓣上的环被平移并固定到前瓣上(图10D)。


自2016年以来,欧洲和以色列共有14名患者植入了Amend系统,其中11名患者患有继发性MR,3名患者患有原发性MR。Amend系统用于MitraClip联合治疗3例,Neocord联合治疗1例。根据披露的数据(TVT conference,2019年),该手术导致所有14名患者的MR降至<2级。经中隔系统已经开始了初步的临床经验,并获得了特别许可,一项临床试验已经获得批准。


ero为什么不显示经导管二尖瓣修复术:相关病理生理学、研究和治疗综述_https://www.jmylbn.com_新闻资讯_第12张

图10:经导管二尖瓣修复器械的透视图像。(A)Pascal。(B)Carillon。(C) Cardioband;(D)Amend与MitraClip联合使用。(E) IRIS与与MitraClip联合使用;(F) Mitrallign;


IRIS (Millipede, Santa Rosa, CA)

IRIS是一个用于经导管二尖瓣修复治疗(TMVr)完整的半刚性经皮中隔环缩系统。由镍钛合金制成,并通过24F引导导管引入,锯齿形环由一个框架组成,该框架与8个张力环相连,以实现最佳的中隔横径缩小,以及8个可独立于二尖瓣瓣环(MA)组织重新定位的锚定件(图10E)。该手术通过透视、经食管超声心动图(TEE)和心内超声心动图的同时指导下进行。


IRIS系统首次植入于2018年,据报道有7名患者早期使用了IRIS系统,其中4名患者接受了手术植入,3名患者接受了经中隔植入。在经导管组,所有3名患者在30天时,手术导致平均间隔外径减小39%,MR等级降低至<1,纽约心脏协会(NYHA)功能等级为I-II,并且没有与手术相关的并发症。所有手术残余房间隔缺损(ASD)采用Amplatzer封堵器封闭。使用Millipede IRIS系统对MR二尖瓣进行瓣环矫形是一项早期可行性试验,已在巴西和巴拉圭完成了21名患者的登记(NCT02607527)。


Mitralign (Mitralign, Tewksbury, MA)

2016年获得CE认证的Mitrallign是一种经动脉环成形术系统,通过14F引导导管从股动脉逆向输送至二尖瓣瓣环(MA)后瓣。在手术过程中,2对金属丝穿过MA组织,将pledget输送到两个连合的心房和心室两侧,然后释放pledget,并用2条缝线连接,导致折叠和瓣环复位(图10F)。该手术在透视和经食管超声心动图(TEE)指导下进行。


在一项可行性试验中评估了Mitrallign的性能和安全性,该试验包括71名中重度继发性MR患者。器械成功率为70.4%(50名患者),无术中死亡,但有4例心包填塞。全因死亡率、中风和心肌梗死的6个月(41名患者)发生率分别为12.2%、4.9%和0%。六个月的随访显示,50%的接受治疗患者的MR平均降低1.3级,左心室(LV)矫正及6分钟步行测试(6MWT)和纽约心脏协会(NYHA)功能级别改善。


NeoChord (NeoChord Inc, St Louis Park, MN).

NeoChord DS 1000于2012年通过CE认证,是一种经尖端的腱索植入系统,用于治疗因二尖瓣(MV)脱垂引起的原发性MR,迄今已有1200多名患者接受了治疗。在不停跳的心脏上,仅在经食管超声心动图(TEE)引导下,使用左小切口入路,放置多条聚四氟乙烯缝线,并将其从瓣叶游离边缘延伸至左室(LV)心尖,以调整人工腱索的长度,从而减少MR。


证明NeoChord系统影响的最大试验包括213名因小叶脱垂或连枷导致严重MR的患者,30天手术成功率为96.7%(206/213名患者),无术中死亡,30天死亡率为1.9%(4名患者)。84+2.5%的患者在1年随访时的主要结果被获得(包括手术成功、无死亡率、中风、再干预、严重MR和再住院,以及减少≥达到1级NYHA功能分级)。瓣叶-环指数(LAI)定义为前后瓣叶长度之和除以前后瓣叶长度,用于评估瓣叶-环交叉,并被发现是无环NeoChord修复术后获益的预测指标,因此可作为该手术的患者选择工具。NeoChord DS1000系统与开放式外科修复(RECHORD)试验(NCT02803957)的随机试验目前正在招募志愿者。该器械已与Cardioband和Amend环成形术系统结合使用。


Harpoon (Edwards Lifesciences, Irvine, CA)

Harpoon跳动心脏二尖瓣修复系统于2017年获得CE认证,是2016年首次推出的一种基于心尖腱索修复系统。该手术由经食管超声心动图(TEE)引导,采用左小切口入路,将14F带瓣导管插入左心室腔。在插入输送系统并将其定位在后瓣叶心室表面下方后,将21号针插入脱垂的瓣叶中,与聚四氟乙烯制成的腱索形成一个结,该腱索被拉伸并用聚四氟乙烯脱脂棉固定在心外膜表面。


其他研究的器械和技术

经导管二尖瓣修复(TMVr)领域的其他著名实验器械包括:AccuCinch(加利福尼亚州桑塔克拉拉的Ancora Heart公司),该器械通过直接心室成形术瞄准瓣环下区域;二尖瓣Butterfly(奥地利维也纳AVVie),旨在修复后瓣叶脱垂;ChordArt(CoreMedic,Radolfzell,德国),一种基于经中隔的腱索修复系统;ARTO(加利福尼亚州圣马特奥市MVRx)是一种间接环成形术系统,使用两块磁铁放置在左心房(LA)和高行程冠状窦(CS)中,以减小瓣环的前后径;二尖瓣Loop Cerclage(Tau PNU Medical Co,韩国釜山)通过形成穿过CS和跨室间隔的环来减小瓣环直径。


结论和未来方向


随着心力衰竭(HF)患者数量的增加和人口老龄化,到2030年,患有严重MR的患者数量预计将翻一番,从而在未来几年中,经导管二尖瓣修复(TMVr)手术的潜在候选者将大幅增加。根据最近发布的2020年ACC/美国心脏协会瓣膜性心脏病患者管理指南,对于原发性重度MR和高手术风险的严重症状患者,经导管缘-对-缘修复(TEER)是合理的(Ha级建议)。此外,指南建议首次对患有慢性严重症状的继发性MR和左室射血分数<50%且处于最佳指导性药物治疗(GDMT)(Ha级建议)的患者进行经导管缘-对-缘修复(TEER)。这项技术的丰富经验表明,在更广泛的应用中,效果会更好。然而,我们准备接受单一技术的非手术结果将限制向真正的手术替代方案的进展。随着新开发的修复系统的出现,以及当前使用的器械的改进迭代,未来的挑战将围绕患者器械进行定制。这将基于特定的病理学,可通过单独或联合经导管二尖瓣修复(TMVr)手术解决,以获得最佳的短期和长期患者疗效。


References 参考文献

1.  Nkomo VT, Gardin JM, Skelton TN, et al.  Burden of valvular heart diseases: a population-based study.  Lancet 2006;368(9540):1005-11.

2.  Dziadzko V, Clavel MA, Dziadzko M, et al.  Outcome and undertreatment of mitral regurgitation: a community cohort study.  Lancet2018;391(10124):960-9.

3.  Otto CM, Nishimura RA, Bonow RO, et al. 2020 ACC/AHA guideline for the management of patients with valvular heart disease.  J Am CollCardiol 2021;77:e24-197.

4.  Mirabel M, Iung B, Baron G, et al.  What are the characteristics of patients with severe, symptomatic, mitral regurgitation who are denied surgery?  Eur Heart J 2007;28:1358-65.

5.  Goel SS, Bajaj N, Aggarwal B, et al.  Prevalence and outcomes of unoperated patients with severe symptomatic mitral regurgitation and heart failure: comprehensive analysis to determine the potential role of MitraClip for this unmet need.  J Am Coll Cardiol 2014;63:185-6.

6.  Feldman T, Foster E, Glower DG, et al.  Percutaneous repair or surgery for mitral regurgitation.  N Engl J Med 2011;364:1395-406.

7.  Obadia JF, Messika-Zeitoun D, Leurent G, et al.  Percutaneous repair or medical treatment for secondary mitral regurgitation.  N Engl J Med2018;379:2297-306.

8.  Stone GW, Lindenfeld JA, Abraham WT, et al.  Transcatheter mitral valve repair in patients with heart failure.  N Engl J Med2018;379:2307-18.

9. Praz F, Spargias K, Chrissoheris M, et al. Compassionate use of the PASCAL transcatheter mitral valve repair system for patients with severe mitral regurgitation: a multicentre, prospective, observational, first-in-man study. Lancet 2017;390(10096):773-80.

10. Siminiak T, Wu JC, Haude M, et al. Treatment of functional mitral regurgitation by percutaneous annuloplasty: results of the TITAN trial.Eur J Heart Fail 2012;14:931-8.

11. Miller M, Thourani VH, Whisenant B. The Cardioband transcatheter annular reduction system. Ann Cardiothorac Surg 2018;7:16545.

12. Rogers JH, Boyd WD, Smith TW, Bolling SF. Early experience with Millipede IRIS transcatheter mitral annuloplasty. Ann Cardiothorac Surg 2018;7:16543.

13. Schueler R, Nickenig G. The Mitralign: strategies for optimal patient selection and optimised results. EuroIntervention 2016;12:Y67-9.

14. Colli A, Adams D, Fiocco A, et al. Transapical NeoChord mitral valve repair. Ann Cardiothorac Surg 2018;7:16555.

15. Gammie JS, Wilson P, Bartus K, et al. Transapical beating-heart mitral valve repair with an expanded polytetrafluoroethylene cordal implantation device. Circulation 2016;134:189-97.

16. Colli A, Raanani E, Cobiella J, et al. Transapical and transfemoral combined mitral valve repair with annular and leaflet therapies. Ann Thorac Surg 2020;110:e221-3.

17. Carpentier A. Cardiac valve surgery: the “French correction. J ThoracCardiovasc Surg 1983;86:323-37.

18. Ruiz JMM, Galderisi M, Buonauro A, et al. Overview of mitral regurgitation in Europe: results from the European Registry of Mitral Regurgitation (EuMiClip). Eur Heart J Cardiovasc Imaging 2018;19:503-7.

19. Thomas KL, Jackson LR, Shrader P, et al. Prevalence, characteristics, and outcomes of valvular heart disease in patients with atrial fibrillation: insights from the ORBIT-AF (Outcomes Registry for Better Informed Treatment for Atrial Fibrillation). J Am Heart Assoc 2017;6: e006475.

20. Kajimoto K, Sato N, Takano T. Functional mitral regurgitation at discharge and outcomes in patients hospitalized for acute decompensated heart failure with a preserved or reduced ejection fraction. Eur J HeartFail 2016;18:1051-9.

21. Gertz ZM, Raina A, Saghy L, et al. Evidence of atrial functional mitral regurgitation due to atrial fibrillation: Reversal with arrhythmia control. Am Coll Cardiol 2011;58:1474-81.

22. Kotecha D, Lam CSP, van Veldhuisen DJ, et al. Heart failure with preserved ejection fraction and atrial fibrillation: vicious twins. J Am CollCardiol 2016;68:2217-28.

23. Deferm S, Bertrand PB, Verbrugge FH, et al. Atrial functional mitral regurgitation: JACC review topic of the week. J Am Coll Cardiol2019;73:2465-76.

24. Zoghbi WA, Adams D, Bonow RO, et al. Recommendations for noninvasive evaluation of native valvular regurgitation: a report from the American Society of Echocardiography Developed in Collaboration with the Society for Cardiovascular Magnetic Resonance. J Am Soc Echocardiogr2017;30:303-71.

25. Kahlert P, Plicht B, Schenk IM, et al. Direct assessment of size and shape of noncircular vena contracta area in functional versus organic mitral regurgitation using real-time three-dimensional echocardiography. J AmSoc Echocardiogr 2008;21:912-21.

26. Altiok E, Hamada S, Van Hall S, et al. Comparison of direct planimetry of mitral valve regurgitation orifice area by three-dimensional transesophageal echocardiography to effective regurgitant orifice area obtained by proximal flow convergence method and vena contracta area determined by color. Am J Cardiol 2011;107:452-8.

27. Chen C, Thomas JD, Anconina J, et al. Impact of impinging wall jet on color doppler quantification of mitral regurgitation. Circulation1991;84:712-20.

28. Ben Zekry S, Naguch SF, Little SH, et al. Comparative accuracy of two- and three-dimensional transthoracic and transesophageal echocardiography in identifying mitral valve pathology in patients undergoing mitral valve repair: initial observations. J Am SocEchocardiogr 2011;24:1079-85.

29. Uretsky S, Supariwala A, Nidadovolu P, et al. Quantification of left ventricular remodeling in response to isolated aortic or mitral regurgitation. J Cardiovasc Magn Reson 2010;12:32.

30. Delgado V, Tops LF, Schuijf JD, et al. Assessment of mitral valve anatomy and geometry with multislice computed tomography. JACC Cardiovasc Imaging 2009;2:556-65.

31. van Mieghem NM, Rodriguez-Olivares R, Ren BC, et al. Computed tomography optimised fluoroscopy guidance for transcatheter mitral therapies. EuroIntervention 2016;11:1428-31.

32. Sündermann SH, Biaggi P, Grünenfelder J, et al. Safety and feasibility of novel technology fusing echocardiography and fluoroscopy images during MitraClip interventions. EuroIntervention 2014;9:1210-6.

33. Bonow RO, O'Gara PT, Adams DH, et al. 2020 focused update of the 2017 ACC expert consensus decision pathway on the management of mitral regurgitation: a report of the American College of Cardiology Solution Set Oversight Committee. J Am Coll Cardiol 2020;75:223670.

34. David TE, Armstrong S, McCrindle BW, Manlhiot C. Late outcomes of mitral valve repair for mitral regurgitation due to degenerative disease. Circulation 2013;127:1485-92.

35. Gillinov AM, Tantiwongkosri K, Blackstone EH, et al. Is prosthetic anuloplasty necessary for durable mitral valve repair? Ann Thorac Surg2009;88:76-82.

36. De Bonis M, Lapenna E, Maisano F, et al. Long-term results (<18 years) of the edge-to-edge mitral valve repair without annuloplasty in degenerative mitral regurgitation implications for the percutaneous approach. Circulation 2014;130:S19-24.

37. Condado JA, Acquatella H, Rodriguez L, et al. Percutaneous edge-toedge mitral valve repair: 2-year follow-up in the first human case. Catheter Cardiovasc Interv 2006;67:323-5.

38. Alfieri O, Maisano F, De Bonis M, et al. The double-orifice technique in mitral valve repair: a simple solution for complex problems. J ThoracCardiovasc Surg 2001;122:674-81.

39. Feldman T, Kar S, Rinaldi M, et al. Percutaneous mitral repair with the MitraClip system. safety and midterm durability in the initial EVEREST (Endovascular Valve Edge-to-Edge Repair Study) cohort. J Am Coll Cardiol 2009;54:686-94.

40. Altiok E, Hamada S, Brehmer K, et al. Analysis of procedural effects of percutaneous edge-to-edge mitral valve repair by 2D and 3D echocardiography. Circ Cardiovasc Imaging 2012;5:748-55.

41. Weinmann K, Markovic S, Rottbauer W, KeBler M. First experience with the MitraClip XTR device for extensive mitral valve prolapse (Barlow's disease). EuroIntervention 2018;14:e1276-7.

42. Attizzani GF, Ohno Y, Capodanno D, et al. Extended use of percutaneous edge-to-edge mitral valve repair beyond EVEREST (Endovascular Valve Edge-to-Edge Repair) criteria. JACC Cardiovasc Interv 2015;8(1pt A):74-82.

43. Chhatriwalla AK, Vemulapalli S, Holmes DR, et al. Institutional experience with transcatheter mitral valve repair and clinical outcomes: insights from the TVT Registry. JACC Cardiovasc Interv 2019;12:1342-52.

44. Feldman T, Kar S, Elmariah S, et al. Randomized comparison of percutaneous repair and surgery for mitral regurgitation 5-year results of EVEREST II. J Am Coll Cardiol 2015;66:2844-54.

45. Grayburn PA, Sannino A, Packer M. Proportionate and disproportionate functional mitral regurgitation: a new conceptual framework that reconciles the results of the MITRA-FR and COAPT TRIALS. JACC Cardiovasc Imaging 2019;12:353-62.

46. Adamo M, Cani DS, Gavazzoni M, et al. Impact of disproportionate secondary mitral regurgitation in patients undergoing edge-to-edge percutaneous mitral valve repair. EuroIntervention 2020;16:413-20.

47. Frea S, Pidello MD S, Boretto MD P, et al. Disproportionate functional mitral regurgitation predicts a favourable response after MitraClip implant in patients with advanced heart failure. Real-world evidence of a new conceptual framework. Int J Cardiol 2021;323:208-12.

48. Adamo M, Godino C, Giannini C, et al. Left ventricular reverse remodelling predicts long-term outcomes in patients with functional mitral regurgitation undergoing MitraClip therapy: results from a multicentre registry. Eur J Heart Fail 2019;21:196-204.

49. Papadopoulos K, Ikonomidis I, Chrissoheris M, et al. MitraClip and leftventricular reverse remodelling: a strain imaging study. ESC Heart Fail2020;7:1409-18.

50. Frangieh AH, Gruner C, Mikulicic F, et al. Impact of percutaneous mitral valve repair using the MitraClip system on tricuspid regurgitation. Eurolntervention 2016;11:e1680-6.

51. Hünlich M, Lubos E, Beuthner BE, et al. Acute and long-term hemodynamic effects of MitraClip implantation on a preexisting secondary right heart failure. Biomed Res Int 2018;2018: 6817832.

52. Ledwoch J, Fellner C, Hoppmann P, et al. Impact of transcatheter mitral valve repair using MitraClip on right ventricular remodeling. Int J Cardiovasc Imaging 2020;36:811-9.

53. Ledwoch J, Nommensen A, Keelani A, et al. Impact of transcatheter mitral valve repair on ventricular arrhythmias. Europace 2019;9: 1385-91.

54. Benito-González T, Estévez-Loureiro R, Garrote-Coloma C, et al. Effectof successful edge-to-edge mitral valve repair on ventricular arrhythmic burden in patients with functional mitral regurgitation and implantable cardiac devices. Am J Cardiol 2019;124:1113-9.

55. Stone GW, Adams DH, Abraham WT, et al. Clinical trial design principles and end point definitions for transcatheter mitral valve repair and replacement: part 2: end point definitions: a consensus document from the Mitral Valve Academic Research Consortium. J Am Coll Cardiol2015;66:308-21.

56. Maisano F, Franzen O, Baldus S, et al. Percutaneous mitral valve interventions in the real world: Early and 1-year results from the ACCESSEU, a prospective, multicenter, nonrandomized post-approval study of the MitraClip therapy in Europe. J Am Coll Cardiol 2013;62:1052-61.

57. Nickenig G, Estevez-Loureiro R, Franzen O, et al. Percutaneous mitral valve edge-to-edge repair: in-hospital results and 1-year follow-up of 628 patients of the 2011-2012 pilot European Sentinel Registry. J Am CollCardiol 2014;62:875-84.

58. Kalbacher D, Schäfer U, RSv Bardeleben, et al. Long-term outcome, survival and predictors of mortality after MitraClip therapy: results from the German Transcatheter Mitral Valve Interventions (TRAMI) registry. IntJ Cardiol 2019;277:35-41.

59.  Buzzatti N, Denti P, La Canna G, et al.  Does implantation of a single clip provide reliable durability after transcatheter mitral repair.  Eur J Cardiothorac Surg 2017;52:137-42.

60.  Puls M, Huenlich M, Boekstegers P, et al.  Implantation of one versus two MitraClips in the German TRAMI registry: is more always better? Catheter Cardiovasc Interv 2020;96:e360-8.

61.  Eggebrecht H, Schelle S, Puls M, et al.  Risk and outcomes of complications during and after MitraClip implantation: experience in 828 patients from the German Transcatheter Mitral Valve Interventions (TRAMI) registry.  Catheter Cardiovasc Interv2015;86:728-35.

62.  Neuss M, Schau T, Isotani A, et al.  Elevated mitral valve pressure gradient after mitraclip implantation deteriorates long-term outcome in patients with severe mitral regurgitation and severe heart failure.  JACCCardiovasc Interv 2017;10:931-9.

63.  Adamo M, Curello S, Chiari E, et al.  Percutaneous edge-to-edge mitral valve repair for the treatment of acute mitral regurgitation complicating myocardial infarction: a single centre experience.  Int J Cardiol2017;234:53-7.

64.  Haberman D, Taramasso M, Czarnecki A, et al.  Salvage MitraClip in severe secondary mitral regurgitation complicating acute myocardial infarction: data from a multicentre international study.  Eur J Heart Fail2019;21:1161-4.

65.  Estévez-Loureiro R, Adamo M, Arzamendi D, et al.  Transcatheter mitral valve repair in patients with acute myocardial infarction: Insights from the European Registry of MitraClip in Acute Mitral Regurgitation Following an Acute Myocardial Infarction (EREMMI).  Eurolntervention2020;15:1248-50.

66.  Kovach CP, Bell S, Kataruka A, Reisman M, Don C. Outcomes of urgent/emergent transcatheter mitral valve repair (MitraClip): a single center experience.  Catheter Cardiovasc Interv 2020;97:e402-10.

67.  Papadopoulos K, Chrissoheris M, Nikolaou I, Spargias K. Edge-to-edge mitral valve repair for acute mitral valve regurgitation due to papillary muscle rupture: a case report.  Eur Heart J Case Rep 2019;3:ytz001.

68.  Komatsu I, Cohen EA, Cohen GN, Czarnecki A. Transcatheter mitral valve edge-to-edge repair with the new MitraClip XTR System for acute mitral regurgitation caused by papillary muscle rupture.  Can J Cardiol2019;35.  1604.e5-7.

69.  Lim DS, Kar S, Spargias K, et al.  Transcatheter valve repair for patients with mitral regurgitation: 30-day results of the CLASP study.  JACC Cardiovasc Interv 2019;12:1369-78.

70.  Barth S, Hautmann MB, Arvaniti E, et al.  Mid-term hemodynamic and functional results after transcatheter mitral valve leaflet repair with the new PASCAL device.  Clin Res Cardiol 2021;110:628-39.

71.  Lipiecki J, Siminiak T, Sievert H, et al.  Coronary sinus-based percutaneous annuloplasty as treatment for functional mitral regurgitation: the TITAN II trial.  Open Heart 2016;3: e000411.

72.  Witte KK, Lipiecki J, Siminiak T, et al.  The REDUCE FMR trial: a randomized sham-controlled study of percutaneous mitral annuloplasty in functional mitral regurgitation.  JACC Heart Fail 2019;7: 945-55.

73.  Messika-Zeitoun D, Nickenig G, Latib A, et al.  Transcatheter mitralvalve repair for functional mitral regurgitation using the Cardioband system: 1 year outcomes.  Eur Heart J 2019;40:466-72.

74. Nickenig G, Schueler R, Dager A, et al. Treatment of chronic functional mitral valve regurgitation with a percutaneous annuloplasty system. J AmColl Cardiol 2016;67:2927-36.

75. Colli A, Manzan E, Aidietis A, et al. An early European experience with transapical off-pump mitral valve repair with NeoChord implantation.Eur J Cardiothorac Surg 2018;54:460-6.

76. Colli A, Besola L, Montagner M, et al. Prognostic impact of leaflet-toannulus index in patients treated with transapical off-pump echo-guided mitral valve repair with NeoChord implantation. Int J Cardiol2018;257:235-7.

77. von Bardeleben RS, Colli A, Schulz E, et al. First in human transcatheter COMBO mitral valve repair with direct ring annuloplasty and neochord leaflet implantation to treat degenerative mitral regurgitation: Feasibility of the simultaneous toolbox concept guided by 3D echo and computed tomography fu. Eur Heart J2018;39:1314-5.

78. Gammie JS, Bartus K, Gackowski A, et al. Safety and performance of a novel transventricular beating heart mitral valve repair system: 1-year outcomes. EurJ Cardiothorac Surg 2021;59:199-206.

79. Benjamin EJ, Blaha MJ, Chiuve SE, et al. Heart disease and stroke statistics-2017 update: a report from the American Heart Association. Circulation 2017;135:e146-603.

80. El Sabbagh A, Reddy YNV, Nishimura RA. Mitral valve regurgitation in the contemporary era: insights into diagnosis, management, and future directions. JACC Cardiovasc Imaging 2018;11:628-43.

81. Rogers JH, Boyd WD, Smith TWR, Ebner AA, Bolling SF. Combined MitraClip edge-to-edge repair with Millipede IRIS mitral annuloplasty. JACC Cardiovasc Interv 2018;11:323-4.


译者简介


尹安远

蓝帆医疗

ero为什么不显示经导管二尖瓣修复术:相关病理生理学、研究和治疗综述_https://www.jmylbn.com_新闻资讯_第13张

尹安远,复旦大学物理化学博士,蓝帆医疗上海创新研发中心研发总监,CCI宣传企划部执委。美国项目管理协会PMI认证项目管理专业人士,精益六西格玛黑带。


ero为什么不显示经导管二尖瓣修复术:相关病理生理学、研究和治疗综述_https://www.jmylbn.com_新闻资讯_第14张